Skip to main content

Extended curettage versus en bloc resection for the treatment of grade 3 giant cell tumour of the knee with pathologic fracture: a retrospective study

Abstract

Purpose

For the treatment of giant cell tumour of the bone (GCTB) around the knee, preserving the native joint confers advantages over scarifying it. But, there is a controversy about the efficacy of intralesional curettage versus en bloc resection for treatment of such lesions. In this study, we compared local recurrence, functional outcomes, and complications of extended curettage and en bloc resection in these lesions.

Methods

Patients with grade 3 GCTB of the distal femur or proximal tibia who were presented with a pathologic fracture and treated with either en bloc resection (n = 22) or extended curettage (n = 20) were included. The mean follow-up of the patients was 6.4 ± 1.9 years in the resection group and 5.5 ± 2.4 years in the extended curettage group. The primary outcome was a local recurrence. Secondary outcomes were limb function evaluated by the Musculoskeletal Tumor Society (MSTS) score and rate of complications.

Results

Local recurrence was seen in four (20%) patients of the curettage group and three (13.7%) patients of the resection group (P = 0.69). The mean MSTS score was 24 ± 1.9 in the resection group and 26.5 ± 1.3 in the curettage group (P < 0.001). The number of complications was not significantly different between the two study groups (P = 0.49). However, the number of complications that required revision surgery was significantly more in the resection group (P = 0.049).

Conclusion

In grade 3 GCTB around the knee with pathologic fracture, extended curettage results in comparable oncologic outcomes to en bloc resection, while providing better function and a lower rate of revision.

This is a preview of subscription content, access via your institution.

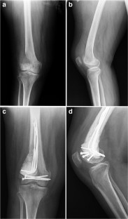
Fig. 1
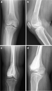
Fig. 2
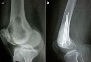
Fig. 3
Fig. 4

References

  1. Werner M (2006) Giant cell tumour of bone: morphological, biological and histogenetical aspects. Int Orthop 30(6):484–489

    PubMed  PubMed Central  Article  Google Scholar 

  2. van der Heijden L, Dijkstra PS, van de Sande MA, Kroep JR, Nout RA, van Rijswijk CS et al (2014) The clinical approach toward giant cell tumor of bone. Oncologist. 19(5):550

    PubMed  PubMed Central  Article  Google Scholar 

  3. van der Heijden L, Dijkstra PS, Campanacci DA, Gibbons CMH, van de Sande MA (2013) Giant cell tumor with pathologic fracture: should we curette or resect? Clin Orthop Relat Res 471(3):820–829

    PubMed  PubMed Central  Article  Google Scholar 

  4. Deheshi BM, Jaffer SN, Griffin AM, Ferguson PC, Bell RS, Wunder JS (2007) Joint salvage for pathologic fracture of giant cell tumor of the lower extremity. Clin Orthop Relat Res 459:96–104

    PubMed  Article  Google Scholar 

  5. Kivioja AH, Blomqvist C, Hietaniemi K, Trovik C, Walloe A, Bauer HC et al (2008) Cement is recommended in intralesional surgery of giant cell tumors: a Scandinavian sarcoma group study of 294 patients followed for a median time of 5 years. Acta Orthop 79(1):86–93

    PubMed  Article  Google Scholar 

  6. Balke M, Schremper L, Gebert C, Ahrens H, Streitbuerger A, Koehler G et al (2008) Giant cell tumor of bone: treatment and outcome of 214 cases. J Cancer Res Clin Oncol 134(9):969–978

    CAS  PubMed  Article  Google Scholar 

  7. Jamshidi K, Karimi A, Mirzaei A (2019) Epidemiologic characteristics, clinical behavior, and outcome of the giant cell tumor of the bone: a retrospective single-center study. Arch Bone Joint Surg 7(6):538–544

    PubMed  Google Scholar 

  8. Klenke FM, Wenger DE, Inwards CY, Rose PS, Sim FH (2011) Giant cell tumor of bone: risk factors for recurrence. Clin Orthop Relat Res 469(2):591–599

