Skip to main content

Preoperative Transcatheter Selective Arterial Chemoembolization in Treatment of Unresectable Hepatoblastoma in Infants and Children

Abstract

The purpose of this study was to evaluate the clinical feasibility and efficacy of transcatheter selective arterial chemoembolization (TACE) for unresectable hepatoblastoma in infants and children. The study was performed with the approval of our institutional review board. Sixteen patients (13 boys, 3 girls) with unresectable hepatoblastoma were treated one to three times with preoperative TACE in an effort to improve the surgical and clinical outcome. Their ages ranged from 50 days to 60 months, with a mean age of 20.4 months. All cases were pathologically proved hepatoblastoma by fine-needle biopsy. After an intra-arterial catheter was selectively inserted into the main feeding artery of the tumor, cycles of cisplatin (40 to 50 mg/m²) and adriamycin (20 to 30 mg/m²) mixed with lipiodol were given, followed by gelatin foam particles or stainless-steel coils. Tumor response was evaluated according to tumor shrinkage, α-fetoprotein (AFP) levels, and pathological findings. TACE procedure was performed one to three times, depending on the patient’s response. Surgical resection was carried out when the tumor volume appeared sufficiently reduced to allow safe resection by either lobectomy or extended lobectomy. A marked reduction in tumor size associated with decreased AFP level occurred after treatment. According to paired-samples test, tumor shrinkage ranged from 19.0% to 82.0%, with a mean value of 59.2%. AFP levels decreased 99.0% to 29.0% from initial levels, with a mean decrease of 60.0%. TACE allowed subsequent complete surgical resection in 13 cases and the other 3 cases underwent partial resection. One patient underwent successful orthotopic liver transplantation after receiving TACE therapy. Pathological examination showed that the mean percentage of necrotic area in the surgical specimens was 87%. Overall survival rate at 1, 3, and 5 years was 87.5%, 68.7%, and 50%, respectively. Correspondingly, event-free survival rate was 75%, 62.5%, and 43.7%, respectively. In addition, there was no marked chemotherapeutic agent-induced toxicity noted during the observation period. We conclude that TACE is feasible, well tolerated, and effective in inducing surgical resectability of hepatoblastoma in pediatric patients, which has become an independent palliative or curative therapeutic option, especially for patients without distant metastasis.

This is a preview of subscription content, access via your institution.

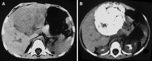
Fig. 1
Fig. 2
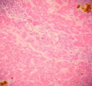
Fig. 3

References

  1. Derek J, Perilongo RG (2006) Hepatoblastoma:an oncological review. Pediatr Radiol 36:183–186

    Article  Google Scholar 

  2. Czauderna P, Otte JB, Roebuck DJ et al (2006) surgical treatment of hepatoblastoma in children. Pediatr Radiol 36:187–191

    PubMed  Article  Google Scholar 

  3. Brown J, Perilongo G, Shafford E et al (2006) Pretreatment prognostic factors for children with hepatoblastoma. Results from the International Society of Paediatric Oncology (SIOP) Study SIOPEL 1. Eur J Cancer 36:1418–1425

    Article  Google Scholar 

  4. Tashjian DB, Moriarty KP, Courtney RA et al (2002) Preoperative chemombolization for unresectable hepatoblastoma. Pediatr Surg Int 18:187–189

    PubMed  Article  Google Scholar 

  5. Oue T, Fukuzawa M, Kusafuka T et al (1998) Transcatheter arterial chemoembolization in the treatment of hepatoblastoma. J Pediatr Surg 33:1771–1775

    PubMed  Article  CAS  Google Scholar 

  6. Arcement CM, Towbin RB, Meza MP et al (2000) Intrahepatic chemoembolization in unresectable pediatric liver malignancies. Pediatr Radiol 30:779–785

    PubMed  Article  CAS  Google Scholar 

  7. Ehrlich PF, Greenberg ML, Filler RM et al (1997) Improved long-term survival with preoperative chemotherapy for hepatoblastoma. J Pediatr Surg 32:999–1003

    PubMed  Article  CAS  Google Scholar 

  8. Seo T, Ando H, Watanabe Y et al (1998) Treatment of hepatoblastoma: less extensive hepatectomy after effective preoperative chemotherapy with cisplatin and adriamycin. Surgery 123:407–414

