Skip to main content

Dual offset metaphyseal-filling stems in primary total hip arthroplasty in dysplastic hips after a minimum follow-up of ten years

Abstract

Purpose

The aim of this study was to assess the long-term performance of tapered one-third proximally coated stems in dysplastic hips.

Methods

This study included 135 dysplasia patients (150 hips) who underwent a total hip arthroplasty and had a minimum follow-up of ten years. Single design tapered stems were used in all patients. There were 112 women (83%) and 23 men (17%) with a mean age of 45 years (23 to 72) at the time of surgery. The mean follow-up was 14.7 years (10 to 16.8). For clinical evaluation, the Harris Hip Score and Merle D’Aubigne scale were used pre-operatively and at the final follow-up. Implant survival was calculated using Kaplan-Meier survivorship analysis, with failure defined as a component revision for any reason.

Results

Overall, one stem was revised for a deep infection. There were no other femoral stem revisions secondary to loosening, wear, periprosthetic fracture, or instability. Radiographic evaluation showed excellent stem osteointegration in all cases. Kaplan-Meier survivorship, with stem revision for any reason as the end point, was 98% at 14 years (95% confidence interval 92.5 to 99.8).

Conclusion

This study demonstrates that a dual offset tapered stem achieved excellent survivorship and stability, as well as good clinical outcome scores with minimal thigh pain and stress shielding in patients with arthritis and developmental dysplasia of the hip; a dual offset tapered stem may be a suitable option for primary total hip arthroplasty in this group.

This is a preview of subscription content, access via your institution.

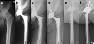
Fig. 1
Fig. 2
Fig. 3
Fig. 4
Fig. 5

References

  1. Khanuja HS, Vakil JJ, Goddard MS, Mont MA (2011) Cementless femoral fixation in total hip arthroplasty. J Bone Joint Surg Am 93(5):500–509. https://doi.org/10.2106/JBJS.J.00774

    Article  PubMed  Google Scholar 

  2. Dorr LD, Lewonowski K, Lucero M, Harris M, Wan Z (1997) Failure mechanisms of anatomic porous replacement I cementless total hip replacement. Clin Orthop Relat Res (334):157–67

  3. Engh CA, Powers CC, Ho H, Beykirch-Padgett SE, Hopper RH Jr, Engh CA Jr (2012) The effect of poly sterilization on wear, osteolysis and survivorship of a press-fit cup at 10-year follow-up. Clin Orthop Relat Res 470(2):462–470. https://doi.org/10.1007/s11999-011-2052-2

    Article  PubMed  Google Scholar 

  4. Danesh-Clough T, Bourne RB, Rorabeck CH, McCalden R (2007) The mid-term results of a dual offset uncemented stem for total hip arthroplasty. J Arthroplast 22(2):195–203. https://doi.org/10.1016/j.arth.2006.04.006

    Article  Google Scholar 

  5. Nishino T, Mishima H, Kawamura H, Shimizu Y, Miyakawa S, Ochiai N (2013) Follow-up results of 10-12 years after total hip arthroplasty using cementless tapered stem -- frequency of severe stress shielding with synergy stem in Japanese patients. J Arthroplast 28(10):1736–1740. https://doi.org/10.1016/j.arth.2013.02.027

    Article  Google Scholar 

  6. Petis SM, Howard JL, McAuley JP, Somerville L, McCalden RW, MacDonald SJ (2015) Comparing the long-term results of two uncemented femoral stems for total hip arthroplasty. J Arthroplast 30(5):781–785. https://doi.org/10.1016/j.arth.2014.07.024

    Article  Google Scholar 

  7. Bugbee WD, Culpepper WJ 2nd, Engh CA Jr, Engh CA Sr (1997) Long-term clinical consequences of stress-shielding after total hip arthroplasty without cement. J Bone Joint Surg Am 79(7):1007–1012

    Article  CAS  PubMed  Google Scholar 

  8. Kim YH (2005) Long-term results of the cementless porous-coated anatomic total hip prosthesis. J Bone Joint Surg (Br) 87(5):623–627. https://doi.org/10.1302/0301-620X.87B5.15554

    Article  Google Scholar 

  9. Nourbash PS, Paprosky WG (1998) Cementless femoral design concerns. Rationale for extensive porous coating. Clin Orthop Relat Res (355):189–199

  10. De Martino I, De Santis V, D'Apolito R, Sculco PK, Cross MB, Gasparini G (2017) The synergy cementless femoral stem in primary total hip arthroplasty at a minimum follow-up of 15 years. Bone Joint J 99-B(1):29–36. https://doi.org/10.1302/0301-620X.99B1.BJJ-2016-0231.R1