    PubMed  Article  Google Scholar 

  9. Rodriguez-Galindo C, Shah N, McCarville MB, Billups CA, Neel MN, Rao BN et al (2004) Outcome after local recurrence of osteosarcoma: the St. Jude Children’s Research Hospital experience (1970–2000). Cancer. 100(9):1928–1935

    PubMed  Article  Google Scholar 

  10. Salunke AA, Pathak S, Shah J, Pandit J, Naneria V (2018) Wide resection versus curettage in giant cell tumor with pathological fracture? A systematic review and meta-analysis. J Clin Orthop Trauma 9(Suppl 1):S15–SS8

    PubMed  Article  Google Scholar 

  11. Dreinhöfer KE, Rydholm A, Bauer HC, Kreicbergs A (1995) Giant-cell tumours with fracture at diagnosis. Curettage and acrylic cementing in ten cases. J Bone Joint Surg (Br) 77(2):189–193

    Article  Google Scholar 

  12. Tsukamoto S, Mavrogenis AF, Tanzi P, Leone G, Righi A, Akahane M et al (2019) Similar local recurrence but better function with curettage versus resection for bone giant cell tumor and pathological fracture at presentation. J Surg Oncol 119(7):864–872

    Article  Google Scholar 

  13. Sukpanichyingyong S, Sangkomkamhang T (2017) Clinical outcomes of grade 3 giant cell tumor of bone after extended intralesional curettage. J Orthop Oncol 3(118):2

    Google Scholar 

  14. Jamshidi K, Shirazi MR, Bagherifard A, Mirzaei A (2019) Curettage, phenolization, and cementation in paediatric Ewing’s sarcoma with a complete radiological response to neoadjuvant chemotherapy. Int Orthop 43(2):467–473

    PubMed  Article  Google Scholar 

  15. Jamshidi K, Bozorgi MHA, Hajializade M, Bagherifard A, Mirzaei A (2020) Tailored treatment of aneurysmal bone cyst of the scapula: en bloc resection for the body and extended curettage for the neck and acromion. J Shoulder Elb Surg 29(5):961–967

    Article  Google Scholar 

  16. Benevenia J, Rivero SM, Moore J, Ippolito JA, Siegerman DA, Beebe KS et al (2017) Supplemental bone grafting in giant cell tumor of the extremity reduces nononcologic complications. Clin Orthop Relat Res 475(3):776–783

    PubMed  Article  Google Scholar 

  17. Malawer M, Helman L, O'Sullivan B (2004) Sarcomas of bone. In: Devita vt. Cancer: Principles and Practice of Oncology. 2:1794–1893

  18. Malawer MM, Sugarbaker PH (2001) Musculoskeletal cancer surgery: treatment of sarcomas and allied diseases. Springer Science & Business Media

  19. Enneking WF, Dunham W, Gebhardt MC, Malawar M, Pritchard DJ (1993) A system for the functional evaluation of reconstructive procedures after surgical treatment of tumors of the musculoskeletal system. Clin Orthop Relat Res 286:241–246

    Google Scholar 

  20. Rastogi S, Prashanth I, Khan SA, Trikha V, Mittal R (2007) Giant cell tumor of bone: is curettage the answer? Indian J Orthop 41(2):109–114

    PubMed  PubMed Central  Article  Google Scholar 

  21. Gitelis S, Mallin BA, Piasecki P, Turner F (1993) Intralesional excision compared with en bloc resection for giant-cell tumors of bone. J Bone Joint Surg Am 75(11):1648–1655

    CAS  PubMed  Article  Google Scholar 

  22. Yu XC, Xu M, Song RX, Fu ZH, Liu XP (2010) Long-term outcome of giant cell tumors of bone around the knee treated by en bloc resection of tumor and reconstruction with prosthesis. Orthop Surg 2(3):211–217

    PubMed  PubMed Central  Article  Google Scholar 

  23. Jamshidi K, Bagherifard A, Mirzaei A, Bahrabadi M (2017) Giant cell tumor of the sacrum: series of 19 patients and review of the literature. Arch Bone Joint Surg 5(6):443

