Skip to main content

Decreases in the Psoas Muscle Index Correlate More Strongly with Survival than Other Prognostic Markers in Esophageal Cancer After Neoadjuvant Chemoradiotherapy Plus Esophagectomy

Abstract

Background

Despite wide acknowledgement of the importance of sarcopenia and prognostic markers such as the neutrophil-to-lymphocyte ratio, the impact on cancer patient survival of the timing of sarcopenia’s emergence and its severity is not well understood, nor is the association between sarcopenia and prognostic markers. The aim of this study, therefore, was to investigate the effect of the severity and timing of changes in the psoas muscle index (PMI) on survival of advanced esophageal squamous cell carcinoma (ESCC) patients receiving neoadjuvant chemoradiotherapy (NACRT) plus esophagectomy and the association between PMI and known prognostic markers.

Methods

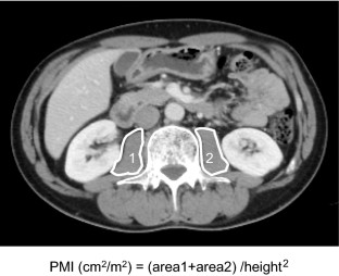
Included in this study were 113 ESCC patients who underwent NACRT followed by esophagectomy. PMI and prognostic markers were measured at their initial visit, just before surgery (after NACRT), and 3 months postoperatively.

Results

All patients were classified into four groups according to the percent decrease in PMI after NACRT and after NACRT plus esophagectomy. Patients exhibiting a larger PMI decrease (≥20%) after NACRT plus esophagectomy had significantly poorer overall survival than those showing a smaller PMI decrease. Furthermore, multivariable analysis showed that a larger decrease in PMI after NACRT plus esophagectomy was a significant risk factor for overall (P < 0.0001) and recurrence-free (P = 0.0097) survival. Neither pretherapeutic PMI nor a decrease in PMI after NACRT significantly affected survival. PMI also showed weak, but significant, correlations with several prognostic markers postoperatively.

Conclusions

Decreased PMI after NACRT plus esophagectomy is a strong prognostic indicator in ESCC patients.

This is a preview of subscription content, access via your institution.

Fig. 1
Fig. 2
Fig. 3
Fig. 4

References

  1. Gertler R, Stein HJ, Langer R et al (2011) Long-term outcome of 2920 patients with cancers of the esophagus and esophagogastric junction: evaluation of the New Union Internationale Contre le Cancer/American Joint Cancer Committee staging system. Ann Surg 253:689–698

    Article  Google Scholar 

  2. Ando N, Kato H, Igaki H et al (2012) A randomized trial comparing postoperative adjuvant chemotherapy with cisplatin and 5-fluorouracil versus preoperative chemotherapy for localized advanced squamous cell carcinoma of the thoracic esophagus (JCOG9907). Ann Surg Oncol 19:68–74

    Article  Google Scholar 

  3. Shapiro J, van Lanschot JJB, Hulshof MCCM et al (2015) Neoadjuvant chemoradiotherapy plus surgery versus surgery alone for oesophageal or junctional cancer (CROSS): long-term results of a randomised controlled trial. Lancet Oncol 16:1090–1098

    Article  Google Scholar 

  4. Liu J, Motoyama S, Sato Y et al (2016) Decreased skeletal muscle mass after neoadjuvant therapy correlates with poor prognosis in patients with esophageal cancer. Anticancer Res 36:6677–6685

    Article  Google Scholar 

  5. Shichinohe T, Uemura S, Hirano S et al (2019) Impact of preoperative skeletal muscle mass and nutritional status on short-and long-term outcomes after esophagectomy for esophageal cancer: a retrospective observational study: impact of psoas muscle mass and body mass on esophagectomy. Ann Surg Oncol 26:1301–1310

    Article  Google Scholar 

  6. Ozawa Y, Nakano T, Taniyama Y et al (2019) Evaluation of the impact of psoas muscle index, a parameter of sarcopenia, in patients with esophageal squamous cell carcinoma receiving neoadjuvant therapy. Esophagus. https://doi.org/10.1007/s10388-019-00670-3

