Skip to main content

Assessment and classification of cystic arteries with 64-detector row computed tomography before laparoscopic cholecystectomy

Abstract

Purpose

Major complications of laparoscopic cholecystectomy are bleeding and bile duct injury, and it is necessary to clearly identify structures endoscopically to keep bleeding and injury from occurring. The aim of this study was to depict the anatomical variation between cystic arteries among patients using 64-detector row spiral computed tomography (CT) prior to laparoscopic cholecystectomy.

Methods

A total of 78 patients (31 men, 47 women) who underwent cholecystectomy were examined preoperatively using 64-detector row spiral CT between April 2012 and June 2013. The origin and number of cystic arteries and their relationship with the Calot triangle was evaluated by two independent observers. CT images were compared with laparoscopic cholecystectomy results.

Results

The cystic arteries were delineated by CT in 73 of the 78 patients. The relationship between the cystic arteries and the Calot triangle was identified in 71 of the 78 patients. One cystic artery was found in 53 (73 %) of the 73 patients, while two cystic arteries were found in 20 (27 %) of the patients. A total of 55 (60 %) of the 91 cystic arteries passed through the Calot triangle. The remaining 36 cystic arteries (40 %) passed anterior, posterior, or inferior to the cystic duct. The relationship between the cystic arteries and the Calot triangle detected by CT was in agreement with the surgical records for all patients.

Conclusion

The configuration of the cystic arteries and their relationship with the Calot triangle can be identified using 64-detector row CT before laparoscopic cholecystectomy.

This is a preview of subscription content, access via your institution.

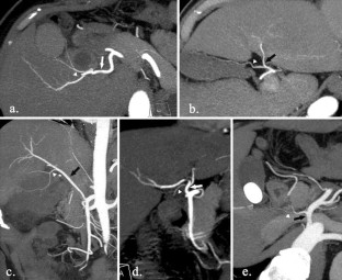
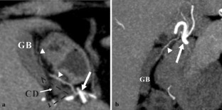
Fig. 1
Fig. 2
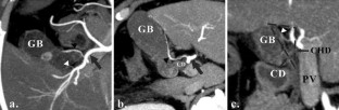
Fig. 3
Fig. 4
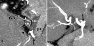
Fig. 5
Fig. 6
Fig. 7
Fig. 8

References

  1. Balija M, Huis M, Nikolic V, Stulhofer M (1999) Laparoscopic visualization of the cystic artery anatomy. World J Surg 23:703–707

    CAS  Article  PubMed  Google Scholar 

  2. Bergamaschi R, Ignjatovic D (1999) Anatomic rationale for arterial bleeding from the liver bed during and/or after laparoscopic cholecystectomy: a postmortem study. Surg Laparosc Endosc Percutan Tech 9:267–270

    CAS  Article  PubMed  Google Scholar 

  3. de Goede B, Klitsie PJ, Hagen SM, van Kempen BJ, Spronk S, Metselaar HJ, Lange JF, Kazemier G (2013) Meta-analysis of laparoscopic versus open cholecystectomy for patients with liver cirrhosis and symptomatic cholecystolithiasis. Br J Surg 100:209–216

    Article  PubMed  Google Scholar 

  4. Ding YM, Wang B, Wang WX, Wang P, Yan JS (2007) New classification of the anatomic variations of cystic artery during laparoscopic cholecystectomy. World J Gastroenterol 13:5629–5634

    PubMed Central  Article  PubMed  Google Scholar 

  5. Duric B, Ignjatovic D, Zivanovic V (2000) New aspects in laparoscopic cystic artery anatomy. Acta Chir Iugosl 47:105–107

    CAS  PubMed  Google Scholar 

  6. Fathy O, Zeid MA, Abdallah T, Fouad A, Eleinien AA, El-Hak NG, Eleibiedy G, El-Wahab MA, Sultan A, Anwar N, Ezzat F (2003) Laparoscopic cholecystectomy: a report on 2000 cases. Hepatogastroenterology 50:967–971

    CAS  PubMed  Google Scholar 

  7. Hirao K, Miyazaki A, Fujimoto T, Isomoto I, Hayashi K (2000) Evaluation of aberrant bile ducts before laparoscopic cholecystectomy: helical CT cholangiography versus MR cholangiography. AJR Am J Roentgenol 175:713–720

    CAS  Article  PubMed  Google Scholar 

  8. Hugh TB, Kelly MD, Li B (1992) Laparoscopic anatomy of the cystic artery. Am J Surg 163:593–595

    CAS  Article  PubMed  Google Scholar 

  9. Itatani R, Namimoto T, Kajihara H, Yoshimura A, Katahira K, Nasu J, Matsushita I, Sakamoto F, Kidoh M, Yamashita Y (2013) Preoperative evaluation of the cystic duct for laparoscopic cholecystectomy: comparison of navigator-gated prospective acquisition correction- and conventional respiratory-triggered techniques at free-breathing 3D MR cholangiopancreatography. Eur Radiol 23:1911–1918