    PubMed  Google Scholar 

  24. Jamshidi K, Heidari M, Mirzaei A (2020) Ulnar translocation with limited arthrodesis in the management of giant cell tumours of the distal radius. J Hand Surg Eur Vol 45(4):420–421

    PubMed  Article  Google Scholar 

  25. Lun D-X, Hu Y-C, Yang X-G, Wang Z, Yu X-C, Wu S-J et al (2018) Development and proposal of a scoring system for giant cell tumour of the bone around the knee. Int Orthop 42(1):203–213

    PubMed  Article  Google Scholar 

  26. Gupta SP, Garg G (2016) Curettage with cement augmentation of large bone defects in giant cell tumors with pathological fractures in lower-extremity long bones. J Orthop Traumatol 17(3):239–247

    PubMed  PubMed Central  Article  Google Scholar 

  27. Medellin M, Fujiwara T, Tillman R, Jeys L, Gregory J, Stevenson J et al (2018) Prognostic factors for local recurrence in extremity-located giant cell tumours of bone with pathological fracture. Bone Joint J 100(12):1626–1632

    PubMed  Article  Google Scholar 

  28. Teng W, Lin P, Li Y, Yan X, Li H, Li B et al (2019) Bone combined cement grafting in giant cell tumor around the knee reduces mechanical failure. Int Orthop 43(2):475–482

    PubMed  Article  Google Scholar 

  29. Wang H, Wan N, Hu Y (2012) Giant cell tumour of bone: a new evaluating system is necessary. Int Orthop 36(12):2521–2527

    PubMed  PubMed Central  Article  Google Scholar 

  30. Tsukamoto S, Mavrogenis AF, Tanzi P, Leone G, Ciani G, Righi A et al (2020) Denosumab for bone giant cell tumor of the distal radius. Orthopedics 43(5):284–291

    Article  Google Scholar 

  31. Errani C, Tsukamoto S, Mavrogenis AF (2017) How safe and effective is denosumab for bone giant cell tumour? Int Orthop 41(11):2397–2400

    Article  Google Scholar 

  32. Miranda TS, Heluy SL, Cruz DF, da Silva HDP, Feres M, Figueiredo LC et al (2019) The ratios of pro-inflammatory to anti-inflammatory cytokines in the serum of chronic periodontitis patients with and without type 2 diabetes and/or smoking habit. Clin Oral Investig 23(2):641–650

    PubMed  Article  Google Scholar 

  33. Yacob O, Umer M, Gul M, Qadir I (2016) Segmental excision versus intralesional curettage with adjuvant therapy for giant cell tumour of bone. J Orthop Surg 24(1):88–91

    CAS  Article  Google Scholar 

Download references

Author information

Affiliations

Authors

Corresponding author

Correspondence to Alireza Mirzaei.

Ethics declarations

This retrospective cohort study was approved by the review board of our institute under the code of IR.IUMS.REC.1399.468. The patients provided written consent to use their medical data for publication.

Conflict of interest

The authors of declare that they have no conflict of interest.

Additional information

Publisher’s note

Springer Nature remains neutral with regard to jurisdictional claims in published maps and institutional affiliations.

Rights and permissions

Reprints and Permissions

About this article

Verify currency and authenticity via CrossMark

Cite this article

Jamshidi, K., Zandrahimi, F., Haji Agha Bozorgi, M. et al. Extended curettage versus en bloc resection for the treatment of grade 3 giant cell tumour of the knee with pathologic fracture: a retrospective study. International Orthopaedics (SICOT) 45, 289–297 (2021). https://doi.org/10.1007/s00264-020-04836-y

Download citation

  • Received:

  • Accepted:

  • Published:

  • Issue Date:

  • DOI: https://doi.org/10.1007/s00264-020-04836-y

Keywords

  • Giant cell tumour
  • Pathologic fracture
  • Extended curettage
  • En bloc resection