Skip to main content

Benign Metastasizing Leiomyomas Following Myomectomy and Uterine Artery Embolization

Abstract

Benign metastasizing leiomyomas (BMLs) are rare sequelae of common uterine leiomyomas and most frequently found in the lungs. Most cases of BMLs occur with a history of prior gynecologic procedures; however, none have yet been reported in association with uterine artery embolization (UAE). This case report highlights the disease course for a 48-yo female with a history of both myomectomy and UAE for uterine fibroids who presented later with bilateral pulmonary BMLs. Though the pathophysiology of BMLs is poorly understood and this case is confounded by prior myomectomy, it does bring into question whether UAE has a role in BML development. Regardless, UAEs have become a routine procedure and interventionalists should be aware of the possibility of BMLs in post-fibroid treatment patient populations.

This is a preview of subscription content, access via your institution.

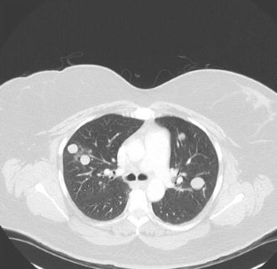
Fig. 1
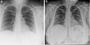
Fig. 2
Fig. 3

References

  1. Egberts JH, Schafmayer C, Bauerschlag DO, et al. Benign abdominal and pulmonary metastasizing leiomyoma of the uterus. Arch Gynecol Obstet. 2006;274:319.

    Article  PubMed  Google Scholar 

  2. Pitts S, Oberstein EM, Glassberg MK. Benign metastasizing leiomyoma and lymphangioleiomyomatosis: sex-specific diseases? Clin Chest Med. 2004;25:343–60.

    Article  PubMed  Google Scholar 

  3. Miller J, Shoni M, Siegert C, et al. Benign Metastasizing Leiomyomas to the Lungs: An Institutional Case Series and a Review of the Recent Literature. Ann Thorac Surg. 2016;101(1):253–8.

    Article  PubMed  Google Scholar 

  4. Pacheco-Rodriguez G, Taveira-DaSilva A, Moss J. Benign Metastasizing Leiomyoma. Clin Chest Med. 2016;37(3):589–95.

    Article  PubMed  Google Scholar 

  5. Wei WT, Chen PC. Benign metastasizing leiomyoma of the lung: a case report and literature review. Oncol Lett. 2015;10(1):307–12.

    PubMed  PubMed Central  Google Scholar 

  6. Awoniyi O, Awonuga MB, Valerie I, et al. Pathogenesis of benign metastasizing leiomyoma: a review. Obstetrical and Gynecologic Survey. 2010;65(3):189–95.

    Article  Google Scholar 

Download references

Author information

Affiliations

Authors

Corresponding author

Correspondence to Theresa M. Caridi.

Ethics declarations

Conflict of interest

All authors have no conflicts of interests to disclose.

Ethical Approval

This case report does not contain studies with human participants or animals performed by any of the authors.

Rights and permissions

Reprints and Permissions

About this article

Verify currency and authenticity via CrossMark

Cite this article

Yoon, J., Spies, J.B. & Caridi, T.M. Benign Metastasizing Leiomyomas Following Myomectomy and Uterine Artery Embolization. Cardiovasc Intervent Radiol 40, 1796–1799 (2017). https://doi.org/10.1007/s00270-017-1696-z

Download citation

  • Received:

  • Accepted:

  • Published:

  • Issue Date:

  • DOI: https://doi.org/10.1007/s00270-017-1696-z

Keywords

  • Uterine fibroid embolization
  • Benign metastasizing leiomyoma
  • Pulmonary nodules