Skip to main content

Transradial Approach for Transcatheter Selective Superior Mesenteric Artery Urokinase Infusion Therapy in Patients with Acute Extensive Portal and Superior Mesenteric Vein Thrombosis

Abstract

The purpose of this investigation was to assess the feasibility and effectiveness of transradial approach for transcatheter superior mesenteric artery (SMA) urokinase infusion therapy in patients with acute extensive portal and superior mesenteric venous thrombosis. During a period of 7 years, 16 patients with acute extensive thrombosis of the portal (PV) and superior mesenteric veins (SMV) were treated by transcatheter selective SMA urokinase infusion therapy by way of the radial artery. The mean age of the patients was 39.5 years. Through the radial sheath, a 5F Cobra catheter was inserted into the SMA, and continuous infusion of urokinase was performed for 5–11 days (7.1 ± 2.5 days). Adequate anticoagulation was given during treatment, throughout hospitalization, and after discharge. Technical success was achieved in all 16 patients. Substantial clinical improvement was seen in these 16 patients after the procedure. Minor complications at the radial puncture site were observed in 5 patients, but trans-SMA infusion therapy was not interrupted. Follow-up computed tomography scan before discharge demonstrated nearly complete disappearance of PV–SMV thrombosis in 9 patients and partial recanalization of PV–SMV thrombosis in 7 patients. The 16 patients were discharged 9–19 days (12 ± 6.0 days) after admission. Mean duration of follow-up after hospital discharge was 44 ± 18.5 months, and no recurrent episodes of PV–SMV thrombosis developed during that time period. Transradial approach for transcatheter selective SMA urokinase infusion therapy in addition to anticoagulation is a safe and effective therapy for the management of patients with acute extensive PV–SMV thrombosis.

This is a preview of subscription content, access via your institution.

Fig. 1
Fig. 2
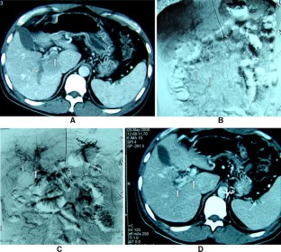
Fig. 3
Fig. 4

References

  1. Sobhonslidsuk A, Reddy KR (2002) Portal vein thrombosis: a concise review. Am J Gastroenterol 97:535–541

    Article  PubMed  Google Scholar 

  2. Kumar S, Sarr MG, Kamath PS (2001) Mesenteric venous thrombosis. N Engl J Med 345(23):1683–1688

    Article  CAS  PubMed  Google Scholar 

  3. Cohen J, Edelman RR, Chopra S (1992) Portal vein thrombosis: a review. Am J Med 92:173–182

    Article  CAS  PubMed  Google Scholar 

  4. Gertsch P, Matthews J, Lerut J, Luder P, Blumgart LH (1993) Acute thrombosis of the splanchnic veins. Arch Surg 128:341–345

    CAS  PubMed  Google Scholar 

  5. Schäfer C, Zundler J, Bode JC (2000) Thrombolytic therapy in patients with portal vein thrombosis: case report and review of the literature. Eur J Gastroenterol Hepatol 12:1141–1145

    Article  PubMed  Google Scholar 

  6. Shah SR, Deshmukh HL, Mathur SK (2003) Extensive portal and splenic vein thrombosis: differences in hemodynamics and management. Hepatogastroenterology 50:1085–1089

    CAS  PubMed  Google Scholar 

  7. Rossi C, Zambruni A, Ansaloni F, Casadei A, Morelli C, Bernardi M, Trevisani F (2004) Combined mechanical and pharmacologic thrombolysis for portal vein thrombosis in liver-graft recipients and in candidates for liver transplantation. Transplantation 78:938–940

    Article  PubMed  Google Scholar 

  8. Brunaud L, Antunes L, Collinet-Adler S, Marchal F, Ayav A, Bresler L et al (2001) Acute mesenteric venous thrombosis: case for nonoperative management. J Vasc Surg 34:673–679

    Article  CAS  PubMed  Google Scholar 

  9. Rosen MP, Sheiman R (2000) Transhepatic mechanical thrombectomy followed by infusion of TPA into the superior mesenteric artery to treat acute mesenteric vein thrombosis. J Vasc Interv Radiol 11:195–198

    Article  CAS  PubMed  Google Scholar 

  10. Hechelhammer L, Crook DW, Widmer U, Wildermuth S, Pfammatter T (2004) Thrombosis of a superior mesenteric vein aneurysm: transarterial thrombolysis and transhepatic aspiration thrombectomy. Cardiovasc Intervent Radiol 27:551–555

    CAS  PubMed  Google Scholar 

  11. Antoch G, Taleb N, Hansen O, Stock W (2001) Transarterial thrombolysis of portal and mesenteric vein thrombosis: a promising alternative to common therapy. Eur J Vasc Endovasc Surg 21:471–472

