Skip to main content

White paper of the Society of Abdominal Radiology hepatocellular carcinoma diagnosis disease-focused panel on LI-RADS v2018 for CT and MRI

Abstract

The Liver Imaging and Reporting Data System (LI-RADS) is a comprehensive system for standardizing the terminology, technique, interpretation, reporting, and data collection of liver imaging with the overarching goal of improving communication, clinical care, education, and research relating to patients at risk for or diagnosed with hepatocellular carcinoma (HCC). In 2018, the American Association for the Study of Liver Diseases (AASLD) integrated LI-RADS into its clinical practice guidance for the imaging-based diagnosis of HCC. The harmonization between the AASLD and LI-RADS diagnostic imaging criteria required minor modifications to the recently released LI-RADS v2017 guidelines, necessitating a LI-RADS v2018 update. This article provides an overview of the key changes included in LI-RADS v2018 as well as a look at the LI-RADS v2018 diagnostic algorithm and criteria, technical recommendations, and management suggestions. Substantive changes in LI-RADS v2018 are the removal of the requirement for visibility on antecedent surveillance ultrasound for LI-RADS 5 (LR-5) categorization of 10-19 mm observations with nonrim arterial phase hyper-enhancement and nonperipheral “washout”, and adoption of the Organ Procurement and Transplantation Network definition of threshold growth (≥ 50% size increase of a mass in ≤ 6 months). Nomenclatural changes in LI-RADS v2018 are the removal of -us and -g as LR-5 qualifiers.

This is a preview of subscription content, access via your institution.

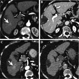
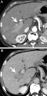
Fig. 1
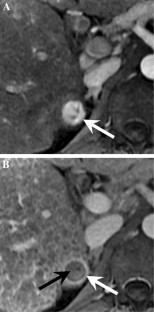
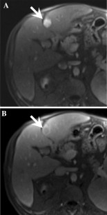
Fig. 2
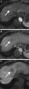
Fig. 3
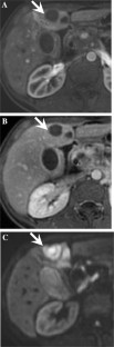
Fig. 4
Fig. 5
Fig. 6
Fig. 7
Fig. 8
Fig. 9
Fig. 10
Fig. 11
Fig. 12

Case courtesy of Dr. Kupa Patel-Lippman

Fig. 13
Fig. 14
Fig. 15
Fig. 16
Fig. 17
Fig. 18
Fig. 19
Fig. 20

References

  1. Torre Lindsey A, et al. (2015) Global cancer statistics, 2012. CA A Cancer J Clin 65(2):87–108

    Article  CAS  Google Scholar 

  2. Wong MCS, et al. (2017) International incidence and mortality trends of liver cancer: a global profile. Sci Rep 7:45846

    Article  PubMed  PubMed Central  CAS  Google Scholar 

  3. Nishikawa H, Osaki Y (2015) Liver cirrhosis: evaluation, nutritional status, and prognosis. Mediat Inflamm 2015:872152

    Article  CAS  Google Scholar 

  4. Ferlay J, et al. (2010) Estimates of worldwide burden of cancer in 2008: GLOBOCAN 2008. Int J Cancer 127(12):2893–2917

    Article  PubMed  CAS  Google Scholar 

  5. Beasley RP, et al. (1981) Hepatocellular carcinoma and hepatitis B virus: a prospective study of 22 707 men in Taiwan. The Lancet 318(8256):1129–1133

    Article  Google Scholar 

  6. Dhir M, et al. (2012) Comparison of outcomes of transplantation and resection in patients with early hepatocellular carcinoma: a meta-analysis. HPB 14(9):635–645

    Article  PubMed  PubMed Central  Google Scholar 

  7. Song DS, Bae SH (2012) Changes of guidelines diagnosing hepatocellular carcinoma during the last ten-year period. Clin Mol Hepatol 18(3):258–267

    Article  PubMed  PubMed Central  Google Scholar 

  8. Ganeshan D, et al. (2018) Structured reporting in radiology. Acad Radiol 25(1):66–73

    Article  PubMed  Google Scholar 

  9. European Society of R (2018) ESR paper on structured reporting in radiology. Insights Imaging 9(1):1–7

    Article  Google Scholar 

  10. America RSON (2018) Radiological Society of North America radiology reporting initiative. https://www.rsna.org/Reporting_Initiative.aspx. Accessed 1 July 2018

  11. Enterprise ITH (2018) Management of radiology report templates (MRRT). https://www.ihe.net/uploadedFiles/Documents/Radiology/IHE_RAD_Suppl_MRRT.pdf. Accessed 28 July 2018

  12. American College of Radiology (2017) CT/MRI LI-RADS v2017 core. https://www.acr.org/-/media/ACR/Files/RADS/LI-RADS/LIRADS_2017_Core.pdf

  13. American College of Radiology (2013) LI-RADS v2013.1. https://www.acr.org/-/media/ACR/Files/RADS/LI-RADS/LIRADSv2013.pdf?la=en

  14. American College of Radiology (2014) LI-RADS v2014. https://www.acr.org/Clinical-Resources/Reporting-and-Data-Systems/LI-RADS/LI-RADS-v2014