    Article  PubMed  Google Scholar 

  11. Crowe JF, Mani VJ, Ranawat CS (1979) Total hip replacement in congenital dislocation and dysplasia of the hip. J Bone Joint Surg Am 61(1):15–23

    Article  CAS  Google Scholar 

  12. Noble PC, Kamaric E, Sugano N, Matsubara M, Harada Y, Ohzono K, Paravic V (2003) Three-dimensional shape of the dysplastic femur: implications for THR. Clin Orthop Relat Res 417:27–40

    Google Scholar 

  13. Sugano N, Noble PC, Kamaric E, Salama JK, Ochi T, Tullos HS (1998) The morphology of the femur in developmental dysplasia of the hip. J Bone Joint Surg (Br) 80(4):711–719

    Article  CAS  Google Scholar 

  14. Fitzgerald RH, Jr, Brindley GW, Kavanagh BF (1988) The uncemented total hip arthroplasty. Intraoperative femoral fractures. Clin Orthop Relat Res (235):61–66

  15. Perka C, Fischer U, Taylor WR, Matziolis G (2004) Developmental hip dysplasia treated with total hip arthroplasty with a straight stem and a threaded cup. J Bone Joint Surg Am 86-A(2):312–319

    Article  Google Scholar 

  16. Moroni A, Faldini C, Piras F, Giannini S (2000) Risk factors for intraoperative femoral fractures during total hip replacement. Ann Chir Gynaecol 89(2):113–118

    CAS  PubMed  Google Scholar 

  17. Dorr LD, Faugere MC, Mackel AM, Gruen TA, Bognar B, Malluche HH (1993) Structural and cellular assessment of bone quality of proximal femur. Bone 14(3):231–242

    Article  CAS  PubMed  Google Scholar 

  18. Harris WH (1969) Traumatic arthritis of the hip after dislocation and acetabular fractures: treatment by mold arthroplasty. An end-result study using a new method of result evaluation. J Bone Joint Surg Am 51(4):737–755

    Article  CAS  Google Scholar 

  19. D’Aubigne MM (1954) Bilateral congenital hip dislocation aggravated by osteotomies. Rev Chir Orthop Reparatrice Appar Mot 40(3–4):447–448

    PubMed  Google Scholar 

  20. Laupacis A, Bourne R, Rorabeck C, Feeny D, Wong C, Tugwell P, Leslie K, Bullas R (1993) The effect of elective total hip replacement on health-related quality of life. J Bone Joint Surg Am 75(11):1619–1626

    Article  CAS  PubMed  Google Scholar 

  21. Gruen TA, McNeice GM, Amstutz HC (1979) “Modes of failure” of cemented stem-type femoral components: a radiographic analysis of loosening. Clin Orthop Relat Res (141):17–27

  22. Engh CA, Bobyn JD, Glassman AH (1987) Porous-coated hip replacement. The factors governing bone ingrowth, stress shielding, and clinical results. J Bone Joint Surg (Br) 69(1):45–55

    Article  CAS  Google Scholar 

  23. Martell JM, Pierson RH 3rd, Jacobs JJ, Rosenberg AG, Maley M, Galante JO (1993) Primary total hip reconstruction with a titanium fiber-coated prosthesis inserted without cement. J Bone Joint Surg Am 75(4):554–571

    Article  CAS  PubMed  Google Scholar 

  24. Engh CA, Massin P, Suthers KE (1990) Roentgenographic assessment of the biologic fixation of porous-surfaced femoral components. Clin Orthop Relat Res (257):107–128

  25. Brooker AF, Bowerman JW, Robinson RA, Riley LH Jr (1973) Ectopic ossification following total hip replacement. Incidence and a method of classification. J Bone Joint Surg Am 55(8):1629–1632

    Article  CAS  Google Scholar 

  26. Mallory TH, Kraus TJ, Vaughn BK (1989) Intraoperative femoral fractures associated with cementless total hip arthroplasty. Orthopedics 12(2):231–239

    CAS  PubMed  Google Scholar 

  27. Grappiolo G, La Camera F, Della Rocca A, Mazziotta G, Santoro G, Loppini M (2018) Total hip arthroplasty with a monoblock conical stem and subtrochanteric transverse shortening osteotomy in Crowe type IV dysplastic hips. Int Orthop. https://doi.org/10.1007/s00264-018-4122-5

  28. Zagra L, Bianchi L, Mondini A, Ceroni RG (2015) Oblique femoral shortening osteotomy in total hip arthroplasty for high dislocation in patients with hip dysplasia. Int Orthop 39(9):1797–1802. https://doi.org/10.1007/s00264-015-2865-9