    Article  PubMed  PubMed Central  Google Scholar 

  7. Rosenberg IH (1989) Summary comments. Am J Clin Nutr 50:1231–1233

    Article  Google Scholar 

  8. Cruz-Jentoft AJ, Bahat G, Bauer J et al (2019) Sarcopenia: revised European consensus on definition and diagnosis. Age Ageing 48:16–31

    Article  Google Scholar 

  9. Chen LK, Liu LK, Woo J et al (2014) Sarcopenia in Asia: consensus report of the Asian Working Group for Sarcopenia. J Am Med Dir Assoc 15:95–101

    Article  Google Scholar 

  10. Reisinger KW, Bosmans JW, Uittenbogaart M et al (2015) Loss of skeletal muscle mass during neoadjuvant chemoradiotherapy predicts postoperative mortality in esophageal cancer surgery. Ann Surg Oncol 22:4445–4452

    Article  Google Scholar 

  11. Nakashima Y, Saeki H, Nakanishi R et al (2018) Assessment of Sarcopenia as a predictor of poor outcomes after esophagectomy in elderly patients with esophageal cancer. Ann Surg 267:1100–1104

    Article  Google Scholar 

  12. Yabusaki N, Fujii T, Yamada S et al (2016) Adverse impact of low skeletal muscle index on the prognosis of hepatocellular carcinoma after hepatic resection. Int J Surg 30:136–142

    Article  Google Scholar 

  13. Reisinger KW, van Vugt JL, Tegels JJ et al (2015) Functional compromise reflected by sarcopenia, frailty, and nutritional depletion predicts adverse postoperative outcome after colorectal cancer surgery. Ann Surg 261:345–352

    Article  Google Scholar 

  14. Villasenor A, Ballard-Barbash R, Baumgartner K et al (2012) Prevalence and prognostic effect of sarcopenia in breast cancer survivors: the HEAL Study. J Cancer Surviv 6:398–406

    Article  Google Scholar 

  15. Lanic H, Kraut-Tauzia J, Modzelewski R et al (2014) Sarcopenia is an independent prognostic factor in elderly patients with diffuse large B-cell lymphoma treated with immunochemotherapy. Leuk Lymphoma 55:817–823

    CAS  Article  Google Scholar 

  16. Hamaguchi Y, Kaido T, Okumura S et al (2014) Impact of quality as well as quantity of skeletal muscle on outcomes after liver transplantation. Liver Transpl 20:1413–1419

    Article  Google Scholar 

  17. Li XH, Gu WS, Wang XP et al (2017) Low preoperative albumin-to-globulin ratio predict poor survival and negatively correlated with fibrinogen in resectable esophageal squamous cell carcinoma. J Cancer 8:1833–1842

    CAS  Article  Google Scholar 

  18. Xu XL, Yu HQ, Hu W et al (2015) A novel inflammation-based prognostic score, the C-reactive protein/albumin ratio predicts the prognosis of patients with operable esophageal squamous cell carcinoma. PLoS ONE. https://doi.org/10.1371/journal.pone.0138657

    Article  PubMed  PubMed Central  Google Scholar 

  19. Hu G, Liu G, Ma JY et al (2018) Lymphocyte-to-monocyte ratio in esophageal squamous cell carcinoma prognosis. Clin Chim Acta 486:44–48

    CAS  Article  Google Scholar 

  20. Kosumi K, Baba Y, Ishimoto T et al (2016) Neutrophil/lymphocyte ratio predicts the prognosis in esophageal squamous cell carcinoma patients. Surg Today 46:405–413

    CAS  Article  Google Scholar 

  21. Yang Y, Xu H, Zhou L et al (2018) Platelet to lymphocyte ratio is a predictive marker of prognosis and therapeutic effect of postoperative chemotherapy in non-metastatic esophageal squamous cell carcinoma. Clin Chim Acta 479:160–165

