Skip to main content

Superior Mesenteric Artery Embolism Treated with Percutaneous Mechanical Thrombectomy

Abstract

A case of acute superior mesenteric artery embolism treated with percutaneous thrombus aspiration is described. A 63-year-old man with chronic atrial fibrillation was admitted to the hospital with progressive abdominal pain. Computed tomography angiography revealed an occlusion of the distal part of the superior mesenteric artery. The patient was effectively treated using transaxillary percutaneous mechanical thrombectomy using a 6F Aspirex thrombectomy catheter.

This is a preview of subscription content, access via your institution.

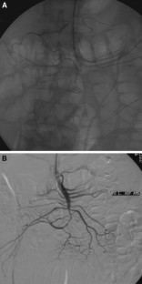
Fig. 1
Fig. 2

References

  1. McKinsey JF, Gewertz BL (1997) Acute mesenteric ischemia. Surg Clin North Am 77:307–318

    CAS  Article  PubMed  Google Scholar 

  2. Gunduz A, Turedi S, Mentese A et al (2008) Ischemia-modified albumin in the diagnosis of acute mesenteric ischemia: a preliminary study. Am J Emerg Med 26(2):202–205

    Article  PubMed  Google Scholar 

  3. Cho JS, Carr JA, Jacobsen G et al (2002) Long-term outcome after mesenteric artery reconstruction: a 37-year experience. J Vasc Surg 35:453–460

    Article  PubMed  Google Scholar 

  4. Bingol H, Zeybek N, Cingöz F et al (2004) Surgical therapy for acute superior mesenteric artery embolism. Am J Surg 188(1):68–70

    Article  PubMed  Google Scholar 

  5. McBride KD, Gaines PA (1994) Thrombolysis of a partially occluding superior mesenteric artery thromboembolus by infusion of streptokinase. Cardiovasc Interv Radiol 17:164–166

    CAS  Article  Google Scholar 

  6. Kawarada O, Sonomura T, Yokoi Y (2006) Direct aspiration using rapid-exchange and low-profile device for acute thrombo-embolic occlusion of the superior mesenteric artery. Catheter Cardiovasc Interv 68(6):862–866

    Article  PubMed  Google Scholar 

  7. Nishida A, Fukui K (2005) Transcatheter treatment of thromboembolism in the superior mesenteric artery. N Engl J Med 353(4):e4

    Article  PubMed  Google Scholar 

  8. Simo G, Echenagusia AJ, Camunez F et al (1997) Superior mesenteric arterial embolism: local fibrinolytic treatment with urokinase. Radiology 204:775–779

    CAS  PubMed  Google Scholar 

  9. Badiola CM, Scoppetta DJ (1997) Rapid revascularization of an embolic superior mesenteric artery occlusion using pulse-spray pharmacomechanical thrombolysis with urokinase. AJR Am Roentgenol 169:55–57

    CAS  Google Scholar 

  10. Rousseau H, Sapoval M, Ballini P et al (1997) Percutaneous recanalization of acutely thrombosed vessels by hydrodynamic thrombectomy (Hydrolyser). Eur Radiol 7:935–941

    CAS  Article  Google Scholar 

  11. Ogihara S, Yamamura S, Tomono H et al (2003) Superior mesenteric arterial embolism: treatment by trans-catheter thrombo-aspiration. J Gastroenterol 38:272–277

    Article  PubMed  Google Scholar 

  12. Morgan R, Belli AM (2002) Percutaneous thrombectomy: a review. Eur Radiol 12:205–217

    Article  PubMed  Google Scholar 

  13. Kucher N, Windecker S, Banz Y et al (2005) Percutaneous catheter thrombectomy device for acute pulmonary embolism: in vitro and in vivo testing. Radiology 236:852–858

    Article  PubMed  Google Scholar 

  14. Eid-Lidt G, Gasper J, Sandoval J et al (2008) Combined clot fragmentation and aspiration in patients with acute pulmonary embolism. Chest 134(1):54–60

    Article  PubMed  Google Scholar 

Download references

Acknowledgments

The authors thank Dr. Christoph L. Zollikofer for his assistance and help in preparation of the manuscript. This case was presented at CIRSE 2008.

Conflicts of interest statement

The authors declare that they have no conflict of interest.

Author information

Affiliations

Authors

Corresponding author

Correspondence to Peter Popovič.

Rights and permissions

Reprints and Permissions

About this article

Cite this article

Popovič, P., Kuhelj, D. & Bunc, M. Superior Mesenteric Artery Embolism Treated with Percutaneous Mechanical Thrombectomy. Cardiovasc Intervent Radiol 34, 67–69 (2011). https://doi.org/10.1007/s00270-010-9921-z

Download citation

  • Received:

  • Accepted:

  • Published:

  • Issue Date:

  • DOI: https://doi.org/10.1007/s00270-010-9921-z

Keywords

  • Acute mesenteric ischemia
  • Mesenteric arterial embolism
  • Percutaneous aspiration thrombectomy