Skip to main content

Transcatheter Embolization of a Renal Artery Aneurysm Using Ethylene Vinyl Alcohol Copolymer

Abstract

Our aim was to treat a clinically silent renal artery aneurysm. The patient was a 76-year-old man with elevated prostate-specific antigen and prostata biopsies with a gradus II–III adenocarcinoma who was incidentally found to have an aneurysm in his right renal artery. We performed a successful transcatheter embolization of the aneurysm using ethylene vinyl alcohol copolymer (Onyx). To avoid migration of the liquid material into the parent artery, a balloon was inflated in the orifice of the neck of the aneurysm while the liquid was injected. Five-month follow-up computed tomography (CT) imaging confirmed total occlusion of the aneurysm.

This is a preview of subscription content, access via your institution.

Fig. 1.
Fig. 2.
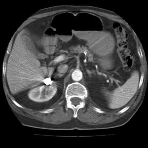
Fig. 3.
Fig. 4.

References

  1. Uflacker R (1994) Interventional management of visceral arterial aneurysms. In:Strandness DE, van Breda A (eds) Vascular Diseases: Surgical and Interventional Therapy. New York: Churchill Livingstone, pp 823–844

    Google Scholar 

  2. Nosher JL, Siegel RL, Bodner L (2001) Embolization therapy. In: Interventional Radiology: A Multimedia Approach. Blackwell Science., Maldn, MA, pp 69–90

  3. Molyneux AJ, Cekirge S, Saatci I, et al. (2004) Cerebral Aneurysm Multicenter European Onyx (CAMEO) trial: Results of a prospective observational study in 20 European centers. Am J Neuroradiol 25(1):39–51

    PubMed  Google Scholar 

  4. Mawad ME, Cekirge S, Ciceri E, et al. (2002) Endovascular treatment of giant and large intracranial aneurysms by using a combination of stent placement and liquid polymer injection. J Neurosurg 96(3):474–482

    PubMed  Article  Google Scholar 

  5. Jahan R, Murayama Y, Gobin YP, et al. (2001) Embolization of arteriovenous malformations with Onyx: Clinicopathological experience in 23 patients. Neurosurgery 48:984–995

    PubMed  Article  CAS  Google Scholar 

  6. Florio F, Lauriola W, Nardella M, et al. (2003) Endovascular treatment of intracranial arterio-venous malformations with Onyx embolization:preliminary experience. Radiol Med 106:512–520

    PubMed  Google Scholar 

  7. Lupattelli T, Abubacker Z, Morgan R, et al. (2003) Embolization of a renal artery aneurysm using ethylene vinyl alcohol copolymer (Onyx). J Endovascular Ther 10(2):366–370

    Article  Google Scholar 

  8. D’Souza VJ, Glass TA, Velasquez G, et al. (1984) Nonsurgical treatment of childhood hypertension: embolization of an intrarenal aneurysm. Cardiovasc Intervent Radiol 7:229–231

    PubMed  CAS  Google Scholar 

  9. Routh WD, Keller FS, Gross GM (1990) Transcatheter thrombosis of a linking saccular aneurysm of the main renal artery with preservation of renal blood flow. Am J Roentgenol 154:1097–1099

    CAS  Google Scholar 

  10. Baker KS, Tisnado J, Cho SR, et al. (1987) Splanchnic artery aneurysms and pseudoaneurysms: Transcatheter embolization. Radiology 163:135–139

    PubMed  CAS  Google Scholar 

  11. Stanley JC, Wakefield TW, Graham LM (1986) Clinical importance and management of splanchnic artery aneurysms. J Vasc Surg 3:836–840

    PubMed  Article  CAS  Google Scholar 

  12. Pfeiffer T, Reiher L, Grabitz K, et al. (2003) Reconstruction for renal artery aneurysm: Operative techniques and long-term results. J Vasc Surg 37(2):293–300

    PubMed  Article  Google Scholar 

  13. Henke PK, Stanley JC (2003) Renal artery aneurysms: Diagnosis, management and outcomes. Minerva Chirurgica 58(3):305–311

    PubMed  CAS  Google Scholar 

  14. Parildar M, Oran I, Memis A (2003) Embolization of visceral pseudoaneurysms with platinum coils and N-butyl cyanoacrylate. Abdom Imag 28(1):36–40

    Article  CAS  Google Scholar 

  15. Mandel SR, Jaques PF, Sanofsky S, et al. (1987) Nonoperative management of peripancreatic arterial aneurysms. A 10-year experience. Ann Surg 205:126–128

    PubMed  Article  CAS  Google Scholar 

  16. Pershad A, Heuser R (2004) Renal artery aneurysm: Successful exclusion with a stent graft. Cather cardiovasc intervent 61(3):314–316

    Article  Google Scholar 

  17. Dib M, Sedat J, Raffaelli C, et al. (2003) Endovascular treatment of a wide-neck renal artery bifurcation aneurysm. J Vasc Intervent Radiol 14:1461–1464

    Google Scholar 

  18. Hama Y, Kaji T, Iwasaki Y, et al. (1999) Transcatheter embolization of a superior mesenteric artery pseudoaneurysm. Acta Radiol 40:649–651

    PubMed  CAS  Article  Google Scholar 

  19. Murayama Y, Vinuela F, Ulhoa A, et al. (1998) Nonadhesive liquid embolic agent for cerebral arteriovenous malformations:preliminary histopathological studies in swine rete mirabile. Neurosurgery 43:1164–1175

    PubMed  Article  CAS  Google Scholar 

  20. Numan F, Ömeroglu A, Kara B, et al. (2004) Embolization of peripheral vascular malformations with ethylene vinyl alcohol copolymer (Onyx). J Vasc Intervent Radiol 15:939–946

    Google Scholar 

  21. Murayama Y, Vinuela F, Tateshima S, et al. (2000) Endovascular treatment of experimental aneurysms by use of a combination of liquid embolic agents and protective devices. Am J Neuroradiol 21:1726–1735

    PubMed  CAS  Google Scholar 

  22. Cantasdemir M, Kantarci F, Mihmanli I, et al. (2002) Embolization of profunda femoris artery branch pseudoaneurysms with ethylene vinyl alcohol copolymer (Onyx). J Vasc Intervent Radiol 13:725–728

    Google Scholar 

  23. Castaneda F, Goodwin SC, Swischuk JL, et al.(2002) Treatment of pelvic arteriovenous malformations with ethylene vinyl alcohol copolymer (Onyx). J Vasc Intervent Radiol 13:513–516

    Google Scholar 

Download references

Author information

Affiliations

Authors

Corresponding author

Correspondence to Riitta Rautio.

Rights and permissions

Reprints and Permissions

About this article

Cite this article

Rautio, R., Haapanen, A. Transcatheter Embolization of a Renal Artery Aneurysm Using Ethylene Vinyl Alcohol Copolymer. Cardiovasc Intervent Radiol 30, 300 (2007). https://doi.org/10.1007/s00270-005-0238-2

Download citation

  • Published:

  • DOI: https://doi.org/10.1007/s00270-005-0238-2

Keywords

  • Renal artery
  • Aneurysm
  • Embolization
  • Endovascular treatment
  • Onyx
  • Therapeutic