    CAS  Article  Google Scholar 

  22. Nakatani M, Migita K, Matsumoto S et al (2017) Prognostic significance of the prognostic nutritional index in esophageal cancer patients undergoing neoadjuvant chemotherapy. Dis Esophagus 30:1–7

    CAS  Article  Google Scholar 

  23. Vashist YK, Loos J, Dedow J et al (2011) Glasgow Prognostic Score is a predictor of perioperative and long-term outcome in patients with only surgically treated esophageal cancer. Ann Surg Oncol 18:1130–1138

    Article  Google Scholar 

  24. Brierley J, Gospodarowicz M, Wittekind C (2017) International union against cancer. TNM classification of malignant tumors, 8th edn. Wiley, Chichester

    Google Scholar 

  25. Toiyama Y, Miki C, Inoue Y et al (2011) Evaluation of an inflammation-based prognostic score for the identification of patients requiring postoperative adjuvant chemotherapy for stage II colorectal cancer. Exp Ther Med 2:95–101

    Article  Google Scholar 

  26. Azab B, Kedia S, Shah N et al (2013) The value of the pretreatment albumin/globulin ratio in predicting the long-term survival in colorectal cancer. Int J Colorectal Dis 28:1629–1636

    Article  Google Scholar 

  27. Ranzani OT, Zampieri FG, Forte DN et al (2013) C-reactive protein/albumin ratio predicts 90-day mortality of septic patients. PLoS ONE. https://doi.org/10.1371/journal.pone.0059321

    Article  PubMed  PubMed Central  Google Scholar 

  28. Li ZM, Huang JJ, Xia Y et al (2012) Blood lymphocyte-to-monocyte ratio identifies high-risk patients in diffuse large B-cell lymphoma treated with R-CHOP. PLoS ONE. https://doi.org/10.1371/journal.pone.0041658

    Article  PubMed  PubMed Central  Google Scholar 

  29. Zahorec R (2001) Ratio of neutrophil to lymphocyte counts-rapid and simple parameter of systemic inflammation and stress in critically ill. Bratisl Lek Listy 102:5–14

    CAS  PubMed  Google Scholar 

  30. Smith RA, Bosonnet L, Raraty M et al (2009) Preoperative platelet-lymphocyte ratio is an independent significant prognostic marker in resected pancreatic ductal adenocarcinoma. Am J Surg 197:466–472

    Article  Google Scholar 

  31. Onodera T, Goseki N, Kosaki G (1984) Prognostic nutritional index in gastrointestinal surgery of malnourished cancer patients. Nihon Geka Gakkai Zasshi 85:1001–1005

    CAS  PubMed  Google Scholar 

  32. Forrest LM, McMillan DC, McArdle CS et al (2003) Evaluation of cumulative prognostic scores based on the systemic inflammatory response in patients with inoperable non-small-cell lung cancer. Br J Cancer 89:1028–1030

    CAS  Article  Google Scholar 

  33. Japanese Esophageal Society (2017) Japanese classification of esophageal cancer, 11th edition: part II and III. Esophagus 14:37–65

    Article  Google Scholar 

  34. Okuyama M, Motoyama S, Suzuki H et al (2007) Hand-sewn cervical anastomosis versus stapled intrathoracic anastomosis after esophagectomy for middle or lower thoracic esophageal cancer: a prospective randomized controlled study. Surg Today 37:947–952

    Article  Google Scholar 

  35. Motoyama S, Kitamura M, Saito R et al (2007) Surgical outcome of colon interposition by the posterior mediastinal route for thoracic esophageal cancer. Ann Thorac Surg 83:1273–1278

    Article  Google Scholar 

  36. Taguchi S, Akamatsu N, Nakagawa T et al (2016) Sarcopenia evaluated using the skeletal muscle index is a significant prognostic factor for metastatic urothelial carcinoma. Clin Genitourin Cancer 14:237–243

    Article  Google Scholar 

  37. World Health Organization (2000) Obesity: preventing and managing the global epidemic: report of a WHO consultation. World Health Organ Tech Rep Ser 894:i-xii, 1–253

