Skip to main content

Contrast-enhanced ultrasound of benign liver lesions

Abstract

Liver lesions are often incidentally detected on ultrasound examination and may be incompletely characterized, requiring further imaging. Contrast-enhanced ultrasound (CEUS) was recently approved by the Food and Drug Administration in the United States for liver lesion characterization. CEUS has the ability to characterize focal liver lesions and has been shown to be superior to color Doppler and power Doppler ultrasound in the detection of tumor vascularity. Differentiating benign from malignant liver lesions is essential to characterizing liver lesions. The CEUS imaging characteristics of benign liver lesions are reviewed, including hepatic cysts, hemangiomas, focal fat, focal nodular hyperplasia, hepatocellular adenomas, abscesses, and traumatic lesions.

This is a preview of subscription content, access via your institution.

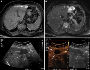
Fig. 1
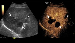
Fig. 2
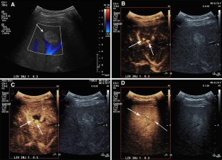
Fig. 3
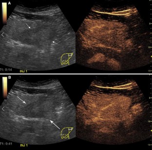
Fig. 4
Fig. 5
Fig. 6
Fig. 7
Fig. 8
Fig. 9
Fig. 10

References

  1. Strobel D, Krodel U, Martus P, Hahn EG, Becker D (2000) Clinical evaluation of contrast-enhanced color Doppler sonography in the differential diagnosis of liver tumors. J Clin Ultrasound: JCU 28(1):1–13

    CAS  Article  PubMed  Google Scholar 

  2. Claudon M, Dietrich CF, Choi BI, et al. (2013) Guidelines and good clinical practice recommendations for contrast enhanced ultrasound (CEUS) in the liver–update 2012: a WFUMB-EFSUMB initiative in cooperation with representatives of AFSUMB, AIUM, ASUM, FLAUS and ICUS. Ultraschall Med 34(1):11–29. https://doi.org/10.1055/s-0032-1325499

    CAS  PubMed  Google Scholar 

  3. D’Onofrio M, Crosara S, De Robertis R, Canestrini S, Mucelli RP (2015) Contrast-enhanced ultrasound of focal liver lesions. AJR Am J Roentgenol. 205(1):W56–W66. https://doi.org/10.2214/ajr.14.14203

    Article  PubMed  Google Scholar 

  4. Nicolau C, Vilana R, Catala V, et al. (2006) Importance of evaluating all vascular phases on contrast-enhanced sonography in the differentiation of benign from malignant focal liver lesions. AJR Am J Roentgenol 186(1):158–167. https://doi.org/10.2214/ajr.04.1009

    Article  PubMed  Google Scholar 

  5. Wilson SR, Burns PN (2006) An algorithm for the diagnosis of focal liver masses using microbubble contrast-enhanced pulse-inversion sonography. AJR Am J Roentgenol 186(5):1401–1412. https://doi.org/10.2214/ajr.04.1920

    Article  PubMed  Google Scholar 

  6. Quaia E, Calliada F, Bertolotto M, et al. (2004) Characterization of focal liver lesions with contrast-specific US modes and a sulfur hexafluoride-filled microbubble contrast agent: diagnostic performance and confidence. Radiology 232(2):420–430. https://doi.org/10.1148/radiol.2322031401

    Article  PubMed  Google Scholar 

  7. Kim TK, Jang HJ, Burns PN, Murphy-Lavallee J, Wilson SR (2008) Focal nodular hyperplasia and hepatic adenoma: differentiation with low-mechanical-index contrast-enhanced sonography. AJR Am J Roentgenol 190(1):58–66. https://doi.org/10.2214/ajr.07.2493

    Article  PubMed  Google Scholar 

  8. Dietrich CF, Schuessler G, Trojan J, Fellbaum C, Ignee A (2005) Differentiation of focal nodular hyperplasia and hepatocellular adenoma by contrast-enhanced ultrasound. Br J Radiol 78(932):704–707. https://doi.org/10.1259/bjr/88181612

    CAS  Article  PubMed  Google Scholar 

  9. Lin MX, Xu HX, Lu MD, et al. (2009) Diagnostic performance of contrast-enhanced ultrasound for complex cystic focal liver lesions: blinded reader study. Eur Radiol 19(2):358–369. https://doi.org/10.1007/s00330-008-1166-8

    Article  PubMed  Google Scholar 

  10. Corvino A, Catalano O, Setola SV, et al. (2015) Contrast-enhanced ultrasound in the characterization of complex cystic focal liver lesions. Ultrasound Med Biol 41(5):1301–1310. https://doi.org/10.1016/j.ultrasmedbio.2014.12.667

