Skip to main content

Image Registration of Cone-Beam Computer Tomography and Preprocedural Computer Tomography Aids in Localization of Adrenal Veins and Decreasing Radiation Dose in Adrenal Vein Sampling

Abstract

Purpose

We assessed whether image registration of cone-beam computed tomography (CT) (CBCT) and contrast-enhanced CT (CE-CT) images indicating the locations of the adrenal veins can aid in increasing the success rate of first-attempts adrenal vein sampling (AVS) and therefore decreasing patient radiation dose.

Materials and Methods

CBCT scans were acquired in the interventional suite (Philips Allura Xper FD20) and rigidly registered to the vertebra in previously acquired CE-CT. Adrenal vein locations were marked on the CT image and superimposed with live fluoroscopy and digital-subtraction angiography (DSA) to guide the AVS. Seventeen first attempts at AVS were performed with image registration and retrospectively compared with 15 first attempts without image registration performed earlier by the same 2 interventional radiologists. First-attempt AVS was considered successful when both adrenal vein samples showed representative cortisol levels. Sampling time, dose-area product (DAP), number of DSA runs, fluoroscopy time, and skin dose were recorded.

Results

Without image registration, the first attempt at sampling was successful in 8 of 15 procedures indicating a success rate of 53.3 %. This increased to 76.5 % (13 of 17) by adding CBCT and CE-CT image registration to AVS procedures (p = 0.266). DAP values (p = 0.001) and DSA runs (p = 0.026) decreased significantly by adding image registration guidance. Sampling and fluoroscopy times and skin dose showed no significant changes.

Conclusion

Guidance based on registration of CBCT and previously acquired diagnostic CE-CT can aid in enhancing localization of the adrenal veins thereby increasing the success rate of first-attempt AVS with a significant decrease in the number of used DSA runs and, consequently, radiation dose required.

This is a preview of subscription content, access via your institution.

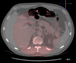
Fig. 1
Fig. 2
Fig. 3

References

  1. Kempers MJ, Lenders JW, van Outheusden L et al (2009) Systematic review: diagnostic procedures to differentiate unilateral from bilateral adrenal abnormality in primary aldosteronism. Ann Intern Med 151(5):329–337

    PubMed  Article  Google Scholar 

  2. Young WF, Stanson AW, Thompson GB, Grant CS, Farley DR, van Heerden JA (2004) Role for adrenal venous sampling in primary aldosteronism. Surgery 136(6):1227–1235

    PubMed  Article  Google Scholar 

  3. Magill SB, Raff H, Shaker JL et al (2001) Comparison of adrenal vein sampling and computed tomography in the differentiation of primary aldosteronism. J Clin Endocrinol Metab 86(3):1066–1071

    CAS  PubMed  Google Scholar 

  4. Young WF Jr, Stanson AW, Grant CS, Thompson GB, van Heerden JA (1996) Primary aldosteronism: adrenal venous sampling. Surgery 120(6):913–919

    PubMed  Article  Google Scholar 

  5. Sarlon-Bartoli G, Michel N, Taieb D et al (2011) Adrenal venous sampling is crucial before an adrenalectomy whatever the adrenal-nodule size on computed tomography. J Hypertens 29(6):1196–1202

    CAS  PubMed  Article  Google Scholar 

  6. Funder JW, Carey RM, Fardella C et al (2008) Case detection, diagnosis, and treatment of patients with primary aldosteronism: an endocrine society clinical practice guideline. J Clin Endocrinol Metab 93(9):3266–3281

    Article  Google Scholar 

  7. Vonend O, Ockenfels N, Gao X et al (2011) Adrenal venous sampling: evaluation of the German Conn’s registry. Hypertension 57(5):955–990

    Article  Google Scholar 

  8. Sacks BA, Brook OR, Brennan IM (2013) Adrenal venous sampling: promises and pitfalls. Curr Opin Endocrinol Diabetes Obes 20(3):180–185

    PubMed  Article  Google Scholar 

  9. Lau JH, Sze WC, Reznek RH et al (2012) A prospective evaluation of postural stimulation testing, computed tomography and adrenal vein sampling in the differential diagnosis of primary aldosteronism. Clin Endocrinol 76(2):182–188

