Skip to main content

Tortuosity of the Descending Thoracic Aorta in Patients with Aneurysm and Type B Dissection

Abstract

Objective

Tortuosity in the descending thoracic aorta (DTA) comes with aging and increases the risk of endoleaks after TEVAR. With this report, we would like to define and classify tortuosity in the DTA of patients with thoracic aortic disease.

Methods

Retrospective case–control study of two hundred seven patients, comparing sixty-nine controls without aortic disease (CG), to sixty-nine patients with descending thoracic aortic aneurysm (AG) and sixty-nine patients with type B aortic dissection (DG). 3Mensio Vascular software was used to analyze CTA scans and collect the following measurements; tortuosity index, curvature ratio and the maximum tortuosity of the DTA. The DTA was divided into four equal zones. The maximum tortuosity was divided into three groups: low (<30°), moderate (30°–60°) and high tortuosity (>60°).

Results

Compared to the CG, tortuosity was more pronounced in the DG, and even more in the AG, evidenced by the tortuosity index (1.11 vs. 1.20 vs. 1.31; p < 0.001), curvature ratio (1.00 vs. 1.01 vs. 1.03; p < 0.001), maximum tortuosity in degrees (28.17 vs. 33.29 vs. 43.83; p < 0.001) and group of tortuosity (p < 0.001). The maximum tortuosity was further distal for the DG and AG, evidenced by the zone of maximum tortuosity (4A vs. 4B vs. 4B; p < 0.001).

Conclusion

This study shows that tortuosity in the DTA is more prominent in diseased aortas, especially in aneurysmal disease. This phenomenon needs to be taken into account during planning of TEVAR to prevent stent graft-related complications and to obtain positive long-term outcome.

This is a preview of subscription content, access via your institution.

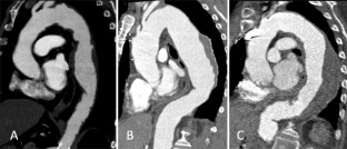
Fig. 1

Reprinted from Belvroy et al. published by PLOSONE, open access journals [11]

Fig. 2

Reprinted from Belvroy et al. published by PLOSONE, open access journals [11]

Fig. 3

Reprinted from Belvroy et al. published by PLOSONE, open access journals [11]

Fig. 4
Fig. 5

References

  1. Riambau V, Böckler D, Brunkwall J et al (2017) Editor’s choice—management of descending thoracic aorta diseases: clinical practice guidelines of the European Society for Vascular Surgery (ESVS). Eur J Vasc Endovasc Surg 53(1):4–52

    CAS  Article  Google Scholar 

  2. Erbel R, Aboyans V, Boileau C, et al (2014) 2014 ESC guidelines on the diagnosis and treatment of aortic diseases. Jeroen J Bax. https://www.nvvc.nl/media/richtlijn/187/2014_ESC_Guidelines_on_Diagnosis_and_Treatment_of_Aortic_Disease.pdf

  3. Chen CK, Liang IP, Chang HT et al (2014) Impact on outcomes by measuring tortuosity with reporting standards for thoracic endovascular aortic repair. J Vasc Surg 60(4):937–944. https://doi.org/10.1016/j.jvs.2014.04.008

    Article  PubMed  Google Scholar 

  4. Bowman JN, Silverberg D, Ellozy S et al (2010) The role of anatomic factors in predicting success of endovascular repair of thoracic aortic aneurysms. Vasc Endovasc Surg 44(2):101–104. https://doi.org/10.1177/1538574409347392

    Article  Google Scholar 

  5. Boufi M, Guivier-Curien C, Dona B et al (2016) Risk factor analysis for the mal-positioning of thoracic aortic stent grafts. Eur J Vasc Endovasc Surg 52(1):56–63

    CAS  Article  Google Scholar 

  6. Redheuil A, Yu W-C, Mousseaux E et al (2011) Age-related changes in aortic arch geometry relationship with proximal aortic function and left ventricular mass and remodeling. JAC 58(12):1262–1270

