Skip to main content

Supracondylar humeral fractures in children: current concepts for management and prognosis

Abstract

Supracondylar humeral fractures are the most common elbow fractures in children and represent 3 % of all paediatric fractures. The most common cause is a fall onto an outstretched hand with the elbow in extension, resulting in an extension-type fracture (97–99 % of cases). Currently, the Gartland classification is used, which has treatment implications. Diagnosis is based on plain radiographs, but accurate imaging could be limited due to patient pain. Based on fracture type, the definitive treatment could be either non-operative (type I) or operative (type III/IV); however, when handling type II fractures controversy remains. Neither pin configuration have shown higher efficacy over the other. Complications are ~1 %, the most common being pin migration, with compartment syndrome as the most devastating. Overall, functional outcomes are good, and physical therapy does not appear to be necessary.

This is a preview of subscription content, access via your institution.

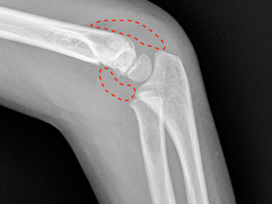
Fig. 1
Fig. 2
Fig. 3
Fig. 4
Fig. 5
Fig. 6
Fig. 7

References

  1. Sutton WR, Greene WB, Georgopoulos G, Dameron TB Jr (1992) Displaced supracondylar humeral fractures in children. A comparison of results and costs in patients treated by skeletal traction versus percutaneous pinning. Clin Orthop Relat Res 278:81–87

    PubMed  Google Scholar 

  2. Abzug JM, Herman MJ (2012) Management of supracondylar humerus fractures in children: current concepts. J Am Acad Orthop Surg 20(2):69–77. doi:10.5435/JAAOS-20-02-069

    PubMed  Article  Google Scholar 

  3. Omid R, Choi PD, Skaggs DL (2008) Supracondylar humeral fractures in children. J Bone Joint Surg Am 90(5):1121–1132. doi:10.2106/JBJS.G.01354

    PubMed  Article  Google Scholar 

  4. Skaggs DL, Mirzayan R (1999) The posterior fat pad sign in association with occult fracture of the elbow in children. J Bone Joint Surg Am 81(10):1429–1433

    CAS  PubMed  Google Scholar 

  5. Ladenhauf HN, Schaffert M, Bauer J (2014) The displaced supracondylar humerus fracture: indications for surgery and surgical options: a 2014 update. Curr Opin Pediatr 26(1):64–69. doi:10.1097/MOP.0000000000000044

    PubMed  Article  Google Scholar 

  6. Camp J, Ishizue K, Gomez M, Gelberman R, Akeson W (1993) Alteration of Baumann’s angle by humeral position: implications for treatment of supracondylar humerus fractures. J Pediatr Orthop 13(4):521–525

    CAS  PubMed  Article  Google Scholar 

  7. Howard A, Mulpuri K, Abel MF, Braun S, Bueche M, Epps H, Hosalkar H, Mehlman CT, Scherl S, Goldberg M, Turkelson CM, Wies JL, Boyer K, American Academy of Orthopaedic S (2012) The treatment of pediatric supracondylar humerus fractures. J Am Acad Orthop Surg 20(5):320–327. doi:10.5435/JAAOS-20-05-320

    PubMed  Article  Google Scholar 

  8. Moraleda L, Valencia M, Barco R, Gonzalez-Moran G (2013) Natural history of unreduced Gartland type-II supracondylar fractures of the humerus in children: a two to thirteen-year follow-up study. J Bone Joint Surg Am 95(1):28–34

    PubMed  Article  Google Scholar 

  9. Mulpuri K, Hosalkar H, Howard A (2012) AAOS clinical practice guideline: the treatment of pediatric supracondylar humerus fractures. J Am Acad Orthop Surg 20(5):328–330. doi:10.5435/JAAOS-20-05-328

    PubMed  Article  Google Scholar 

  10. Iobst CA, Spurdle C, King WF, Lopez M (2007) Percutaneous pinning of pediatric supracondylar humerus fractures with the semisterile technique: the Miami experience. J Pediatr Orthop 27(1):17–22. doi:10.1097/bpo.0b013e31802b68dc