    Article  PubMed  Google Scholar 

  10. Kitami M, Takase K, Murakami G, Ko S, Tsuboi M, Saito H, Higano S, Nakajima Y, Takahashi S (2006) Types and frequencies of biliary tract variations associated with a major portal venous anomaly: analysis with multi-detector row CT cholangiography. Radiology 238:156–166

    Article  PubMed  Google Scholar 

  11. Livingston EH, Rege RV (2004) A nationwide study of conversion from laparoscopic to open cholecystectomy. Am J Surg 188:205–211

    Article  PubMed  Google Scholar 

  12. Mari FS, Nigri G, Pancaldi A, De Cecco CN, Gasparrini M, Dall’Oglio A, Pindozzi F, Laghi A, Brescia A (2013) Role of CT angiography with three-dimensional reconstruction of mesenteric vessels in laparoscopic colorectal resections: a randomized controlled trial. Surg Endosc 27:2058–2067

    Article  PubMed  Google Scholar 

  13. Mathisen O, Soreide O, Bergan A (2002) Laparoscopic cholecystectomy: bile duct and vascular injuries: management and outcome. Scand J Gastroenterol 37:476–481

    CAS  Article  PubMed  Google Scholar 

  14. Saia M, Mantoan D, Buja A, Bertoncello C, Baldovin T, Callegaro G, Baldo V (2013) Time trend and variability of open versus laparoscopic cholecystectomy in patients with symptomatic gallstone disease. Surg Endosc 27:3254–3261

    Article  PubMed  Google Scholar 

  15. Shakeri A, Pourisa M, Deldar A, Goldust M (2013) Anatomic variations of aortic arch branches and relationship with diameter of aortic arch by 64-row CT angiography. Pak J Biol Sci 16:496–500

    Article  PubMed  Google Scholar 

  16. Sicklick JK, Camp MS, Lillemoe KD, Melton GB, Yeo CJ, Campbell KA, Talamini MA, Pitt HA, Coleman J, Sauter PA, Cameron JL (2005) Surgical management of bile duct injuries sustained during laparoscopic cholecystectomy: perioperative results in 200 patients. Ann Surg 241:786–795

    PubMed Central  Article  PubMed  Google Scholar 

  17. Sugita R, Yamazaki T, Fujita N, Naitoh T, Kobari M, Takahashi S (2008) Cystic artery and cystic duct assessment with 64-detector row CT before laparoscopic cholecystectomy. Radiology 248:124–131

    Article  PubMed  Google Scholar 

  18. Suzuki M, Akaishi S, Rikiyama T, Naitoh T, Rahman MM, Matsuno S (2000) Laparoscopic cholecystectomy, Calot’s triangle, and variations in cystic arterial supply. Surg Endosc 14:141–144

    CAS  Article  PubMed  Google Scholar 

  19. Thakur SK (2011) Bleeding complications in laparoscopic cholecystectomy: incidence, mechanisms, prevention and management. J Minim Access Surg 7:200

    PubMed Central  Article  PubMed  Google Scholar 

  20. Torres K, Chroscicki A, Golonka A, Torres A, Staskiewicz G, Palczak R, Ceja-Sanchez JM, Ceccaroni M, Drop A (2009) The course of the cystic artery during laparoscopic cholecystectomy. Folia Morphol (Warsz) 68:140–143

    CAS  Google Scholar 

  21. Toyoda H, Hayakawa K, Kikkawa M, Fukushima H, Kataoka M, Mukaihara S, Nishimura K, Kawakami S (2000) Usefulness of three-dimensional CT cholangiography for patients prior to laparoscopic cholecystectomy. Radiat Med 18:161–166

    CAS  PubMed  Google Scholar 

  22. Tzovaras G, Dervenis C (2006) Vascular injuries in laparoscopic cholecystectomy: an underestimated problem. Dig Surg 23:370–374

    Article  PubMed  Google Scholar 

  23. Xu Y, Shao P, Zhu X, Lv Q, Liu W, Xu H, Zhu Y, Yang G, Tang L, Yin C (2013) Three-dimensional renal CT angiography for guiding segmental renal artery clamping during laparoscopic partial nephrectomy. Clin Radiol 68:609–616

    Article  Google Scholar 

Download references

Acknowledgments

This research was financially supported by the Fund of Leading Medical Cooperation Project of Shanghai Songjiang District (2011LX06). The authors would like to thank Yanbing Chen and Yuansheng Tao for the surgical technique support and Editage (http://www.editage.com/) for English language editing.

Conflict of interest

None.

Author information

Affiliations

Authors

Corresponding author

Correspondence to Jia Yang.

Rights and permissions

Reprints and Permissions

About this article

Verify currency and authenticity via CrossMark

Cite this article

Xia, J., Zhang, Z., He, Y. et al. Assessment and classification of cystic arteries with 64-detector row computed tomography before laparoscopic cholecystectomy. Surg Radiol Anat 37, 1027–1034 (2015). https://doi.org/10.1007/s00276-015-1479-7

Download citation

  • Received:

  • Accepted:

  • Published:

  • Issue Date:

  • DOI: https://doi.org/10.1007/s00276-015-1479-7

Keywords

  • Calot triangle
  • Cystic artery
  • Laparoscopic cholecystectomy
  • Spiral computed tomography