  38. Kelly TL, Wilson KE, Heymsfield SB (2009) Dual energy X-Ray absorptiometry body composition reference values from NHANES. PLoS ONE. https://doi.org/10.1371/journal.pone.0007038

    Article  PubMed  PubMed Central  Google Scholar 

  39. Marty E, Liu Y, Samuel A et al (2017) A review of sarcopenia: enhancing awareness of an increasingly prevalent disease. Bone 105:276–286. https://doi.org/10.1016/j.bone.2017.09.008

    Article  PubMed  Google Scholar 

  40. Naseeb MA, Volpe SL (2017) Protein and exercise in the prevention of sarcopenia and aging. Nutr Res 40:1–20. https://doi.org/10.1016/j.nutres.2017.01.001

    CAS  Article  PubMed  Google Scholar 

  41. Järvinen T, Ilonen I, Kauppi J et al (2018) Loss of skeletal muscle mass during neoadjuvant treatments correlates with worse prognosis in esophageal cancer: a retrospective cohort study. World J Surg Oncol. https://doi.org/10.1186/s12957-018-1327-4

    Article  PubMed  PubMed Central  Google Scholar 

  42. Paireder M, Asari R, Kristo I et al (2017) Impact of sarcopenia on outcome in patients with esophageal resection following neoadjuvant chemotherapy for esophageal cancer. Eur J Surg Oncol 43:478–484. https://doi.org/10.1016/j.ejso.2016.11.015

    CAS  Article  PubMed  Google Scholar 

  43. Elliott JA, Doyle SL, Murphy CF et al (2017) Sarcopenia: prevalence, and impact on operative and oncologic outcomes in the multimodal management of locally advanced esophageal cancer. Ann Surg 266:822–830. https://doi.org/10.1097/SLA.0000000000002398

    Article  PubMed  Google Scholar 

  44. Grotenhuis BA, Shapiro J, van Adrichem S et al (2016) Sarcopenia/muscle mass is not a prognostic factor for short- and long-term outcome after esophagectomy for cancer. World J Surg 40:2698–2704. https://doi.org/10.1007/s00268-016-3603-1

    Article  PubMed  PubMed Central  Google Scholar 

  45. Yalcin A, Silay K, Balik AR et al (2012) The relationship between plasma interleukin-15 levels and sarcopenia in outpatient older people. Aging Clin Exp Res 30:783–790

    Article  Google Scholar 

  46. Lutz CT, Quinn LS (2012) Sarcopenia, obesity, and natural killer cell immune senescence in aging: altered cytokine levels as a common mechanism. Aging (Albany NY) 4:535–546

    CAS  Article  Google Scholar 

Download references

Acknowledgements

This work was supported, in part, by Grants-in-Aid for Scientific Research from the Ministry of Education, Culture, Science, Sports and the Japan Science and Technology Agency.

Funding

The authors have received no grant support or other forms of assistance.

Author information

Affiliations

Authors

Corresponding author

Correspondence to Yuta Kawakita.

Ethics declarations

Conflict of interest

The authors declare no conflicts of interest.

Informed consent

Informed consent for use of their clinical information in future medical research was obtained from all patients prior to surgery.

Human and animal rights

This retrospective single-center observational study was approved by the Ethics Committee of Akita University (Approval Number: 547).

Additional information

Publisher's Note

Springer Nature remains neutral with regard to jurisdictional claims in published maps and institutional affiliations.

Rights and permissions

Reprints and Permissions

About this article

Verify currency and authenticity via CrossMark

Cite this article

Kawakita, Y., Motoyama, S., Sato, Y. et al. Decreases in the Psoas Muscle Index Correlate More Strongly with Survival than Other Prognostic Markers in Esophageal Cancer After Neoadjuvant Chemoradiotherapy Plus Esophagectomy. World J Surg 44, 1559–1568 (2020). https://doi.org/10.1007/s00268-019-05344-w

Download citation

  • Published:

  • Issue Date:

  • DOI: https://doi.org/10.1007/s00268-019-05344-w