    PubMed  Article  Google Scholar 

  11. Leitch KK, Kay RM, Femino JD, Tolo VT, Storer SK, Skaggs DL (2006) Treatment of multidirectionally unstable supracondylar humeral fractures in children. A modified Gartland type-IV fracture. J Bone Joint Surg Am 88(5):980–985. doi:10.2106/JBJS.D.02956

    CAS  PubMed  Article  Google Scholar 

  12. Baratz M, Micucci C, Sangimino M (2006) Pediatric supracondylar humerus fractures. Hand Clin 22(1):69–75. doi:10.1016/j.hcl.2005.11.002

    PubMed  Article  Google Scholar 

  13. Zionts LE, McKellop HA, Hathaway R (1994) Torsional strength of pin configurations used to fix supracondylar fractures of the humerus in children. J Bone Joint Surg Am 76(2):253–256

    CAS  PubMed  Google Scholar 

  14. Larson L, Firoozbakhsh K, Passarelli R, Bosch P (2006) Biomechanical analysis of pinning techniques for pediatric supracondylar humerus fractures. J Pediatr Orthop 26(5):573–578. doi:10.1097/01.bpo.0000230336.26652.1c

    PubMed  Article  Google Scholar 

  15. Lee SS, Mahar AT, Miesen D, Newton PO (2002) Displaced pediatric supracondylar humerus fractures: biomechanical analysis of percutaneous pinning techniques. J Pediatr Orthop 22(4):440–443

    PubMed  Google Scholar 

  16. Hamdi A, Poitras P, Louati H, Dagenais S, Masquijo JJ, Kontio K (2010) Biomechanical analysis of lateral pin placements for pediatric supracondylar humerus fractures. J Pediatr Orthop 30(2):135–139. doi:10.1097/BPO.0b013e3181cfcd14

    PubMed  Article  Google Scholar 

  17. Kocher MS, Kasser JR, Waters PM, Bae D, Snyder BD, Hresko MT, Hedequist D, Karlin L, Kim YJ, Murray MM, Millis MB, Emans JB, Dichtel L, Matheney T, Lee BM (2007) Lateral entry compared with medial and lateral entry pin fixation for completely displaced supracondylar humeral fractures in children. A randomized clinical trial. J Bone Joint Surg Am 89(4):706–712. doi:10.2106/JBJS.F.00379

    PubMed  Article  Google Scholar 

  18. Carter CT, Bertrand SL, Cearley DM (2013) Management of pediatric type III supracondylar humerus fractures in the United States: results of a national survey of pediatric orthopaedic surgeons. J Pediatr Orthop 33(7):750–754. doi:10.1097/BPO.0b013e31829f92f3

    PubMed  Article  Google Scholar 

  19. Slobogean BL, Jackman H, Tennant S, Slobogean GP, Mulpuri K (2010) Iatrogenic ulnar nerve injury after the surgical treatment of displaced supracondylar fractures of the humerus: number needed to harm, a systematic review. J Pediatr Orthop 30(5):430–436. doi:10.1097/BPO.0b013e3181e00c0d

    PubMed  Article  Google Scholar 

  20. Zhao JG, Wang J, Zhang P (2013) Is lateral pin fixation for displaced supracondylar fractures of the humerus better than crossed pins in children? Clin Orthop Relat Res 471(9):2942–2953. doi:10.1007/s11999-013-3025-4

    PubMed Central  PubMed  Article  Google Scholar 

  21. Krusche-Mandl I, Aldrian S, Kottstorfer J, Seis A, Thalhammer G, Egkher A (2012) Crossed pinning in paediatric supracondylar humerus fractures: a retrospective cohort analysis. Int Orthop 36(9):1893–1898. doi:10.1007/s00264-012-1582-x

    PubMed Central  PubMed  Article  Google Scholar 

  22. Green DW, Widmann RF, Frank JS, Gardner MJ (2005) Low incidence of ulnar nerve injury with crossed pin placement for pediatric supracondylar humerus fractures using a mini-open technique. J Orthop Trauma 19(3):158–163

