Skip to main content

Common pitfalls when using the Liver Imaging Reporting and Data System (LI-RADS): lessons learned from a multi-year experience

A Letter to the Editor to this article was published on 17 June 2019

Abstract

The goal of the Liver Imaging Reporting and Data System (LI-RADS) is to standardize the interpretation and reporting of liver observations on contrast-enhanced CT and MR imaging of patients at risk for hepatocellular carcinoma. Although LI-RADS represents a significant achievement in standardization of the diagnosis and management of cirrhotic patients, complexity and caveats to the algorithm may challenge correct application in clinical practice. The purpose of this paper is to discuss common pitfalls and potential solutions when applying LI-RADS in practice. Knowledge of the most common pitfalls may improve the diagnostic confidence and performance when using the LI-RADS system for the interpretation of CT and MR imaging of the liver.

This is a preview of subscription content, access via your institution.

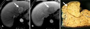
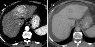
Fig. 1
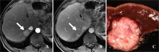
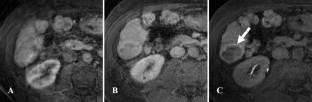
Fig. 2
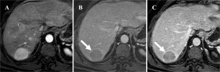
Fig. 3
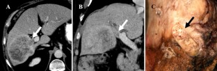
Fig. 4
Fig. 5
Fig. 6
Fig. 7
Fig. 8
Fig. 9
Fig. 10
Fig. 11
Fig. 12
Fig. 13

References

  1. Marrero JA, Kulik LM, Sirlin C, et al. (2018) Diagnosis, staging and management of hepatocellular carcinoma: 2018 practice guidance by the American Association for the Study of Liver Diseases. Hepatology. https://doi.org/10.1002/hep.29913

    Article  PubMed  Google Scholar 

  2. American College of Radiology. Liver imaging reporting and data system. https://www.acr.org/Clinical-Resources/Reporting-and-Data-Systems/LI-RADS. Accessed July 2018.

  3. Santillan C, Chernyak V, Sirlin C (2018) LI-RADS categories: concepts, definitions, and criteria. Abdom Radiol 43:101–110

    Article  Google Scholar 

  4. Tang A, Hallouch O, Chernyak V, Kamaya A, Sirlin CB (2018) Epidemiology of hepatocellular carcinoma: target population for surveillance and diagnosis. Abdom Radiol 43:13–25

    Article  Google Scholar 

  5. Tang A, Bashir MR, Corwin MT, et al. (2018) Evidence supporting LI-RADS major features for CT- and MR imaging-based diagnosis of hepatocellular carcinoma: a systematic review. Radiology 286:29–48

    Article  PubMed  Google Scholar 

  6. Ba-Ssalamah A, Antunes C, Feier D, et al. (2015) Morphologic and molecular features of hepatocellular adenoma with gadoxetic acid-enhanced MR imaging. Radiology 277:104–113

    Article  PubMed  Google Scholar 

  7. Grazioli L, Bondioni MP, Haradome H, et al. (2012) Hepatocellular adenoma and focal nodular hyperplasia: value of gadoxetic acid-enhanced MR imaging in differential diagnosis. Radiology 262:520–529

    Article  PubMed  Google Scholar 

  8. Murakami T, Tsurusaki M (2014) Hypervascular benign and malignant liver tumors that require differentiation from hepatocellular carcinoma: key points of imaging diagnosis. Liver Cancer 3:85–96

    Article  CAS  PubMed  PubMed Central  Google Scholar 

  9. Khosa F, Khan AN, Eisenberg RL (2011) Hypervascular liver lesions on MRI. AJR 197:W204–W220

    Article  PubMed  Google Scholar 

  10. Vilgrain V, Lewin M, Vons C, et al. (1999) Hepatic nodules in Budd-Chiari syndrome: imaging features. Radiology. 210:443–450

    Article  CAS  PubMed  Google Scholar 

  11. Galia M, Taibbi A, Marin D, et al. (2014) Focal lesions in cirrhotic liver: what else beyond hepatocellular carcinoma? Diagn Interv Radiol 20:222–228

    Article  PubMed  PubMed Central  Google Scholar 

  12. Santillan C, Fowler K, Kono Y, Chernyak V (2018) LI-RADS major features: CT, MRI with extracellular agents, and MRI with hepatobiliary agents. Abdom Radiol 43:75–81

    Article  Google Scholar 

  13. Choi JY, Lee JM, Sirlin CB (2014) CT and MR imaging diagnosis and staging of hepatocellular carcinoma: part II. Extracellular agents, hepatobiliary agents, and ancillary imaging features. Radiology 273:30–50

    Article  PubMed  PubMed Central  Google Scholar 

  14. Joo I, Lee JM, Lee DH, et al. (2015) Noninvasive diagnosis of hepatocellular carcinoma on gadoxetic acid-enhanced MRI: can hypointensity on the hepatobiliary phase be used as an alternative to washout? Eur Radiol 25:2859–2868

    Article  PubMed  Google Scholar 

  15. Tateyama A, Fukukura Y, Takumi K, et al. (2016) Hepatic hemangiomas: factors associated with pseudo washout sign on Gd-EOB-DTPA-enhanced MR imaging. Magn Reson Med Sci 15:73–82

    Article  CAS  PubMed  Google Scholar 

  16. Joo I, Lee JM, Lee SM, et al. (2016) Diagnostic accuracy of liver imaging reporting and data system (LI-RADS) v2014 for intrahepatic mass-forming cholangiocarcinomas in patients with chronic liver disease on gadoxetic acid-enhanced MRI. J Magn Reson Imaging 44:1330–1338

