Skip to main content

Pirfenidone Prevents Capsular Contracture After Mammary Implantation

Abstract

Background

Pirfenidone (PFD), a new antifibrotic and antiinflammatory agent, prevents and resolves fibrous tissue. This study evaluated the effect of PFD on adverse events in mammary implants using an animal model. Mammary implantation, the most frequent aesthetic surgery, may present several complications after surgery such as swelling, capsule contracture, hardness, and pain.

Methods

Wistar rats underwent submammary implantation with either smooth or textured silicone gel implants and were administrated 200 mg/kg of PFD daily. The control group received saline. The animals were killed at 8 weeks. The capsular tissue of both implants was removed for histologic and molecular analyses.

Results

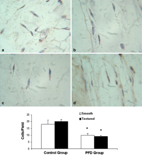
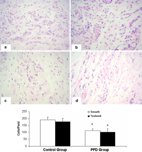
Typical postaugmentation periimplant capsules with opacity on adjacent tissues developed 8 weeks after silicone implantation. No significant differences were observed between the textured and smooth implants in any analyzed parameter. Clearly, PFD reduced capsule thickness around submmamary tissue, fibroblast-like cell proliferation, and recruitment of inflammatory cells. The total cell numbers per field were reduced as well. In contrast, the control group presented abundant mononuclear cell infiltration and fibroblast-like cell proliferation. The total content of collagen in the PFD group was 50% less than in the control group. Fibroblast cells displayed 45% less activated phenotype in the PFD group than in the control group, as determined by immunohistochemistry techniques. In the PFD animals, transforming growth factor-β (TGF-β) decreased 85% and collagen 1 gene expression 60%, compared with the control group.

Conclusion

The findings show a positive effect of PFD on mammary contracture in 10 rats. Despite the small number of animals, the differences found in 10 control rats encourage the authors to propose a larger study later and to suggest PFD as a potential preventive strategy in human mammary implantation surgery.

This is a preview of subscription content, access via your institution.

Fig. 1
Fig. 2
Fig. 3
Fig. 4
Fig. 5
Fig. 6

References

  1. Burckhardt BR (1988) Capsular contracture: Hard breasts, soft data. Clin Plast Surg 15:521

    Google Scholar 

  2. Collis N, Coleman D, Foo ITH, Sharpe DT (2000) Ten years of a prospective randomised controlled trial of textured versus smooth subglandular silicone gel breast implants. Plast Reconstr Surg 106:786–791

    PubMed  Article  CAS  Google Scholar 

  3. Vistnes LM, Ksander GA, Kosek J (1978) Study of encapsulation of silicone rubber implants in animals: A foreign body reaction. Plast Reconstr Surg 62:580–588

    PubMed  CAS  Google Scholar 

  4. Coleman DJ, Foo ITH, Sharpe DT (1991) Textured or smooth implants for breast augmentation? A prospective controlled trial. Br J Plast Surg 44:444– 448

    PubMed  Article  CAS  Google Scholar 

  5. Lossing C, Hanson HA (1981) Peptide growth factors and myofibroblast in capsules around human breast implants. Plast Reconstr Surg 91:1277–1286

    Google Scholar 

  6. Vistnes LM, Ksander GA, Isaacs G, Rozner L (1981) Elevated glycosaminoglycans and chondroitin 4–sulfate and other properties of contracted human prosthesis capsules. Ann Plast Surg 7:195–203

    PubMed  Article  CAS  Google Scholar 

  7. Kuhn A, Sing S, Smith PD (2000) Periprosthetic breast capsules contain the fibrogenic cytokines TGF-β1 and TGF-β2, suggesting possible new treatment approaches. Ann Plast Surg 44:387–391

    PubMed  CAS  Article  Google Scholar 

  8. Brohim RM, Foresman PA, Hildebrandt PK (1992) Early tissue reaction to textured breast implant surfaces. Ann Plast Surg 28:354

    PubMed  Article  CAS  Google Scholar 

  9. Lossing C, Hansson HA (1993) Peptide growth factors and myofibroblasts in capsules around human breast implants. Plast Reconstr Surg 91:1277–1286