    PubMed  Article  Google Scholar 

  23. Fu D, Xiao B, Yang S, Li J (2011) Open reduction and bioabsorbable pin fixation for late presenting irreducible supracondylar humeral fracture in children. Int Orthop 35(5):725–730. doi:10.1007/s00264-010-1018-4

    PubMed Central  PubMed  Article  Google Scholar 

  24. Lacher M, Schaeffer K, Boehm R, Dietz HG (2011) The treatment of supracondylar humeral fractures with elastic stable intramedullary nailing (ESIN) in children. J Pediatr Orthop 31(1):33–38. doi:10.1097/BPO.0b013e3181ff64c0

    PubMed  Article  Google Scholar 

  25. Slongo T (2014) Radial external fixator for closed treatment of type III and IV supracondylar humerus fractures in children. A new surgical technique. Oper Orthop Traumatol 26(1):75–96. doi:10.1007/s00064-013-0291-y, quiz 97

    CAS  PubMed  Article  Google Scholar 

  26. Slongo T, Schmid T, Wilkins K, Joeris A (2008) Lateral external fixation—a new surgical technique for displaced unreducible supracondylar humeral fractures in children. J Bone Joint Surg Am 90(8):1690–1697. doi:10.2106/JBJS.G.00528

    PubMed  Article  Google Scholar 

  27. Pretell Mazzini J, Rodriguez Martin J, Andres Esteban EM (2010) Surgical approaches for open reduction and pinning in severely displaced supracondylar humerus fractures in children: a systematic review. J Child Orthop 4(2):143–152. doi:10.1007/s11832-010-0242-1

    PubMed Central  PubMed  Article  Google Scholar 

  28. Mehlman CT, Strub WM, Roy DR, Wall EJ, Crawford AH (2001) The effect of surgical timing on the perioperative complications of treatment of supracondylar humeral fractures in children. J Bone Joint Surg Am 83-A(3):323–327

    CAS  PubMed  Google Scholar 

  29. Gupta N, Kay RM, Leitch K, Femino JD, Tolo VT, Skaggs DL (2004) Effect of surgical delay on perioperative complications and need for open reduction in supracondylar humerus fractures in children. J Pediatr Orthop 24(3):245–248

    PubMed  Article  Google Scholar 

  30. Bales JG, Spencer HT, Wong MA, Fong YJ, Zionts LE, Silva M (2010) The effects of surgical delay on the outcome of pediatric supracondylar humeral fractures. J Pediatr Orthop 30(8):785–791. doi:10.1097/BPO.0b013e3181f9fc03

    PubMed  Article  Google Scholar 

  31. Haasbeek JF, Cole WG (1995) Open fractures of the arm in children. J Bone Joint Surg Br 77(4):576–581

    CAS  PubMed  Google Scholar 

  32. Gustilo RB, Anderson JT (1976) Prevention of infection in the treatment of one thousand and twenty-five open fractures of long bones: retrospective and prospective analyses. J Bone Joint Surg Am 58(4):453–458

    CAS  PubMed  Google Scholar 

  33. Jorge-Mora A, Rodriguez-Martin J, Pretell-Mazzini J (2013) Timing issue in open fractures debridement: a review article. Eur J Orthop Surg Traumatol Orthop Traumatol 23(2):125–129. doi:10.1007/s00590-012-0970-7

    Article  Google Scholar 

  34. Blasier RD, Barnes CL (1996) Age as a prognostic factor in open tibial fractures in children. Clin Orthop Relat Res 331:261–264

    PubMed  Article  Google Scholar 

  35. Campbell CC, Waters PM, Emans JB, Kasser JR, Millis MB (1995) Neurovascular injury and displacement in type III supracondylar humerus fractures. J Pediatr Orthop 15(1):47–52

    CAS  PubMed  Article  Google Scholar 

  36. Brown IC, Zinar DM (1995) Traumatic and iatrogenic neurological complications after supracondylar humerus fractures in children. J Pediatr Orthop 15(4):440–443

