Skip to main content

Distal locked and unlocked nailing for perthrochanteric fractures—a prospective comparative randomized study

Abstract

Purpose

Intramedullary nailing is widely used in the treatment of stable pertrochanteric fractures. However, it remains controversial whether the distal locking with intramedullary nailing is necessary.

Method

In this study, 70 patients over the age of 65 with pertrochanteric fractures (AO/OTA 31-A1 and A2) were enrolled and randomly divided into two groups for treatment by intramedullary nails either with or without distal locking. Intra-operative variables such as operation time, volume of blood loss, total fluoroscopy time, total length of incision, postoperative complications and clinical outcomes were recorded and compared between the two groups.

Results

A total of 29 patients in the locking group and 30 patients in the unlocking group completed one year of follow up. Operation time (39.2 ± 7.6 min), blood loss (158.6 ± 63.6 ml), fluoroscopy time (53.7 ± 3.9 s), and total length of incision (13.1 ± 2.1 cm) in the unlocking group were significantly decreased compared with the locking group (48.5 ± 9.0 min; 194.3 ± 61.6 ml; 57.8 ± 4.3 s; 10.9 ± 1.7 cm) (p < 0.05). No significant differences in postoperative complications and fracture union were identified between the two groups. Most patients in the locking group (80.0 %) and the unlocking group (77.1 %) recovered to their pre-injury activity levels.

Conclusion

This study suggests that intramedullary nails without distal locking may be a reliable and acceptable option for treating stable pertrochanteric fractures (AO/OTA 31-A1 and A2) in elderly people. Distal unlocked nails showed subtle advantages in reducing blood loss, operation time, fluoroscopy exposure time, and size of the incision.

This is a preview of subscription content, access via your institution.

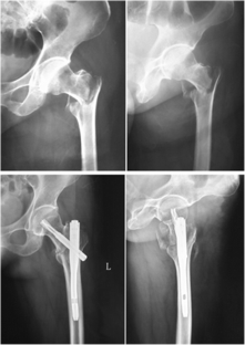
Fig. 1
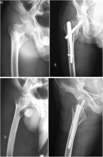
Fig. 2
Fig. 3

References

  1. Burgers PT, Van Lieshout EM, Verhelst J, Dawson I, de Rijcke PA (2014) Implementing a clinical pathway for hip fractures; effects on hospital length of stay and complication rates in five hundred and twenty six patients. Int Orthop 38(5):1045–1050

    PubMed Central  PubMed  Google Scholar 

  2. Zou J, Xu Y, Yang H (2009) A comparison of proximal femoral nail antirotation and dynamic Hip screw devices in trochanteric fractures. J Int Med Res 37(4):1057–1064

    CAS  PubMed  Article  Google Scholar 

  3. Bonnaire F, Zenker H, Lill C, Weber AT, Linke B (2005) Treatment strategies for proximal femur fractures in osteoporotic patients. Osteoporos Int 16:S93–S102

    PubMed  Article  Google Scholar 

  4. Forte ML, Virnig BA, Kane RL, Durham S, Bhandari M, Feldman R, Swiontkowski MF (2008) Geographic variation in device use for intertrochanteric hip fractures. J Bone Joint Surg Am 90:691–699

    PubMed  Article  Google Scholar 

  5. Simmermacher RK, Ljungqvist J, Bail H, Hockertz T, Vochteloo AJ, Ochs U, Werken C, Studygroup AP (2008) The new proximal femoral nail antirotation (PFNA) in daily practice: results of a multicentre clinical study. Injury 39:932–939

    CAS  PubMed  Article  Google Scholar 

  6. Mereddy P, Kamath S, Ramakrishnan M, Malik H, Donnachie N (2009) The AO/ASIF proximal femoral nail antirotation (PFNA): a new design for the treatment of unstable proximal femoral fractures. Injury 40:428–432

    PubMed  Article  Google Scholar 

  7. Radcliff TA, Regan E, Cowper Ripley DC, Hutt E (2012) Increased use of intramedullary nails for intertrochanteric proximal femoral fractures in veterans affairs hospitals: a comparative effectiveness study. J Bone Joint Surg Am 94:833–840

    PubMed  Google Scholar 

  8. Anglen JO, Weinstein JN, Committee ABoOSR (2008) Nail or plate fixation of intertrochanteric hip fractures: changing pattern of practice. J Bone Joint Surg Am 90:700–707

    PubMed  Article  Google Scholar 

  9. Skala-Rosenbaum J, Bartonicek J, Bartoska R (2010) Is distal locking with IMHN necessary in every pertrochanteric fracture? Int Orthop 34:1041–1047

    PubMed Central  PubMed  Article  Google Scholar 

  10. Rosenblum SF, Zuckerman JD, Kummer F, Tam BS (1992) A biomechanical evaluation of the Gamma nail. J Bone Joint Surg Br 74:352–357

