Skip to main content

Distribution of sole Pacinian corpuscles: a histological study using near-term human feet

Abstract

Introduction

Fast-adapting afferent input from the sole Pacinian corpuscles (PCs) is essential for walking. However, the distribution of PCs in the plantar subcutaneous tissue remains unknown.

Materials and methods

Using histological sections tangential to the plantar skin of eight near-term fetuses, we counted 528–900 PCs per sole.

Results

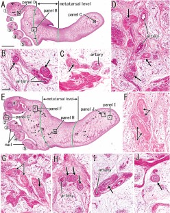
Almost half of the sole PCs existed at the level of the proximal phalanx, especially on the superficial side of the long flexor tendons and flexor digitorum brevis. Conversely, the distribution was less evident on the posterior side of the foot. The medial margin of the sole contained fewer PCs than the lateral margin, possibly due to the transverse arch. In contrast to a cluster formation in the anterior foot, posterior PCs were almost always solitary, with a distance greater than 0.5 mm to the nearest PC.

Discussion and conclusion

Because a receptive field of PCs is larger than that of the other receptors, fewer solitary PCs might cover the posterior sole. In infants, the amount of anterior sole PCs seemed to determine the initial walking pattern using the anterior foot without heel contact. Anterior PCs concentrated along flexor tendons might play a transient role as tendon organs during the initial learning of walking. During a lesson in infants, mechanical stress from the tendon and muscle was likely to degrade the PCs. In the near term, the sole PCs seemed not to be a mini-version of the adult morphology but suggested an infant-specific function.

This is a preview of subscription content, access via your institution.

Fig. 1
Fig. 2
Fig. 3
Fig. 4
Fig. 5
Fig. 6

References

  1. Abraira VE, Ginty DD (2013) The sensory neurons of touch. Neuron 79:618–639

    CAS  Article  Google Scholar 

  2. Do MC, Bussel B, Breniere Y (1990) Influence of plantar cutaneous afferents on early compensatory reactions to forward fall. Exp Brain Res 79:319–324

    CAS  Article  Google Scholar 

  3. Escardó F, Lydia F, de Coriat LF (1960) Development of postural and tonic patterns in the newborn infant. Pediatr Clin North A 7:511–525

    Article  Google Scholar 

  4. Humphrey T (1964) Some correlations between the appearance of human fetal reflexes and the development of the nervous system. Progr Brain Re 4:93–135

    Article  Google Scholar 

  5. Jin ZW, Cho KH, Xu DY et al (2020) Pacinian corpuscles in the human fetal foot: a study using 3D reconstruction and immunohistochemistry. Ann Anat 227:151421

    Article  Google Scholar 

  6. Johansson RS (1978) Tactile sensibility in the human hand: receptive field characteristics of mechanoreceptive units in the glabrous skin area. J Physiol 281:101–125

    CAS  Article  Google Scholar 

  7. Kavounoudias A, Roll R, Roll JP (1998) The plantar sole is a “dynamometric map” for human balance control. NeuroReport 9:3247–3252

    CAS  Article  Google Scholar 

  8. Kennedy PM, Inglis JT (2002) Distribution and behaviour of glabrous cutaneous receptors in the human foot sole. J Physiol 538:995–1002

    CAS  Article  Google Scholar 

  9. Kim JH, Sakanaka K, Tomita N et al (2017) Pacinian corpuscle-like structure in the digital tendon sheath and nail bed: a study using late-stage human fetuses. Anat Cell Biol 50:33–40

    Article  Google Scholar 

  10. Kim JH, Park C, Yang X et al (2018) Pacinian corpuscles in the human fetal finger and thumb: a study using 3D reconstruction and immunohistochemistry. Anat Rec 301:154–165

    CAS  Article  Google Scholar 

  11. Kobayashi K, Cho KH, Yamamoto M et al (2018) Tree of Vater-Pacinian corpuscles in the human finger and thumb: a comparison between specimens from late-stage fetuses and elderly cadavers. Surg Radiol Anat 40:243–257

