Skip to main content

LI-RADS major features: CT, MRI with extracellular agents, and MRI with hepatobiliary agents

Abstract

The Liver Imaging Reporting and Data System (LI-RADS) was designed to standardize the interpretation and reporting of observations seen on studies performed in patients at risk for development of hepatocellular carcinoma (HCC). The LI-RADS algorithm guides radiologists through the process of categorizing observations on a spectrum from definitely benign to definitely HCC. Major features are the imaging features used to categorize observations as LI-RADS 3 (intermediate probability of malignancy), LIRADS 4 (probably HCC), and LI-RADS 5 (definite HCC). Major features include arterial phase hyperenhancement, washout appearance, enhancing capsule appearance, size, and threshold growth. Observations that have few major criteria are assigned lower categories than those that have several, with the goal of preserving high specificity for the LR-5 category of Definite HCC. The goal of this paper is to discuss LI-RADS major features, including definitions, rationale for selection as major features, and imaging examples.

This is a preview of subscription content, access via your institution.

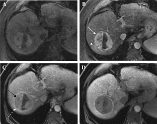
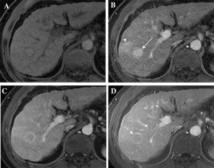
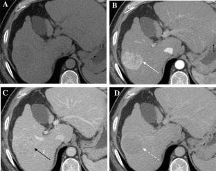
Fig. 1
Fig. 2
Fig. 3
Fig. 4
Fig. 5
Fig. 6

References

  1. Kono Y (2017) CEUS LI-RADS: algorithm, implementation, and key differences from CT/MRI. Abdom Radiol. doi:10.1007/s00261-017-1250-0

    Google Scholar 

  2. Chernyak V, et al. (2017) LI-RADS® ancillary features on CT and MRI. Abdom Radiol. doi:10.1007/s00261-017-1220-6

    Google Scholar 

  3. American College of Radiology. Liver Imaging Reporting and Data System version 2017 (cited 2017 August). http://www.acr.org/Quality-Safety/Resources/LIRADS

  4. Bruix J, Sherman M, American D (2011) Association for the Study of Liver, Management of hepatocellular carcinoma: an update. Hepatology 53(3):1020–1022

    Article  PubMed  PubMed Central  Google Scholar 

  5. Wald C, et al. (2013) New OPTN/UNOS policy for liver transplant allocation: standardization of liver imaging, diagnosis, classification, and reporting of hepatocellular carcinoma. Radiology 266(2):376–382

    Article  PubMed  Google Scholar 

  6. Choi JW, et al. (2013) Hepatocellular carcinoma: imaging patterns on gadoxetic acid-enhanced MR images and their value as an imaging biomarker. Radiology 267(3):776–786

    Article  PubMed  Google Scholar 

  7. Hanna RF, et al. (2008) Cirrhosis-associated hepatocellular nodules: correlation of histopathologic and MR imaging features. Radiographics 28(3):747–769

    Article  PubMed  Google Scholar 

  8. European Association for the Study of the Liver, R. European Organisation for Research and Treatment of Cancer (2012) EASL-EORTC clinical practice guidelines: management of hepatocellular carcinoma. J Hepatol 56(4):908–943

    Article  Google Scholar 

  9. Matsui O, et al. (2011) Hepatocelluar nodules in liver cirrhosis: hemodynamic evaluation (angiography-assisted CT) with special reference to multi-step hepatocarcinogenesis. Abdom Imaging 36(3):264–272

    Article  PubMed  PubMed Central  Google Scholar 

  10. Muto J, et al. (2015) Review of angiogenesis in hepatocellular carcinoma. Hepatol Res 45(1):1–9

    Article  PubMed  Google Scholar 

  11. Li R, Cai P, Ma KS, et al. (2016) Dynamic enhancement patterns of intrahepatic cholangiocarcinoma in cirrhosis on contrast-enhanced computed tomography: risk of misdiagnosis as hepatocellular carcinoma. Sci Rep 26(6):267–272

    Google Scholar 

  12. Iavarone M, Piscaglia F, Vavassori S, et al. (2013) Contrast enhanced CT-scan to diagnose intrahepatic cholangiocarcinoma in patients with cirrhosis. J Hepatol 58(6):1188–1193

    Article  PubMed  Google Scholar 

  13. Chen LD, Xu H, Xie XY, et al. (2008) Enhancement patterns of intrahepatic cholangiocarcinoma: comparison between contrast-enhanced ultrasound and contrast-enhanced CT. Br J Radiol 81(971):881–889

