Skip to main content

Diagnosis of Budd–Chiari syndrome

Abstract

Budd–Chiari syndrome (BCS) is defined by clinical and laboratory signs associated with partial or complete impairment of hepatic venous drainage in the absence of right heart failure or constrictive pericarditis. Primary BCS is the most frequent type and is a complication of hypercoagulable states, in particular myeloproliferative neoplasms. Secondary BCS involves tumor invasion or extrinsic compression. Most patients present with chronic BCS including a non-cirrhotic, dysmorphic, chronic liver disease with various degrees of fibrosis deposition. Acute BCS is rare, and patients present with hepatomegaly, ascites, and hepatic insufficiency. The diagnosis is based on imaging. Imaging features include (1) direct signs, in particular occlusion or compression of the hepatic veins and/or the inferior vena cava and venous collaterals and (2) indirect signs, in particular morphological changes in the liver with hypertrophy of the caudate lobe and delayed nodule formation. Ultrasound and magnetic resonance imaging are the gold standard for diagnosis. The aim of this review is to provide an overview of the role of imaging in the diagnosis of BCS.

This is a preview of subscription content, access via your institution.

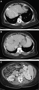
Fig. 1
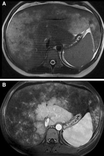
Fig. 2
Fig. 3
Fig. 4
Fig. 5
Fig. 6
Fig. 7
Fig. 8
Fig. 9
Fig. 10
Fig. 11

References

  1. Aydinli M, Bayraktar Y (2007) Budd–Chiari syndrome: etiology, pathogenesis and diagnosis. World J Gastroenterol 13(19):2693–2696

    Article  PubMed  PubMed Central  Google Scholar 

  2. European Association for the Study of the Liver. Electronic address eee (2016) EASL clinical practice guidelines: vascular diseases of the liver. J Hepatol 64(1):179–202. https://doi.org/10.1016/j.jhep.2015.07.040

    Article  Google Scholar 

  3. Valla DC (2003) The diagnosis and management of the Budd–Chiari syndrome: consensus and controversies. Hepatology 38(4):793–803. https://doi.org/10.1053/jhep.2003.50415

    Article  PubMed  Google Scholar 

  4. Langlet P, Escolano S, Valla D, et al. (2003) Clinicopathological forms and prognostic index in Budd–Chiari syndrome. J Hepatol 39(4):496–501

    Article  PubMed  Google Scholar 

  5. Valla DC (2009) Primary Budd–Chiari syndrome. J Hepatol 50(1):195–203. https://doi.org/10.1016/j.jhep.2008.10.007

    Article  PubMed  Google Scholar 

  6. Valla D, Benhamou JP (1996) Obstruction of the hepatic veins or suprahepatic inferior vena cava. Dig Dis 14(2):99–118

    Article  PubMed  CAS  Google Scholar 

  7. Valla D, Dhumeaux D, Babany G, et al. (1987) Hepatic vein thrombosis in paroxysmal nocturnal hemoglobinuria. A spectrum from asymptomatic occlusion of hepatic venules to fatal Budd–Chiari syndrome. Gastroenterology 93(3):569–575

    Article  PubMed  CAS  Google Scholar 

  8. Myones BL, McCurdy D (2000) The antiphospholipid syndrome: immunologic and clinical aspects. Clinical spectrum and treatment. J Rheumatol Suppl 58:20–28

    PubMed  CAS  Google Scholar 

  9. Deltenre P, Denninger MH, Hillaire S, et al. (2001) Factor V Leiden related Budd–Chiari syndrome. Gut 48(2):264–268

    Article  PubMed  PubMed Central  CAS  Google Scholar 

  10. Denninger MH, Beldjord K, Durand F, et al. (1995) Budd–Chiari syndrome and factor V Leiden mutation. Lancet 345(8948):525–526

    Article  PubMed  CAS  Google Scholar 

  11. Janssen HL, Meinardi JR, Vleggaar FP, et al. (2000) Factor V Leiden mutation, prothrombin gene mutation, and deficiencies in coagulation inhibitors associated with Budd–Chiari syndrome and portal vein thrombosis: results of a case-control study. Blood 96(7):2364–2368

