Skip to main content

Clinical Experience with Primary Hepatic Epithelioid Hemangioendothelioma: Retrospective Study of 33 Patients

Abstract

Background

This multicenter-based retrospective study aimed to investigate the prognostic factors and report our experiences with the diagnosis and treatment of hepatic epithelioid hemangioendothelioma (HEHE), a rare malignant vascular tumor.

Methods

A total of 33 patients with HEHE from two centers between 2004 and 2011 were retrospectively reviewed with respect to their clinical, radiologic, and pathologic characteristics; treatment modalities and outcomes; and potential prognostic factors.

Results

A total of 17 patients underwent liver resections (LRs) alone, 12 patients had transcatheter arterial chemoembolization (TACE) alone, three patients had LR followed by TACE, and one patient underwent liver transplantation (LT). The difference of overall survival (OS) between LR and TACE was not significant (p = 0.499). Older patients [≥47 years, n = 17; p = 0.035, hazard ratio (HR) = 7.0), those with symptoms (n = 17; p = 0.001, HR = 86.5], and those with an elevated serum CA19-9 level (>37 U/ml, n = 5; p = 0.018, HR = 5.0) had a poorer OS, according to univariate analysis. The presence of symptoms was validated as a prognostic factor (p = 0.012) by multivariate analysis.

Conclusions

Liver resection and TACE have comparable outcomes in HEHE patients. The presence of symptoms indicates a poor prognosis. Older age and elevated serum CA19-9 are potential negative impact factors on outcome.

This is a preview of subscription content, access via your institution.

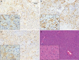
Fig. 1
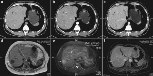
Fig. 2
Fig. 3

References

  1. Ishak KG, Sesterhenn IA, Goodman ZD et al (1984) Epithelioid hemangioendothelioma of the liver: a clinicopathologic and follow-up study of 32 cases. Hum Pathol 15:839–852

    PubMed  Article  CAS  Google Scholar 

  2. Makhlouf HR, Ishak KG, Goodman ZD (1999) Epithelioid hemangioendothelioma of the liver: a clinicopathologic study of 137 cases. Cancer 85:562–582

    PubMed  Article  CAS  Google Scholar 

  3. Mehrabi A, Kashfi A, Fonouni H et al (2006) Primary malignant hepatic epithelioid hemangioendothelioma: a comprehensive review of the literature with emphasis on the surgical therapy. Cancer 107:2108–2121

    PubMed  Article  Google Scholar 

  4. Dail DH, Liebow AA, Gmelich JT et al (1983) Intravascular, bronchiolar, and alveolar tumor of the lung (IVBAT): an analysis of twenty cases of a peculiar sclerosing endothelial tumor. Cancer 51:452–464

    PubMed  Article  CAS  Google Scholar 

  5. Miller WJ, Dodd GD III, Federle MP et al (1992) Epithelioid hemangioendothelioma of the liver: imaging findings with pathologic correlation. AJR Am J Roentgenol 159:53–57

    PubMed  CAS  Google Scholar 

  6. Lin J, Ji Y (2010) CT and MRI diagnosis of hepatic epithelioid hemangioendothelioma. Hepatobiliary Pancreat Dis Int 9:154–158

    PubMed  Google Scholar 

  7. Läuffer JM, Zimmermann A, Krähenbühl L et al (1996) Epithelioid hemangioendothelioma of the liver: a rare hepatic tumor. Cancer 78:2318–2327

    PubMed  Article  Google Scholar 

  8. Cardinal J, de Vera ME, Marsh JW et al (2009) Treatment of hepatic epithelioid hemangioendothelioma: a single-institution experience with 25 cases. Arch Surg 144:1035–1039

    PubMed  Article  Google Scholar 

  9. Lerut JP, Orlando G, Adam R et al (2007) The place of liver transplantation in the treatment of hepatic epitheloid hemangioendothelioma: report of the European Liver Transplant Registry. Ann Surg 246:949–957

    PubMed  Article  Google Scholar 

  10. Grotz TE, Nagorney D, Donohue J et al (2010) Hepatic epithelioid haemangioendothelioma: is transplantation the only treatment option? HPB (Oxford) 12:546–553

