Skip to main content

A common hepatic artery passing in front of the portal vein

Abstract

A variation in liver vascularization was discovered in a 50-year-old man. A single common hepatic artery was found to be responsible for vascularization of the entire liver. This artery was unusual in that it formed the first branch of the superior mesenteric artery, crossing the portal trunk shortly after its origin, and passed in front of the portal vein to reach the hilum of the liver, where it divided into a right and a left branch. This artery was a true common hepatic artery because a gastroduodenal artery emerged from it 2 cm after its origin. A common hepatic artery originating from the mesenteric artery and passing in front of the portal vein has never been described before. The patient had a second anatomical variation: the left gastric artery and the splenic artery arose directly from the aorta, without celiac trunk separation. This observation confirms the importance of carrying out a precise vascular assessment before all types of hepatic or pancreatic surgery, to identify possible variations in the number or trajectory of hepatic arteries.

This is a preview of subscription content, access via your institution.

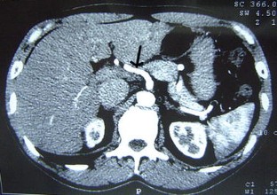
Fig. 1
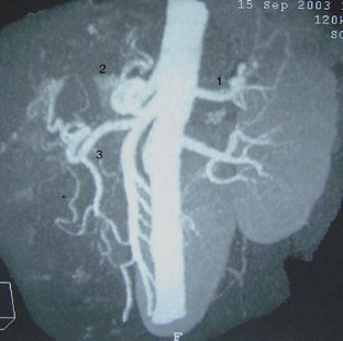
Fig. 2
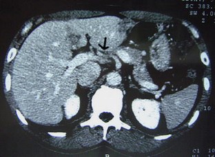
Fig. 3
Fig. 4
Fig. 5
Fig. 6

References

  1. Adachi B (1928) Das Arteriensystem der Japaner. Kenkyusha Press, Kyoto, Band II, 46–60

  2. Barth M, Tongio J, Warter P (1976) Interprétation embryologique de l’anatomie des artères digestives. Ann Radiol 19:305–313

    PubMed  CAS  Google Scholar 

  3. Chevallier JM (1999) Anatomie des artères digestives. In: Kieffer E, Parc E (ed) Chirurgie des artères digestives. Editions AERCV, pp 3–22

  4. Chevallier JM, Hannoun L (1991) Anatomic bases for liver transplantation. Surg Radiol Anat 13:7–16

    PubMed  Article  CAS  Google Scholar 

  5. Couinaud C (1957) Le foie: études anatomiques et chirurgicales. Masson, Paris, pp 71–74

    Google Scholar 

  6. Covey AM, Brody LA, Maluccio MA, Getrajdman GI, Brown KT (2002) Variant hepatic arterial anatomy revisited: digital subtraction angiography performed in 600 patients. Radiology 224:542–547

    PubMed  Article  Google Scholar 

  7. Denys A, Sauvanet A, Wicky S, Schnyder P, Belhghiti J (2002) Anatomie chirurgicale du foie. J Radiol 83:205–218

    PubMed  CAS  Google Scholar 

  8. Flint ER (1923) Abnormalities of the right hepatic, cystic and gastroduodenal arteries and of the bile ducts. Br J Surg 10:509–519

    Article  Google Scholar 

  9. Gupta SC, Gupta CD, Gupta SB (1979) Intrahepatic supply pattern in cases of double hepatic arteries: a study by corrosion casts. Anat Anz 146:166–170

    PubMed  CAS  Google Scholar 

  10. Haller A (1756) Icones anatomicae in quibus praecipae partes corporis humani delineate proponuntur et arteriarum potissimum historia contineur. Vandenhoeck, Gottingen, Vol VIII, 270

  11. Hiatt JR, Gabbay J, Busuttil RW (1994) Surgical anatomy of the hepatic arteries in 1000 cases. Ann Surg 220:50–52

    PubMed  Article  CAS  Google Scholar 

  12. Jones RM, Hardy KJ (2001) The hepatic artery: a reminder of surgical anatomy. J R Coll Surg Edinb 46:168–170

    PubMed  CAS  Google Scholar 

  13. Kahraman G, Marur T, Tanyeli E, Yildirim M (2001) Hepatomesenteric trunk. Surg Radiol Anat 23:433–435

    PubMed  Article  CAS  Google Scholar 

  14. Kishi Y, Sugawara Y, Kaneko J, Akamatsu N, Imamura H, Asato H, Kokudo N, Makuuchi M (2004) Hepatic arterial anatomy for right liver procurement from living donors. Liver Transpl 10:129–133

    PubMed  Article  Google Scholar 

  15. Koops A, Wojciechowski B, Broering DC, Adam G, Krupski-Berdien G (2004) Anatomic variations of the hepatic arteries in 604 selective celiac and superior mesenteric angiographies. Surg Radiol Anat 26:239–244

    PubMed  Article  CAS  Google Scholar 

  16. Michels NA (1955) Blood supply and anatomy of the upper abdominal organs with a descriptive atlas. JB Lippincott Co, Philadelphia-Montreal, pp 236–247

    Google Scholar 

  17. Michels NA (1966) Newer anatomy of the liver and its variant blood supply and collateral circulation. Am J Surg 112:337–347

    PubMed  Article  CAS  Google Scholar 

  18. Miyaki T, Sakagami S, Ito H (1989) Intrahepatic territory of the accessory hepatic artery in human. Acta Anat 136:34–37

    PubMed  Article  CAS  Google Scholar 

  19. Nagino M, Hayakawa N, Kitagawa S, Dohke M, Nimura Y (1993) Right anterior hepatic artery arising from the superior mesenteric artery: a case report. Hepatogastroenterology 40:407–409

    PubMed  CAS  Google Scholar 

  20. Rong GH, Sindelar WF (1987) Aberrant peripancreatic arterial anatomy. Considerations in performing pancreatectomy for malignant neoplasms. Am Surg 53:726–729

    PubMed  CAS  Google Scholar 

  21. Sponza M, Pozzi Mucelli R, Pozzi Mucelli F (1993) Arterial anatomy of the celiac trunk and the superior mesenteric artery with computerized tomography. Radiol Med 86:260–267

    CAS  PubMed  Google Scholar 

  22. Tono T, Kanoh T, Ohnishi T, Matsushita M, Nakano Y, Kimura Y, Iwazawa T, Yano H, Okamura J, Monden T (2004) Adjuvant hepatic arterial infusion after curative resection of colorectal liver metastases using removable intra-arterial catheters with shape-memory alloy. J Surg Oncol 88:248–255

    PubMed  Article  Google Scholar 

  23. Vandamme JPJ, Bonte J, van der Schueren G (1969) A revaluation of hepatic and cystic arteries: the importance of the aberrant hepatic branches. Acta Anat 73:192–209

    PubMed  Article  CAS  Google Scholar 

Download references

Author information

Affiliations

Authors

Corresponding author

Correspondence to Frédérique Peschaud.

Additional information

With the collaboration of the association Arold (Boulogne, France)

Rights and permissions

Reprints and Permissions

About this article

Cite this article

Peschaud, F., El Hajjam, M., Malafosse, R. et al. A common hepatic artery passing in front of the portal vein. Surg Radiol Anat 28, 202–205 (2006). https://doi.org/10.1007/s00276-005-0063-y

Download citation

  • Received:

  • Accepted:

  • Published:

  • Issue Date:

  • DOI: https://doi.org/10.1007/s00276-005-0063-y

Keywords

  • Liver
  • Variation
  • Hepatic artery
  • Anatomy