Skip to main content

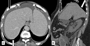
Bare area sign

This is a preview of subscription content, access via your institution.

References

  1. Kennedy PA, Madding GF. (1977) Surgical anatomy of the liver. Surg Clin North Am.;57(2):233-244.

    Article  CAS  PubMed  Google Scholar 

  2. Halvorsen RA, Fedyshin PJ, Korobkin M, Foster WL Jr, Thompson WM. (1986) Ascites or pleural effusion? CT differentiation: four useful criteria. Radiographics.;6(1):135-149.

    Article  CAS  PubMed  Google Scholar 

  3. Halvorsen RA, Fedyshin PJ, Korobkin M, Thompson WM. (1986) CT differentiation of pleural effusion from ascites. An evaluation of four signs using blinded analysis of 52 cases. Invest Radiol; 21:391-395.

    Article  CAS  PubMed  Google Scholar 

  4. Crossin JD, Muradali D, Wilson SR. (2003) US of liver transplants: normal and abnormal. Radiographics ;23(5):1093-1114.

    Article  PubMed  Google Scholar 

Download references

Funding

There is no funding.

Author information

Affiliations

Authors

Contributions

All authors contributed equally in the collection of data, interpretation of the data, and preparation of manuscript.

Corresponding author

Correspondence to Venkatraman Indiran.

Ethics declarations

Conflict of interest

Author declares that they have no conflict of interest.

Ethical approval

All procedures performed in studies involving human participants were in accordance with the ethical standards of the institutional and/or national research committee and with the 1964 Helsinki Declaration and its later amendments or comparable ethical standards. This article does not contain any studies with animals performed by any of the author(s).

Informed consent

Informed consent was obtained from individual participant included in the study.

Additional information

Publisher's Note

Springer Nature remains neutral with regard to jurisdictional claims in published maps and institutional affiliations.

Rights and permissions

Reprints and Permissions

About this article

Verify currency and authenticity via CrossMark

Cite this article

Indiran, V., Kokilavani, J. Bare area sign. Abdom Radiol 44, 2674–2675 (2019). https://doi.org/10.1007/s00261-019-02007-1

Download citation

  • Published:

  • Issue Date:

  • DOI: https://doi.org/10.1007/s00261-019-02007-1