    PubMed  CAS  Google Scholar 

  12. Denninger MH, Chait Y, Casadevall N, et al. (2000) Cause of portal or hepatic venous thrombosis in adults: the role of multiple concurrent factors. Hepatology 31(3):587–591. https://doi.org/10.1002/hep.510310307

    Article  PubMed  CAS  Google Scholar 

  13. Bayraktar Y, Balkanci F, Bayraktar M, Calguneri M (1997) Budd–Chiari syndrome: a common complication of Behcet’s disease. Am J Gastroenterol 92(5):858–862

    PubMed  CAS  Google Scholar 

  14. Bismuth E, Hadengue A, Hammel P, Benhamou JP (1990) Hepatic vein thrombosis in Behcet’s disease. Hepatology 11(6):969–974

    Article  PubMed  CAS  Google Scholar 

  15. Qi X, Han G, Guo X, et al. (2016) Review article: the aetiology of primary Budd–Chiari syndrome—differences between the West and China. Aliment Pharmacol Ther 44(11–12):1152–1167. https://doi.org/10.1111/apt.13815

    Article  PubMed  CAS  Google Scholar 

  16. Gowda RM, Gowda MR, Mehta NJ, et al. (2004) Right atrial extension of primary venous leiomyosarcoma: pulmonary embolism and Budd–Chiari syndrome at presentation-a case report. Angiology 55(2):213–216. https://doi.org/10.1177/000331970405500215

    Article  PubMed  Google Scholar 

  17. Schraut WH, Chilcote RR (1985) Metastatic Wilms’ tumor causing acute hepatic-vein occlusion (Budd–Chiari syndrome). Gastroenterology 88(2):576–579

    Article  PubMed  CAS  Google Scholar 

  18. Taylor RW, Sylwestrowicz T, Kossakowska AE, Urbanski SJ, Minuk GY (1987) Leiomyosarcoma of the inferior vena cava presenting as Budd–Chiari syndrome. Liver 7(4):201–205

    Article  PubMed  CAS  Google Scholar 

  19. Thapar PM, Mathur SK, Saksena DS, Shah HK (2001) Leiomyosarcoma of inferior vein cava presenting as acute Budd–Chiari syndrome. Indian J Gastroenterol 20(1):33–35

    PubMed  CAS  Google Scholar 

  20. Hadengue A, Poliquin M, Vilgrain V, et al. (1994) The changing scene of hepatic vein thrombosis: recognition of asymptomatic cases. Gastroenterology 106(4):1042–1047

    Article  PubMed  CAS  Google Scholar 

  21. Brancatelli G, Vilgrain V, Federle MP, et al. (2007) Budd–Chiari syndrome: spectrum of imaging findings. AJR Am J Roentgenol 188(2):W168–176. https://doi.org/10.2214/AJR.05.0168

    Article  PubMed  Google Scholar 

  22. Copelan A, Remer EM, Sands M, Nghiem H, Kapoor B (2015) Diagnosis and management of Budd Chiari syndrome: an update. Cardiovasc Intervent Radiol 38(1):1–12. https://doi.org/10.1007/s00270-014-0919-9

    Article  PubMed  Google Scholar 

  23. Cura M, Haskal Z, Lopera J (2009) Diagnostic and interventional radiology for Budd–Chiari syndrome. Radiographics 29(3):669–681. https://doi.org/10.1148/rg.293085056

    Article  PubMed  Google Scholar 

  24. Ferral H, Behrens G, Lopera J (2012) Budd–Chiari syndrome. AJR Am J Roentgenol 199(4):737–745. https://doi.org/10.2214/AJR.12.9098

    Article  PubMed  Google Scholar 

  25. Kamath PS (2006) Budd–Chiari syndrome: radiologic findings. Liver Transpl 12(11 Suppl 2):S21–22. https://doi.org/10.1002/lt.20939

    Article  PubMed  Google Scholar 

  26. Patil P, Deshmukh H, Popat B, Rathod K (2012) Spectrum of imaging in Budd Chiari syndrome. J Med Imaging Radiat Oncol 56(1):75–83. https://doi.org/10.1111/j.1754-9485.2012.02341.x