    Article  PubMed  Google Scholar 

  14. Zhao YJ, Chen W, Wu DS, Zhang WY, Zheng LR (2016) Differentiation of mass-forming intrahepatic cholangiocarcinoma from poorly differentiated hepatocellular carcinoma: based on the multivariate analysis of contrast-enhanced computed tomography findings. Abdom Radiol 41(5):978–989

    Article  Google Scholar 

  15. Liu YI, et al. (2013) Quantitatively defining washout in hepatocellular carcinoma. AJR Am J Roentgenol 200(1):84–89

    Article  PubMed  Google Scholar 

  16. Pawlik TM, et al. (2005) Tumor size predicts vascular invasion and histologic grade: implications for selection of surgical treatment for hepatocellular carcinoma. Liver Transpl 11(9):1086–1092

    Article  PubMed  Google Scholar 

  17. Forner A, et al. (2008) Diagnosis of hepatic nodules 20 mm or smaller in cirrhosis: prospective validation of the noninvasive diagnostic criteria for hepatocellular carcinoma. Hepatology 47(1):97–104

    Article  PubMed  Google Scholar 

  18. Choi JY, Lee JM, Sirlin CB (2014) CT and MR imaging diagnosis and staging of hepatocellular carcinoma: part II. Extracellular agents, hepatobiliary agents, and ancillary imaging features. Radiology 273(1):30–50

    Article  PubMed  PubMed Central  Google Scholar 

  19. Kelekis NL, et al. (1998) Hepatocellular carcinoma in North America: a multiinstitutional study of appearance on T1-weighted, T2-weighted, and serial gadolinium-enhanced gradient-echo images. AJR Am J Roentgenol 170(4):1005–1013

    CAS  Article  PubMed  Google Scholar 

  20. Freeny PC, Baron RL, Teefey SA (1992) Hepatocellular carcinoma: reduced frequency of typical findings with dynamic contrast-enhanced CT in a non-Asian population. Radiology 182(1):143–148

    CAS  Article  PubMed  Google Scholar 

  21. Kadoya M, et al. (1992) Hepatocellular carcinoma: correlation of MR imaging and histopathologic findings. Radiology 183(3):819–825

    CAS  Article  PubMed  Google Scholar 

  22. Choi JY, Lee JM, Sirlin CB (2014) CT and MR imaging diagnosis and staging of hepatocellular carcinoma: part I. Development, growth, and spread: key pathologic and imaging aspects. Radiology 272(3):635–654

    Article  PubMed  PubMed Central  Google Scholar 

  23. Jeong YY, Mitchell DG, Kamishima T (2002) Small (< 20 mm) enhancing hepatic nodules seen on arterial phase MR imaging of the cirrhotic liver: clinical implications. AJR Am J Roentgenol 178(6):1327–1334

    Article  PubMed  Google Scholar 

  24. Taouli B, et al. (2005) Growth rate of hepatocellular carcinoma: evaluation with serial computed tomography or magnetic resonance imaging. J Comput Assist Tomogr 29(4):425–429

    Article  PubMed  Google Scholar 

  25. Kubota K, et al. (2003) Growth rate of primary single hepatocellular carcinoma: determining optimal screening interval with contrast enhanced computed tomography. Dig Dis Sci 48(3):581–586

    Article  PubMed  Google Scholar 

Download references

Author information

Affiliations

Authors

Corresponding author

Correspondence to Cynthia Santillan.

Ethics declarations

This study was not supported by a grant.

Conflict of interest

Cynthia Santillan, Kathryn Fowler, and Victoria Chernyak declare that they have no conflict of interest. Yuko Kono has received grant support from Toshiba Medical Systems Co, contrast agent support from Lantheus Medical Imaging Inc, and equipment support from GE Healthcare and Philips Ultrasound.

Ethical approval

This article does not contain any studies with human participants performed by any of the authors.

Rights and permissions

Reprints and Permissions

About this article

Verify currency and authenticity via CrossMark

Cite this article

Santillan, C., Fowler, K., Kono, Y. et al. LI-RADS major features: CT, MRI with extracellular agents, and MRI with hepatobiliary agents. Abdom Radiol 43, 75–81 (2018). https://doi.org/10.1007/s00261-017-1291-4

Download citation

  • Published:

  • Issue Date:

  • DOI: https://doi.org/10.1007/s00261-017-1291-4

Keywords

  • Hepatocellular carcinoma
  • Liver
  • MRI
  • CT
  • LI-RADS