Skip to main content

Bilateral symmetric junctional infarctions of the cerebellum: a case report

Abstract

The advances in neuroimaging have improved clinicoanatomic correlations in patients with stroke. Junctional infarct is a distinct term, used to describe border zone infarcts of the posterior fossa. We presented computed tomography (CT) and magnetic resonance imaging (MRI) findings in a rare case of bilateral symmetrical junctional infarcts between the superior cerebellar artery (SCA) and posterior inferior cerebellar artery (PICA) territories. In addition to precise knowledge of arterial territories required to achieve accurate localization of ischemic lesions on CT and MRI, the radiologist must also be aware of radiologic features and geographic territories of cerebellar arteries and their junctional infarctions.

This is a preview of subscription content, access via your institution.

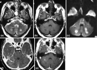
Fig. 1

References

  1. Amarenco P (1991) The spectrum of cerebellar infarctions. Neurology 41:973–979

    CAS  PubMed  Google Scholar 

  2. Amarenco P, Hauw JJ (1989) Anatomie des artères cérébelleuses. Rev Neurol 145:267–276

    CAS  PubMed  Google Scholar 

  3. Amarenco P, Hauw JJ (1990) Cerebellar infarction in the territory of the superior cerebellar artery. A clinico-pathological study of 20 cases. Brain 113:139–155

    Article  PubMed  Google Scholar 

  4. Amarenco P, Hauw JJ (1990) Cerebellar infarction in the territory of the superior cerebellar artery. A clinicopathological study of 33 cases. Neurology 40:1383–1390

    CAS  PubMed  Google Scholar 

  5. Amarenco P, Kase SC, Rosengart A, Pessin MS, Bousser MR, Caplan R (1993) Very small (border zone) cerebellar infarcts. Brain 116:161–186

    Article  PubMed  Google Scholar 

  6. Barth A, Bogousslavsky J, Regli F (1993) The clinical and topographic spectrum of cerebellar infarcts: a clinical magnetic resonance imaging correlation study. Ann Neurol 33:451–456

    Article  CAS  PubMed  Google Scholar 

  7. Baum PA, Barkovich AJ, Koch TK, Berg BO (1994) Deep gray matter involvement in children with acute disseminated encephalomyelitis. AJNR 15:1275–1283

    CAS  PubMed  Google Scholar 

  8. Caldemeyer KS, Smith RR, Harris TM (1994) MRI in acute disseminated encephalomyelitis. Neuroradiology 36:216–220

    Article  CAS  PubMed  Google Scholar 

  9. Canaple S, Bogousslavsky J (1999) Multiple large and cerebellar infarctions. J Neurol Neurosurg Psychiatry 66:739–745

    Article  CAS  PubMed  Google Scholar 

  10. Chabas D, Strober J, Waubant E (2008) Pediatric multiple sclerosis. Curr Neurol Neurosci Rep 8:434–441

    Article  PubMed  Google Scholar 

  11. Cormier PJ, Long ER, Russell EJ (1992) MR imaging of posterior fossa infarctions: vascular territories and clinical correlates. Radiographics 12:1079–1092

    CAS  PubMed  Google Scholar 

  12. Hayman LA, Evans RA, Hinck VC (1980) Delayed high-iodine dose contrast computed tomography: cranial neoplasms. Radiology 136:677–684

    CAS  PubMed  Google Scholar 

  13. Katz D, Taubenberger JK, Canella B, McFarlin DE, Raine CS, McFarland HF (1993) Correlation between magnetic resonance imaging findings and lesion development in chronic, active multiple sclerosis. Ann Neurol 34:661–669

    Article  CAS  PubMed  Google Scholar 

  14. Marinkovic S, Kovacevic M, Gibo H, Milisavljevic M, Bumbasirevic L (1995) The anatomical basis for the cerebellar infarcts. Surg Neurol 44:450–461

    Article  CAS  PubMed  Google Scholar 

  15. Pullicino PM (1993) Diagrams of perforating artery territories in axial, coronal and sagittal planes. Adv Neurol 62:41–73

    CAS  PubMed  Google Scholar 

  16. Savoiardo M, Bracchi M, Passerini A, Visciani A (1987) The vascular territories in the cerebellum and brainstem: CT and MR study. AJNR Am J Neuroradiol 8:199–209

    CAS  PubMed  Google Scholar 

  17. Swiontoniowski M, Biller J, Azar-Kia B, Fine M (1985) Cerebellar infarction-clinical and cranial computerized tomography correlations. Eur Neurol 24:338–342

    Article  CAS  PubMed  Google Scholar 

  18. Tatu L, Moulin T, Bogousslavsky J, Duvernoy H (1996) Arterial territories of human brain: brainstem and cerebellum. Neurology 47:1125–1135

    CAS  PubMed  Google Scholar 

  19. Tekinsoy B, Usal C, Erbayraktar S, Acar U (2001) Bilateral junctional infarction of the cerebellum. Turk J Intervent Radiol 7:337–339

    Google Scholar 

  20. Yurtsever I, Hakyemez B, Taskapilioglu O, Erdoğan C, Turan OF, Parlak M (2008) The contribution of diffusion-weighted MR imaging in multiple sclerosis during acute attack. Eur J Radiol 65:421–426

    Article  PubMed  Google Scholar 

  21. Zimmerman RA, Haselgrove JC, Wang Z, Hunter JV, Morris MC, Hoydu A, Bilaniuk LT (1998) Advances in pediatric neuroimaging. Brain Dev 20:275–289

    Article  CAS  PubMed  Google Scholar 

Download references

Author information

Affiliations

Authors

Corresponding author

Correspondence to Yılmaz Kiroğlu.

Rights and permissions

Reprints and Permissions

About this article

Cite this article

Kiroğlu, Y., Karabulut, N., Oncel, C. et al. Bilateral symmetric junctional infarctions of the cerebellum: a case report. Surg Radiol Anat 32, 509–512 (2010). https://doi.org/10.1007/s00276-009-0560-5

Download citation

  • Received:

  • Accepted:

  • Published:

  • Issue Date:

  • DOI: https://doi.org/10.1007/s00276-009-0560-5

Keywords

  • Cerebellar infarction
  • Junctional infarct
  • Magnetic resonance imaging