Skip to main content

Ruptured Left Gastric Artery Aneurysm: Unique Presentation with Hemothorax and Hemomediastinum

Abstract

Although splanchnic artery aneurysms are uncommon and remain mostly asymptomatic, they are associated with a high mortality rate when they rupture. We discuss the case of a 66-year-old woman who had successful embolization of a left gastric artery aneurysm after presenting with acute chest pain and the unusual computed tomography findings of hemothorax and hemomediastinum. To our knowledge, only one other similar case has been published in the literature.

This is a preview of subscription content, access via your institution.

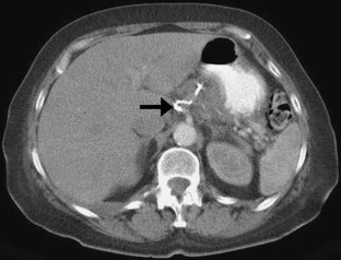
Figure 1
Figure 2
Figure 3
Figure 4

References

  1. Carmeci C, McClenathan J (2000) Visceral artery aneurysms as seen in a community hospital. Am J Surg 179:486–489

    CAS  PubMed  Article  Google Scholar 

  2. Zelenock GB, Stanley JC (2000) Splanchnic artery aneurysms. In: Rutherford RB (ed) Vascular Surgery, 5th ed. WB Saunders. Philadelphia, pp 1369–1380

    Google Scholar 

  3. Wagner WH, Allins AD, Treiman RL, et al. (1997) Ruptured visceral artery aneurysms. Ann Vasc Surg 11:342–347

    CAS  PubMed  Article  Google Scholar 

  4. Carr SC, Pearce WH, Vogelzang RL, et al. (1996) Current management of visceral artery aneurysms. Surgery 120:627–634

    CAS  PubMed  Google Scholar 

  5. Witte JT, Hasson JE, Harms BA, et al. (1990) Fatal gastric artery dissection and rupture occurring as a paraesophageal mass: a case report and literature review. Surgery 107:590–594

    CAS  PubMed  Google Scholar 

  6. Salam TA, Lumsden AB, Martin LG, et al. (1992) Nonoperative management of visceral aneurysms and pseudoaneurysms. Am J Surg 164:215–219

    CAS  PubMed  Google Scholar 

  7. Balthazar EJ, Fisher LA (2001) Hemorrhagic complications of pancreatitis: radiologic evaluation with emphasis on CT imaging. Pancreatology 1:306–313

    CAS  PubMed  Article  Google Scholar 

  8. Kasirajan K, Greenberg RK, Clair D, et al. (2001) Endovascular management of visceral artery aneurysm. J Endovasc Ther 8:150–155

    CAS  PubMed  Article  Google Scholar 

  9. Baker KS, Tisando J, Cho SR (1987) Splanchnic artery aneurysms and pseudoaneurysms: transcatheter embolization. Radiology 163:135–139

    CAS  PubMed  Google Scholar 

  10. Gabelmann A, Gorich J, Merkle EM (2002) Endovascular treatment of visceral artery aneurysms. J Endovasc Ther 9:38–47

    PubMed  Article  Google Scholar 

  11. D’Onofrio M, Mansueto G, Gasparini A, et al. (2002) Endovascular management of splanchnic arteries bleeding in pancreato-biliary disease. Radiol Oncol 36:281–290

    Google Scholar 

  12. Yamakado K, Nakatsuka A, Tanaka N, et al. (2000) Transcatheter arterial embolization of ruptured pseudoaneurysms with coils and n-butyl cyanoacrylate. J Vasc Interv Radiol 11:66–72

    CAS  PubMed  Google Scholar 

  13. Chan RP, David E (2004) Reperfusion of splanchnic artery aneurysm following transcatheter embolization: treatment with percutaneous thrombin injection. Cardiovasc Intervent Radiol 27:264–267

    PubMed  Google Scholar 

Download references

Author information

Affiliations

Authors

Corresponding author

Correspondence to Michael K.S. Lee.

Rights and permissions

Reprints and Permissions

About this article

Cite this article

Lee, M.K., Vrazas, J.I. Ruptured Left Gastric Artery Aneurysm: Unique Presentation with Hemothorax and Hemomediastinum. Cardiovasc Intervent Radiol 29, 438–442 (2006). https://doi.org/10.1007/s00270-005-0164-3

Download citation

  • Published:

  • Issue Date:

  • DOI: https://doi.org/10.1007/s00270-005-0164-3

Keywords

  • Aneurysm
  • Rupture
  • Gastric artery
  • Therapeutic embolization