    CAS  PubMed  Google Scholar 

  11. Ozkan K, Unay K, Demircay C, Cakir M, Eceviz E (2009) Distal unlocked proximal femoral intramedullary nailing for intertrochanteric femur fractures. Int Orthop 33:1397–1400

    PubMed Central  PubMed  Article  Google Scholar 

  12. Maniscalco P, Rivera F, D’Ascola J, Del Vecchio EO (2013) Failure of intertrochanteric nailing due to distal nail jamming. J Orthop Traumatol 14:71–74

    PubMed Central  PubMed  Article  Google Scholar 

  13. Grimaldi M, Courvoisier A, Tonetti J, Vouaillat H, Merloz P (2009) Superficial femoral artery injury resulting from intertrochanteric hip fracture fixation by a locked intramedullary nail. Orthop Traumatol Surg Res 95:380–382

    CAS  PubMed  Article  Google Scholar 

  14. Marsh JL, Slongo TF, Agel J, Broderick JS, Creevey W, DeCoster TA et al (2007) Fracture and dislocation classification compendium—2007: Orthopaedic Trauma Association classification, database and outcomes committee. J Orthop Trauma 21:S1–S133

    CAS  PubMed  Article  Google Scholar 

  15. Hesse B, Gachter A (2004) Complications following the treatment of trochanteric fractures with the gamma nail. Arch Orthop Trauma Surg 124:692–698

    PubMed  Article  Google Scholar 

  16. Radford P, Needoff M, Webb J (1993) A prospective randomised comparison of the dynamic hip screw and the gamma locking nail. J Bone Joint Surg Br 75:789–793

    CAS  PubMed  Google Scholar 

  17. Valverde JA, Alonso MG, Porro JG, Rueda D, Larrauri PM, Soler JJ (1998) Use of the Gamma nail in the treatment of fractures of the proximal femur. Clin Orthop Relat Res 350:56–61

    PubMed  Google Scholar 

  18. Bellabarba C, Herscovici D Jr, Ricci WM (2003) Percutaneous treatment of peritrochanteric fractures using the Gamma nail. J Orthop Trauma 17:S38–S50

    PubMed  Article  Google Scholar 

  19. Hou Z, Bowen TR, Irgit KS, Matzko ME, Andreychik CM, Horwitz DS, Smith WR (2013) Treatment of pertrochanteric fractures (OTA 31-A1 and A2): long versus short cephalomedullary nailing. J Orthop Trauma 27(6):318–324

    PubMed  Article  Google Scholar 

  20. Vopat BG, Kane PM, Truntzer J, McClure P, Paller D, Abbood E, Born C (2014) Is distal locking of long nails for intertrochanteric fractures necessary? A clinical study. J Clin Orthop Trauma 5:233–239

    PubMed Central  PubMed  Article  Google Scholar 

  21. Lacroix H, Arwert H, Snijders C, Fontijne W (1995) Prevention of fracture at the distal locking site of the gamma nail. A biomechanical study. J Bone Joint Surg Br 77:274–276

    CAS  PubMed  Google Scholar 

  22. Bong MR, Kummer FJ, Koval KJ, Egol KA (2007) Intramedullary nailing of the lower extremity: biomechanics and biology. J Am Acad Orthop Surg 15:97–106

    PubMed  Google Scholar 

  23. Kane PM, Vopat B, Paller D, Koruprolu S, Born CT (2013) Effect of distal interlock fixation in stable intertrochanteric fractures. Orthopedics 36:e859–e864

    PubMed  Article  Google Scholar 

  24. Ozkan K, Eceviz E, Unay K, Tasyikan L, Akman B, Eren A (2011) Treatment of reverse oblique trochanteric femoral fractures with proximal femoral nail. Int Orthop 35:595–598

    PubMed Central  PubMed  Article  Google Scholar 

Download references

Conflict of interest

The authors declare that they have no conflicts of interest.

Author information

Affiliations

Authors

Corresponding author

Correspondence to Zhiyong Hou.

Rights and permissions

Reprints and Permissions

About this article

Verify currency and authenticity via CrossMark

Cite this article

Li, X., Zhang, L., Hou, Z. et al. Distal locked and unlocked nailing for perthrochanteric fractures—a prospective comparative randomized study. International Orthopaedics (SICOT) 39, 1645–1652 (2015). https://doi.org/10.1007/s00264-015-2771-1

Download citation

  • Received:

  • Accepted:

  • Published:

  • Issue Date:

  • DOI: https://doi.org/10.1007/s00264-015-2771-1

Keywords

  • Prospective study
  • Pertrochanteric fractures
  • Intramedullary nail
  • Distal unlocking