    PubMed  CAS  Google Scholar 

  9. Ohtsuka Y, Matsunaga T, Yoshida H et al (2004) Optimal strategy of preoperative transcatheter arterial chemoembolization for hepatoblastoma. Surg Today 34:127–133

    PubMed  Article  Google Scholar 

  10. Feusner JH, Krailo MD, Haas JE et al (1993) Treatment of pulmonary metastases of initial stage I hepatoblastoma in childhood. Report from the Children’s Cancer Group. Cancer 71:849

    Article  Google Scholar 

  11. Pritchard J, Brown J, Shafford E et al (2000) Cisplatin, doxorubicin, and delayed surgery for childhood hepatoblastoma: a successful approach—results of the first prospective study of the International Society of Pediatric Oncology. J Clin Oncol 18:3819–3828

    PubMed  CAS  Google Scholar 

  12. Malogolowkin MH, Stanley P, Steele DA et al (2000) Feasibility and toxicity of chemoembolization for children with liver tumors. J Clin Oncol 18(6):1279–1284

    PubMed  CAS  Google Scholar 

  13. Evans AE, Land VJ, Newton WA et al (1982) Combination chemotherapy (vincristine, adriamycin, cyclophosphamide, and 5-fluorouracil) in the treatment of children with malignant hepatoma. Cancer 50:821–826

    PubMed  Article  CAS  Google Scholar 

  14. Farhi DC, Odell CA, Shurin SB (1993) Myelodysplastic syndrome and acute myeloid leukemia after treatment for solid tumors of childhood. Am J Clin Pathol 100:270–275

    PubMed  CAS  Google Scholar 

  15. Moppet J, Oakhill A, Duncan AW (2001) Second malignancies in children: The usual suspects? Eur J Radiol 38:325–348

    Google Scholar 

  16. Vogl TJ, Scheller A, Jakob U et al (2006) Transarterial chemoembolization in the treatment of hepatoblastoma in children. Eur Radiol 16(6):1393–1396

    PubMed  Article  Google Scholar 

  17. Otte JB, Goyet JV, Reding R (2005) Liver transplantation for hepatoblastoma: indications and contraindications in the modern era. Pediatr Transpl 9:557–565

    Article  Google Scholar 

  18. Aronson D, Schnater JM, Staalman C et al (2005) The predictive value of the PREtreatment EXTent of disease (PRETEXT) system in hepatoblastoma: results from the international Society of Pediatric Oncology Liver Tumor Study Group (SIOPEL-1). J Clin Oncol 23:1245–1252

    PubMed  Article  Google Scholar 

  19. Katzenstein HM, Londo WB, Douglass EC et al (2002) Treatment of unresectable and metastatic hepatoblastoma: a Pediatric Oncology Group Phase II study. J Clin Oncol 20:3438–3444

    PubMed  Article  Google Scholar 

  20. Takayama T, Makuuchi M, Takayasu K et al (1990) Resection after intraarterial chemotherapy of a hepatoblastoma originating in the caudal lobe. Surgery 107:231–235

    PubMed  CAS  Google Scholar 

  21. Yokomori K, Hori T, Asoh S et al (1991) Complete disappearance of unresectable hepatoblastoma by continuous infusion therapy through hepatic artery. J Pediatr Surg 26:844–846

    PubMed  Article  CAS  Google Scholar 

  22. Fan J, Tang ZY, Yu YQ et al (1998) Improved survival with resection after transcatheter arterial embolization (TACE) for unresectable hepatocellular carcinoma. Dig Surg 15(6):674–678

    PubMed  Article  CAS  Google Scholar 

  23. Trinchet JC, Rached AA, Beaugrand M et al (1995) A comparison of lipiodol chemoembolization and conservative treatment for unresectable hepatocellular carcinoma. N Engl J Med 332:1256–1261

    Article  Google Scholar 

  24. Gattoni F, Cornalba G, Brambilla G et al (1998) Survival of 184 patients with hepatocellular carcinoma in cirrhotic liver treated with chemoembolization: a multicentric study. Radiol Med 95:362–368

    PubMed  CAS  Google Scholar 

  25. Liovet JM, Real MI, Montana X et al (2002) Arterial embolization or chemoembolisation versus symptomatic treatment in patients with unresectable hepatocellular carcinoma: a randomized controlled trial. Lancet 359:1734–1739

