Skip to main content

Extension of Nonoperative Management of Blunt Pancreatic Trauma to Include Grade III Injuries: A Safety Analysis

Abstract

Background

In hemodynamically stable patients after blunt pancreatic trauma, the main pancreatic duct (MPD) disruption (American Association for the Surgery of Trauma [AAST] grade III-IV-V lesions) is usually treated surgically or by endoscopic stent placement, whereas injuries without duct involvement (grade I-II) are liable to medical treatment. To date, no evidence has been reported regarding nonoperative management (NoM) of grade III injuries. We aimed to evaluate the safety of extending medical management to include cases of distal MPD involvement (grade III).

Patients and methods

Data were collected on patients admitted after blunt pancreatic trauma between January 1999 and December 2007. Patients exhibiting hemodynamic instability or hollow organ perforations were excluded from this study, as they were surgically managed. In all remaining cases NoM was attempted. Antibiotic prophylaxis and early total enteral nutrition were routinely adopted. Grade III patients received octreotide during hospitalization and for 6 months after discharge.

Results

Eleven patients (2 with grade I injury, 3 with grade II injury, and 6 with grade III injury, all diagnosed by contrast-enhanced helical CT) were included. Nonsurgical management was carried out in all of these patients. Among grade III patients, one developed a peripancreatic abscess; another, a pancreatic fistula. Both were successfully treated nonoperatively. The average length of hospital stay was similar in grade I-II and grade III patients. After a median follow-up of 57 months no mortality or pancreatic sequelae had occurred.

Conclusions

Under the aforementioned conditions, an attempt to extend NoM to include patients with AAST-grade III lesions can be justified. However, such a strategy demands continuous patient monitoring, because should the case worsen, surgery might become necessary.

This is a preview of subscription content, access via your institution.

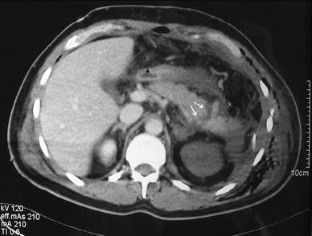
Fig. 1
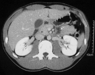
Fig. 2
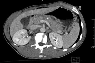
Fig. 3
Fig. 4

References

  1. Lin BC, Chen RJ, Fang JF et al (2004) Management of blunt major pancreatic injury. J Trauma 56:774–778

    PubMed  Article  Google Scholar 

  2. Wolf A, Bernhardt J, Patrzyk M et al (2005) The value of endoscopic diagnosis and the treatment of pancreas injuries following blunt abdominal trauma. Surg Endosc 19:665–669

    PubMed  Article  CAS  Google Scholar 

  3. Tyburski JG, Dente CJ, Wilson RF et al (2001) Infectious complications following duodenal and/or pancreatic trauma. Am Surg 67:227–231

    PubMed  CAS  Google Scholar 

  4. Wong YC, Lj Wang, Lin BC et al (1997) CT grading of blunt pancreatic injuries: prediction of ductal disruption and surgical correlation. J Comput Assist Tomogr 21:246–250

    PubMed  Article  CAS  Google Scholar 

  5. Ilahi O, Bochicchio GV, Scalea TM (2002) Efficacy of computed tomography in the diagnosis of pancreatic injuries in adult blunt trauma patients: a single-institutional study. Am Surg 68:704–708

    PubMed  Google Scholar 

  6. Akhrass R, Yaffe MB, Brandt CP et al (1997) Pancreatic trauma: a ten-year multi-institutional experience. Am Surg 63:598–604

    PubMed  CAS  Google Scholar 

  7. Madida TE, Mokoena TR (1995) Favorable prognosis after surgical drainage of gunshot, stab or blunt trauma of the pancreas. Br J Surg 82:1236–1239

    Article  Google Scholar 

  8. Bradley EL 3rd, Young PR Jr, Chang MC et al (1998) Diagnosis and initial management of blunt pancreatic trauma: guidelines from a multi-institutional review. Ann Surg 227:861–869

    PubMed  Article  Google Scholar 

  9. Ryan S, Sandler A, Trenhaile S et al (1994) Pancreatic enzyme elevations after blunt trauma. Surgery 116:622–627

    PubMed  CAS  Google Scholar 

  10. Lane MJ, Mindelnuz RE, Jeffrey RB (1996) Diagnosis of pancreatic injury after blunt abdominal trauma. Semin Ultrasound CT MR 17:177–182

    PubMed  Article  CAS  Google Scholar 

  11. Shilyansky J, Sena LM, Kreller M et al (1998) Nonoperative management of pancreatic injuries in children. J Pediatr Surg 33:343–349

    PubMed  Article  CAS  Google Scholar 

  12. Kouchi K, Tanabe M, Yoshida H et al (1999) Nonoperative management of blunt pancreatic injury in childhood. J Pediatr Surg 34:1736–1739

