Skip to main content

Safety of simultaneous versus staged bilateral opening-wedge high tibial osteotomy with locked plate and immediate weight bearing

Abstract

Purpose

With advances in technology and particularly locked screws, patients with high tibial osteotomy (HTO) are frequently allowed full weight bearing for a  unilateral procedure. We are aware of no reports comparing the safety of a simultaneous bilateral HTO with staged bilateral HTO. The purpose of this study was to retrospectively compare these two strategies.

Material and methods

Ninety patients were treated with bilateral HTO surgery for osteoarthritis from 2009 to 2013; they had opening-wedge HTO and fixed with the same plate fixation and locked screws. A comparison of the outcomes after simultaneous bilateral HTO (35 patients) and after sequential staged bilateral HTO (55 patients) was performed. We considered four measures of medical safety: hypotension, serious intra-operative adverse event, heterologous blood transfusion, and thrombophlebitis. We considered also four measures of orthopaedic safety: infection, patient’s inability to walk full weight bearing, changes in correction, and nonunion.

Results

For the same duration of operation, the duration of anaesthesia and the time in the operating room were 35% longer for patients having a staged bilateral HTO. Blood loss was higher in patients undergoing simultaneous bilateral HTO compared with those who underwent a staged bilateral HTO. For patients undergoing simultaneous bilateral HTO, thrombophlebitis frequency and length of anticoagulation were lower than the sum of each event in the staged bilateral HTO. The patients with simultaneous bilateral HTO had a longer total period of time for crutches than patients with staged bilateral HTO. Patients in the simultaneous bilateral cohort did not develop an infection within one year as patients in the planned-stage cohort. The simultaneous bilateral cohort had a lower rate of delayed union than the planned-stage cohort did.

Conclusion

On the basis of this analysis, simultaneous bilateral HTO is a reasonable treatment option. Individuals who undergo staged bilateral HTO face the risk of complications twice, in addition to two hospitalizations. Patients who undergo simultaneous bilateral HTO have a higher risk of blood transfusion.

This is a preview of subscription content, access via your institution.

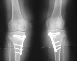
Fig. 1
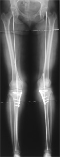
Fig. 2
Fig. 3
Fig. 4

References

  1. Restrepo C, Parvizi J, Dietrich T, Einhorn TA (2007) Safety of simultaneous bilateral total knee arthroplasty. A meta-analysis. J Bone Joint Surg Am 89(6):1220–1226

    Article  Google Scholar 

  2. Abram SG, Nicol F, Spencer SJ (2016) Patient reported outcomes in three hundred and twenty eight bilateral total knee replacementcases (simultaneous versus staged arthroplasty) using the Oxford Knee Score. Int Orthop 40(10):2055–2059

    Article  Google Scholar 

  3. Romagnoli S, Zacchetti S, Perazzo P, Verde F, Banfi G, Viganò M (2015) Onsets of complications and revisions are not increased after simultaneous bilateral unicompartmental knee arthroplasty in comparison with unilateral procedures. Int Orthop 39(5):871–877. https://doi.org/10.1007/s00264-014-2545-1

    Article  PubMed  Google Scholar 

  4. Saragaglia D, Massfelder J, Refaie R, Rubens-Duval B, Mader R, Rouchy RC, Pailhé R (2016) Computer-assisted total knee replacement after medial opening wedge high tibial osteotomy: medium-term results in a series of ninety cases. Int Orthop 40(1):35–40. https://doi.org/10.1007/s00264-015-2791-x

    Article  PubMed  Google Scholar 

  5. Hernigou P, Queinnec S, Picard L, Guissou I, Naanaa T, Duffiet P, Julian D, Archer V (2013) Safety of a novel high tibial osteotomy locked plate fixation for immediate full weight-bearing: a case-control study. Int Orthop 37(12):2377–2384. https://doi.org/10.1007/s00264-013-2066-3

    Article  PubMed  PubMed Central  Google Scholar 

  6. Hernigou P, Flouzat Lachaniette C, Delambre J, Guissou I, Dahmani O, Ibrahim Ouali M, Poignard A (2015) Full weight bearing and dynamisation with Limmed® locked plate fixation accelerates bone regeneration in the volume of opening wedge high tibial osteotomy. Int Orthop 39(7):1295–1300. https://doi.org/10.1007/s00264-014-2633-2

    Article  PubMed  Google Scholar 

  7. Takeuchi R, Aratake M, Bito H, Saito I, Kumagai K, Ishikawa H, Akamatsu Y, Sasaki Y, Saito T (2008) Simultaneous bilateral opening-wedge high tibial osteotomy with early full weight-bearing exercise. Knee Surg Sports Traumatol Arthrosc 16:1030–1037

    Article  Google Scholar 

  8. Hernigou P, Medevielle D, Debeyre J, Goutallier D (1987) Proximal tibial osteotomy for osteoarthritis with varus deformity. A ten to thirteen-year follow-up study. J Bone Joint Surg Am 69(3):332–354

    CAS  Article  Google Scholar 

  9. Hernigou P, Roussignol X, Flouzat-Lachaniette CH, Filippini P, Guissou I, Poignard A (2010) Opening wedge tibial osteotomy for large varus deformity with CeraverTM resorbable beta tricalcium phosphate wedges. Int Orthop 34(2):191–199

    Article  Google Scholar 

  10. Brazier J, Migaud H, Gougeon F et al (1996) Evaluation of methods for radiographic measurement of the tibial slope. A study of 83 healthy knees. Rev Chir Orthop 82(3):195–200