    CAS  Article  PubMed  Google Scholar 

  11. Catalano O, Sandomenico F, Raso MM, Siani A (2004) Low mechanical index contrast-enhanced sonographic findings of pyogenic hepatic abscesses. AJR Am J Roentgenol 182(2):447–450. https://doi.org/10.2214/ajr.182.2.1820447

    Article  PubMed  Google Scholar 

  12. Lantinga MA, Gevers TJ, Drenth JP (2013) Evaluation of hepatic cystic lesions. World J Gastroenterol 19(23):3543–3554. https://doi.org/10.3748/wjg.v19.i23.3543

    Article  PubMed  PubMed Central  Google Scholar 

  13. Lee JY, Choi BI, Han JK, et al. (2002) Improved sonographic imaging of hepatic hemangioma with contrast-enhanced coded harmonic angiography: comparison with MR imaging. Ultrasound Med Biol 28(3):287–295

    Article  PubMed  Google Scholar 

  14. Dietrich CF, Mertens JC, Braden B, et al. (2007) Contrast-enhanced ultrasound of histologically proven liver hemangiomas. Hepatology (Baltimore, Md) 45(5):1139–1145. https://doi.org/10.1002/hep.21615

    Article  Google Scholar 

  15. Sirli RSI, Popescu A, Danila M, et al. (2011) Contrast enhanced ultrasound for the diagnosis of liver hemangiomas in clinical practice. Med Ultrason 13(2):95–101

    PubMed  Google Scholar 

  16. Venkatesh SK, Hennedige T, Johnson GB, Hough DM, Fletcher JG (2017) Imaging patterns and focal lesions in fatty liver: a pictorial review. Abdom Radiol (N Y). 42(5):1374–1392. https://doi.org/10.1007/s00261-016-1002-6

    Article  Google Scholar 

  17. Valls C, Iannacconne R, Alba E, et al. (2006) Fat in the liver: diagnosis and characterization. Eur Radiol 16(10):2292–2308. https://doi.org/10.1007/s00330-006-0146-0

    Article  PubMed  Google Scholar 

  18. Merkle EMNR (2006) Dual gradient-echo in-phase and opposed-phase hepatic mr imaging: a useful tool for evaluating more than fatty infiltration or fatty sparing. Radiographics 26(5):1409–1418

    Article  PubMed  Google Scholar 

  19. Quinn SF, Gosink BB (1985) Characteristic sonographic signs of hepatic fatty infiltration. AJR Am J Roentgenol 145(4):753–755. https://doi.org/10.2214/ajr.145.4.753

    CAS  Article  PubMed  Google Scholar 

  20. Jang JK, Jang H-J, Kim JS, Kim TK (2017) Focal fat deposition in the liver: diagnostic challenges on imaging. Abdom Radiol 42(6):1667–1678. https://doi.org/10.1007/s00261-017-1049-z

    Article  Google Scholar 

  21. Shiozawa K, Watanabe M, Ikehara T, et al. (2014) Evaluation of hemodynamics in focal steatosis and focal spared lesion of the liver using contrast-enhanced ultrasonography with sonazoid. Radiol Res Pract 2014:604594. https://doi.org/10.1155/2014/604594

    PubMed  PubMed Central  Google Scholar 

  22. Liu LP, Dong BW, Yu XL, et al. (2008) Evaluation of focal fatty infiltration of the liver using color Doppler and contrast-enhanced sonography. J Clin Ultrasound: JCU. 36(9):560–566. https://doi.org/10.1002/jcu.20507

    Article  PubMed  Google Scholar 

  23. Maillette de Buy Wenniger, Terpstra V, Beuers U (2010) Focal nodular hyperplasia and hepatic adenoma: epidemiology and pathology. Dig Surg 27(1):24–31. https://doi.org/10.1159/000268404

    Article  PubMed  Google Scholar 

  24. Buetow PC, Pantongrag-Brown L, Buck JL, Ros PR, Goodman ZD (1996) Focal nodular hyperplasia of the liver: radiologic-pathologic correlation. Radiographics 16(2):369–388

    CAS  Article  PubMed  Google Scholar 

  25. Bartolotta TV, Taibbi A, Galia M, et al. (2007) Characterization of hypoechoic focal hepatic lesions in patients with fatty liver: diagnostic performance and confidence of contrast-enhanced ultrasound. Eur Radiol 17(3):650–661. https://doi.org/10.1007/s00330-006-0432-x

