Skip to main content

Reduced Neuronal Innervation in the Distal End of the Proximal Esophageal Atretic Segment in Cases of Esophageal Atresia with Distal Tracheoesophageal Fistula

Abstract

Background

Esophageal dysmotility is a common occurence after surgical repair of proximal esophageal atresia (EA) and distal tracheoesophageal fistula (TEF). The etiology of this motility disorder, however, remains controversial. Esophageal dysmotility also is present in isolated TEF or EA before surgery, suggesting a congenital cause. However, there is no information available in the literature with regard to the intramural nervous system of the human esophagus in EA-TEF.

Patients and Methods

We examined the distal end of proximal esophageal atretic segment of neonates undergoing EA-TEF repair for intrinsic neuronal innervation. Using specific antibodies, we studied neuronal markers of specimens from nine cases of EA-TEF and 9 cases of normal esophagus by immunohistochemistry using neurofilament (NF), synaptophysin (SY), S100, and glial cell line-derived neurotrophic factor (GDNF).

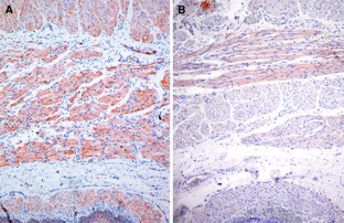
Results

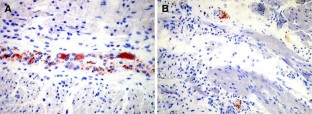
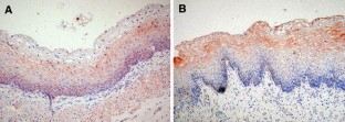
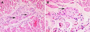
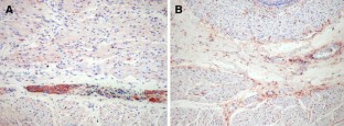
In the atretic segment, specimens staining with hematoxylin and eosin showed that there were marked hypoganglionosis and immature ganglion cells in the myenteric plexus. GDNF immunoreactivity in the atretic esophagus were markedly reduced in both the muscular layer and myenteric plexus. SY and NF-immunorective nerve fibers were distributed throughout the myenteric plexus of the normal esophagus, but the scarcity of these immunoreactive nerve fibers in the atretic esophagus was apparent. In contrast, the density of immunorective nerve fibers for S100 in the myenteric plexus and muscular layer was increased in the distal end of the atretic esophagus.

Conclusion

We concluded that the distribution of ganglion cells and some nerve fibers in the distal end of the atretic esophageal segment is deficient. Inadequate and abnormal neuronal innervation of the esophagus could be related to the esophageal dysmotility seen in EA. Because GDNF is a survival factor for central and peripheral neurons, defective expression of GDNF could have an important role in the defective and/or abnormal neuronal innervation of atretic esophageal segment.

This is a preview of subscription content, access via your institution.

Fig. 1
Fig. 2
Fig. 3
Fig. 4
Fig. 5
Fig. 6

References

  1. Kirkpatrick JA, Cresson SL, Pilling GP (1961) The motor activity of the esophagus in association with esophageal atresia and tracheoesophageal fistula. AJR Am J Roentgenol 86:884–887

    CAS  Google Scholar 

  2. Orringer MB, Kirsh MM, Sloan HS (1977) Long-term esophageal function following repair of esophageal atresia. Ann Surg 186:436–443

    PubMed  Article  CAS  Google Scholar 

  3. Romeo G, Zuccarello B, Proietto F, et al. (1987) Disorders of the esophageal motor activity in atresia of the esophagus. J Pediatr 22:120–124

    CAS  Google Scholar 

  4. Spitz L, Keily E, Brereton R (1987) Esophageal atresia: five year experience with 148 cases. J Pediatr Surg 22:103–108

    PubMed  Article  CAS  Google Scholar 

  5. Duranceau A, Fisher SR, Flye MW, et al. (1997) Motor function of the esophagus after repair of esophageal atresia and tracheo-esophageal fistula. Surgery 82:116–123

    Google Scholar 

  6. Shono T, Suita S, Arima T, et al. (1993) Motor function of the esophagus before primary anastomosis in esophageal atresia. J Pediatr Surg 28:673–676

    PubMed  Article  CAS  Google Scholar 

  7. Cheng W, Bishop A, Spitz L, et al. (1997) Abnormalities of neuropeptides and neuronal markers in the esophagus of fetal rats with adriamycin induced esophageal atresia. J Pediatr Surg 32:1420–1423