    CAS  PubMed  Article  Google Scholar 

  37. Ramachandran M, Birch R, Eastwood DM (2006) Clinical outcome of nerve injuries associated with supracondylar fractures of the humerus in children: the experience of a specialist referral centre. J Bone Joint Surg Br 88(1):90–94. doi:10.1302/0301-620X.88B1.16869

    CAS  PubMed  Article  Google Scholar 

  38. Ozkul E, Gem M, Arslan H, Alemdar C, Demirtas A, Kisin B (2013) Surgical treatment outcome for open supracondylar humerus fractures in children. Acta Orthop Belg 79(5):509–513

    PubMed  Google Scholar 

  39. Gillingham BL, Rang M (1995) Advances in children’s elbow fractures. J Pediatr Orthop 15(4):419–421

    CAS  PubMed  Article  Google Scholar 

  40. Sabharwal S, Tredwell SJ, Beauchamp RD, Mackenzie WG, Jakubec DM, Cairns R, LeBlanc JG (1997) Management of pulseless pink hand in pediatric supracondylar fractures of humerus. J Pediatr Orthop 17(3):303–310

    CAS  PubMed  Google Scholar 

  41. Blakey CM, Biant LC, Birch R (2009) Ischaemia and the pink, pulseless hand complicating supracondylar fractures of the humerus in childhood: long-term follow-up. J Bone Joint Surg Br 91(11):1487–1492. doi:10.1302/0301-620X.91B11.22170

    CAS  PubMed  Article  Google Scholar 

  42. Vallila N, Sommarhem A, Paavola M, Nietosvaara Y (2015) Pediatric distal humeral fractures and complications of treatment in Finland: a review of compensation claims from 1990 through 2010. J Bone Joint Surg Am 97(6):494–499. doi:10.2106/JBJS.N.00758

    PubMed  Article  Google Scholar 

  43. Bashyal RK, Chu JY, Schoenecker PL, Dobbs MB, Luhmann SJ, Gordon JE (2009) Complications after pinning of supracondylar distal humerus fractures. J Pediatr Orthop 29(7):704–708. doi:10.1097/BPO.0b013e3181b768ac

    PubMed  Article  Google Scholar 

  44. Hadlow AT, Devane P, Nicol RO (1996) A selective treatment approach to supracondylar fracture of the humerus in children. J Pediatr Orthop 16(1):104–106

    CAS  PubMed  Article  Google Scholar 

  45. Parikh SN, Wall EJ, Foad S, Wiersema B, Nolte B (2004) Displaced type II extension supracondylar humerus fractures: do they all need pinning? J Pediatr Orthop 24(4):380–384

    PubMed  Article  Google Scholar 

  46. Sankar WN, Hebela NM, Skaggs DL, Flynn JM (2007) Loss of pin fixation in displaced supracondylar humeral fractures in children: causes and prevention. J Bone Joint Surg Am 89(4):713–717. doi:10.2106/JBJS.F.00076

    PubMed  Article  Google Scholar 

  47. Battaglia TC, Armstrong DG, Schwend RM (2002) Factors affecting forearm compartment pressures in children with supracondylar fractures of the humerus. J Pediatr Orthop 22(4):431–439

    PubMed  Google Scholar 

  48. Bae DS, Kadiyala RK, Waters PM (2001) Acute compartment syndrome in children: contemporary diagnosis, treatment, and outcome. J Pediatr Orthop 21(5):680–688

    CAS  PubMed  Google Scholar 

  49. Abe M, Ishizu T, Morikawa J (1997) Posterolateral rotatory instability of the elbow after posttraumatic cubitus varus. J Shoulder Elb Surg Am Shoulder Elb Surg 6(4):405–409

    CAS  Article  Google Scholar 

  50. Mitsunari A, Muneshige H, Ikuta Y, Murakami T (1995) Internal rotation deformity and tardy ulnar nerve palsy after supracondylar humeral fracture. J Shoulder Elb Surg Am Shoulder Elb Surg 4(1 Pt 1):23–29

