Skip to main content

Regression of dilated perivascular spaces of the brain

Abstract

Purpose

Perivascular, or Virchow–Robin, spaces of the brain represent interstitial fluid-filled spaces continuous with subpial spaces, and not invagination of cerebrospinal fluid-filled subarachnoid spaces. Regression of a dilated, or even giant, perivascular space occurs rarely. The purpose of this paper is to describe magnetic resonance imaging evidence of complete regression of dilated perivascular spaces (dPVSs).

Methods

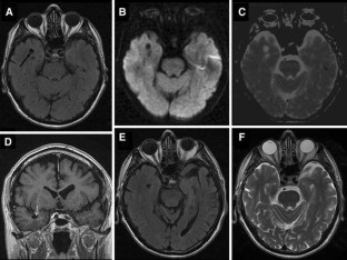
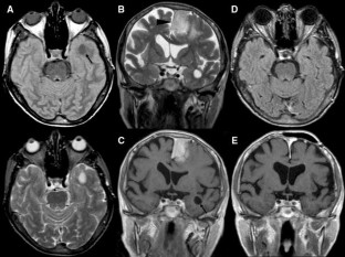
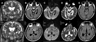
Patient 1 was a 76-year-old woman with right hemiparesis and aphasia from a left cranial vault meningioma infiltrating the superior sagittal sinus, and a left temporal lobe giant perivascular space. Patient 2 was a 70-year-old man with pituitary apoplexy, vasospasm, cerebral ischemia, and two dPVSs, one in the right temporal lobe, and one in the left anterior perforate substance. Patient 3 was a 78-year-old man with a generalized seizure, and a right temporal lobe dPVS.

Results

In all the patients, temporal lobe giant or dPVSs underwent regression, following meningioma subtotal resection (patient 1) or pituitary lesion shrinkage (patient 2), or spontaneously (patient 3). In patient 2, the left anterior perforate substance dPVS was unchanged.

Conclusions

Temporal lobe giant or dPVSs may regress, eventually together with resection or regression of intracranial tumors, also distant from the PVSs. Cerebral edema does not seem the only factor influencing dilatation of PVSs.

This is a preview of subscription content, access via your institution.

Fig. 1
Fig. 2
Fig. 3

References

  1. Abbott NJ (2004) Evidence for bulk flow of brain interstitial fluid: significance for physiology and pathology. Neurochem Int 45:545–552

    Article  CAS  PubMed  Google Scholar 

  2. Ahmad FU, Garg A, Singh M, Mishra NK (2007) Giant mesencephalothalamic Virchow-Robin spaces causing obstructive hydrocephalus. A case report. NRJ Neuroradiol J 20:303–306

    Google Scholar 

  3. Alcolado R, Weller RO, Parrish EP, Garrod D (1988) The cranial arachnoid and pia mater in man: anatomical and ultrastructural observations. Neuropathol Appl Neurobiol 14:1–17

    Article  CAS  PubMed  Google Scholar 

  4. Barkhof F (2004) Enlarged Virchow-Robin spaces: do they matter? J Neurol Neurosurg Psychiatry 75:1516–1517

    Article  CAS  PubMed  Google Scholar 

  5. Ben-Nakhi A, Muttikkal TKE, Chavan VNK, Al-Turkomani YT, Gupta R (2008) Pituitary apoplexy: a rare cause of cerebral infarction. A case report. NRJ Neuroradiol J 21:661–665

    Google Scholar 

  6. Boxerman JL, Hawash K, Bali B, Clarke T, Rogg J, Pal DK (2007) Is rolandic epilepsy associated with abnormal findings on cranial MRI? Epilepsy Res 75:180–185

    Article  PubMed  Google Scholar 

  7. Braffman BH, Zimmerman RA, Trojanowski JQ, Gonatas NK, Hickey WF, Schlaepfer WW (1988) Brain MR: pathologic correlation with gross and histopathology. 1. Lacunar infarction and Virchow-Robin spaces. AJR Am J Roentgenol 151:551–558

    CAS  PubMed  Google Scholar 

  8. Carare-Nnadi R, Bernardes-Silva M, Subash M, Perry VH, Weller RO (2006) Connections between perivascular interstitial fluid drainage pathways in the brain: significance for Alzheimer’s disease and neuroimmunology. In: Meeting abstracts proceedings of the 107th meeting of the British neuropathological society. Neuropathol Appl Neurobiol 32:223

