Skip to main content

Pelvic floor imaging with MR defecography: correlation with gynecologic pelvic organ prolapse quantification

A Letter to the Editor to this article was published on 22 April 2021

A Letter to the Editor to this article was published on 30 June 2020

Abstract

Purpose

Pelvic organ prolapse (POP) is assessed differently by gynecologists and radiologists. It is clinically staged by physical examination using the POP-Q (Pelvic Organ Prolapse Quantification) system and radiologically staged by modalities such as by Magnetic Resonance Defecography (MRD). The purpose of this study was to correlate the two methods of staging pelvic organ prolapse for each pelvic compartment by comparing correlative anatomic points and differences in technique. This understanding will help synthesize information from two different perspectives and bridge the gap between multiple specialists who participate in the care of patients with complex pelvic floor disorders.

Methods

A retrospective single institution study comparison of patients who underwent both dynamic magnetic resonance pelvic floor imaging and pelvic organ prolapse quantification (POP-Q) at our medical center was done. Two urogynecologists performed the POP-Q and one fellowship-trained radiologist interpreted the MRD and both staged pelvic organ prolapse independently.

Results

A total of 280 patients underwent magnetic resonance imaging (MRI) of the pelvic floor from 1/2013 to 12/2017, of whom 68 met our inclusion criteria. When compared to POP-Q, MRI has strong, moderate, and weak correlation for quantification of anterior, middle, and posterior compartment prolapse, respectively. POP-Q measurements Aa, Ba, C, and D are analogous to true pelvic anatomical landmarks which are directly and consistently measurable by MRI, hence accounting for the better correlation in anterior and middle compartments when compared to measurements Ap and Bp which do not correlate with true anatomical landmarks, and hence can explain the weak correlation for posterior compartment prolapse.

Conclusion

When comparing POP-Q to MRI, anterior and middle compartment prolapse have better correlation than posterior compartment prolapse. Inherent differences that exist in technique and anatomic landmarks used for staging pelvic organ prolapse by clinical exam and imaging criteria account for this. MRD, however, still provides anatomic details on static images, real time simultaneous overview of multi-compartmental prolapse, characterizes contents of cul-de-sac hernias and rectal evacuation on dynamic imaging. Corroborative information derived from both methods of staging organ will result in optimum patient care.

This is a preview of subscription content, access via your institution.

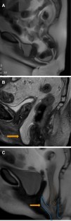
Fig. 1
Fig. 2
Fig. 3
Fig. 4
Fig. 5

References

  1. Hagen S, Stark D, Maher C, Adams E. Conservative management of pelvic organ prolapse in women (Cochrane Review). In: The Cochrane Library (2), 2005.

  2. Olsen AL, Smith VJ, Bergstrom JO et al. Epidemiology of surgically managed pelvic organ prolapse and urinary incontinence. Obstet Gynecol. 1997 Apr;89(4):501-6.

  3. Wilkins MF, Wu JM. Lifetime risk of surgery for stress urinary incontinence or pelvic organ prolapse. Minerva Ginecol. 2017 Apr;69(2):171-177. https://doi.org/10.23736/s0026-4784.16.04011-9

  4. Wu J, Hundley A, Fulton R, Myers E. Forecasting the prevalence of pelvic floor disorders in U.S. women: 2010 to 2050. Obstet Gynecol 2009; 114: 1278–1283.

  5. Shek KL, Dietz HP. Assessment of pelvic organ prolapse: a review. Ultrasound Obstet Gynecol. 2016 Dec;48(6):681-692. https://doi.org/10.1002/uog.15881.

  6. Ellerkmann RM, Cundiff GW, Melick CF, Nihira MA, Leffler K, Bent AE. Correlation of symptoms with location and severity of pelvic organ prolapse. Am J Obstet Gynecol 2001; 185: 1332–1337; discussion 7–8.

  7. Bradley CS, Nygaard IE. Vaginal wall descensus and pelvic floor symptoms in older women. Obstet Gynecol 2005; 106: 759–766.

  8. Bradley C, Zimmerman M, Want Q, Nygaard I. Vaginal descent and pelvic floor symptoms in postmenopausal women: a longitudinal study. Obstet Gynecol 2008; 111: 1148–1153.

  9. Bump RC, Mattiasson A, Bø K, et al. The standardization of terminology of female pelvic organ prolapse and pelvic floor dysfunction. Am J Obstet Gynecol. 1996;175:10–17.

  10. Haylen BT, Maher CF, Barber MD et al. An International Urogynecological Association (IUGA)/International Continence Society (ICS) joint report on the terminology for female pelvic organ prolapse (POP). Int Urogynecol J. 2016 Apr;27(4):655-84. https://doi.org/10.1007/s00192-016-3003-y.

  11. Parekh M, Swift S, Lemos N, et al. Multicenter inter-examiner agreement trial for the validation of simplified POPQ system. Int Urogynecol J. 2011;22:645–650.

