Skip to main content

Distal locking stem for revision femoral loosening and peri-prosthetic fractures

Abstract

Revision total hip arthroplasty in the setting of a large proximal femoral deficiency or a peri-prosthetic fracture remains a challenging problem. We describe the development, surgical technique and the use of cementless revision stems with distal inter-locking screws to provide immediate stability of the femoral implant. Results were assessed in a large multicentre French study conducted with the french hip and knee surgery society (SFHG). We retrospectively reviewed 725 revisions using interlocking stems from 14 French orthopaedic departments. Seven different stems were used in this series. In-patient records were retrieved, and in addition to demographic data the indication for revision, the preoperative and postoperative PMA and Harris hip scores were documented. The bone deficiency was classified on the basis of the French National Orthopaedic Meeting (SOFCOT) classification. Intraoperative complications and problems if any were retrieved from operative notes. Clinical status and radiographs at the final follow-up were evaluated, paying special attention to the metaphyseal filling index. Average follow-up was 4.5 years. As for the clinical results, the mean Harris hip score at last follow-up was 81. Therefore, it increased by an average of 31 points. Bone reconstruction was assessed on the cortico-medullary index in the metaphyseal area and at mid-shaft increasing from 36 to 45 and 54 to 63, respectively. Radiologically, 637 implants were stable, and 40 demonstrated subsidence. Forty-eight implants have been revised. We found a significant relation between the metaphyseal filling index, the stability of the stem and the quality of bone reconstruction. Results were analysed with respect to three groups of stems: group 1 was a straight, partially HA-coated implant; group 2 was a curved, fully HA-coated implant; and group 3 was a curved, partially-coated implant. Group 1 showed a significantly higher rate of failure when compared with the others types of implants. Group 2 had better functional results than group 3, which in turn reported better results than group 1. With regard to implant fixation, group 2 had significantly better results. Both groups 2 and 3 induced less thigh pain than group 1. The distal interlocking stem has shown promising results for femoral revisions. The advantages are initial axial and rotational stability and consistent bony in-growth owing to hydroxyapatite coating. Distal locked stems are mainly indicated to treat complex femoral revision with severe bone loss and peri-prosthetic fractures.

This is a preview of subscription content, access via your institution.

Fig. 1
Fig. 2
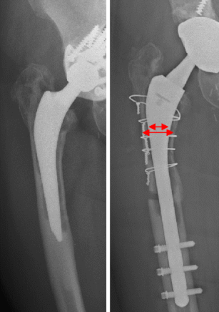
Fig. 3
Fig. 4
Fig. 5

References

  1. Vives P, Plaquet JL, Leclair A, Blejwas D, Filloux JF (1992) Tige de reprise verrouillée pour descellement des prothèses totales de hanche. Conception. Résultats préliminaires. Acta Orthop Belg 59:28–35

    Google Scholar 

  2. Picault C (1999) Technique of trans-femoral approach for removal of a failed implant of total hip prosthesis and its replacement with a cementless distally locked stem. In: Transfemoral approach and distally locked stem. Sauramps Editor, France, pp 41–51

    Google Scholar 

  3. Vives P, De Lestang M, Paclot P, Cazeneuve JF (1989) Le descellement aseptique: definitions, classifications. Rev Chir Orthop 75:29–31

    Google Scholar 

  4. Duncan CP, Masri BA (1995) Fractures of the femur after hip replacement. Instr Course Lect 44:293–304

    CAS  PubMed  Google Scholar 

  5. Eisler T, Svensson O, Iyer V et al (2000) Revision total hip arthroplasty using third generation cementing technique. J Arthroplasty 15:974–981

    CAS  Article  PubMed  Google Scholar 

  6. Schmale GA, Lachiewicz PF, Kelly SS (2000) Early failure of revision total hip arthroplasty with cemented precoated femoral components: comparison with uncemented components at 2 to 8 years. J Arthroplasty 15:718–729

    CAS  Article  PubMed  Google Scholar 

  7. Weeden SH, Paprosky WG (2002) Minimal 11 years follow-up of extensively porous coated stems in femoral revision total hip arthroplasty. J Arthroplasty 17:134–137

    Article  PubMed  Google Scholar 

  8. Moreland JR, Moreno MA (2001) Cementless femoral revision arthroplasty of the hip: minimum 5 years follow-up. Clin Orthop 393:194–201

    Article  PubMed  Google Scholar 

  9. Gosens T, van Langelaan EJ (2005) Clinical and radiological outcome of hydroxyapatite-coated femoral stem in revision hip arthroplasty. Int Orthop 4:219–223

    Article  Google Scholar 

  10. Cameron HU (2002) The long term success of modular proximal fixation stems in revision total hip arthroplasty. J Arthroplasty 17:138–141

    Article  PubMed  Google Scholar 

  11. Paprosky WG, Greidanus NV, Antoniou J (1999) Minimum 10 year-results of extensively porous coated stems in revision hip arthroplasty. Clin Orthop 369:230–242

    Article  PubMed  Google Scholar 

  12. Boisgard S, Moreau PE, Tixier H, Levai JP (2001) Reconstruction osseuse, inégalité de longueur des membres, taux de luxation de 52 prothèses de Wagner, en révision d’arthroplasties totales de hanche au recul moyen de 44 moi. Rev Chir Orthop 87:147–154