    Article  CAS  PubMed  Google Scholar 

  12. Safieddine N, Mamazza J, Common A, Prabhudesai V (2007) Splenic and superior mesenteric artery thrombolytic infusion therapy for acute portal and mesenteric vein thrombosis. Can J Surg 50:68–69

    PubMed  Google Scholar 

  13. Sze DY, O’Sullivan GJ, Johnson DL, Dake MD (2000) Mesenteric and portal venous thrombosis treated by transjugular mechanical thrombolysis. AJR Am J Roentgenol 175:732–734

    CAS  PubMed  Google Scholar 

  14. Aytekin C, Boyvat S, Kurt A, Yologlu Z, Coskun M (2001) Catheter-directed thrombolysis with transjugular access in portal vein thrombosis secondary to pancreatitis. Eur J Radiol 39:80–82

    Article  CAS  PubMed  Google Scholar 

  15. Bilbao JI, Elorz M, Vivas I, Martinez-Cuesta M, Bastarrika G, Benito A (2004) Transjugular intrahepatic portosystemic shunt (TIPS) in the treatment of venous symptomatic chronic portal thrombosis in non-cirrhotic patients. Cardiovasc Intervent Radiol 27:474–480

    Article  PubMed  Google Scholar 

  16. Ferro C, Rossi UG, Bovio G, Dahamane M, Centanaro M (2007) Transjugular intrahepatic portosystemic shunt, mechanical aspiration thrombectomy, and direct thrombolysis in the treatment of acute portal and superior mesenteric vein thrombosis. Cardiovasc Intervent Radiol 30:1070–1074

    Article  PubMed  Google Scholar 

  17. Kim HS, Patra A, Khan J, Arepally A, Streiff MB (2005) Transhepatic catheter-directed thrombectomy and thrombolysis of acute superior mesenteric venous thrombosis. J Vasc Interv Radiol 16:1685–1691

    PubMed  Google Scholar 

  18. Hollingshead M, Burke CT, Mauro MA, Weeks SM, Dixon RG, Jaques PF (2005) Transcatheter thrombolytic for acute mesenteric and portal vein thrombosis. J Vasc Interv Radiol 16:651–661

    PubMed  Google Scholar 

  19. Ozkan U, Oguzkurt L, Tercan F, Tokmak N (2006) Percutaneous transhepatic thrombolysis in the treatment of acute portal venous thrombosis. Diagn Interv Radiol 12:105–107

    PubMed  Google Scholar 

  20. Poplausky MR, Kaufman JA, Geller SC, Waltman AC (1996) Mesenteric venous thrombosis treated with urokinase via the superior mesenteric artery. Gastroenterology 110:1633–1635

    Article  CAS  PubMed  Google Scholar 

  21. Train JS, Ross H, Weiss JD, Feingold ML, Khoury-Yacoub A, Khoury PT (1998) Mesenteric venous thrombosis: successful treatment by intraarterial lytic therapy. J Vasc Interv Radiol 9:461–464

    Article  CAS  PubMed  Google Scholar 

  22. Rathore S, Morris JL (2008) The radial approach: is this the route to take? J Interv Cardiol 21:375–379

    Article  PubMed  Google Scholar 

  23. Kessel DO, Robertson I, Taylor EJ, Patel JV (2003) Renal stenting from the radial artery: a novel approach. Cardiovasc Intervent Radiol 26:146–149

    PubMed  Google Scholar 

  24. Naritaka Y, Shiozawa S, Shimakawa T, Wagatsuma Y, Tsuchiya A, Kim DH (2007) Transradial approach for partial splenic embolization in patients with hypersplenism. Hepatogastroenterology 54:1850–1853

    PubMed  Google Scholar 

Download references

Acknowledgments

Supported by grant from the National Scientific Foundation Committee of China (Grant No. 30670606) and from the Chinese PLA Scientific Foundation of the Eleventh-Five Programme (Grant No. 06MA263).

Author information

Affiliations

Authors

Corresponding author

Correspondence to Mao Qiang Wang.

Rights and permissions

Reprints and Permissions

About this article

Cite this article

Wang, M.Q., Guo, L.P., Lin, H.Y. et al. Transradial Approach for Transcatheter Selective Superior Mesenteric Artery Urokinase Infusion Therapy in Patients with Acute Extensive Portal and Superior Mesenteric Vein Thrombosis. Cardiovasc Intervent Radiol 33, 80–89 (2010). https://doi.org/10.1007/s00270-009-9777-2

Download citation

  • Received:

  • Accepted:

  • Published:

  • Issue Date:

  • DOI: https://doi.org/10.1007/s00270-009-9777-2

Keywords

  • Interventional radiology
  • Transradial approach
  • Portal vein
  • Superior mesenteric vein
  • Thrombosis
  • Superior mesenteric artery