  12. Persu C, Chapple CR, Cauni V, Gutue S, Geavlete P. Pelvic organ prolapse quantification system (POP-Q) − a new era in pelvic prolapse staging. J Med Life. 2011;4:75–81.

  13. Boyd SS, O’Sullivan D, Tulikangas P. Use of the Pelvic Organ Quantification System (POP-Q) in published articles of peer reviewed journals. Int Urogynecol J. 2017;28:1719–1723.

  14. Muir TW, Stepp KJ and Barber MD. Adoption of the pelvic organ prolapse quantification system in peer-reviewed literature. Am J Obstet Gynecol 2003; 189: 1632–1635.

  15. Davila GW, Ghoniem GM, Kapoor DS, et al. Pelvic floor dysfunction management practice patterns: A survey of members of the International Urogynecological Association. Int Urogynecol J Pelvic Floor Dysfunct 2002; 13: 319–325.

  16. Reiner CS, Weishaupt D. Dynamic pelvic floor imaging: MRI techniques and imaging parameters. Abdom Imaging. 2013 Oct;38(5):903-11. https://doi.org/10.1007/s00261-012-9857-7

  17. Thapar RB, Patankar RV, Kamat RD et al. MR defecography for obstructed defecation syndrome. Indian J Radiol Imaging. 2015 Jan-Mar;25(1):25-30. https://doi.org/10.4103/0971-3026.150134.

  18. Arif-Tiwari, H., Twiss, C. O., Lin, F. C., Funk, J. T., Vedantham, S., Martin, D. R., & Kalb, B. T. (2019). Improved detection of pelvic organ prolapse: comparative utility of defecography phase sequence to nondefecography valsalva maneuvers in dynamic pelvic floor magnetic resonance imaging. Current problems in diagnostic radiology, 48(4), 342-347.

  19. Arian A, Ghanbari Z, Deldar Pasikhani M, Eftekhar T, Gity M, et al. Agreement of Manual Exam (POP-Q) with Pelvic MRI in Assessment of Anterior Pelvic Organ Prolapse, Iran J Radiol. 2017; 14(4):e38542. https://doi.org/10.5812/iranjradiol.38542

  20. Pollock, G.R., Twiss, C.O., Chartier, S. et al. Comparison of magnetic resonance defecography grading with POP-Q staging and Baden–Walker grading in the evaluation of female pelvic organ prolapse. Abdom Radiol (2019). https://doi.org/10.1007/s00261-019-02313-8

  21. Oerno A, Dietz HP. Levator co-activation is a significant confounder of pelvic organ descent on Valsalva maneuver. Ultrasound Obstet Gynecol 2007; 30: 346–350.

  22. Dietz HP. Pelvic floor ultrasound in prolapse: what’s in it for the surgeon? Int Urogynecol J. 2011 Oct;22(10):1221-32. https://doi.org/10.1007/s00192-011-1459-3.

  23. Orejuela F, Shek KL, Dietz HP. The time factor in the assessment of prolapse and levator ballooning. Int Urogynecol J 2012; 23: 175–178.

  24. Dietz HP. Ultrasound in the assessment of pelvic organ prolapse. Best Pract Res Clin Obstet Gynaecol. 2019 Jan;54:12-30. https://doi.org/10.1016/j.bpobgyn.2018.06.006.

  25. Shobeiri SA, Santiago A. Use of Ultrasound Imaging in Pelvic Organ Prolapse: an Overview. Curr Obstet Gynecol Rep (2015) 4: 109. https://doi.org/10.1007/s13669-015-0117-z

  26. Arian A, Ghanbari Z, Deldar Pasikhani M et al. Agreement of Manual Exam (POP-Q) with Pelvic MRI in Assessment of Anterior Pelvic Organ Prolapse, Iran J Radiol. 2017; 14(4):e38542. https://doi.org/10.5812/iranjradiol.38542.

  27. Hetzer, F. H., Andreisek, G., Tsagari, C., Sahrbacher, U., & Weishaupt, D. (2006). MR defecography in patients with fecal incontinence: imaging findings and their effect on surgical management. Radiology, 240(2), 449-457.

Download references

Author information

Affiliations

Authors

Corresponding author

Correspondence to Nayanatara Swamy.

Additional information

Publisher's Note

Springer Nature remains neutral with regard to jurisdictional claims in published maps and institutional affiliations.

Rights and permissions

Reprints and Permissions

About this article

Verify currency and authenticity via CrossMark

Cite this article

Swamy, N., Bajaj, G., Olliphant, S.S. et al. Pelvic floor imaging with MR defecography: correlation with gynecologic pelvic organ prolapse quantification. Abdom Radiol 46, 1381–1389 (2021). https://doi.org/10.1007/s00261-020-02476-9

Download citation

  • Published:

  • Issue Date:

  • DOI: https://doi.org/10.1007/s00261-020-02476-9

Keywords

  • Dynamic MR pelvic floor imaging
  • Pelvic organ prolapse (POP)
  • Pelvic organ prolapse quantification (POP-Q)