    CAS  PubMed  Google Scholar 

  11. Caton JH, Prudhon JL, Aslanian T, Verdier R (2016) Patellar height assessment in total knee arthroplasty: a new method. Int Orthop 40(12):2527–2531

    Article  Google Scholar 

  12. Coventry MB (1979) Upper tibial osteotomy for gonarthrosis. The evolution of the operation in the last 18 years and long term results. Orthop Clin N Am 10:191–210

    CAS  Google Scholar 

  13. Koshino T, Tomihisa T, Murase T (2003) Medial opening wedge high tibia osteotomy with use of porous hydroxyapatite to treat medial compartment osteoarthritis of the knee. J Bone Joint Surg Am 85-A:78–85

    Article  Google Scholar 

  14. Kim MS, Koh IJ, Sohn S, Jeong JH, In Y (2018) Unicompartmental knee arthroplasty is superior to high tibial osteotomy in post-operative recovery and participation in recreational and sports activities. Int Orthop. https://doi.org/10.1007/s00264-018-4272-5

    Article  Google Scholar 

  15. Ferner F, Lutter C, Dickschas J, Strecker W (2018) Medial open wedge vs. lateral closed wedge high tibial osteotomy - indications based on the findings of patellar height, leg length, torsional correction and clinical outcome in one hundred cases. Int Orthop. https://doi.org/10.1007/s00264-018-4155-9

    Article  Google Scholar 

  16. Hernigou P, Huys M, Pariat J, Roubineau F, Flouzat Lachaniette CH, Dubory A (2018) Comparison of fixed-bearing and mobile-bearing total knee arthroplasty after high tibial osteotomy. Int Orthop 42(2):317–322. https://doi.org/10.1007/s00264-017-3540-0

    Article  PubMed  Google Scholar 

  17. Cho WJ, Kim JM, Kim WK, Kim DE, Kim NK, Bin SI (2018) Mobile-bearing unicompartmental knee arthroplasty in old-aged patients demonstrates superior short-term clinical outcomes to open-wedge high tibial osteotomy in middle-aged patients with advanced isolated medial osteoarthritis. Int Orthop 42(10):2357–2363. https://doi.org/10.1007/s00264-018-3880-4

    Article  PubMed  Google Scholar 

  18. Staubli AE, De Simoni C, Babst R, Lobenhoffer P (2003) TomoFix: a new LCP-concept for open wedge osteotomy of the medial proximal tibia: early results in 92 cases. Injury 34(Suppl 2):B55–B62

    Article  Google Scholar 

  19. Lobenhoffer P, Agneskirchner J, Zoch W (2004) Open valgus alignment osteotomy of the proximal tibia with fixation by medial plate fixator. Orthopade 33:153–160

    CAS  Article  Google Scholar 

  20. Brouwer RW, Bierma-Zeinstra SMA, van Raaij TM, Verhaar JAN (2006) Osteotomy for medial compartment arthritis of the knee using a closing wedge or an opening wedge controlled by a Puddu plate: a 1-year randomised, controlled study. J Bone Joint Surg (Br) 88:1454–1459

    CAS  Article  Google Scholar 

  21. Brinkman JM, Luites JW, Wymenga AB, van Heerwaarden RJ (2010) Early full weight bearing is safe in open-wedge high tibial osteotomy. Acta Orthop 81(2):193–198

    Article  Google Scholar 

  22. Han SB, Lee JH, Kim SG, Cui CG, Suh DW, Lee SY, Jang KM (2018) Patient-reported outcomes correlate with functional scores after opening-wedge high tibial osteotomy: a clinical study. Int Orthop 42(5):1067–1074. https://doi.org/10.1007/s00264-017-3614-z

    Article  PubMed  Google Scholar 

  23. Ritter MA, Harty LD, Davis KE, Meding JB, Berend M (2003) Simultaneous bilateral, staged bilateral, and unilateral total knee arthroplasty. A survival analysis. J Bone Joint Surg Am 85:1532–1537

    Article  Google Scholar 

  24. Malinzak RA, Ritter MA, Berend ME, Meding JB, Olberding EM, Davis KE (2009) Morbidly obese, diabetic, younger, and unilateral joint arthroplasty patients have elevated total joint arthroplasty infection rates. J Arthroplast 24(6 Suppl):84–88

    Article  Google Scholar 

Download references

Author information

Affiliations

Authors

Corresponding author

Correspondence to Philippe Hernigou.

Ethics declarations

Conflict of interest

The authors declare that they have no conflict of interest.

Ethical approval

All procedures were in accordance with the ethical standards of the institutional and/or national research committee and with the 1964 Helsinki declaration and its later amendments or comparable ethical standards.

Informed consent

Informed consent was obtained from all individual participants included in the study.

Additional information

Publisher’s note

Springer Nature remains neutral with regard to jurisdictional claims in published maps and institutional affiliations.

Rights and permissions

Reprints and Permissions

About this article

Verify currency and authenticity via CrossMark

Cite this article

Hernigou, P., Giber, D., Dubory, A. et al. Safety of simultaneous versus staged bilateral opening-wedge high tibial osteotomy with locked plate and immediate weight bearing. International Orthopaedics (SICOT) 44, 109–117 (2020). https://doi.org/10.1007/s00264-019-04385-z

Download citation

  • Received:

  • Accepted:

  • Published:

  • Issue Date:

  • DOI: https://doi.org/10.1007/s00264-019-04385-z

Keywords

  • Knee osteoarthritis
  • Opening-wedge proximal tibia osteotomy
  • Simultaneous bilateral high tibial osteotomy
  • Locked screw for high tibial osteotomy
  • Staged bilateral osteotomy