    CAS  PubMed  Google Scholar 

  13. Courpied JP, Postel M (1989) Allogreffes massives pour reconstruction de la diaphyse fémorale. Rev Chir Orthop 75(suppl 1):53–54

    Google Scholar 

  14. Vastel L, Lemoine CT, Kerboull M, Courpied JP (2007) Structural allograft and cemented long-stem prosthesis for complex revision hip arthroplasty: use of a trochanteric claw plate improves final hip function. Int Orthop 6:851–857

    Article  Google Scholar 

  15. Mahomed N, Schatzker J, Hearn T (1993) Biomechanical analysis of a distally interlocked press-fit femoral total hip prosthesis. J Arthroplasty 8:129–132

    CAS  Article  PubMed  Google Scholar 

  16. Storeanos N, Sweschke J, Raukear GJ et al (2006) Revision total hip arthroplasty with a custom cementless stem with distal cross-locking screws. Early results in femora with large proximal segmental deficiencies. J Bone Joint Surg Am 88:1709–1084

    Google Scholar 

  17. Sexton SA, Stossel CA, Haddad FS (2006) The Kent hip prosthesis: an evaluation of 145 prostheses after a mean of 5.1 years. J Bone Joint Surg Br 88:310–314

    CAS  Article  PubMed  Google Scholar 

  18. Kim YM, Kim HJ, Song WS, Yoo JJ (2004) Experiences with the Bicontact revision stems with distal interlocking. J Arthroplasty 19:27–34

    Article  PubMed  Google Scholar 

  19. Philippot R, Delangle F, Verdot FX, Farizon F, Fessy MH (2009) Femoral deficiency reconstruction using a hydroxyapatite-coated locked modular stem. A series of 43 total hip revisions. Orthop Traum Surg Res 95:119–126

    CAS  Article  Google Scholar 

  20. Fink B, Grossmann A, Fuerst M (2010) Distal interlocking screws with a modular revision stem for revision total hip arthroplasty in severe bone defect. J Arthroplasty 25:759–765

    Article  PubMed  Google Scholar 

  21. Corten K, Vanrykel F, Bellemans J et al (2009) An algorithm for the surgical treatment of periprosthetic fractures around a well-fixed femoral component. J Bone Joint Surg Am 91:1424–1430

    CAS  Article  Google Scholar 

  22. Lindahl H, Malchau H, Oden A, Garellick G (2006) Risk factors for failure after treatment of a periprosthetic fracture of the femur. J Bone Joint Surg Br 88B:26–30

    Google Scholar 

  23. Tsiridis E, Haddad FS, Gie GA (2004) Dall-Miles plates for periprosthetic femoral fractures. A critical review of 16 cases. Injury 34:107–110

    Article  Google Scholar 

  24. Rosenberg A (2006) Managing periprosthetic femoral stem fractures. J Arthroplasty 21:101–104

    Article  PubMed  Google Scholar 

  25. Migaud H, Gabrion A, Mertl P (2004) Distally locked stem for complex femoral revision. Oper Tech Orthop 14:130–136

    Article  Google Scholar 

  26. Learmonth ID (2004) The management of periprosthetic fractures around the femoral stem. J Bone Joint Surg Br 86:13–19

    CAS  PubMed  Google Scholar 

  27. Chen WM, McAuley JP, Engh CA Jr et al (2000) Extended slide trochanteric osteotomy for revision total hip arthroplasty. J Bone Joint Surg Am 82:1215–1219

    CAS  PubMed  Google Scholar 

  28. Miner TM, Momberger NG, Chong D et al (2001) The extended trochanteric osteotomy in revision hip arthroplasty: a critical review of 166 cases at mean 3 year 9 months follow-up. J Arthroplasty 16:188–194

    CAS  Article  PubMed  Google Scholar 

  29. Malhotra R, Dua A, Kiran EK, Bhan S (2008) Femoral revision using long hydroxyapatite-coated interlocking stem. Arch Orthop Trauma Surg 128:355–362

    CAS  Article  PubMed  Google Scholar 

  30. Volkmann R, Bretschneider C, Eingartner C, Weller S (2003) Revision arthroplasty-femoral aspect: the concept to solve high grade defects. Int Orthop 27(suppl 1):S24–S28

    PubMed  Google Scholar 

Download references

Author information

Affiliations

Authors

Corresponding author

Correspondence to Patrice Mertl.

Rights and permissions

Reprints and Permissions

About this article

Cite this article

Mertl, P., Philippot, R., Rosset, P. et al. Distal locking stem for revision femoral loosening and peri-prosthetic fractures. International Orthopaedics (SICOT) 35, 275–282 (2011). https://doi.org/10.1007/s00264-010-1182-6

Download citation

  • Received:

  • Revised:

  • Accepted:

  • Published:

  • Issue Date:

  • DOI: https://doi.org/10.1007/s00264-010-1182-6

Keywords

  • Femoral Component
  • Periprosthetic Fracture
  • Thigh Pain
  • Bone Reconstruction
  • Transfemoral Approach