Skip to main content

The “eggplant penis” sign

This is a preview of subscription content, access via your institution.

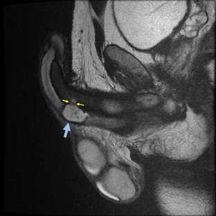
Fig. 1
Fig. 2
Fig. 3
Fig. 4

Image credit: Arumugam Rajesh, Postgraduate School of Radiology, East Midlands University Hospitals of Leicester NHS Trust

References

  1. Hartman RJ (2015) Images in clinical medicine: penile fracture. N Engl J Med 372:1055

    Article  PubMed  Google Scholar 

  2. Jack GS, Garraway I, Reznichek R, Rajfer J (2004) Current treatment options for penile fractures. Rev Urol 6:114–120

    PubMed  PubMed Central  Google Scholar 

Download references

Author information

Affiliations

Authors

Corresponding author

Correspondence to Pat W. Whitworth III.

Ethics declarations

Funding

No funding was utilized for this article.

Conflict of Interest

Pat Whitworth, Parvati Ramchandani, and Raymond Dyer declare that they have no conflict of interest.

Ethical approval

This article does not contain any studies with human participants or animals performed by any of the authors.

Rights and permissions

Reprints and Permissions

About this article

Verify currency and authenticity via CrossMark

Cite this article

Whitworth, P.W., Ramchandani, P. & Dyer, R.B. The “eggplant penis” sign. Abdom Radiol 42, 332–333 (2017). https://doi.org/10.1007/s00261-016-0853-1

Download citation

  • Published:

  • Issue Date:

  • DOI: https://doi.org/10.1007/s00261-016-0853-1

Keywords

  • Public Health
  • Physical Examination
  • Erectile Dysfunction
  • Physical Appearance
  • Corpus Cavernosa