  9. Cerase A, Venturi C, Rubenni E, Tarantini B, Pacini F (2009) Complete regression of a temporal stem dilated perivascular space following resection of a pituitary nonfunctioning macroadenoma. AJNR Am J Neuroradiol 30:E4–E5

    Article  CAS  PubMed  Google Scholar 

  10. Durant-Fardel M (1843) Traite du ramollissement du cerveau. Balliere, Paris

    Google Scholar 

  11. Esiri MM, Gay D (1990) Immunological and neuropathological significance of the Virchow-Robin space. J Neurol Sci 100:3–8

    Article  CAS  PubMed  Google Scholar 

  12. Falcone C, Tinelli E, Pierallini A, Caramia F, Bruti G, Paonessa A, Shaiban M, Pignataro NMR, Cerbo R, Bianco F, Bozzao L (2005) Spontaneous disappearance of juxta-sylvian cyst: MRI study and clinical evaluations. NRJ Neuroradiol J 18:54–58

    Google Scholar 

  13. Fanous R, Midia M (2007) Perivascular spaces: normal and giant. Can J Neurol Sci 34:5–10

    PubMed  Google Scholar 

  14. Ge Y, Law M, Herbert J, Grossman RI (2005) Prominent perivenular spaces in multiple sclerosis as a sign of perivascular inflammation in primary demyelination. AJNR Am J Neuroradiol 26:2316–2319

    PubMed  Google Scholar 

  15. Groeschel S, Chong WK, Surtees R, Hanefeld F (2006) Virchow-Robin spaces on magnetic resonance images: normative data, their dilatation, and a review of the literature. Neuroradiology 48:745–754

    Article  PubMed  Google Scholar 

  16. House P, Salzman KL, Osborn AG, MacDonald JD, Jensen RL, Couldwell WT (2004) Surgical considerations regarding giant dilations of the perivascular spaces. J Neurosurg 100:820–824

    Article  PubMed  Google Scholar 

  17. Hutchings M, Weller RO (1986) Anatomical relationships of the pia mater to cerebral blood vessels in man. J Neurosurg 65:316–325

    Article  CAS  PubMed  Google Scholar 

  18. Koh L, Zakharov A, Johnston M (2005) Integration of the subarachnoid space and lymphatics: is it time to embrace a new concept of cerebrospinal fluid absorption? Cerebrospinal Fluid Res 2:6

    Article  PubMed  Google Scholar 

  19. Kwee RM, Kwee TC (2007) Virchow-Robin spaces at MR imaging. Radiographics 27:1071–1086

    Article  PubMed  Google Scholar 

  20. Inglese M, Bomsztyk E, Gonen O, Mannon LJ, Grossman RI, Rusinek H (2005) Dilated perivascular spaces: hallmarks of mild traumatic brain injury. AJNR Am J Neuroradiol 26:719–724

    PubMed  Google Scholar 

  21. MacLullich AMJ, Wardlaw JM, Ferguson KJ, Starr JM, Seckl JR, Deary IJ (2004) Enlarged perivascular spaces are associated with cognitive function in healthy elderly men. J Neurol Neurosurg Psychiatry 75:1519–1523

    Article  CAS  PubMed  Google Scholar 

  22. Martin Mdel P, Cravens PD, Winger R, Kieseier BC, Cepok S, Eagar TN, Zamvil SS, Weber MS, Frohman EM, Kleinschmidt-Demasters BK, Montine TJ, Hemmer B, Marra CM, Stüve O (2009) Depletion of B lymphocytes from cerebral perivascular spaces by rituximab. Arch Neurol 66:1016–1020

    Article  PubMed  Google Scholar 

  23. Matsusue E, Sugihara S, Fujii S, Ohama E, Kinoshita T, Ogawa T (2006) White matter changes in elderly people: MR-pathologic correlations. Magn Reson Med Sci 5:99–104

    Article  PubMed  Google Scholar 

  24. Ogawa T, Okudera T, Fukasawa H, Hashimoto M, Inugami A, Fujita H (1995) Unusual widening of Virchow-Robin spaces: MR appearance. AJNR Am J Neuroradiol 16:1238–1242

