Skip to main content

Contrast-Enhanced Ultrasound in Detection and Follow-Up of an Infrarenal Abdominal Aortic Aneurysm with Aorto-Caval Fistula and Endovascular Treatment

Abstract

An aorto-caval fistula is a rare complication of a symptomatic or ruptured infrarenal aortic aneurysm having a frequency of 3–6%. Patients typically present with clinical signs of diffuse abdominal pain associated with increasing venous congestion and tachycardia, rapid cardiopulmonary decompensation with acute dyspnea, and an audible machinerylike bruit. Perioperative mortality is high, ranging from 20% to 60%. We report a case of an endovascular aortic repair in a patient with a symptomatic infrarenal aortic aneurysm and an aorto-caval fistula. Contrast-enhanced ultrasound seems to be a promising new diagnostic option for the diagnosis and preoperative treatment planning for patients with abdominal aortic aneurysms with rupture into the inferior vena cava. It is in addition to computed tomography angiography. It might allow a more rapid and noninvasive diagnosis, especially for patients in intensive care because of its bedside availability. Because the examination is dynamic, additional information about blood flow between the aorta and inferior cava vein can be evaluated.

This is a preview of subscription content, access via your institution.

Fig. 1.
Fig. 2.
Fig. 3. A, B.
Fig. 4. A, B.
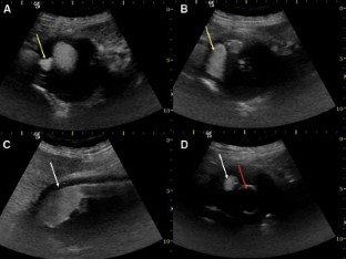
Fig. 5. A–D.
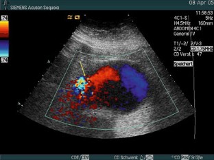
Fig. 6. A, B.
Fig. 7. A, B.

References

  1. Abbadi AC, Deldime PP, Van Espen D, et al. (1998) The spontanous aortocaval fistula: a complication of the abdominal aortic aneurysm. Case report and review of the literature. J Cardiovasc Surg 39:433–436

    CAS  Google Scholar 

  2. Gilling-Smith GL, Mansfield AO (1991) Spontanous abdominal arteriovenous fistula: Report of eight cases and review of the literature. Br J Surg 78:421–425

    PubMed  Article  CAS  Google Scholar 

  3. Davidovic LB, Kostic DM, Cvetkovic SD, et al. (2002) Aorto-caval fistulas. Cardiovasc Surg 10:555–560

    PubMed  Article  CAS  Google Scholar 

  4. Davis PM, Gloviczki P, Cherry KJ, et al. (1998) Aorto-caval and ilio-iliac arteriovenous fistulae. Am J Surg 176:115–118

    PubMed  Article  CAS  Google Scholar 

  5. Ghilardi G, Scorza R, Bartolini E, et al. (1993) Rupture of abdominal aortic aneurysms into major abdominal veins. J Cardiovasc Surg 34:39–47

    CAS  Google Scholar 

  6. Brunkwall J, Länne T, Bergentz SE (1999) Acute renal impairment due to a primary aortocaval fistula is normalised after a successful operation. Eur J Vasc Endovasc Surg 17:191–196

    PubMed  Article  CAS  Google Scholar 

  7. Reckless JP, McColl T, Taylor GW (1972) Aortocaval fistulae: An uncommon complication of abdominal aortic aneurysms. Br J Surg 59:461–462

    PubMed  Article  CAS  Google Scholar 

  8. Rosenthal D, Atkins CP, Jerrius HS, et al. (1998) Diagnosis of aortocaval fistula by computed tomography. Ann Vasc Surg 12:86–87

    PubMed  Article  CAS  Google Scholar 

  9. Catalano O, Lobianco R, Cusati B, et al. (2005) Contrast-enhanced sonography for diagnosis of ruptured abdominal aortic aneurysm. Am J Roentgenol 184(2):423–427

    Google Scholar 

  10. Bauer A, Solbiati L, Weissmann N (2002) Ultrasound imaging with SonoVue: Low mechanical index realtime imaging. Acad Radiol 9(Suppl 2):282–284

    Article  Google Scholar 

  11. Lencioni R, Cioni D, Bartolozzi C (2002) Tissue harmonic and contrast-specific imaging: back to grey-scale in ultrasound. Eur Radiol 12:151–161

    PubMed  Article  Google Scholar 

  12. Syme J (1831) Case of spontanous varicose aneurysm. Edin Med J 36:104–105

    Google Scholar 

  13. Lagana D, Carrafiello G, Mangini M, et al. (2006) Emergency endovascular treatment of abdominal aortic aneurysms. Feasibility and results. Cardiovasc Intervent Radiol 29(2):241–248

    PubMed  Article  Google Scholar 

  14. Umscheid T, Stelter WJ (2000) Endovascular treatment of an aortic aneurysm ruptured into the inferior vena cava. J Endovasc Ther 7:31–35

    PubMed  Article  CAS  Google Scholar 

  15. Veith FJ, Baum RA, Ohki T, et al. (2002) Nature and significance of endoleaks and endotension: Summary of opinions expressed in an international conference. J Vasc Surg 35:461–473

    Article  Google Scholar 

  16. Thurnher S, Cejna M (2002) Imaging of aortic stent-grafts and endoleaks. Radiol Clin North Am 40:799–833

    PubMed  Article  Google Scholar 

  17. Bendick PJ, Bove BG, Long GW, et al. (2003) Efficacy of ultrasound scan contrast agents in the noninvasive follow-up of aortic stent grafts. J Vasc Surg 37(2):381–385

    PubMed  Article  Google Scholar 

  18. Napoli V, Bargellini I, Sardella SG, et al. (2004) Abdominal aortic aneurysm: Contrast-enhanced US for missed endoleaks after endoluminal repair. Radiology 233(1):217–225

    PubMed  Article  Google Scholar 

  19. McLafferty RB, McCrary BS, Mattos MA, et al. (2002) The use of color-flow duplex scan for detection of endoleaks. J Vasc Surg 36:100–104

    PubMed  Article  Google Scholar 

  20. Greenfield AL, Halpern EJ, Bonn J, et al. (2002) Application of duplex US for characterization of endoleaks in abdominal aortic stent-grafts: Report of five cases. Radiology 225:845–851

    PubMed  Article  Google Scholar 

  21. Barr R (2002) Seeking consensus: contrast ultrasound in radiology. Eur J Radiol 41:207–216

    PubMed  Article  CAS  Google Scholar 

Download references

Author information

Affiliations

Authors

Corresponding author

Correspondence to D.-A. Clevert.

Rights and permissions

Reprints and Permissions

About this article

Cite this article

Clevert, DA., Stickel, M., Flach, P. et al. Contrast-Enhanced Ultrasound in Detection and Follow-Up of an Infrarenal Abdominal Aortic Aneurysm with Aorto-Caval Fistula and Endovascular Treatment. Cardiovasc Intervent Radiol 30, 480–484 (2007). https://doi.org/10.1007/s00270-006-0143-3

Download citation

  • Published:

  • Issue Date:

  • DOI: https://doi.org/10.1007/s00270-006-0143-3

Keywords

  • Aorto-caval fistula
  • Abdominal aortic aneurysm
  • Contrast-enhanced ultrasound
  • Endoleak