Skip to main content

Canalis sinuosus: a rare anatomical variation

Abstract

The infraorbital canal issues a small branch on its lateral face close to its midpoint to allow passage of the anterior superior alveolar nerve. This small canal, sometimes called the canalis sinuosus, runs forward and downward to the inferior wall of the orbit, lateral to the infraorbital canal and medially bent to the anterior wall of the maxillary sinus, passing below the infraorbital foramen. Anatomical variations in the maxilla are rarely described in the literature and, in most cases, are related to the nasopalatine canal. This article describes a rare anatomical variation of the presence of a bilateral accessory canal extending from the nasal cavity lateral wall to an accessory foramen located on the hard palate, adjacent to the maxillary lateral incisor observed in cone beam computed tomography (CBCT) images. This case is an anatomical variation of the anterior superior alveolar nerve (canalis sinuosus). Identification of individual anatomical variations, especially on CBCT, may help the surgeon to avoid injuries to nerves during implant placement.

This is a preview of subscription content, access via your institution.

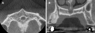
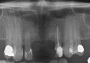
Fig. 1
Fig. 2
Fig. 3
Fig. 4

References

  1. Hu KS, Kwak HH, Song WC, Kang HJ, Kim HC, Fontaine C, Kim HJ (2006) Branching patterns of the infraorbital nerve and topography within the infraorbital space. J Craniofac Surg 17:1111–1115

    PubMed  Article  Google Scholar 

  2. Jones FW (1939) The anterior superior alveolar nerve and vessels. J Anat 73:583–591

    PubMed  CAS  Google Scholar 

  3. Mraiwa N, Jacobs R, Van Cleynenbreugel J, Sanderink G, Schutyser F, Suetens P, van Steenberghe D, Quirynen M (2004) The nasopalatine canal revisited using 2D and 3D CT imaging. Dentomaxillofac Radiol 33:396–402

    PubMed  Article  CAS  Google Scholar 

  4. Robinson S, Wormald PJ (2005) Patterns of innervation of the anterior maxilla: a cadaver study with relevance to canine fossa puncture of the maxillary sinus. Laryngoscope 115:1785–1788

    PubMed  Article  Google Scholar 

  5. Shelley AM, Rushton VE, Horner K (1999) Canalis sinuosus mimicking a periapical inflammatory lesion. Br Dent J 186:378–379

    PubMed  CAS  Google Scholar 

  6. Warwick R, Williams PL (1973) Grays anatomy (35th edition). Longman, Edinburgh

    Google Scholar 

Download references

Acknowledgments

We are thankful to Núcleo Bahiano de Implantes (NBI), Delfin Clinic for carrying out the treatment of the patient and FAPESB (Bahia Research Support Foundation) for the financial support.

Conflict of interest

The authors declare that they have no conflict of interest.

Author information

Affiliations

Authors

Corresponding author

Correspondence to Iêda Crusoé-Rebello.

Rights and permissions

Reprints and Permissions

About this article

Cite this article

Neves, F.S., Crusoé-Souza, M., Franco, L.C.S. et al. Canalis sinuosus: a rare anatomical variation. Surg Radiol Anat 34, 563–566 (2012). https://doi.org/10.1007/s00276-011-0907-6

Download citation

  • Received:

  • Accepted:

  • Published:

  • Issue Date:

  • DOI: https://doi.org/10.1007/s00276-011-0907-6

Keywords

  • Anterior superior alveolar nerve
  • Canalis sinuosus
  • Anatomical variation
  • Maxilla