    CAS  Article  Google Scholar 

  51. O’Driscoll SW, Spinner RJ, McKee MD, Kibler WB, Hastings H 2nd, Morrey BF, Kato H, Takayama S, Imatani J, Toh S, Graham HK (2001) Tardy posterolateral rotatory instability of the elbow due to cubitus varus. J Bone Joint Surg Am 83-A(9):1358–1369

    PubMed  Google Scholar 

  52. Davids JR, Maguire MF, Mubarak SJ, Wenger DR (1994) Lateral condylar fracture of the humerus following posttraumatic cubitus varus. J Pediatr Orthop 14(4):466–470

    CAS  PubMed  Article  Google Scholar 

  53. Spencer HT, Wong M, Fong YJ, Penman A, Silva M (2010) Prospective longitudinal evaluation of elbow motion following pediatric supracondylar humeral fractures. J Bone Joint Surg Am 92(4):904–910. doi:10.2106/JBJS.I.00736

    PubMed  Article  Google Scholar 

  54. Flynn JC, Matthews JG, Benoit RL (1974) Blind pinning of displaced supracondylar fractures of the humerus in children. Sixteen years’ experience with long-term follow-up. J Bone Joint Surg Am 56(2):263–272

    CAS  PubMed  Google Scholar 

  55. Madjar-Simic I, Talic-Tanovic A, Hadziahmetovic Z, Sarac-Hadzihalilovic A (2012) Radiographic assessment in the treatment of supracondylar humerus fractures in children. Acta Inform Med AIM J Soc Med Inform Bosnia & Herzegovina Cas Drustva Med Inform BiH 20(3):154–159. doi:10.5455/aim.2012.20.154-159

    Google Scholar 

  56. de las Heras J, Duran D, de la Cerda J, Romanillos O, Martinez-Miranda J, Rodriguez-Merchan EC (2005) Supracondylar fractures of the humerus in children. Clin Orthop Relat Res 432:57–64

    PubMed  Article  Google Scholar 

  57. Schmale GA, Mazor S, Mercer LD, Bompadre V (2014) Lack of benefit of physical therapy on function following supracondylar humeral fracture: a randomized controlled trial. J Bone Joint Surg Am 96(11):944–950. doi:10.2106/JBJS.L.01696

    PubMed Central  PubMed  Article  Google Scholar 

  58. Sament R, Bachhal V, Jeph S (2013) Comment on Krusche-Mandl et al.: crossed pinning in paediatric supracondylar humerus fractures: a retrospective cohort analysis. Int Orthop 37(3):557. doi:10.1007/s00264-013-1783-y

    PubMed Central  PubMed  Article  Google Scholar 

  59. Krusche-Mandl I, Aldrian S, Kottstorfer J, Seis A, Thalhammer G, Egkher A (2013) Reply to comment on Irena Krusche-Mandl et al. Crossed pinning in paediatric supracondylar humerus fractures: a retrospective cohort analysis. Int Orthop 37(3):559. doi:10.1007/s00264-013-1784-x

    PubMed Central  PubMed  Article  Google Scholar 

  60. Keppler P, Salem K, Schwarting B, Kinzl L (2005) The effectiveness of physiotherapy after operative treatment of supracondylar humeral fractures in children. J Pediatr Orthop 25(3):314–316

    PubMed  Article  Google Scholar 

Download references

Author information

Affiliations

Authors

Corresponding author

Correspondence to Juan Pretell-Mazzini.

Rights and permissions

Reprints and Permissions

About this article

Verify currency and authenticity via CrossMark

Cite this article

Zorrilla S. de Neira, J., Prada-Cañizares, A., Marti-Ciruelos, R. et al. Supracondylar humeral fractures in children: current concepts for management and prognosis. International Orthopaedics (SICOT) 39, 2287–2296 (2015). https://doi.org/10.1007/s00264-015-2975-4

Download citation

  • Received:

  • Accepted:

  • Published:

  • Issue Date:

  • DOI: https://doi.org/10.1007/s00264-015-2975-4

Keywords

  • Supracondylar humeral fractures
  • Compartment syndrome
  • Pin configuration
  • Pin migration
  • Infection
  • Baumann angle
  • Anterior humeral line