    PubMed  Article  CAS  Google Scholar 

  13. Wales PW, Shuckett B, Kim PCW (2001) Long-term outcome after nonoperative management of complete traumatic pancreatic transection in children. J Pediatr Surg 36:823–827

    PubMed  Article  CAS  Google Scholar 

  14. Wong YC, Wang LJ, Fang JF et al (2008) Multidetector-row computed tomography (CT) of blunt pancreatic injuries: can contrast-enhanced multiphasic CT detect pancreatic duct injuries? J Trauma 64:666–672

    PubMed  Article  Google Scholar 

  15. Fulcher AS, Turner MA, Yelon JA et al (2000) Magnetic resonance cholangiopancreatography (MRCP) in the assessment of pancreatic duct trauma and its sequelae: preliminary findings. J Trauma 48:1001–1007

    PubMed  Article  CAS  Google Scholar 

  16. Bofferd KD, Brooks AJ (2000) Pancreatic trauma—injuries to the pancreas and pancreatic duct. Eur J Surg 166:4–12

    Google Scholar 

  17. Teh SH, Sheppard BC, Mullins RJ et al (2007) Diagnosis and management of blunt pancreatic ductal injury in the era of high-resolution computed axial tomography. Am J Surg 193:641–643

    PubMed  Article  Google Scholar 

  18. Eimiller A (1992) Complication in endoscopy (review). Endoscopy 24:176–184

    PubMed  Article  CAS  Google Scholar 

  19. Collen MJ, Hanan MR, Maher JA et al (1980) Modification of endoscopic retrograde cholangiopancreatography (ERCP) septic complications by the addition of an antibiotic to the contrast media: randomized controlled investigation. Am J Gastroenterol 74:493–496

    PubMed  CAS  Google Scholar 

  20. Thomopoulos KC, Pagoni NA, Vagenas KA et al (2006) Twenty-four hour prophylaxis with increased dosage of octreotide reduces the incidence of post-ERCP pancreatitis. Gastrointest Endosc 64:726–731

    PubMed  Article  Google Scholar 

  21. Andriulli A, Leandro G, Niro G et al (2000) Pharmacologic treatment can prevent pancreatic injury after ERCP: a meta-analysis. Gastrointest Endosc 51:100–103

    Article  Google Scholar 

  22. Foster E, Leung J (2007) Pharmacotherapy for the prevention of post-ERCP pancreatitis. Am J Gastroenterol 102:52–55

    PubMed  Article  CAS  Google Scholar 

  23. Hardt PD, Kress O, Fadgyas T et al (2000) Octreotide in the prevention of pancreatic damage induced by endoscopic sphincterotomy. Eur J Med Res 5:165–170

    PubMed  CAS  Google Scholar 

  24. Poon RT, Fan ST (2003) Antisecretory agents for prevention of post-ERCP pancreatitis: rationale for use and clinical results. JOP 4:33–40

    PubMed  Google Scholar 

  25. Andriulli A, Leandro G, Clemente R et al (1998) Meta-analysis of somatostatin, octreotide and gabexate mesilate in the therapy of acute pancreatitis. Aliment Pharmacol Ther 12:237–245

    PubMed  Article  CAS  Google Scholar 

  26. Cavallini G, Frulloni L (2001) Somatostatin and octreotide in acute pancreatitis: the never-ending story. Dig Liver Dis 33:192–201

    PubMed  Article  CAS  Google Scholar 

  27. Uhl W, Buchler MW, Malfertheiner P et al (1999) A randomized, double blind, multicentric trial of octreotide in moderate to severe acute pancreatitis. Gut 45:97–104

    PubMed  CAS  Google Scholar 

  28. Gouillat C, Gigot JF (2001) Pancreatic surgical complications-the case for prophylaxis. Gut 49(Suppl 4):32–39

    Google Scholar 

  29. Hesse UJ, DeDecker C, Houtmeyers P et al (2005) Prospectively randomized trial using perioperative low-dose octreotide to prevent organ-related and general complications after pancreatic surgery and pancreatico-jejunostomy. World J Surg 29:1325–1328

    PubMed  Article  Google Scholar 

  30. Zeng Q, Zhang Q, Han S et al (2008) Efficacy of somatostatin and its analogues in prevention of postoperative complications after pancreaticoduodenectomy: a meta-analysis of randomized controlled trials. Pancreas 36:18–25

    PubMed  Article  CAS  Google Scholar 

  31. Morgan KA, Adams DB (2007) Management of internal and external pancreatic fistulas. Surg Clin North Am 87:1503–1513

    PubMed  Article  Google Scholar 

  32. Vasquez JC, Coimbra R, Hoyt DB et al (2001) Management of penetrating pancreatic trauma: an 11-year experience of a level-1 trauma center. Injury 32:753–759

