Skip to main content

Selective Embolisation of a Heavily Bleeding Cervical Fibroid in a Pregnant Woman

Abstract

We report a case of a 20-week pregnant woman, who underwent embolisation of a cervical fibroid to end a life-threatening massive bleeding. This is the first reported case in the literature of a super-selective uterine fibroid embolisation (UFE) in a pregnant woman, even though pregnancy is considered an absolute contraindication for UFE. This rare case demonstrates that UFE can be safely performed during pregnancy providing an excellent short- and long-term clinical outcome for both mother and child.

This is a preview of subscription content, access via your institution.

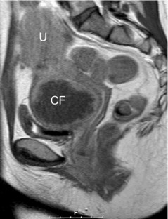
Fig. 1
Fig. 2
Fig. 3

References

  1. Freed MM, Spies JB. Uterine artery embolization for fibroids: a review of current outcomes. Semin Reprod Med. 2010;28:235–41.

    Article  PubMed  Google Scholar 

  2. Poulsen B, Munk T, Ravn P. Long-term follow up after uterine artery embolization for symptomatic uterine leiomyomas. Acta Obstet Gynecol Scand. 2011;90:1281–3.

    Article  PubMed  Google Scholar 

  3. Spies JB, Bruno J, Czeyda-Pommersheim F, et al. Long-term outcome of uterine artery embolization of leiomyomata. Obstet Gynecol. 2005;106:933–9.

    Article  PubMed  Google Scholar 

  4. Lohle PN, Voogt MJ, De Vries J, et al. Long-term outcome of uterine artery embolization for symptomatic uterine leiomyomas. J Vasc Internv Radiol. 2008;19:319–26.

    Article  Google Scholar 

  5. Scheurig-Muenkler C, Koesters C, Powerski MJ, et al. Clinical long-term outcome after uterine artery embolization: sustained symptom control and improvement of quality of life. J Vasc Interv Radiol. 2013;24:765–71.

    Article  PubMed  Google Scholar 

  6. ICRP 1990. Recommendations of the International Commission on Radiological Protection. Oxford: Pergamon Press; 1990.

    Google Scholar 

  7. Tapiovaara M, Siiskonen T. A Monte Carlo program for calculating patient doses in Medical X-ray examinations (2nd Ed.), http://www.stuk.fi/sateilyn-yodyntaminen/ohjelmat/PCXMC/en_GB/pcxmc/_files/89704770343145731/default/stuk-a231.pdf.

  8. Guimaraes M, Lencioni R, Siskin GP. Uterine fibroids, chap. 54. In: Embolization therapy: principles and clinical applications. Baltimore: Wolters Kluwer Health; 2015. p. 492–502. ISBN 978-1-4511-9144-8.

  9. Smeets AJ, Nijenhuis RJ, van Rooij WJ, et al. Embolization of uterine leiomyomas with polyzene-F-coated hydrogel microspheres: initial experience. J Vasc Interv Radiol. 2010;21(12):1830–4.

    Article  PubMed  Google Scholar 

  10. Scheurig-Muenkler C, Powerski MJ, Mueller JC, et al. Radiation Exposure during uterine artery embolization: effective measures to minimize dose to the patient. Cardiovasc Intervent Radiol. 2014;. doi:10.1007/s00270-014-0962-6.

    Google Scholar 

  11. Bratby MJ, Ramachandran N, Sheppard N, et al. Prospective study of elective bilateral versus unilateral femoral arterial puncture for uterine artery embolization. Cardiovasc Intervent Radiol. 2007;30:1139–43.

    CAS  Article  PubMed  Google Scholar 

  12. Costantino M, Lee J, McCullough M, et al. Bilateral versus unilateral femoral access for uterine artery embolization: results of a randomized comparative trial. J Vasc Interv Radiol. 2010;21:829–35 quiz 835.

    Article  PubMed  Google Scholar 

  13. Carnevale FC, Kondo MM, de Oliveira Sousa W Jr, et al. Perioperative temporary occlusion of the internal iliac arteries as prophylaxis in cesarean section at risk of hemorrhage in placenta accrete. Cardiovasc Interv Radiol. 2011;34(4):758–64.

    Article  Google Scholar 

  14. Webb JA, Thomsen HS, Morcos SK, Members of contrast media safety committee of European Society of Urogenital Radiology (ESUR). The use of iodinated and gadolinium contrast media during pregnancy and lactation. Eur Radiol. 2005;15(6):1234–40.

    Article  PubMed  Google Scholar 

  15. Bulman JC, Ascher SM, Spies JB. Current concepts in uterine fibroid embolization. Radiographics. 2012;32(6):1735–50.

    Article  PubMed  Google Scholar 

  16. Chrisman HB, Minocha J, Ryu RK, et al. Uterine artery embolization: a treatment option for symptomatic fibroids in postmenopausal women. J Vasc Interv Radiol. 2007;18(3):451–4.

    Article  PubMed  Google Scholar 

  17. Lohle PN, De Vries J, Klazen CA, et al. Uterine artery embolization for symptomatic adenomyosis with or without uterine leiomyomas with the use of calibrated tris-acryl gelatin microspheres: midterm clinical and MR imaging follow-up. J Vasc Interv Radiol. 2007;18(7):835–41.

    Article  PubMed  Google Scholar 

  18. Smeets AJ, Nijenhuis RJ, Boekkooi PF, et al. Safety and effectiveness of uterine artery embolization in patients with pedunculated fibroids. J Vasc Interv Radiol. 2009;20(9):1172–5.

    Article  PubMed  Google Scholar 

Download references

Conflict of interest

Paul N. M. Lohle is a consultant for CeloNova Biosciences Inc. Peter F. Boekkooi, Cora A. Fiedeldeij, Hubert J. J. M. Berden, Wim de Jong, Jim A. Reekers, Arie Franx, and Willem Jan J. van Rooij have no conflict of interest.

Statement of Informed Consent

Informed consent was obtained from individual participants included in the study.

Author information

Affiliations

Authors

Corresponding author

Correspondence to Paul N. M. Lohle.

Rights and permissions

Reprints and Permissions

About this article

Verify currency and authenticity via CrossMark

Cite this article

Lohle, P.N.M., Boekkooi, P.F., Fiedeldeij, C.A. et al. Selective Embolisation of a Heavily Bleeding Cervical Fibroid in a Pregnant Woman. Cardiovasc Intervent Radiol 38, 1649–1653 (2015). https://doi.org/10.1007/s00270-015-1099-y

Download citation

  • Received:

  • Accepted:

  • Published:

  • Issue Date:

  • DOI: https://doi.org/10.1007/s00270-015-1099-y

Keywords

  • Clinical practice
  • Arterial intervention
  • Embolization
  • Emergency medicine
  • Uterine fibroid embolization (UFE)
  • Fibroid
  • Hemorrhage
  • Uterine fibroid