Skip to main content

Pancreaticoduodenectomy with venous resection and reconstruction: current surgical techniques and associated postoperative imaging findings

Abstract

Purpose

Introduction of effective neoadjuvant therapy for pancreas cancer has resulted in complex and aggressive operations involving vasculature resection. This results in complicated postoperative CT appearance of vasculature, which in addition to high rate of recurrence makes interpretation of imaging difficult. The aim of this study was to identify patterns of postoperative appearance of portal vein-superior mesenteric vein complex (PV-SMV).

Methods

A retrospective study was conducted on patients undergoing pancreaticoduodenectomy with PV-SMV resection and reconstruction (PVR) between 2004 and 2014. Clinicopathological data were collected from a prospectively maintained database. Postoperative CT scans were reviewed to identify patterns of venous and perivenous features.

Results

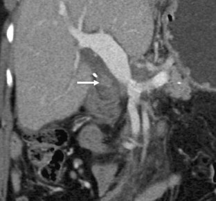
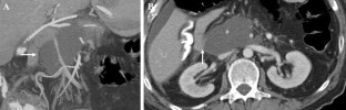
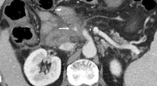
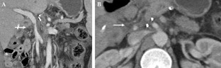
The mean age, of 70 patients included in the study, was 63.0 ± 12.2 years and 37 (52.9%) were males. The median time between surgery and postoperative scan was 10 days (IQR 7–25). Tangential resection with PVR via primary closure or use of a patch was performed in 37 (52.9%) patients while the rest underwent segmental resection with PVR via end-to-end anastomosis or use of a graft. Postoperative patterns of PV-SMV included concentric narrowing (N = 40, 57.1%), eccentric narrowing (N = 19, 27.1%) or partial venous thrombosis (N = 7, 10.0%). Perivenous features included perivenous fluid collection and induration (N = 57, 81.4%) and mass-like soft tissue thickening (N = 13, 18.6%). Long-term follow-up was available on 44 (62.9%) patients of which 28 (63.6%) demonstrated no recurrence of disease.

Conclusion

This is a novel study that identifies and categorizes postoperative features of PV-SMV after PVR. These features overlap with those of disease recurrence and their better understanding can results in an accurate interpretation of postoperative imaging.

This is a preview of subscription content, access via your institution.

Fig. 1
Fig. 2
Fig. 3
Fig. 4
Fig. 5
Fig. 6
Fig. 7
Fig. 8
Fig. 9
Fig. 10
Fig. 11
Fig. 12
Fig. 13
Fig. 14
Fig. 15
Fig.16
Fig. 17
Fig. 18

References

  1. National Cancer Institute. Bethesda M SEER Cancer Statistics Factsheets: Pancreas cancer.

  2. Wolfgang CL, Herman JM, Laheru DA, et al. (2013) Recent progress in pancreatic cancer. CA 63(5):318–348. doi:10.3322/caac.21190

    PubMed  PubMed Central  Google Scholar 

  3. Callery MP, Chang KJ, Fishman EK, et al. (2009) Pretreatment assessment of resectable and borderline resectable pancreatic cancer: expert consensus statement. Ann Surg Oncol 16(7):1727–1733. doi:10.1245/s10434-009-0408-6

    Article  PubMed  Google Scholar 

  4. Castleberry AW, White RR, De La Fuente SG, et al. (2012) The impact of vascular resection on early postoperative outcomes after pancreaticoduodenectomy: an analysis of the American College of Surgeons National Surgical Quality Improvement Program database. Ann Surg Oncol 19(13):4068–4077. doi:10.1245/s10434-012-2585-y

    Article  PubMed  Google Scholar 

  5. Tseng JF, Raut CP, Lee JE, et al. (2004) Pancreaticoduodenectomy with vascular resection: margin status and survival duration. J Gastroint Surg 8(8):935–949 (discussion 949–950). doi:10.1016/j.gassur.2004.09.046

    Article  Google Scholar 

  6. Tempero MA, Malafa MP, Behrman SW, et al. (2014) Pancreatic adenocarcinoma, version 2.2014: featured updates to the NCCN guidelines. J Nat Comp Cancer Netw 12(8):1083–1093

    CAS  Article  Google Scholar 

  7. Dua MM, Tran TB, Klausner J, et al. (2015) Pancreatectomy with vein reconstruction: technique matters. HPB 17(9):824–831. doi:10.1111/hpb.12463

    Article  PubMed  PubMed Central  Google Scholar 

  8. Wolfgang CL, Corl F, Johnson PT, et al. (2011) Pancreatic surgery for the radiologist, 2011: an illustrated review of classic and newer surgical techniques for pancreatic tumor resection. AJR Am J Roentgenol 197(6):1343–1350. doi:10.2214/AJR.10.5311

    Article  PubMed  Google Scholar 

  9. Raman SP, Horton KM, Cameron JL, Fishman EK (2013) CT after pancreaticoduodenectomy: spectrum of normal findings and complications. AJR Am J Roentgenol 201(1):2–13. doi:10.2214/AJR.12.9647

    Article  PubMed  Google Scholar 

  10. Bluemke DA, Abrams RA, Yeo CJ, Cameron JL, Fishman EK (1997) Recurrent pancreatic adenocarcinoma: spiral CT evaluation following the Whipple procedure. Radiographics 17(2):303–313. doi:10.1148/radiographics.17.2.9084073

    CAS  Article  PubMed  Google Scholar 

  11. Kim JK, Ha HK, Han DJ, Auh YH (2003) CT analysis of postoperative tumor recurrence patterns in periampullary cancer. Abdom Imaging 28(3):384–391. doi:10.1007/s00261-002-0048-9

    CAS  Article  PubMed  Google Scholar 

  12. Ponziani FR, Zocco MA, Campanale C, et al. (2010) Portal vein thrombosis: insight into physiopathology, diagnosis, and treatment. World J Gastroenterol 16(2):143–155

    Article  PubMed  PubMed Central  Google Scholar 

Download references

Author information

Affiliations

Authors

Corresponding author

Correspondence to Elliot K. Fishman.

Ethics declarations

Funding

No funding was required to perform this study.

Conflict of interest

Author Ammar A. Javed declares that he has no conflict of interest. Author Karen Bleich declares that he has no conflict of interest. Author Fabio Bagante declares that he has no conflict of interest. Author Jin He declares that he has no conflict of interest. Author Matthew J. Weiss declares that he has no conflict of interest. Author Christopher L. Wolfgang declares that he has no conflict of interest. Author Elliot K. Fishman declares that he has no conflict of interest.

Ethical approval

This was a retrospective study that was approved by the Institutional Review Board for Human Research and complied with all Health Insurance Portability and Accountability Act regulations.

Rights and permissions

Reprints and Permissions

About this article

Verify currency and authenticity via CrossMark

Cite this article

Javed, A.A., Bleich, K., Bagante, F. et al. Pancreaticoduodenectomy with venous resection and reconstruction: current surgical techniques and associated postoperative imaging findings. Abdom Radiol 43, 1193–1203 (2018). https://doi.org/10.1007/s00261-017-1290-5

Download citation

  • Published:

  • Issue Date:

  • DOI: https://doi.org/10.1007/s00261-017-1290-5

Keywords

  • Pancreaticoduodenectomy
  • Portal vein resection and reconstruction
  • PV-SMV complex
  • Vascular structure
  • Recurrence of pancreas cancer