    Article  PubMed  Google Scholar 

  26. Yen YH, Wang JH, Lu SN, et al. (2006) Contrast-enhanced ultrasonographic spoke-wheel sign in hepatic focal nodular hyperplasia. Eur J Radiol 60(3):439–444. https://doi.org/10.1016/j.ejrad.2006.06.007

    Article  PubMed  Google Scholar 

  27. Grazioli L, Morana G, Kirchin MA, Schneider G (2005) Accurate differentiation of focal nodular hyperplasia from hepatic adenoma at gadobenate dimeglumine-enhanced MR imaging: prospective study. Radiology 236(1):166–177. https://doi.org/10.1148/radiol.2361040338

    Article  PubMed  Google Scholar 

  28. Hussain SM, Terkivatan T, Zondervan PE, et al. (2004) Focal nodular hyperplasia: findings at state-of-the-art MR imaging, US, CT, and pathologic analysis. Radiographics 24(1):3–17 (discussion 8–9). https://doi.org/10.1148/rg.241035050

    Article  PubMed  Google Scholar 

  29. Zheng SG, Xu HX, Liu LN, et al. (2013) Parametric imaging with contrast-enhanced ultrasound: usefulness for characterization of dynamic effects of microvascularization for hepatocellular carcinoma and focal nodular hyperplasia. Clin Hemorheol Microcirc 55(3):375–389. https://doi.org/10.3233/ch-121652

    PubMed  Google Scholar 

  30. Kong WT, Wang WP, Huang BJ, et al. (2015) Contrast-enhanced ultrasound in combination with color Doppler ultrasound can improve the diagnostic performance of focal nodular hyperplasia and hepatocellular adenoma. Ultrasound Med Biol 41(4):944–951. https://doi.org/10.1016/j.ultrasmedbio.2014.11.012

    Article  PubMed  Google Scholar 

  31. Wang W, Chen LD, Lu MD, et al. (2013) Contrast-enhanced ultrasound features of histologically proven focal nodular hyperplasia: diagnostic performance compared with contrast-enhanced CT. Eur Radiol 23(9):2546–2554. https://doi.org/10.1007/s00330-013-2849-3

    Article  PubMed  Google Scholar 

  32. von Herbay A, Vogt C, Haussinger D (2002) Pulse inversion sonography in the early phase of the sonographic contrast agent Levovist: differentiation between benign and malignant focal liver lesions. J Ultrasound Med 21(11):1191–1200

    Article  Google Scholar 

  33. Roche V, Pigneur F, Tselikas L, et al. (2015) Differentiation of focal nodular hyperplasia from hepatocellular adenomas with low-mechanical-index contrast-enhanced sonography (CEUS): effect of size on diagnostic confidence. Eur Radiol 25(1):186–195. https://doi.org/10.1007/s00330-014-3363-y

    Article  PubMed  Google Scholar 

  34. van den Esschert JW, van Gulik TM, Phoa SS (2010) Imaging modalities for focal nodular hyperplasia and hepatocellular adenoma. Digest Surg 27(1):46–55. https://doi.org/10.1159/000268407

    Article  Google Scholar 

  35. Ganeshan D, Szklaruk J, Kundra V, et al. (2014) Imaging features of fibrolamellar hepatocellular carcinoma. Am J Roentgenol 202(3):544–552. https://doi.org/10.2214/AJR.13.11117

    Article  Google Scholar 

  36. Kondo Y (1985) Histologic features of hepatocellular carcinoma and allied disorders. Pathol Annu 20(Pt 2):405–430

    PubMed  Google Scholar 

  37. Yoshikawa J, Matsui O, Kadoya M, et al. (1992) Delayed enhancement of fibrotic areas in hepatic masses: CT-pathologic correlation. J Comput Assist Tomogr 16(2):206–211

    CAS  Article  PubMed  Google Scholar 

  38. Mathieu D, Bruneton JN, Drouillard J, Pointreau CC, Vasile N (1986) Hepatic adenomas and focal nodular hyperplasia: dynamic CT study. Radiology 160(1):53–58. https://doi.org/10.1148/radiology.160.1.3520655

    CAS  Article  PubMed  Google Scholar 

  39. Bioulac-Sage P, Rebouissou S, Thomas C, et al. (2007) Hepatocellular adenoma subtype classification using molecular markers and immunohistochemistry. Hepatology (Baltimore, Md) 46(3):740–748. https://doi.org/10.1002/hep.21743