    Article  PubMed  Google Scholar 

  27. Cheng D, Xu H, Hua R, et al. (2015) Comparative study of MRI manifestations of acute and chronic Budd–Chiari syndrome. Abdom Imaging 40(1):76–84. https://doi.org/10.1007/s00261-014-0193-y

    Article  PubMed  Google Scholar 

  28. Seijo S, Reverter E, Miquel R, et al. (2012) Role of hepatic vein catheterisation and transient elastography in the diagnosis of idiopathic portal hypertension. Dig Liver Dis 44(10):855–860. https://doi.org/10.1016/j.dld.2012.05.005

    Article  PubMed  Google Scholar 

  29. Millener P, Grant EG, Rose S, et al. (1993) Color Doppler imaging findings in patients with Budd–Chiari syndrome: correlation with venographic findings. AJR Am J Roentgenol 161(2):307–312. https://doi.org/10.2214/ajr.161.2.8333368

    Article  PubMed  CAS  Google Scholar 

  30. Ralls PW, Johnson MB, Radin DR, et al. (1992) Budd–Chiari syndrome: detection with color Doppler sonography. AJR Am J Roentgenol 159(1):113–116. https://doi.org/10.2214/ajr.159.1.1609684

    Article  PubMed  CAS  Google Scholar 

  31. Bargallo X, Gilabert R, Nicolau C, et al. (2006) Sonography of Budd–Chiari syndrome. AJR Am J Roentgenol 187(1):W33–41. https://doi.org/10.2214/AJR.04.0918

    Article  PubMed  Google Scholar 

  32. Bargallo X, Gilabert R, Nicolau C, et al. (2003) Sonography of the caudate vein: value in diagnosing Budd–Chiari syndrome. AJR Am J Roentgenol 181(6):1641–1645. https://doi.org/10.2214/ajr.181.6.1811641

    Article  PubMed  Google Scholar 

  33. Darwish Murad S, Valla DC, de Groen PC, et al. (2006) Pathogenesis and treatment of Budd–Chiari syndrome combined with portal vein thrombosis. Am J Gastroenterol 101(1):83–90. https://doi.org/10.1111/j.1572-0241.2006.00353.x

    Article  PubMed  Google Scholar 

  34. Vogelzang RL, Anschuetz SL, Gore RM (1987) Budd–Chiari syndrome: CT observations. Radiology 163(2):329–333. https://doi.org/10.1148/radiology.163.2.3562813

    Article  PubMed  CAS  Google Scholar 

  35. Cho OK, Koo JH, Kim YS, et al. (1996) Collateral pathways in Budd–Chiari syndrome: CT and venographic correlation. AJR Am J Roentgenol 167(5):1163–1167. https://doi.org/10.2214/ajr.167.5.8911174

    Article  PubMed  CAS  Google Scholar 

  36. Ronot M, Kerbaol A, Rautou PE, et al. (2015) Acute extrahepatic infectious or inflammatory diseases are a cause of transient mosaic pattern on CT and MR imaging related to sinusoidal dilatation of the liver. Eur Radiol . https://doi.org/10.1007/s00330-015-4124-2

    Article  PubMed  Google Scholar 

  37. Perarnau JM, Bacq Y (2008) Hepatic vascular involvement related to pregnancy, oral contraceptives, and estrogen replacement therapy. Semin Liver Dis 28(3):315–327. https://doi.org/10.1055/s-0028-1085099

    Article  PubMed  Google Scholar 

  38. Mathieu D, Vasile N, Menu Y, et al. (1987) Budd–Chiari syndrome: dynamic CT. Radiology 165(2):409–413. https://doi.org/10.1148/radiology.165.2.3659365

    Article  PubMed  CAS  Google Scholar 

  39. Erden A, Erden I, Karayalcin S, Yurdaydin C (2002) Budd–Chiari syndrome: evaluation with multiphase contrast-enhanced three-dimensional MR angiography. AJR Am J Roentgenol 179(5):1287–1292. https://doi.org/10.2214/ajr.179.5.1791287

    Article  PubMed  Google Scholar 

  40. Noone TC, Semelka RC, Siegelman ES, et al. (2000) Budd–Chiari syndrome: spectrum of appearances of acute, subacute, and chronic disease with magnetic resonance imaging. J Magn Reson Imaging 11(1):44–50

