Skip to main content

Anatomically based comparison of the different transthoracic routes for colon ascension after total esogastrectomy

Abstract

Colon interposition is the method of choice to restore the digestive tract after esogastrectomy. The aim of this study was to compare the length of the four available routes for colon transposition (posterior mediastinum route, transpleural route, substernal route and subcutaneous route) and to achieve a specific evaluation of the transpleural route. Our study was conducted with anatomical (dissection) and radiological (2D CT scan reconstructions) protocols. For both, the posterior mediastinum route was always the shortest way and the subcutaneous route was always the longest. For the anatomical results, the transpleural route and the substernal route were similar in terms of length and for the radiological study, the transpleural route was shorter than the substernal route (P < 0.001) and shorter than the subcutaneous route (P < 0.001). We demonstrated that the transpleural route was acceptable for colon transposition in term of length, and could be an alternative when the substernal route is unavailable.

This is a preview of subscription content, access via your institution.

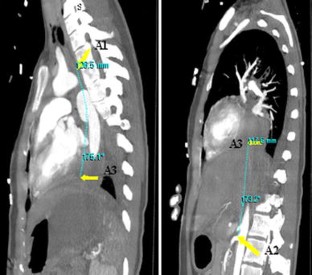
Fig. 1
Fig. 2
Fig. 3
Fig. 4
Fig. 5
Fig. 6

References

  1. Chen H, Lu JJ, Zhou J, Zhou X, Luo X, Liu Q et al (2009) Anterior versus posterior routes of reconstruction after esophagectomy: a comparative anatomic study. Ann Thorac Surg 87:400–404

    Article  PubMed  Google Scholar 

  2. Chien KY, Wang PY, Lu KS (1974) Esophagoplasty for corrosive stricture of the esophagus: an analysis of 60 cases. Ann Surg 179:510–515

    Article  CAS  PubMed  Google Scholar 

  3. Coral RP, Constant-Neto M, Silva IS, Kalil AN, Boose R, Beduschi T et al (2003) Comparative anatomical study of the anterior and posterior mediastinum as access routes after esophagectomy. Dis Esophagus 16:236–238

    Article  CAS  PubMed  Google Scholar 

  4. Ferrer JM, Bruck HM (1969) Jejunal and colonic interposition for non-malignant disease of the esophagus. Ann Surg 169:533–543

    Article  PubMed  Google Scholar 

  5. Han Y, Cheng QS, Li XF, Wang XP (2004) Surgical management of esophageal strictures after caustic burns: a 30 years of experience. World J Gastroenterol 10:2846–2849

    PubMed  Google Scholar 

  6. Kelling G (1911) Oesophagoplastik mit Hilfe des Querkolon. Zentralblatt Chir 38:1209–1212

    Google Scholar 

  7. Ngan SY, Wong J (1986) Lengths of different routes for esophageal replacement. J Thorac Cardiovasc Surg 91:790–792

    CAS  PubMed  Google Scholar 

  8. Orringer MB, Sloan H (1975) Substernal gastric bypass of the excluded thoracic esophagus for palliation of esophageal carcinoma. J Thorac Cardiovasc Surg 70:836–851

    CAS  PubMed  Google Scholar 

  9. Orsoni P, Lemaire M (1951) Esophagoplasty technique using the transverse and descending colon. J Chir 67:491–505

    CAS  Google Scholar 

  10. Orsoni P, Toupet A (1950) Use of the descending colon and the left part of the transverse colon for prethoracic esophagoplasty. Presse Med 58:804

    CAS  PubMed  Google Scholar 

  11. Popovici Z (2003) A new philosophy in esophageal reconstruction with colon. Thirty-years experience. Dis Esophagus 16:323–327

    Article  CAS  PubMed  Google Scholar 

  12. Robertson R, Sarjeant TR (1950) Reconstruction of esophagus. J Thorac Surg 20:689–705

    CAS  PubMed  Google Scholar 

  13. Team RDC R (2008) A language and environment for statistical computing. R Foundation for Statistical Computing, Vienna. ISBN 3-900051-07-0

  14. Thomas P, Fuentes P, Giudicelli R, Reboud E (1997) Colon interposition for esophageal replacement: current indications and long-term function. Ann Thorac Surg 64:757–764

    Article  CAS  PubMed  Google Scholar 

  15. Vulliet H (1911) De l’ooesophagolpastie et des divers modifications. Semaine Med 31:529–534

    Google Scholar 

  16. Wong AC, Law S, Wong J (2003) Influence of the route of reconstruction on morbidity, mortality and local recurrence after esophagectomy for cancer. Dig Surg 20:209–214

    Article  PubMed  Google Scholar 

  17. Wu MH, Tseng YT, Lin MY, Lai WW (2001) Esophageal reconstruction for hypopharyngoesophageal strictures after corrosive injury. Eur J Cardiothorac Surg 19:400–405

    Article  CAS  PubMed  Google Scholar 

Download references

Author information

Affiliations

Authors

Corresponding author

Correspondence to Manuela Perez.

Rights and permissions

Reprints and Permissions

About this article

Cite this article

Perez, M., Haumont, T., Arnoux, J.M. et al. Anatomically based comparison of the different transthoracic routes for colon ascension after total esogastrectomy. Surg Radiol Anat 32, 63–68 (2010). https://doi.org/10.1007/s00276-009-0550-7

Download citation

  • Received:

  • Accepted:

  • Published:

  • Issue Date:

  • DOI: https://doi.org/10.1007/s00276-009-0550-7

Keywords

  • Coloplasty
  • Route of reconstruction
  • Esogastrectomy
  • Esophagoplasty