    Article  PubMed  Google Scholar 

  17. Kim TK, Lee E, Jang HJ (2015) Imaging findings of mimickers of hepatocellular carcinoma. Clin Mol Hepatol 21:326–343

    Article  PubMed  PubMed Central  Google Scholar 

  18. Kudo M, Matsui O, Izumi N, et al. (2014) Surveillance and diagnostic algorithm for hepatocellular carcinoma proposed by the Liver Cancer Study Group of Japan: 2014 update. Oncology 87(Suppl 1):7–21

    Article  PubMed  Google Scholar 

  19. Korean Liver Cancer Study Group (KLCSG), National Cancer Center, Korea (NCC) (2015) 2014 KLCSG-NCC Korea Practice Guideline for the management of hepatocellular carcinoma. Gut Liver 9:267–317

    Google Scholar 

  20. Fowler KJ, Tang A, Santillan C, et al. (2018) Interreader reliability of LI-RADS version 2014 algorithm and imaging features for diagnosis of hepatocellular carcinoma: a large international multireader study. Radiology 286:173–185

    Article  PubMed  Google Scholar 

  21. Miyayama S, Yamashiro M, Okuda M, et al. (2011) Detection of corona enhancement of hypervascular hepatocellular carcinoma by C-arm dual-phase cone-beam CT during hepatic arteriography. Cardiovasc Interv Radiol 34:81–86

    Article  Google Scholar 

  22. Chernyak V, Tang A, Flusberg M, et al. (2018) LI-RADS® ancillary features on CT and MRI. Abdom Radiol 43:82–100

    Article  Google Scholar 

  23. Narsinh KH, Cui J, Papadatos D, Sirlin CB, Santillan CS (2018) Hepatocarcinogenesis and LI-RADS. Abdom Radiol 43:158–168

    Article  Google Scholar 

  24. Yoneda N, Matsui O, Kitao A, et al. (2017) Peri-tumoral hyperintensity on hepatobiliary phase of gadoxetic acid-enhanced MRI in hepatocellular carcinomas: correlation with peri-tumoral hyperplasia and its pathological features. Abdom Radiol. https://doi.org/10.1007/s00261-017-1437-4

    Article  Google Scholar 

  25. Fowler KJ, Potretzke TA, Hope TA, Costa EA, Wilson SR (2018) LI-RADS M (LR-M): definite or probable malignancy, not specific for hepatocellular carcinoma. Abdom Radiol 43:149–157

    Article  Google Scholar 

  26. Fowler KJ, Sheybani A, Parker RA 3rd, et al. (2013) Combined hepatocellular and cholangiocarcinoma (biphenotypic) tumors: imaging features and diagnostic accuracy of contrast-enhanced CT and MRI. AJR Am J Roentgenol. 201:332–339

    Article  PubMed  Google Scholar 

  27. Tang A, Fowler KJ, Chernyak V, Chapman WC, Sirlin CB (2018) LI-RADS and transplantation for hepatocellular carcinoma. Abdom Radiol 43:193–202

    Article  Google Scholar 

  28. Choi SH, Lee SS, Kim SY, et al. (2017) Intrahepatic cholangiocarcinoma in patients with cirrhosis: differentiation from hepatocellular carcinoma by using gadoxetic acid-enhanced MR imaging and dynamic CT. Radiology 282:771–781

    Article  PubMed  Google Scholar 

  29. Tublin ME, Dodd GD 3rd, Baron RL (1997) Benign and malignant portal vein thrombosis: differentiation by CT characteristics. AJR 168:719–723

    Article  CAS  PubMed  Google Scholar 

  30. Catalano OA, Choy G, Zhu A, Hahn PF, Sahani DV (2010) Differentiation of malignant thrombus from bland thrombus of the portal vein in patients with hepatocellular carcinoma: application of diffusion-weighted MR imaging. Radiology 254:154–162

    Article  PubMed  Google Scholar 

  31. Ciresa M, De Gaetano AM, Pompili M, et al. (2015) Enhancement patterns of intrahepatic mass-forming cholangiocarcinoma at multiphasic computed tomography and magnetic resonance imaging and correlation with clinicopathologic features. Eur Rev Med Pharmacol Sci 19:2786–2797

    CAS  PubMed  Google Scholar 

  32. Chong YS, Kim YK, Lee MW, et al. (2012) Differentiating mass-forming intrahepatic cholangiocarcinoma from atypical hepatocellular carcinoma using gadoxetic acid-enhanced MRI. Clin Radiol 67:766–773

    Article  CAS  PubMed  Google Scholar 

Download references

Author information

Affiliations

Authors

Corresponding author

Correspondence to Alessandro Furlan.

Ethics declarations

Funding

No funding was received for this study.

Conflict of interest

The authors declare that they have no conflict of interests.

Disclosure

Alessandro Furlan: research grant from General Electric; consultant for General Electric; book contract with Elsevier/Amirsys. Amir A. Borhani: consultant for Guebert; consultant for Elsevier/Amirsys.

Ethical approval

This article does not contain any studies with human participants or animals performed by any of the authors.

Informed consent

Statement of informed consent was not applicable since the manuscript does not contain any patient data.

Rights and permissions

Reprints and Permissions

About this article

Verify currency and authenticity via CrossMark

Cite this article

Cannella, R., Fowler, K.J., Borhani, A.A. et al. Common pitfalls when using the Liver Imaging Reporting and Data System (LI-RADS): lessons learned from a multi-year experience. Abdom Radiol 44, 43–53 (2019). https://doi.org/10.1007/s00261-018-1720-z

Download citation

  • Published:

  • Issue Date:

  • DOI: https://doi.org/10.1007/s00261-018-1720-z

Keywords

  • Hepatocellular carcinoma
  • Multidetector computed tomography
  • Magnetic resonance imaging