Skip to main content

A pulsatile pharyngeal wall: case report and clinical relevance

This is a preview of subscription content, access via your institution.

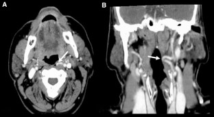
Fig. 1

References

  1. Cappabianca S, Somma F, Negro A, Rotondo M, Scuotto A, Rotondo A (2016) Extracranial internal carotid artery: anatomical variations in asymptomatic patients. Surg Radiol Anat 38:893–902

    Article  PubMed  Google Scholar 

  2. Pfeiffer J, Becker C, Ridder GJ (2016) Aberrant extracranial internal carotid arteries: new insights, implications, and demand for a clinical grading system. Head Neck 38:E687–E693. doi:10.1002/hed.24071

    Article  PubMed  Google Scholar 

  3. Pfeiffer J, Ridder GJ (2008) A clinical classification system for aberrant internal carotid arteries. Laryngoscope 118:1931–1936

    Article  PubMed  Google Scholar 

  4. Van Abel K, Carlson M, Moore E (2016) Symptomatic internal carotid artery medialization: a rare anatomic variant resulting in cough, dysphonia and dysphagia. Clin Anat 26:966–970

    Article  Google Scholar 

Download references

Author information

Affiliations

Authors

Corresponding author

Correspondence to João Simões.

Ethics declarations

Conflict of interest

The authors do not have any conflict of interest.

Electronic supplementary material

Below is the link to the electronic supplementary material.

Supplementary material 1 (MP4 2242 KB)

Rights and permissions

Reprints and Permissions

About this article

Verify currency and authenticity via CrossMark

Cite this article

Simões, J., Miguéis, J. & Miguéis, A. A pulsatile pharyngeal wall: case report and clinical relevance. Surg Radiol Anat 39, 819–820 (2017). https://doi.org/10.1007/s00276-016-1809-4

Download citation

  • Received:

  • Accepted:

  • Published:

  • Issue Date:

  • DOI: https://doi.org/10.1007/s00276-016-1809-4

Keywords

  • Internal Carotid Artery
  • Pharyngeal Wall
  • Posterior Pharyngeal Wall
  • Foreign Body Sensation
  • Left Internal Carotid Artery