    CAS  Article  Google Scholar 

  10. White ML, Gauger PG, Doherty GM et al (2008) The role of radiologic studies in the evaluation and management of primary hyperaldosteronism. Surgery 144(6):926–933

    PubMed  Article  Google Scholar 

  11. Harvey A, Kline G, Pasieka JL (2006) Adrenal venous sampling in primary hyperaldosteronism: comparison of radiographic with biochemical success and the clinical decision-making with “less than ideal” testing. Surgery 140(6):847–853

    PubMed  Article  Google Scholar 

  12. Matsuura T, Takase K, Ota H et al (2008) Radiologic anatomy of the right adrenal vein: preliminary experience with MDCT. AJR Am J Roentgenol 191(2):402–408

    PubMed  Article  Google Scholar 

  13. Mengozzi G, Rossato D, Bertello C et al (2007) Rapid cortisol assay during adrenal vein sampling in patients with primary aldosteronism. Clin Chem 53(11):1968–1971

    CAS  PubMed  Article  Google Scholar 

  14. Auchus RJ, Michaelis C, Wians FH Jr et al (2009) Rapid cortisol assays improve the success rate of adrenal vein sampling for primary aldosteronism. Ann Surg 249(2):318–321

    PubMed  Article  Google Scholar 

  15. Betz MJ, Degenhart C, Fischer E et al (2011) Adrenal vein sampling using rapid cortisol assays in primary aldosteronism is useful in centers with low success rates. Eur J Endocrinol 165(2):301–306

    CAS  PubMed  Article  Google Scholar 

  16. Georgiades CS, Hong K, Geschwind JF et al (2007) Adjunctive use of C-arm CT may eliminate technical failure in adrenal vein sampling. J Vasc Interv Radiol 18(9):1102–1105

    PubMed  Article  Google Scholar 

  17. Plank C, Wolf F, Langenberger H, Loewe C, Schoder M, Lammer J (2012) Adrenal venous sampling using dyna-CT—a practical guide. Eur J Radiol 81(9):2304–2307

    PubMed  Article  Google Scholar 

  18. Kahn SL, Angle JF (2010) Adrenal vein sampling. Tech Vasc Interv Radiol 13(2):110–125

    PubMed  Article  Google Scholar 

  19. Daunt N (2005) Adrenal vein sampling: how to make it quick, easy, and successful. Radiographics 25(Suppl 1):S143–S158

    PubMed  Article  Google Scholar 

  20. Doppman JL, Gill JR Jr (1996) Hyperaldosteronism: sampling the adrenal veins. Radiology 198(2):309–312

    CAS  PubMed  Article  Google Scholar 

  21. Orth RC, Wallace MJ, Kuo MD (2008) C-arm cone-beam CT: general principles and technical considerations for use in interventional radiology. J Vasc Interv Radiol 19(6):814–820

    PubMed  Article  Google Scholar 

Download references

Conflict of interest

The authors declare that they have no conflicts of interest.

Statement of informed consent

For this retrospective study formal consent is not required. Obtaining informed consent was waived by the institutional review board.

Statement of Human Rights

In this retrospective study all procedures were performed according to clinical practice. All data analyses were performed according with the ethical standards of the institutional review board.

Author information

Affiliations

Authors

Corresponding author

Correspondence to Wendy M. H. Busser.

Rights and permissions

Reprints and Permissions

About this article

Verify currency and authenticity via CrossMark

Cite this article

Busser, W.M.H., Arntz, M.J., Jenniskens, S.F.M. et al. Image Registration of Cone-Beam Computer Tomography and Preprocedural Computer Tomography Aids in Localization of Adrenal Veins and Decreasing Radiation Dose in Adrenal Vein Sampling. Cardiovasc Intervent Radiol 38, 993–997 (2015). https://doi.org/10.1007/s00270-014-0969-z

Download citation

  • Received:

  • Accepted:

  • Published:

  • Issue Date:

  • DOI: https://doi.org/10.1007/s00270-014-0969-z

Keywords

  • Adrenal vein sampling
  • Cone-beam CT
  • Image registration
  • Radiation dose