    PubMed  Article  CAS  Google Scholar 

  33. O’Toole D, Vullierme MP, Ponsot P et al (2007) Diagnosis and management of pancreatic fistulae resulting in pancreatic ascites or pleural effusions in the era of helical CT and magnetic resonance imaging. Gastroenterol Clin Biol 31:686–693

    PubMed  Google Scholar 

  34. Uchiyama T, Suzuki T, Adachi A et al (1992) Pancreatic pleural effusion: case report and review of 113 cases in Japan. Am J Gastroenterol 87:387–391

    PubMed  CAS  Google Scholar 

  35. Dhebri AR, Ferran N (2005) Nonsurgical management of pancreaticopleural fistula. JOP 6:152–161

    PubMed  Google Scholar 

  36. Amirada E, Livingston DH, Elcavage J (1994) Octreotide acetate decreases pancreatic complications after pancreatic trauma. Am J Surg 168:345–347

    Article  Google Scholar 

  37. Ohge H, Yokoyama T, Kodama T et al (1999) Surgical approaches for pancreatic ascites: report of three cases. Surg Today 29:458–461

    PubMed  Article  CAS  Google Scholar 

  38. Munshi IA, Haworth R, Barie PS (1995) Resolution of refractory pancreatic ascites after continuous infusion of octreotide acetate. Int J Pancreatol 17:203–206

    PubMed  CAS  Google Scholar 

  39. Gislason H, Gronbech JE, Soreide O (1991) Pancreatic ascites: treatment by continuous somatostatin infusion. Am J Gastroenterol 86:519–521

    PubMed  CAS  Google Scholar 

  40. Lin BC, Liu NJ, Fang JF et al (2006) Long-term results of endoscopic stent in the management of blunt major pancreatic duct injury. Surg Endosc 20:1551–1555

    PubMed  Article  Google Scholar 

  41. Moore EE, Jones TN (1986) Benefits of immediate jejunostomy feeding after major abdominal trauma—a prospective randomized trial. J Trauma 26:874–881

    PubMed  Article  CAS  Google Scholar 

  42. Kudsk KA, Croce MA, Fabian TC et al (1992) Enteral versus parenteral feeding. Effects on septic morbidity after blunt and penetrating abdominal trauma. Ann Surg 215:503–513

    PubMed  Article  CAS  Google Scholar 

  43. Gupta R, Patel K, Calder PC et al (2003) A randomised clinical trial to assess the effect of total enteral and total parenteral nutritional support on metabolic, inflammatory and oxidative markers in patients with predicted severe acute pancreatitis (APACHE II ≥ 6). Pancreatology 3:406–413

    PubMed  Article  CAS  Google Scholar 

  44. Abou-Assi S, Craig K, O’Keefe SJ (2002) Hypocaloric jejunal feeding is better than total parenteral nutrition in acute pancreatitis: results of a randomized comparative study. Am J Gastroenterol 97:2255–2262

    PubMed  Article  Google Scholar 

  45. Olah A, Pardavi G, Belagyi T et al (2002) Early nasojejunal feeding in acute pancreatitis is associated with a lower complication rate. Nutrition 18:259–262

    PubMed  Article  Google Scholar 

  46. Windsor AC, Kanwar S, Li AG et al (1998) Compared with parenteral nutrition, enteral feeding attenuates the acute phase response and improves disease severity in acute pancreatitis. Gut 42:431–435

    PubMed  CAS  Article  Google Scholar 

  47. McClave SA, Greene LM, Snider HL et al (1997) Comparison of the safety of early enteral vs parenteral nutrition in mild acute pancreatitis. JPEN J Parenter Enteral Nutr 21:14–20

    PubMed  Article  CAS  Google Scholar 

  48. Kalfarentzos F, Kehagias J, Mead N et al (1997) Enteral nutrition is superior to parenteral nutrition in severe acute pancreatitis: results of a randomized prospective trial. Br J Surg 84:1665–1669

    PubMed  Article  CAS  Google Scholar 

Download references

Author information

Affiliations

Authors

Corresponding author

Correspondence to Giacomo Pata.

Rights and permissions

Reprints and Permissions

About this article

Cite this article

Pata, G., Casella, C., Di Betta, E. et al. Extension of Nonoperative Management of Blunt Pancreatic Trauma to Include Grade III Injuries: A Safety Analysis. World J Surg 33, 1611–1617 (2009). https://doi.org/10.1007/s00268-009-0082-7

Download citation

  • Published:

  • Issue Date:

  • DOI: https://doi.org/10.1007/s00268-009-0082-7

Keywords

  • Octreotide
  • Pancreatic Fistula
  • Main Pancreatic Duct
  • Nonoperative Management
  • Blunt Abdominal Trauma