Skip to main content

Bilateral Adventitial Cystic Disease of the Popliteal Artery: A Case Report

Abstract

Adventitial cystic disease (ACD) of the popliteal artery is an uncommon vascular condition of unknown etiology. In the present case report, we describe a case of bilateral ACD of the popliteal artery in a 58-year-old male. To the best of our knowledge, this is the first case of bilateral ACD of the popliteal artery reported in the literature.

This is a preview of subscription content, access via your institution.

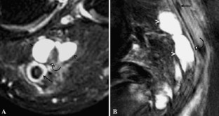
Figure 1
Figure 2
Figure 3
Figure 4
Figure 5
Figure 6

References

  1. Leu HJ, Largiader J, Odermatt B (1984) Pathogenesis of the so-called cystic adventitial degeneration of peripheral blood vessels. Virchows Arch 404:289–300

    CAS  Google Scholar 

  2. Atkins H, Key J (1947) A case of myxomatous tumor arising in the adventitia of the left external iliac artery. Br J Surg 34:426–427

    Google Scholar 

  3. Ejrup B, Hiertonn T (1954) Intermittent claudication: three cases treated by free vein graft. Acta Chir Scand 108:217–230

    CAS  PubMed  Google Scholar 

  4. Velasquez G, Zollikofer C, Nath H, et al. (1980) Cystic arterial adventitial degeneration. Radiology 134:19–21

    CAS  PubMed  Google Scholar 

  5. Bäckström CG, Linell F, Ostberg G (1965) Cystic, myxomatous adventitial degeneration of the radial artery with development of ganglion in the connective tissue. Report of two cases. Acta Chir Scand 129:447–451

    Google Scholar 

  6. Flanigan D, Burnham S, Goodreau J, (1979) Summary of cases of adventitial cystic disease of the popliteal artery. Ann Surg 189:165–175

    CAS  PubMed  Google Scholar 

  7. Bergan J (1995) Adventitial cystic disease of the popliteal artery. In: Rutherford RB (ed) Vascular Surgery, 4th ed. WB Saunders. Philadelphia, pp 883–887

    Google Scholar 

  8. Lewis GJT, Douglas DM, Reid W, et al. (1967) Cystic adventitial disease of the popliteal artery. Br Med J 3:411–415

    Google Scholar 

  9. Miller A, Salenius JP, Sacks BA, et al. (1997) Noninvasive vascular imaging in the diagnosis and treatment of adventitial cystic disease of the popliteal artery. J Vasc Surg 26:715–720

    Article  CAS  PubMed  Google Scholar 

  10. DeLaurentis DA, Wolferth CC Jr, Wolf FM, et al. (1973) Mucinous adventitial cysts of the popliteal artery in an 11-year-old girl. Surgery 74:456–459

    CAS  PubMed  Google Scholar 

  11. Sys J, Michielsen J, Bleyn J, (1997) Adventitial cystic disease of the popliteal artery in a triathlete. a case report. Am J Sports Med 25(6):854–857

    CAS  Google Scholar 

  12. Ricci P, Panzetti C, Mastantuono M, et al. (1999) Cross-sectional imaging in a case of adventitial cystic disease of the popliteal artery. Cardiovasc Intervent Radiol 22(1):71–74

    Article  CAS  PubMed  Google Scholar 

  13. Papavassiliou VG, Nasim A, Awad EM, (2002) Adventitial cystic disease of the popliteal artery: diagnosis and treatment. A case report. J Cardiovasc Surg 43:399–401

    CAS  Google Scholar 

  14. Levien LJ, Benn CA (1998) Adventitial cystic disease: a unifying hypothesis. J Vasc Surg 28:193–205

    Article  CAS  PubMed  Google Scholar 

  15. Unno N, Kaneko H, Uchiyama T, et al. (2000) Cystic adventitial disease of the popliteal artery: elongation into the media of the popliteal artery and communication with the knee joint capsule: report of a case. Surg Today 30(11):1026–1029

    Article  CAS  PubMed  Google Scholar 

  16. Schroё H, Van Opstal C, De leersnijder J, et al. (1988) Baker’s cyst connected to popliteal artery cyst. Ann Vasc Surg 2(4):385–389

    CAS  PubMed  Google Scholar 

  17. Lossef SV, Rajan S, Calcagno D, et al. (1992) Spontaneous rupture of an adventitial cyst of the popliteal artery: confirmation with MR imaging. J Vasc Intervent Radiol 3:95–97

    CAS  Google Scholar 

  18. Landry G, Abou-Zamzam A, Edwards J, et al. (2002) Nonatherosclerotic vascular disease. In: Moore WS (ed) Vascular Surgery. A Comprehensive Review, 6th ed. WB Saunders. Philadelphia, pp 143–144

    Google Scholar 

  19. Bunker SR, Lauten GJ, Hutton JE (1981) Cystic adventitial disease of the popliteal artery. Am J Roentgenol 136:1209–1212

    CAS  Google Scholar 

  20. Ikeda M, Fujimori Y, Tankawa H, (1984) Compression syndrome of the popliteal vein and artery caused by popliteal cyst. Angiology 35(4):245–251

    CAS  PubMed  Google Scholar 

  21. Peterson JJ, Kransdorf MJ, Bancroft LW, et al. (2003) Imaging characteristics of cystic adventitial disease of the peripheral arteries: presentation as soft-tissue masses. Am J Roentgenol 180:621–625

    Google Scholar 

  22. Elias DA, White LM, Rubenstein JD, et al. (2003) Clinical evaluation and MR imaging features of popliteal artery entrapment and cystic adventitial disease. Am J Roentgenol 180:627–632

    CAS  Google Scholar 

  23. Comerota AJ (1995) Vascular imaging techniques. In: Rutherford RB (ed) Vascular Surgery, 4th ed. WB Saunders. Philadelphia, p 137

    Google Scholar 

  24. Do DD, Braunschweig M, Baumgartner I, et al. (1997) Adventitial cystic disease of the popliteal artery: percutaneous US-guided aspiration. Radiology 203:743–746

    CAS  PubMed  Google Scholar 

  25. Rückert RI, Taupitz M (2000) Cystic adventitial disease of the popliteal artery. Am J Surg 180(1):53

    Article  PubMed  Google Scholar 

  26. Fox CJ, Rasmussen TE, O’Donnell SD (2004) Cystic adventitial disease of the popliteal artery. J Vasc Surg 39:1351

    Article  PubMed  Google Scholar 

  27. Lazic V, Stierli P (1994) Adventitia resection in cystic degeneration of the popliteal artery. Helv Chir Acta 60(6):883–886

    CAS  PubMed  Google Scholar 

Download references

Author information

Affiliations

Authors

Corresponding author

Correspondence to Jorge E. Lopera.

Rights and permissions

Reprints and Permissions

About this article

Cite this article

Ortiz M., W.R., Lopera, J.E., Giménez, C.R. et al. Bilateral Adventitial Cystic Disease of the Popliteal Artery: A Case Report. Cardiovasc Intervent Radiol 29, 306–310 (2006). https://doi.org/10.1007/s00270-004-0300-5

Download citation

  • Published:

  • Issue Date:

  • DOI: https://doi.org/10.1007/s00270-004-0300-5

Keywords

  • Cyst
  • Arteries
  • Extremities
  • Ultrasound (US)
  • Angiography
  • Computed tomography (CT)
  • Popliteal artery