    Google Scholar 

  7. Craiem D, Casciaro ME, Graf S, et al (2012) Effects of aging on thoracic aorta size and shape: a non-contrast CT study. In: 2012 Annual international conference of the IEEE engineering in medicine and biology society, pp 4986–4989. Available from: http://www.ncbi.nlm.nih.gov/pubmed/23367047

  8. Craiem D, Chironi G, Redheuil A et al (2012) Aging impact on thoracic aorta 3D morphometry in intermediate-risk subjects: looking beyond coronary arteries with non-contrast cardiac CT. Ann Biomed Eng 40(5):1028–1038. https://doi.org/10.1007/s10439-011-0487-y

    Article  PubMed  Google Scholar 

  9. Stulp G, Barrett L (2016) Evolutionary perspectives on human height variation. Biol Rev 91(1):206–234

    Article  Google Scholar 

  10. Osakabe T, Hayashi M, Hasegawa K et al (2001) Age- and gender-related changes in ligament components. Ann Clin Biochem 38(Pt 5):527–532. https://doi.org/10.1177/000456320103800510

    CAS  Article  PubMed  Google Scholar 

  11. Belvroy VM, de Beaufort HWL, van Herwaarden JA et al (2019) Tortuosity of the descending thoracic aorta: normal values by age. PLoS One 14(4):e0215549. https://doi.org/10.1371/journal.pone.0215549

    CAS  Article  PubMed  PubMed Central  Google Scholar 

  12. Tsamis A, Krawiec JT, Vorp DA (2013) Elastin and collagen fibre microstructure of the human aorta in ageing and disease: a review. J R Soc Interface 10(83):20121004. https://doi.org/10.1098/rsif.2012.1004

    CAS  Article  PubMed  PubMed Central  Google Scholar 

  13. O’Rourke MF (2007) Arterial aging: pathophysiological principles. Vasc Med 12(4):329–341

    Article  Google Scholar 

  14. Lakatta EG, Levy D (2003) Arterial and cardiac aging: major shareholders in cardiovascular disease enterprises: part I: aging arteries: a set up for vascular disease. Circulation 107(1):139–146

    Article  Google Scholar 

  15. Marrocco-Trischitta MM, de Beaufort HW, Secchi F et al (2017) A geometric reappraisal of proximal landing zones for thoracic endovascular aortic repair according to aortic arch types. J Vasc Surg 65(6):1584–1590

    Article  Google Scholar 

  16. Ishimaru S (2004) Endografting of the Aortic Arch. J Endovasc Ther 11(SupplementII):62–71

    Article  Google Scholar 

  17. Madhwal S, Rajagopal V, Bhatt DL et al (2008) Predictors of difficult carotid stenting as determined by aortic arch angiography. J Invasive Cardiol 20(5):200–204

    PubMed  Google Scholar 

  18. Ueda T, Takaoka H, Raman B et al (2011) Impact of quantitatively determined native thoracic aortic tortuosity on endoleak development after thoracic endovascular aortic repair. Am J Roentgenol 197(6):1140–1146

    Article  Google Scholar 

  19. van Keulen JW, Moll FL, Tolenaar JL et al (2010) Validation of a new standardized method to measure proximal aneurysm neck angulation. J Vasc Surg 51(4):821–828

    Article  Google Scholar 

  20. Cao P, De Rango P, Verzini F et al (2010) Endoleak after endovascular aortic repair: classification, diagnosis and management following endovascular thoracic and abdominal aortic repair. J Cardiovasc Surg Torino 51(1):53–69

    CAS  PubMed  Google Scholar 

  21. Molony DS, Kavanagh EG, Madhavan P et al (2010) A computational study of the magnitude and direction of migration forces in patient-specific abdominal aortic aneurysm stent-grafts. Eur J Vasc Endovasc Surg 40(3):332–339