    Article  PubMed  CAS  Google Scholar 

  41. Soyer P, Rabenandrasana A, Barge J, et al. (1994) MRI of Budd–Chiari syndrome. Abdom Imaging 19(4):325–329

    Article  PubMed  CAS  Google Scholar 

  42. Wang Q, Han G. (2017) Image-guided treatment of Budd–Chiari syndrome: a giant leap from the past, a small step towards the future. Abdom Radiol. https://doi.org/10.1007/s00261-017-1341-y

    Article  Google Scholar 

  43. Brancatelli G, Federle MP, Grazioli L, Golfieri R, Lencioni R (2002) Benign regenerative nodules in Budd–Chiari syndrome and other vascular disorders of the liver: radiologic-pathologic and clinical correlation. Radiographics 22(4):847–862. https://doi.org/10.1148/radiographics.22.4.g02jl17847

    Article  PubMed  Google Scholar 

  44. Brancatelli G, Federle MP, Grazioli L, Golfieri R, Lencioni R (2002) Large regenerative nodules in Budd–Chiari syndrome and other vascular disorders of the liver: CT and MR imaging findings with clinicopathologic correlation. AJR Am J Roentgenol 178(4):877–883. https://doi.org/10.2214/ajr.178.4.1780877

    Article  PubMed  Google Scholar 

  45. de Sousa JM, Portmann B, Williams R (1991) Nodular regenerative hyperplasia of the liver and the Budd–Chiari syndrome. Case report, review of the literature and reappraisal of pathogenesis. J Hepatol 12(1):28–35

    Article  PubMed  Google Scholar 

  46. Moucari R, Rautou PE, Cazals-Hatem D, et al. (2008) Hepatocellular carcinoma in Budd–Chiari syndrome: characteristics and risk factors. Gut 57(6):828–835. https://doi.org/10.1136/gut.2007.139477

    Article  PubMed  CAS  Google Scholar 

  47. Vilgrain V, Lewin M, Vons C, et al. (1999) Hepatic nodules in Budd–Chiari syndrome: imaging features. Radiology 210(2):443–450. https://doi.org/10.1148/radiology.210.2.r99fe13443

    Article  PubMed  CAS  Google Scholar 

  48. Choi JY, Lee HC, Yim JH, et al. (2011) Focal nodular hyperplasia or focal nodular hyperplasia-like lesions of the liver: a special emphasis on diagnosis. J Gastroenterol Hepatol 26(6):1004–1009. https://doi.org/10.1111/j.1440-1746.2011.06659.x

    Article  PubMed  Google Scholar 

  49. Wells ML, Venkatesh SK (2017) Congestive hepatopathy. Abdom Radiol (NY) . https://doi.org/10.1007/s00261-017-1387-x

    Article  Google Scholar 

  50. Wells ML, Hough DM, Fidler JL, et al. (2017) Benign nodules in post-Fontan livers can show imaging features considered diagnostic for hepatocellular carcinoma. Abdom Radiol (NY) 42(11):2623–2631. https://doi.org/10.1007/s00261-017-1181-9

    Article  Google Scholar 

Download references

Author information

Affiliations

Authors

Corresponding author

Correspondence to Maxime Ronot.

Ethics declarations

Funding

None.

Conflict of interest

Morgane Van Wettere declares that she has no conflict of interest. Onorina Bruno declares that she has no conflict of interest. Pierre-Emmanuel Rautou declares that he has no conflict of interest. Valérie Vilgrain declares that she has no conflict of interest. Maxime Ronot declares that he has no conflict of interest.

Rights and permissions

Reprints and Permissions

About this article

Verify currency and authenticity via CrossMark

Cite this article

Van Wettere, M., Bruno, O., Rautou, PE. et al. Diagnosis of Budd–Chiari syndrome. Abdom Radiol 43, 1896–1907 (2018). https://doi.org/10.1007/s00261-017-1447-2

Download citation

  • Published:

  • Issue Date:

  • DOI: https://doi.org/10.1007/s00261-017-1447-2

Keywords

  • Vascular liver disorder
  • Prothrombotic state
  • Vein
  • Thrombosis