Skip to main content

LI-RADS categories: concepts, definitions, and criteria

Abstract

The Liver Imaging Reporting and Data System (LI-RADS) was created to provide a standardized way to both assess and communicate the likelihood of benignity or malignancy of observations seen in patients at risk for development of hepatocellular carcinoma (HCC). The LI-RADS categories allow radiologists to convey the full spectrum of concern for malignancy, from definitely benign to definitely HCC. Additional categories are available for non-categorizable observations, observations that are concerning for a non-HCC malignancy, and the presence of tumor in vein. The goal of this paper is to discuss the LI-RADS categories, including criteria for each category, and point out changes to the categories from prior versions of LI-RADS.

This is a preview of subscription content, access via your institution.

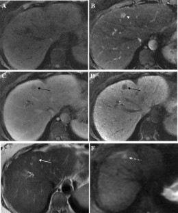
Fig. 1
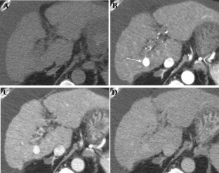
Fig. 2
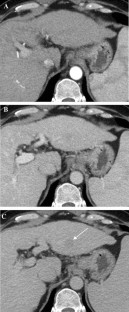
Fig. 3
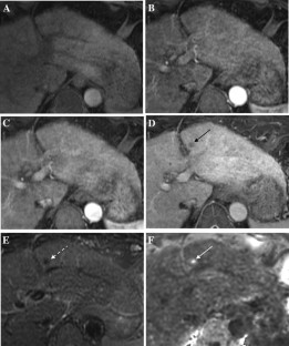
Fig. 4
Fig. 5
Fig. 6
Fig. 7
Fig. 8
Fig. 9

References

  1. American College of Radiology (2017). Liver imaging reporting and data system version 2017. http://www.acr.org/Quality-Safety/Resources/LIRADS. Accessed date on August 2017

  2. Kielar A, et al. (2017) Locoregional therapies for hepatocellular carcinoma and the new LI-RADS treatment response algorithm. Abdom Radiol (NY). doi:10.1007/s00261-017-1281-6

    Google Scholar 

  3. Choi SH, et al. (2016) Liver Imaging Reporting and Data System v2014 with gadoxetate disodium-enhanced magnetic resonance imaging: validation of LI-RADS category 4 and 5 criteria. Invest Radiol 51(8):483–490

    CAS  Article  PubMed  Google Scholar 

  4. Cruite I, Tang A, Sirlin CB (2013) Imaging-based diagnostic systems for hepatocellular carcinoma. AJR Am J Roentgenol 201(1):41–55

    Article  PubMed  Google Scholar 

  5. Wiesner RH, Freeman RB, Mulligan DC (2004) Liver transplantation for hepatocellular cancer: the impact of the MELD allocation policy. Gastroenterology 127(5 Suppl 1):S261–S267

    Article  PubMed  Google Scholar 

  6. Bruix J, Sherman M, American D (2011) Association for the Study of Liver, Management of hepatocellular carcinoma: an update. Hepatology 53(3):1020–1022

    Article  PubMed  PubMed Central  Google Scholar 

  7. Darnell A, et al. (2015) Liver Imaging Reporting and Data System with MR imaging: evaluation in nodules 20 mm or smaller detected in cirrhosis at screening US. Radiology 275(3):698–707

    Article  PubMed  Google Scholar 

  8. Fowler KJ, et al. (2017) LI-RADS M (LR-M): definite or probable malignancy, not specific for hepatocellular carcinoma. Abdom Radiol. doi:10.1007/s00261-017-1196-2

    Google Scholar 

Download references

Author information

Affiliations

Authors

Corresponding author

Correspondence to Cynthia Santillan.

Ethics declarations

Funding

This study was not supported by a grant.

Conflicts of interest

Cynthia Santillan and Victoria Chernyak declared that they have no conflict of interest. Claude Sirlin receives grant funding from Bayer, Guerbet, Siemens, General Electric, Supersonic, and Arterys. He has consulting and service agreements with Alexion, AstraZeneca, Bioclinica, BMS, Bracco, Celgene, Fibrogen, Galmed, Genentech, Genzyme, Gilead, Icon, Intercept, Isis, Janssen, NuSirt, Perspectum, Pfizer, Profil, Sanofi, Shire, Synageva, Tobira, Takeda, and Virtual Scopics.

Ethical approval

This article does not contain any studies with human participants performed by any of the authors.

Rights and permissions

Reprints and Permissions

About this article

Verify currency and authenticity via CrossMark

Cite this article

Santillan, C., Chernyak, V. & Sirlin, C. LI-RADS categories: concepts, definitions, and criteria. Abdom Radiol 43, 101–110 (2018). https://doi.org/10.1007/s00261-017-1334-x

Download citation

  • Published:

  • Issue Date:

  • DOI: https://doi.org/10.1007/s00261-017-1334-x

Keywords

  • Hepatocellular carcinoma
  • Liver
  • MRI
  • CT
  • LI-RADS
  • Categories