    PubMed  Article  CAS  Google Scholar 

  10. Ajmal N, Riordan CL, Cardwell N, Nanney LB, Shack RB (2003) The effectiveness of sodium 2–mercaptoethane sulfonate (mesna) in reducing capsular formation around implants in a rabbit model. Plast Reconstr Surg 112:1455–1461

    PubMed  Article  Google Scholar 

  11. Frangou J, Kanellaki M (2001) The effect of local application of mitomycin C on the development of capsule around silicone implants in the breast: An experimental study in mice. Aesth Plast Surg 25:118–128

    Article  CAS  Google Scholar 

  12. Eltze E, Bettendorf O, Rody A, Jackisch C, Herchenroder F, Bocker W, Pfleiderer B (2003) Influence of local complications on capsule formation around model implants in a rat model. J Biomed Mater Res 64A:12–19

    Article  CAS  Google Scholar 

  13. Minami E, Jun Koh I, Ronche JC, Ferreira J, Logullo AF, Waitzberg A, Chifferi V, Fortoul-Rosewick T, Domínguez-Pereira M, Nascimento PH, Saldiva P, Poli de Figueiredo LF (2006) The composition and behavior of capsules around smooth and textured breast implants in pigs. Plast Reconstr Surg 118:874–884

    PubMed  Article  CAS  Google Scholar 

  14. Eltze E, Schafer U, Bettendorf O, Rody A, Herchenroder F, Chiwritsch T, Jackisch C, Pfleiderer B (2006) Radiation-induced capsule tissue reactions around textured breast implants in a rat model. Breast 15:331–338

    PubMed  Article  CAS  Google Scholar 

  15. Adams WP, Haydon MS, Raniere J, Trott S, Marques M, Feliciano M, Robinson JB, Tang L, Brown SA (2006) A rabbit model for capsular contracture: development and clinical implications. Plast Reconstr Surg 117:1214–1219

    PubMed  Article  CAS  Google Scholar 

  16. Cardenas-Camarena L, Paillet JC, Briseño R: Electrostimulation (2005) Uses and applications for periprosthetic capsular contracture: Experimental model. Aesth Plast Surg 29:410–414

    Article  Google Scholar 

  17. Peterson HD, Burt GB Jr (1974) The role of steroid in prevention of circumferential capsular scarring in augmentation mammaplasty. Plast Reconstr Surg 54:28

    PubMed  CAS  Article  Google Scholar 

  18. Perrin ER (1976) The use of soluble steroid within inflatable breast prostheses. Plast Reconstr Surg 57:163

    PubMed  Article  CAS  Google Scholar 

  19. Vinnik CA (1976) Spherical contracture of fibrous capsules around breast implants: Prevention and treatment. Plast Reconstr Surg 58:555

    PubMed  Article  CAS  Google Scholar 

  20. Ellemberg AH (1977) Marked thinning of the breast skin flaps after the insertion of implants containing triamcinolone. Plast Reconstr Surg 60:755

    Google Scholar 

  21. Carrico TJ, Cohen IK (1979) Capsular contracture and steroid-related complication after augmentation mammaplasty: A preliminary study. Plast Reconstr Surg 64:377

    PubMed  Article  CAS  Google Scholar 

  22. Baker JL Jr (1981) The effectiveness of alpha-tocopherol (vitamin E) in reducing the incidence of spherical contracture around breast implants. Plast Reconstr Surg 68:696

    PubMed  Google Scholar 

  23. Cucin RL, Guthrie RH, Graham M (1982) Rate of diffusion of Solu-Medrol across the silastic membranes of breast prostheses: An in vivo study. Ann Plast Surg 9:228

    PubMed  Article  CAS  Google Scholar 

  24. Cafee HH (1984) The effects of intraprosthetic methylprednisolone on implants capsules and surrounding soft tissue. Ann Plast Surg 12:348

    Article  Google Scholar 

  25. Gayou R, Rudolph R (1979) Capsular contraction around silicone mammary prostheses. Ann Plast Surg 2:62

    PubMed  Article  CAS  Google Scholar 

  26. Iyer SN, Wild JS, Schiedt MJ, Hyde DM, Margolin SB, Giri SN (1995) Dietary intake of pirfenidone ameliorates bleomycin-induced lung fibrosis in hamsters. J Lab Clin Med 125:779–785