    Article  PubMed  Google Scholar 

  29. Faldini C, Miscione MT, Chehrassan M, Acri F, Pungetti C, d'Amato M, Luciani D, Giannini S (2011) Congenital hip dysplasia treated by total hip arthroplasty using cementless tapered stem in patients younger than 50 years old: results after 12-years follow-up. J Orthop Traumatol 12(4):213–218. https://doi.org/10.1007/s10195-011-0170-y

    Article  PubMed  PubMed Central  Google Scholar 

  30. Faldini C, Nanni M, Leonetti D, Miscione MT, Acri F, Giannini S (2011) Total hip arthroplasty in developmental hip dysplasia using cementless tapered stem. Results after a minimum 10-year follow-up. Hip Int 21(4):415–420. https://doi.org/10.5301/HIP.2011.8588

    Article  Google Scholar 

  31. Peters CL, Chrastil J, Stoddard GJ, Erickson JA, Anderson MB, Pelt CE (2016) Can radiographs predict the use of modular stems in developmental dysplasia of the hip? Clin Orthop Relat Res 474(2):423–429. https://doi.org/10.1007/s11999-015-4458-8

    Article  PubMed  Google Scholar 

  32. Ohishi M, Nakashima Y, Yamamoto T, Motomura G, Fukushi JI, Hamai S, Kohno Y, Iwamoto Y (2016) Cementless total hip arthroplasty for patients previously treated with femoral osteotomy for hip dysplasia: the incidence of periprosthetic fracture. Int Orthop 40(8):1601–1606. https://doi.org/10.1007/s00264-015-2992-3

    Article  PubMed  Google Scholar 

  33. Bobyn JD, Glassman AH, Goto H, Krygier JJ, Miller JE, Brooks CE (1990) The effect of stem stiffness on femoral bone resorption after canine porous-coated total hip arthroplasty. Clin Orthop Relat Res (261):196–213

  34. Sumner DR, Galante JO (1992) Determinants of stress shielding: design versus materials versus interface. Clin Orthop Relat Res (274):202–212

  35. Weinans H, Huiskes R, Grootenboer HJ (1992) Effects of material properties of femoral hip components on bone remodeling. J Orthop Res 10(6):845–853. https://doi.org/10.1002/jor.1100100614

    Article  CAS  PubMed  Google Scholar 

  36. Huiskes R, Weinans H, van Rietbergen B (1992) The relationship between stress shielding and bone resorption around total hip stems and the effects of flexible materials. Clin Orthop Relat Res 274:124–134

    Google Scholar 

  37. D'Antonio JA, Capello WN, Manley MT (1996) Remodeling of bone around hydroxyapatite-coated femoral stems. J Bone Joint Surg Am 78(8):1226–1234

    Article  CAS  PubMed  Google Scholar 

  38. Wixson RL, Stulberg SD, Van Flandern GJ, Puri L (1997) Maintenance of proximal bone mass with an uncemented femoral stem analysis with dual-energy x-ray absorptiometry. J Arthroplast 12(4):365–372

    Article  CAS  Google Scholar 

  39. MacDonald SJ, Rosenzweig S, Guerin JS, McCalden RW, Bohm ER, Bourne RB, Rorabeck CH, Barrack RL (2010) Proximally versus fully porous-coated femoral stems: a multicenter randomized trial. Clin Orthop Relat Res 468(2):424–432. https://doi.org/10.1007/s11999-009-1092-3

    Article  PubMed  Google Scholar 

  40. Dalury DF, Kelley TC, Adams MJ (2012) Modern proximally tapered uncemented stems can be safely used in Dorr type C femoral bone. J Arthroplast 27(6):1014–1018. https://doi.org/10.1016/j.arth.2011.12.019

    Article  Google Scholar 

Download references

Acknowledgements

IRB of Acibadem University, Acibadem School of Medicine approved this clinical study. Date: 12 May 2016 Number: ATADEK 2016-8/17.

Author information

Affiliations

Authors

Contributions

All the authors designed the study, revised the manuscript, and approved the final draft.

Corresponding author

Correspondence to Goksel Dikmen.

Ethics declarations

Conflict of interest

The authors declare that they have no conflict of interest.

Rights and permissions

Reprints and Permissions

About this article

Verify currency and authenticity via CrossMark

Cite this article

Dikmen, G., Ozden, V.E., Beksac, B. et al. Dual offset metaphyseal-filling stems in primary total hip arthroplasty in dysplastic hips after a minimum follow-up of ten years. International Orthopaedics (SICOT) 43, 2039–2046 (2019). https://doi.org/10.1007/s00264-018-4161-y

Download citation

  • Received:

  • Accepted:

  • Published:

  • Issue Date:

  • DOI: https://doi.org/10.1007/s00264-018-4161-y

Keywords

  • Tapered stem
  • Dysplasia
  • Primary total hip arthroplasty
  • Long-term outcome