    CAS  PubMed  Google Scholar 

  25. Osborn AG, Weller RO, Salzman KL, Hewlett R (2003) Imaging of brain perivascular spaces. NRJ Neuroradiol J 16(suppl 2):55–58

    Google Scholar 

  26. Oztürk MH, Aydingöz U (2002) Comparison of MR signal intensities of cerebral perivascular (Virchow-Robin) and subarachnoid spaces. J Comput Assist Tomogr 26:902–904

    Article  PubMed  Google Scholar 

  27. Patankar TF, Mitra D, Varma A, Snowden J, Neary D, Jackson A (2005) Dilatation of Virchow-Robin spaces is a sensitive indicator of cerebral microvascular disease: study in elderly patients with dementia. AJNR Am J Neuroradiol 26:1512–1520

    PubMed  Google Scholar 

  28. Pollock H, Hutchings M, Weller RO, Zhang ET (1997) Perivascular spaces in the basal ganglia of the human brain: their relationship to lacunes. J Anat 191:337–346

    Article  PubMed  Google Scholar 

  29. Robin C (1859) Recherches sur quelques particularités de la structure des capillaires de l’encephale. J Physiol Homme Anim 2:537–548

    Google Scholar 

  30. Saeki N, Uchino Y, Murai H, Kubota M, Isobe K, Uno T, Sunami K, Yamaura A (2003) MR imaging study of edema-like change along optic tract in patients with pituitary region tumors. AJNR Am J Neuroradiol 24:336–342

    PubMed  Google Scholar 

  31. Saeki N, Nagai Y, Matsuura I, Uchino Y, Kubota M, Murai H, Ishikura H, Ikehira H, Yamaura A (2004) Histologic characteristics of normal perivascular spaces along the optic tract: new pathogenetic mechanism for edema in tumors in the pituitary region. AJNR Am J Neuroradiol 25:1218–1222

    PubMed  Google Scholar 

  32. Salzman KL, Osborn AG, House P, Jinkins JR, Ditchfield A, Cooper JA, Welller RO (2005) Giant tumefactive perivascular spaces. AJNR Am J Neuroradiol 26:298–305

    PubMed  Google Scholar 

  33. Tsitouridis I, Papaioannou S, Arvaniti M, Tsitouridis I, Rodokalasis G, Papasterigiou C (2008) Enhancement of Robin-Virchow spaces MRI evaluation. NRJ Neuroradiol J 21:490–499

    Google Scholar 

  34. Virchow R (1851) Ueber die Erweiterung kleinerer Gefaesse. Arch Pathol Anat Physiol Klin Med 3:427–462

    Article  Google Scholar 

  35. Weller RO (1995) Fluid compartments and fluid balance in the central nervous system. In: Williams PL (ed) Gray’s anatomy, 38th edn. Churchill Livingstone, Edinburgh, pp 1202–1224

    Google Scholar 

  36. Zhang ET, Inman CB, Weller RO (1990) Interrelationships of the pia mater and the perivascular (Virchow-Robin) spaces in the human cerebrum. J Anat 170:111–123

    CAS  PubMed  Google Scholar 

Download references

Acknowledgments

We thank Tiziana Caselli, radiologist technician, from the Unità Operativa Complessa di Neuroimmagini e Neurointerventistica, Dipartimento di Neuroscienze, Azienda Ospedaliera Universitaria Senese, Policlinico “Santa Maria alle Scotte”, Siena, Italy, for her assistance, and Roberto Faleri from the Central Library, School of Medicine, University of Siena, Policlinico “Santa Maria alle Scotte”, Siena, Italy, for providing references for the preparation of this article.

Author information

Affiliations

Authors

Corresponding author

Correspondence to Alfonso Cerase.

Rights and permissions

Reprints and Permissions

About this article

Cite this article

Cerase, A., Vallone, I.M., Muccio, C.F. et al. Regression of dilated perivascular spaces of the brain. Surg Radiol Anat 32, 555–561 (2010). https://doi.org/10.1007/s00276-009-0603-y

Download citation

  • Received:

  • Accepted:

  • Published:

  • Issue Date:

  • DOI: https://doi.org/10.1007/s00276-009-0603-y

Keywords

  • Brain
  • Cerebrospinal fluid
  • Perivascular spaces
  • Magnetic resonance imaging