    Article  Google Scholar 

  11. Rodriguez JA, Becker NS, O’Mahony CA et al (2008) Long-term outcomes following liver transplantation for hepatic hemangioendothelioma: the UNOS experience from 1987 to 2005. J Gastrointest Surg 12:110–116

    PubMed  Article  Google Scholar 

  12. Simpson ND, Ahmed AM, Simpson PW et al (2003) Living donor liver transplantation in a patient with hepatic epithelioid hemangioendothelioma. J Clin Gastroenterol 37:349–350

    PubMed  Article  Google Scholar 

  13. Galvão FH, Bakonyi-Neto A, Machado MA et al (2005) Interferon alpha-2B and liver resection to treat multifocal hepatic epithelioid hemangioendothelioma: a relevant approach to avoid liver transplantation. Transplant Proc 37:4354–4358

    PubMed  Article  Google Scholar 

  14. Maciej U, Anna L (2002) Sialyl Lewisa: a tumor-associated carbohydrate antigen involved in adhesion and metastatic potential of cancer cells. Acta Biochim Pol 49:304–308

    Google Scholar 

  15. Robertson AG, Davidson BR (2007) Mirizzi syndrome complicating an anomalous biliary tract: a novel cause of a hugely elevated CA19-9. Eur J Gastroenterol Hepatol 19:167–169

    PubMed  Article  Google Scholar 

  16. von Ritter C, Eder MI, Stieber P et al (1997) Biliary mucin secreted by cultured human gallbladder epithelial cells carries the epitope of CA 19–9. Anticancer Res 17:2931–2934

    Google Scholar 

  17. Nakagoe T, Sawai T, Tsuji T et al (2001) Circulating sialyl Lewis(x), sialyl Lewis(a), and sialyl Tn antigens in colorectal cancer patients: multivariate analysis of predictive factors for serum antigen levels. J Gastroenterol 36:166–172

    PubMed  Article  CAS  Google Scholar 

  18. Nakagoe T, Sawai T, Tsuji T et al (2002) Predictive factors for preoperative serum levels of sialyl Lewis(x), sialyl Lewis(a) and sialyl Tn antigens in gastric cancer patients. Anticancer Res 22:451–458

    PubMed  CAS  Google Scholar 

  19. Budhu A, Forgues M, Ye QH et al (2006) Prediction of venous metastases, recurrence, and prognosis in hepatocellular carcinoma based on a unique immune response signature of the liver microenvironment. Cancer Cell 10:99–111

    PubMed  Article  CAS  Google Scholar 

  20. Berg EL, Robinson MK, Mansson O et al (1991) A carbohydrate domain common to both sialyl Le(a) and sialyl Le(x) is recognized by the endothelial cell leukocyte adhesion molecule ELAM-1. J Biol Chem 266:14869–14872

    PubMed  CAS  Google Scholar 

Download references

Acknowledgments

We thank Wei-De Zhang for his active contribution to this article. This study was jointly supported by the National Natural Science Funds of China (No. 30973499), the National S&T Major Project (No. 2008ZX10002-026), and the Dawn Program of the Shanghai Education Commission (No. 07SG04).

Disclosure

There are no financial disclosures from any of the authors.

Author information

Affiliations

Authors

Corresponding author

Correspondence to Lu Wang.

Additional information

Long-Rong Wang, Jia-Min Zhou, Yi-Ming Zhao, and Hong-Wei He contributed equally to this article.

Electronic supplementary material

Below is the link to the electronic supplementary material.

Supplementary material 1 (DOCX 23 kb)

Rights and permissions

Reprints and Permissions

About this article

Cite this article

Wang, LR., Zhou, JM., Zhao, YM. et al. Clinical Experience with Primary Hepatic Epithelioid Hemangioendothelioma: Retrospective Study of 33 Patients. World J Surg 36, 2677–2683 (2012). https://doi.org/10.1007/s00268-012-1714-x

Download citation

  • Published:

  • Issue Date:

  • DOI: https://doi.org/10.1007/s00268-012-1714-x

Keywords

  • Overall Survival
  • Liver Transplantation
  • Liver Resection
  • Tace
  • Liver Resection Group