    Article  Google Scholar 

  26. Chou FI, Fang KC, Chung C et al (1995) Lipiodol uptake and retention by human hepatoma cells. Nucl Med Biol 22(3):379–386

    PubMed  Article  CAS  Google Scholar 

  27. Otte JB, Pritchard J, Aronson DC et al (2004) Liver transplantation for hepatoblastoma: results from the International Society of Pediatric Oncology (SIOP) study SIOPEL-1 and review of the world experience. Pediatr Blood Cancer 42:74–83

    PubMed  Article  CAS  Google Scholar 

  28. King SJ, Babyn PS, Greenberg ML et al (1993) Value of CT in determining the resectability of hepatoblastoma before and after chemotherapy. AJR 160:793–798

    PubMed  CAS  Google Scholar 

  29. Dicken BJ, Bigam DL, Lees GM (2004) Association between surgical margins and long-term outcome in advanced hepatoblastoma. J Pediatr Surg 39:721–725

    PubMed  Article  Google Scholar 

  30. Srinivasan P, McCall J, Pritchard J et al (2002) Orthotropic liver transplantation for unresectable hepatoblastoma. Transplantation 74:652–655

    PubMed  Article  CAS  Google Scholar 

  31. Reyes JD, Carr B, Dvorchik I et al (2000) Liver transplantation and chemotherapy for hepatoblastoma and hepatocellular cancer in childhood and adolescence. J Pediatr 136:795–804

    PubMed  Article  CAS  Google Scholar 

  32. Superina R, Bilik R (1996) Results of liver transplantation in children with unresectable liver tumors. J Pediatr Surg 31:835–839

    PubMed  Article  CAS  Google Scholar 

  33. Pimpalwar AP, Sharif K, Ramani P et al (2002) Strategy for hepatoblastoma management:transplant versus nontransplant surgery. J Pediatr Surg 37:240–245

    PubMed  Article  CAS  Google Scholar 

  34. Austin MT, Leys CM, Feurer ID et al (2006) Liver transplantation for childhood hepatic malignancy: a review of the United Network for Organ Sharing (UNOS) database. J Pediatr Surg 41:182–186

    PubMed  Article  Google Scholar 

  35. Roayaie S, Frische JS, Emre SH et al (2002) Long-term results with multimodal adjuvant therapy and liver transplantation for the treatment of hepatocellular carcinomas larger than 5 centimeters. Ann Surg 235(4):533–539

    PubMed  Article  Google Scholar 

  36. Majno PE, Adam R, Bismuth H et al (1997) Influence of preoperative transarterial lipiodol chemoembolization on resection and transplantation for hepatocellular carcinoma in patients with cirrhosis. Ann Surg 226(6):688–703

    PubMed  Article  CAS  Google Scholar 

  37. Chung JW, Park JH, Han JK et al (1996) Hepatic tumors: predisposing factors for complications of transcatheter oily chemoembolization. Radiology 198:33–40

    PubMed  CAS  Google Scholar 

  38. Yamaura K, Higashi M, Akiyoshi Y et al (2000) Pulmonary lipiodol embolism during transcatheter arterial chemoembolization for hepatoblastoma under general anesthesia. Eur J Anaesth 17:704–708

    Article  CAS  Google Scholar 

Download references

Acknowledgments

We express our gratitude to all members of the Department of Interventional Radiology and to Dr. Tangbin Liu and Dr. Guisheng Li of the Department of Pediatrics.

Author information

Affiliations

Authors

Corresponding author

Correspondence to Jian-ping Chu.

Additional information

The abstract of this paper was presented at the RSNA meeting (2006).

Rights and permissions

Reprints and Permissions

About this article

Cite this article

Li, Jp., Chu, Jp., Yang, Jy. et al. Preoperative Transcatheter Selective Arterial Chemoembolization in Treatment of Unresectable Hepatoblastoma in Infants and Children. Cardiovasc Intervent Radiol 31, 1117–1123 (2008). https://doi.org/10.1007/s00270-008-9373-x

Download citation

  • Received:

  • Revised:

  • Accepted:

  • Published:

  • Issue Date:

  • DOI: https://doi.org/10.1007/s00270-008-9373-x

Keywords

  • Hepatoblastoma
  • Transcatheter arterial chemoembolizaion
  • Lipiodol