Skip to main content

The communicating branches between the sural and superficial peroneal nerves in the foot: a review of 55 cases

Abstract

The rich sensory innervation of the ankle and foot is manifest through the numerous communicating branches linking the neural trunks, particularly the superficial peroneal and sural nerves on the anterolateral aspect of the hindfoot. The 35 communicating branches seen in 55 dissections (58%) were proximal in half of the cases, lying in the malleolar and lateral tarsal regions, and distal in the other half, in the metatarsal region. The communicating branch was straight in 25 cases and curved in 11. The average distances of the communicating branch from the crest of the lateral malleolus and the tubercle of the 5th metatarsal was 4.7 and 4.1 cm, but there was a wide range of values. We believe that stretching of the proximal communicating branch during forced inversion of the ankle and/or foot or during fractures of the calcaneus or direct injury in surgical approaches or arthroscopy of the ankle may lead to unexplained pre- and submalleolar pain. Advances in modern imaging may allow recognition of these branches and guidance of infiltration and even neurolysis in cases of failure of conservative treatment.

This is a preview of subscription content, access via your institution.

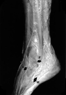
Fig. 1
Fig. 2
Fig. 3
Fig. 4
Fig. 5
Fig. 6
Fig. 7
Fig. 8

References

  1. Acus RW, Flanagan JP (1991) Perineural fibrosis of superficial peroneal nerve complicating ankle sprain: a case report. Foot Ankle 11:233–235

    PubMed  Google Scholar 

  2. Adkinson DP, Bosse J, Gaccione DR, Gabriel KR (1991) Anatomical variation in the course of the superficial peroneal nerve. J Bone Joint Surg Am 73:112–114

    PubMed  Google Scholar 

  3. Andreassi G (1954) Observation sur l’origine, le comportement et la distribution du nerf saphène externe, de l’accessoire du saphène externe et du nerf cutané péronier chez l’homme. 50ème réunion des Anatomistes de Langue Française, Bordeaux 30 mars-1er avril 1953. C R Assoc Anat 136:558–564

    Google Scholar 

  4. Banverjee T, Koons DD (1981) Surgical peroneal nerve entrapment: report of two cases. J Neurosurg 55:991–992

    PubMed  Google Scholar 

  5. Blair JM, Botte MJ (1994) Surgical anatomy of the superficial peroneal nerve in the ankle and foot. Clin Orthop 305:229–238

    PubMed  Google Scholar 

  6. Bonnel F, Janot TAP, Briand D, Claustre JE, Faure P (1992) Le nerf fibulaire superficiel au pied. Med Chir Pied 8:95–100

    Google Scholar 

  7. Brémon-Gignac D, Copin H, Kohler C, Le Pesteur J, Cussenot O, Lassau JP (2001) The lateral inframalleolar pad: a poorly recognized anatomical structure. Surg Radiol Anat 23:325–329

    PubMed  Google Scholar 

  8. Daghino W, Pasquali M, Faletti C (1997) Superficial peroneal nerve entrapment in a young athlete: the diagnostic contribution of MRI. J Foot Surg 36:170–172

    CAS  Google Scholar 

  9. Eastwood DM, Irgau I, Atkins RM (1992) The distal course of the sural nerve and its significance for incision around the lateral hindfoot. Foot Ankle 13:199–202

    CAS  PubMed  Google Scholar 

  10. Fischer L, Belin J, Vuillardf P, Morin A, Neidhardt JH, Bouchet A (1972) Trajet et mode de terminaison du nerf saphène externe au cou-de-pied et au pied. C R Assoc Anat 56:1421–1424

    Google Scholar 

  11. Garfin S, Mubarel SJ, Owen CA (1977) Exertional anterolateral compartment syndrome. J Bone Joint Surg Am 59:404–405

    CAS  PubMed  Google Scholar 

  12. Heune DB, Bunnell WP (1995) Operative anatomy of nerves encountered in the lateral approach to the distal part of the fibula. J Bone Joint Surg Am 77:1021–1024

    PubMed  Google Scholar 

  13. Johnston EC, Howell SJ (1999) Tension neuropathy of the superficial peroneal nerve: associated conditions and results of release. Foot Ankle Int 20:576–582

    CAS  PubMed  Google Scholar 

  14. Kernohan J, Levach B, Wilson JN (1985) Entrapment of the superficial peroneal nerve. Three case reports. J Bone Joint Surg Br 67:60–61

    CAS  PubMed  Google Scholar 

  15. Kosinski C (1926) The course, mutual relations and distribution of the cutaneous nerves of the metazonal region of the leg and foot. J Anat 60:274–297

    Google Scholar 

  16. Lawrence ST, Botte M (1994) The sural nerve in the foot and ankle: an anatomic study with clinical and surgical implications. Foot Ankle Int 15:490–493

    Google Scholar 

  17. Lowdon IMR (1985) Superficial peroneal nerve entrapment. J Bone Joint Surg Br 67:59–61

    Google Scholar 

  18. McAuliffe TB, Fildian NJ, Browett JP (1985) Entrapment neuropathy of the superficial peroneal nerve. J Bone Joint Surg Br 67:62–63

    CAS  PubMed  Google Scholar 

  19. Mestdagh H, Drizenko A, Maynou C, Demondion X, Monier R (2001) Origin and make up of the human sural nerve. Surg Radiol Anat 23:307–312

    CAS  PubMed  Google Scholar 

  20. Sarrafian SK (1983) Anatomy of the foot and ankle: descriptive, topographic functional. JB Lippincott, Philadelphia, p 429

    Google Scholar 

  21. Stephens MM, Kelly PM (2000) Fourth toe flexion sign: a new clinical sign for identification of the superficial peroneal nerve. Foot Ankle Int 21:860–863

    CAS  PubMed  Google Scholar 

  22. Styf J (1989) Entrapment of the superficial peroneal nerve. J Bone Joint Surg Br 71:130–135

    Google Scholar 

Download references

Author information

Affiliations

Authors

Corresponding author

Correspondence to H. Mestdagh.

Rights and permissions

Reprints and Permissions

About this article

Cite this article

Drizenko, A., Demondion, X., Luyckx, F. et al. The communicating branches between the sural and superficial peroneal nerves in the foot: a review of 55 cases. Surg Radiol Anat 26, 447–452 (2004). https://doi.org/10.1007/s00276-004-0264-9

Download citation

  • Received:

  • Accepted:

  • Published:

  • Issue Date:

  • DOI: https://doi.org/10.1007/s00276-004-0264-9

Keywords

  • Sural nerve
  • Superficial peroneal nerve
  • Communicating branches
  • Ankle
  • Inversion