    CAS  Article  Google Scholar 

  40. Katabathina VS, Menias CO, Shanbhogue AK, et al. (2011) Genetics and imaging of hepatocellular adenomas: 2011 update. Radiographics 31(6):1529–1543. https://doi.org/10.1148/rg.316115527

    Article  PubMed  Google Scholar 

  41. Laumonier H, Cailliez H, Balabaud C, et al. (2012) Role of contrast-enhanced sonography in differentiation of subtypes of hepatocellular adenoma: correlation with MRI findings. AJR Am J Roentgenol 199(2):341–348. https://doi.org/10.2214/ajr.11.7046

    Article  PubMed  Google Scholar 

  42. Manichon AF, Bancel B, Durieux-Millon M, et al. (2012) Hepatocellular adenoma: evaluation with contrast-enhanced ultrasound and MRI and correlation with pathologic and phenotypic classification in 26 lesions. HPB Surg 2012:418745. https://doi.org/10.1155/2012/418745

    Article  PubMed  PubMed Central  Google Scholar 

  43. Claudon M, Cosgrove D, Albrecht T, et al. (2008) Guidelines and good clinical practice recommendations for contrast enhanced ultrasound (CEUS)—update 2008. Ultraschall Med 29(1):28–44. https://doi.org/10.1055/s-2007-963785

    CAS  Article  PubMed  Google Scholar 

  44. Obaro AE, Ryan SM (2015) Benign liver lesions: grey-scale and contrast-enhanced ultrasound appearances. Ultrasound (Leeds, England) 23(2):116–125. https://doi.org/10.1177/1742271x15575805

    CAS  Article  Google Scholar 

  45. Liu GJLM, Xie XY, Xu HX, et al. (2008) Real-time contrast-enhanced ultrasound imaging of infected focal liver lesions. J. Ultrasound Med 27(4):657–666

    Article  PubMed  Google Scholar 

  46. Miele V, Buffa V, Stasolla A, et al. (2004) Contrast enhanced ultrasound with second generation contrast agent in traumatic liver lesions. La Radiol Med 108(1–2):82–91

    Google Scholar 

  47. Menichini G, Sessa B, Trinci M, Galluzzo M, Miele V (2015) Accuracy of contrast-enhanced ultrasound (CEUS) in the identification and characterization of traumatic solid organ lesions in children: a retrospective comparison with baseline US and CE-MDCT. La Radiol Med 120(11):989–1001. https://doi.org/10.1007/s11547-015-0535-z

    Article  Google Scholar 

  48. Miele V, Piccolo CL, Galluzzo M, et al. (2016) Contrast-enhanced ultrasound (CEUS) in blunt abdominal trauma. Br J Radiol. https://doi.org/10.1259/bjr.20150823

    Google Scholar 

  49. Durkin N, Deganello A, Sellars ME, et al. (2016) Post-traumatic liver and splenic pseudoaneurysms in children: diagnosis, management, and follow-up screening using contrast enhanced ultrasound (CEUS). J Pediatr Surg 51(2):289–292. https://doi.org/10.1016/j.jpedsurg.2015.10.074

    Article  PubMed  Google Scholar 

  50. Miele VPC, Galluzzo M, Ianniello S, Sessa B, Trinci M (2016) Contrast-enhanced ultrasound (CEUS) in blunt abdominal trauma. Br J Radiol. 121(5):409–430

    Google Scholar 

  51. Armstrong LB, Paltiel H, Barnewolt C, et al. (2017) Contrast enhanced ultrasound for the evaluation of blunt pediatric abdominal trauma. J Pediatr Surg. https://doi.org/10.1016/j.jpedsurg.2017.03.042

    Google Scholar 

Download references

Author information

Affiliations

Authors

Corresponding author

Correspondence to Jessica G. Zarzour.

Ethics declarations

Conflict of interest

The authors have no conflicts of interest to declare.

Ethical approval

This article does not contain any studies with human participants or animals performed by any of the authors.

Informed consent

Informed consent was waived for the purposes of this review article.

Rights and permissions

Reprints and Permissions

About this article

Verify currency and authenticity via CrossMark

Cite this article

Zarzour, J.G., Porter, K.K., Tchelepi, H. et al. Contrast-enhanced ultrasound of benign liver lesions. Abdom Radiol 43, 848–860 (2018). https://doi.org/10.1007/s00261-017-1402-2

Download citation

  • Published:

  • Issue Date:

  • DOI: https://doi.org/10.1007/s00261-017-1402-2

Keywords

  • Contrast-enhanced ultrasound
  • Liver lesions
  • Benign
  • FNH
  • Adenoma
  • Cyst
  • Abscess
  • Hemangioma