  15. American College of Radiology (2011) LI-RADS Version 1.0. https://www.acr.org/Clinical-Resources/Reporting-and-Data-Systems/LI-RADS/LI-RADS1

  16. Grimm LJ, et al. (2015) Interobserver variability between breast imagers using the fifth edition of the BI-RADS MRI Lexicon. AJR 204(5):1120–1124

    Article  PubMed  Google Scholar 

  17. Mahoney MC, et al. (2012) Positive predictive value of BI-RADS MR imaging. Radiology 264(1):51–58

    Article  PubMed  PubMed Central  Google Scholar 

  18. Barth BK, et al. (2016) Reliability, validity, and reader acceptance of LI-RADS-An in-depth analysis. Acad Radiol 23(9):1145–1153

    Article  PubMed  Google Scholar 

  19. American College of Radiology (2018) CT/MRI LI-RADS v2018 core

  20. Chernyak V, et al. (2018) LI-RADS((R)) ancillary features on CT and MRI. Abdom Radiol 43(1):82–100

    Article  Google Scholar 

  21. Vilgrain V, et al. (1999) Hepatic nodules in Budd-Chiari syndrome: imaging features. Radiology 210(2):443–450

    Article  PubMed  CAS  Google Scholar 

  22. Santillan C, Chernyak V, Sirlin C (2018) LI-RADS categories: concepts, definitions, and criteria. Abdom Radiol 43(1):101–110

    Article  Google Scholar 

  23. van der Pol CB, LC, Bashir MR, Sirlin CB, McGrath TA, Salameh JP, Singal AG, Tang A, Fowler K, Costa A, McInnes MDF (2018) What is the percentage of hepatocellular carcinoma and overall malignancy within each LI-RADS category? A systematic review. ILCA 2018: 12th annual conference of the international liver cancer association

  24. Fowler KJ, et al. (2018) LI-RADS M (LR-M): definite or probable malignancy, not specific for hepatocellular carcinoma. Abdom Radiol 43(1):149–157

    Article  Google Scholar 

  25. Kambadakone AR, et al. (2018) LI-RADS technical requirements for CT, MRI, and contrast-enhanced ultrasound. Abdom Radiol 43(1):56–74

    Article  Google Scholar 

  26. Sun H, Song T (2015) Hepatocellular carcinoma: advances in diagnostic imaging. Drug Discov Ther 9(5):310–318

    Article  PubMed  CAS  Google Scholar 

  27. Choi J-Y, Lee J-M, Sirlin CB (2014) CT and MR imaging diagnosis and staging of hepatocellular carcinoma: part II. Extracellular agents, hepatobiliary agents, and ancillary imaging features. Radiology 273(1):30–50

    Article  PubMed  PubMed Central  Google Scholar 

  28. Marin D, et al. (2015) CT appearance of hepatocellular carcinoma after locoregional treatments: a comprehensive review. Gastroenterol Res Pract 2015:670965

    Article  PubMed  PubMed Central  Google Scholar 

  29. Kielar A, et al. (2018) Locoregional therapies for hepatocellular carcinoma and the new LI-RADS treatment response algorithm. Abdom Radiol 43(1):218–230

    Article  Google Scholar 

  30. Nakamura Y, et al. (2011) Clinical significance of the transitional phase at gadoxetate disodium-enhanced hepatic MRI for the diagnosis of hepatocellular carcinoma: preliminary results. J Comput Assist Tomogr 35(6):723–727

    Article  PubMed  Google Scholar 

  31. Santillan C, et al. (2018) LI-RADS major features: CT, MRI with extracellular agents, and MRI with hepatobiliary agents. Abdom Radiol 43(1):75–81

    Article  Google Scholar 

  32. Wald C, et al. (2013) New OPTN/UNOS policy for liver transplant allocation: standardization of liver imaging, diagnosis, classification, and reporting of hepatocellular carcinoma. Radiology 266(2):376–382

    Article  PubMed  Google Scholar 

  33. Heimbach JK, et al. (2018) AASLD guidelines for the treatment of hepatocellular carcinoma. Hepatology 67(1):358–380

    Article  PubMed  Google Scholar 

Download references

Acknowledgements

The author(s) are military service members. This work was prepared as part of official duties. Title 17 U.S.C. 105 provides that ‘Copyright protection under this title is not available for any work of the United States Government.’

Disclaimer

The views expressed in this presentation are those of the authors and do not necessarily reflect the official policy or position of the Department of the Navy, Department of Defense or the United States Government.

Author information

Affiliations

Authors

Corresponding author

Correspondence to Khaled M. Elsayes.

Ethics declarations

Conflict of interest

The authors declare that they have no conflict of interest.

Rights and permissions

Reprints and Permissions

About this article

Verify currency and authenticity via CrossMark

Cite this article

Elsayes, K.M., Kielar, A.Z., Elmohr, M.M. et al. White paper of the Society of Abdominal Radiology hepatocellular carcinoma diagnosis disease-focused panel on LI-RADS v2018 for CT and MRI. Abdom Radiol 43, 2625–2642 (2018). https://doi.org/10.1007/s00261-018-1744-4

Download citation

  • Published:

  • Issue Date:

  • DOI: https://doi.org/10.1007/s00261-018-1744-4

Keywords

  • LI-RADS
  • v2018
  • CT
  • MRI
  • HCC