    Article  Google Scholar 

  12. Macefield VG (1998) The signalling of touch, finger movements and manipulation forces by mechanoreceptors in human skin. In: Neural Aspects in Tactile Sensation, edited by Morley JW, editor. Amsterdam: Elsevier, 89–130

  13. Meyer PF, Oddsson LI, De Luca CJ (2004) Reduced plantar sensitivity alters postural responses to lateral perturbations of balance. Exp Brain Res 157:526–536

    Article  Google Scholar 

  14. Nurse MA, Nigg BM (1999) Quantifying a relationship between tactile and vibration sensitivity of the human foot with plantar pressure distributions during gait. Clin Biomech (Bristol, Avon) 14:667–672

    CAS  Article  Google Scholar 

  15. Okamoto T, Okamoto K, Andrew PD (2003) Electromyographic developmental changes in one individual from newborn stepping to mature walking. Gait Posture 17:18–27

    Article  Google Scholar 

  16. Perry SD, McIlroy WE, Maki BE (2000) The role of plantar cutaneous mechanoreceptors in the control of compensatory stepping reactions evoked by unpredictable, multi-directional perturbation. Brain Res 877:401–406

    CAS  Article  Google Scholar 

  17. Peters RM, McKeown MD, Carpenter MG et al (2016) Losing touch: age-related changes in plantar skin sensitivity, lower limb cutaneous reflex strength, and postural stability in older adults. J Neurophysiol 116:1848–1858

    Article  Google Scholar 

  18. Shaw HM, Osorio T, McGonagle D et al (2008) Development of the human Achilles tendon enthesis organ. J Anat 213:718–724

    CAS  Article  Google Scholar 

  19. Stecco C, Corradin M, Macchi V et al (2013) Plantar fascia anatomy and its relationship with Achilles tendon and paratenon. J Anat 223:665–676

    Article  Google Scholar 

  20. Strzalkowski NDJ, Peters RM, Inglis JT et al (2018) Cutaneous afferent innervation of the human foot sole: what can we learn from single-unit recordings? J Neurophysiol 120:1233–1246

    Article  Google Scholar 

  21. Vallbo ÅB, Johansson RS (1984) Properties of cutaneous mechanoreceptors in the human hand related to touch sensation. Hum Neurobiol 3:3–14

    CAS  PubMed  Google Scholar 

  22. Zehr EP, Nakajima T, Barss T et al (2014) Cutaneous stimulation of discrete regions of the sole during locomotion produces “sensory steering” of the foot. BMC Sports Sci Med Rehabil 6:33

    Article  Google Scholar 

Download references

Acknowledgements

This study was supported by Wokwang University in 2019.

Author information

Affiliations

Authors

Contributions

NS: data collection and manuscript writing. KC: management and manuscript writing. GM: manuscript writing and scheme drawing. HA: data collection and literature research. EU: literature research. HK: management and literature research.

Corresponding author

Correspondence to Kwang Ho Cho.

Ethics declarations

Conflict of interest

No conflict of interest to be declared.

Additional information

Publisher's Note

Springer Nature remains neutral with regard to jurisdictional claims in published maps and institutional affiliations.

Rights and permissions

Reprints and Permissions

About this article

Verify currency and authenticity via CrossMark

Cite this article

Sugai, N., Cho, K.H., Murakami, G. et al. Distribution of sole Pacinian corpuscles: a histological study using near-term human feet. Surg Radiol Anat 43, 1031–1039 (2021). https://doi.org/10.1007/s00276-021-02685-x

Download citation

  • Received:

  • Accepted:

  • Published:

  • Issue Date:

  • DOI: https://doi.org/10.1007/s00276-021-02685-x

Keywords

  • Pacinian corpuscle
  • Fast-adapting afferents
  • Mechanoreceptor
  • Foot sole
  • Human fetuses