    PubMed  CAS  Google Scholar 

  27. Al-Took S, Murray C, Tulandi T (1998) Effects of pirfenidone and dermoid cyst fluid on adhesion formation. Fertil Steril 69:341–342

    PubMed  Article  CAS  Google Scholar 

  28. García L, Hernandez I, Sandoval A, Salazar, Garcia J, Vera J, Grijalva G, Muriel P, Margolin S, Armendariz-Borunda J (2002) Pirfenidone affectively reverses experimental liver fibrosis. J Hepatol 32:797–805

  29. Armendáriz-Borunda J, Islas-Carbajal MC, Meza-García E, Rincón AR, Sandoval AS, Salazar A, Berumen J, Alvarez A, Alvarez A, Covarrubias A, Aréchiga G, García L (2006) A pilot study in cirrhotic patients using a new antiinflammatory and antifibrotic agent, pirfenidone. Gut 55:1663–1665

    PubMed  Article  Google Scholar 

  30. Lee B-S, Margolin SB, Nowak AR (1998) Pirfenidone: A novel pharmacological agent that inhibits leiomyoma cell proliferation and collagen production. J Clin Endocrinol Metab 83:219–223

    PubMed  Article  CAS  Google Scholar 

  31. Shimizu T, Kuroda T, Hata S, Fukagawa M, Margolin SB, Kurokawa K (1998) Pirfenidone improves renal function and fibrosis in the postobstructed kidney. Kidney Int 54:99–109

    PubMed  Article  CAS  Google Scholar 

  32. Shetlar MR, Shetlar DJ, Bloom RF, Shetlar CL, Margolin SB (1998) Involution of keloid implants in athymic mice treated with pirfenidone or with triamcinolone. J Lab Clin Med 132:491–496

    PubMed  Article  CAS  Google Scholar 

  33. Callaway JK, Beart PM, Jarott B (1998) A reliable procedure for comparison of antioxidants in rat brain homogenates. J Pharmacol Toxicol Methods 39:155–162

    PubMed  Article  CAS  Google Scholar 

  34. Chomczynski P, Sacchi N (1987) Single-step method of RNA isolation by acid guanidinium thiocyanate-phenol chloroform extraction. Anal Biochem 162:156–159

    PubMed  Article  CAS  Google Scholar 

  35. Retrieved from http://www.dna-9.int-med.uiowa.edu/RealtimePCRdocs/Bulletin 2 Applied Byosystem

  36. Fagrell D, Berggren A, Tarpila E (2001) Capsular contracture around saline-filled fine textured and smooth mammary implants: A prospective 7.5-year follow-up. Plast Reconstr Surg 108:2108

    PubMed  Article  CAS  Google Scholar 

  37. Lee B-S, Margolin SB, Nowak AR (1998) Pirfenidone: A novel pharmacological agent that inhibits leiomyoma cell proliferation and collagen production. J Clin Endocrinol Metab 83:219–223

    PubMed  Article  CAS  Google Scholar 

  38. Musters S, Coughlan K, McFadden T, Mapple R, Mulvey T, Plaunt K (2004) Exogenous TGF-β1 promotes stromal development in the heifer mammary gland. J Dairy Sci 87:896–904

    PubMed  CAS  Article  Google Scholar 

Download references

Acknowledgment

This investigation was supported by Cell Therapy and Technology, S.A. de C.V.

Author information

Affiliations

Authors

Corresponding author

Correspondence to Juan Armendáriz-Borunda.

Rights and permissions

Reprints and Permissions

About this article

Cite this article

Gancedo, M., Ruiz-Corro, L., Salazar-Montes, A. et al. Pirfenidone Prevents Capsular Contracture After Mammary Implantation. Aesth Plast Surg 32, 32–40 (2008). https://doi.org/10.1007/s00266-007-9051-4

Download citation

  • Published:

  • Issue Date:

  • DOI: https://doi.org/10.1007/s00266-007-9051-4

Keywords

  • Capsular contracture
  • Mammary implantation
  • Pirfenidone
  • PFD