    CAS  Article  Google Scholar 

  22. Nakatamari H, Ueda T, Ishioka F et al (2011) Discriminant analysis of native thoracic aortic curvature: risk prediction for endoleak formation after thoracic endovascular aortic repair. J Vasc Interv Radiol 22(7):974–979. https://doi.org/10.1016/j.jvir.2011.02.031

    Article  PubMed  Google Scholar 

  23. Morales JP, Greenberg RK, Lu Q et al (2008) Endoleaks following endovascular repair of thoracic aortic aneurysm: etiology and outcomes. J Endovasc Ther 15:631–638. https://doi.org/10.1583/08-2551.1

    Article  PubMed  Google Scholar 

  24. Matsumura JS, Melissano G, Cambria RP et al (2014) Five-year results of thoracic endovascular aortic repair with the Zenith TX2. J Vasc Surg 60:1–10

    Article  Google Scholar 

  25. Scali ST, Wang SK, Feezor RJ et al (2014) Preoperative prediction of spinal cord ischemia after thoracic endovascular aortic repair. J Vasc Surg 60(6):1481.e1–1490.e1

    Google Scholar 

  26. Hiraoka T, Komiya T, Tsuneyoshi H et al (2018) Risk factors for spinal cord ischaemia after thoracic endovascular aortic repair. Interact CardioVasc Thorac Surg 27(1):54–59

    Article  Google Scholar 

  27. Barrett HE, Cunnane EM, Hidayat H et al (2018) On the influence of wall calcification and intraluminal thrombus on prediction of abdominal aortic aneurysm rupture. J Vasc Surg 67(4):1234.e2–1246.e2

    Article  Google Scholar 

  28. Nathan DP, Xu C, Gorman JH et al (2011) Pathogenesis of acute aortic dissection: a finite element stress analysis. Ann Thorac Surg 91(2):458–463

    Article  Google Scholar 

  29. Poullis MP, Warwick R, Oo A et al (2008) Ascending aortic curvature as an independent risk factor for type A dissection, and ascending aortic aneurysm formation: a mathematical model. Eur J Cardiothorac Surg 33(6):995–1001. https://doi.org/10.1016/j.ejcts.2008.02.029

    Article  PubMed  Google Scholar 

  30. Czerny M, Funovics M, Ehrlich M et al (2010) Risk factors of mortality in different age groups after thoracic endovascular aortic repair. Ann Thorac Surg 90(2):534–538

    Article  Google Scholar 

  31. De Rango P, Isernia G, Simonte G et al (2016) Impact of age and urgency on survival after thoracic endovascular aortic repair. J Vasc Surg 64(1):25–32

    Article  Google Scholar 

  32. Kotelis D, Brenke C, Wörz S et al (2015) Aortic morphometry at endograft position as assessed by 3D image analysis affects risk of type I endoleak formation after TEVAR. Langenbeck’s Arch Surg 400(4):523–539. https://doi.org/10.1007/s00423-015-1291-1

    Article  Google Scholar 

  33. van Bakel T, Romarowski R, Morganti S et al (2018) Blood flow after endovascular repair in the aortic arch: a computational analysis. AORTA 06(03):081–087

    Article  Google Scholar 

Download references

Funding

The authors declare that they have not received funding.

Author information

Affiliations

Authors

Corresponding author

Correspondence to Viony M. Belvroy.

Ethics declarations

Conflict of interest

The authors declare that they have no conflict of interest.

Additional information

Publisher's Note

Springer Nature remains neutral with regard to jurisdictional claims in published maps and institutional affiliations.

Rights and permissions

Reprints and Permissions

About this article

Verify currency and authenticity via CrossMark

Cite this article

Belvroy, V.M., de Beaufort, H.W.L., van Herwaarden, J.A. et al. Tortuosity of the Descending Thoracic Aorta in Patients with Aneurysm and Type B Dissection. World J Surg 44, 1323–1330 (2020). https://doi.org/10.1007/s00268-019-05328-w

Download citation

  • Published:

  • Issue Date:

  • DOI: https://doi.org/10.1007/s00268-019-05328-w