    PubMed  Article  CAS  Google Scholar 

  8. Beasley SW (1998) Esophageal atresia: surgical aspects. In: Stringer MD, Oldham KT, Mouriquand PDE, et al., editors. Pediatric Surgery and Urology: Long Term Outcomes. London, Saunders, pp 166–180

    Google Scholar 

  9. Zigman A, Yazbeck S (2002) Esophageal foreign body obstruction after esophageal atresia repair. J Pediatr Surg 37:776–778

    PubMed  Article  Google Scholar 

  10. Takano K, Iwafuchi M, Uchiyama M, et al. (1988) Evaluation of lower esophageal sphincter function in infants and children following esophageal surgery. J Pediatr Surg 23:410–414

    PubMed  Article  CAS  Google Scholar 

  11. Munro FD (2003) Dysphagia in children: a paediatric surgical perspective. Int J Pediatr Otorhinolaryngol 67(Suppl 1):S103–S105

    PubMed  Article  Google Scholar 

  12. Qi BQ, Merei J, Farmer P, et al. (1997) The vagus and recurrent laryngeal nerves in the rodent experimental model of esophageal atresia. J Pediatr Surg 32:1580–1586

    PubMed  Article  CAS  Google Scholar 

  13. Burgess JN, Schlegel JF, Ellis Fh (1972) The effect of denervation on feline esophageal function and morphology. J Surg Res 12:24–33

    PubMed  Article  CAS  Google Scholar 

  14. Reynolds RPE, El-Sharkawy TY, Diamant NE (1985) Oesophageal peristalsis in the cat: the role of central innervation assessed by transient vagal blockade. Can J Physiol Pharmacol 63:122–130

    PubMed  CAS  Google Scholar 

  15. Crist J, Gidda JS, goayal RK (1984) Intramural mechanism of esophageal peristalsis: role of cholinergic and noncholinergic nerves. Physiol Sci 81:3595–3599

    CAS  Google Scholar 

  16. Wells TR, landing BH, Ariel I (1987) Normal anatomy of the myenteric plexus of infants and children. Perspect Pediatr Pathol 11:152–174

    PubMed  CAS  Google Scholar 

  17. Cheng W, Bishop A, Spitz L, et al. (1999) Abnormal enteric nerve morphology in atretic esophagus of fetal rats with adriamycin-induced esophageal atresia. Pediatr Surg Int 15:8–10

    PubMed  Article  CAS  Google Scholar 

  18. Qi BQ, Uemuro S, Farmer P, et al. (1999) Intrinsic innervation of the esopahagus in fetal rats with oesophageal atresia. Pediatr Surg Int 15:2–7

    PubMed  Article  CAS  Google Scholar 

  19. Nakazato W, Landing BH, Wells TR (1986) Abnormal Auerbach plexus in the esophagus and stomach of patients with esophageal atresia and tracheoesophageal fistula. J Pediatr Surg 21:831–837

    PubMed  CAS  Google Scholar 

  20. Rossi J, Herzig KH, Voikar V, et al. (2003) Alimentary tract innervation deficits and dysfunction in mice lacking GDNF family receptor α2. J Clin Invest 112:707–716

    PubMed  Article  CAS  Google Scholar 

  21. Pahnke J, Mix E, Knoblich R, et al. (2004) Overexpression of glial cell line-derived neurotrophic factor induces genes regulating migration and differentiation of neuronal progenitor cells. Exp Cell Res 297:484–494

    PubMed  Article  CAS  Google Scholar 

Download references

Author information

Affiliations

Authors

Corresponding author

Correspondence to Savas Demirbilek.

Rights and permissions

Reprints and Permissions

About this article

Cite this article

Boleken, M., Demirbilek, S., Kirimiloglu, H. et al. Reduced Neuronal Innervation in the Distal End of the Proximal Esophageal Atretic Segment in Cases of Esophageal Atresia with Distal Tracheoesophageal Fistula. World J Surg 31, 1512–1517 (2007). https://doi.org/10.1007/s00268-007-9070-y

Download citation

  • Received:

  • Revised:

  • Accepted:

  • Published:

  • Issue Date:

  • DOI: https://doi.org/10.1007/s00268-007-9070-y

Keywords

  • Myenteric Plexus
  • Muscular Layer
  • Esophageal Atresia
  • Neuronal Innervation
  • Esophageal Dysmotility