Skip to main content

MRI evaluation of complex renal cysts using the Bosniak classification: a comparison to CT

Abstract

Purpose

The purpose of this study was to compare the ability of magnetic resonance imaging (MRI) and computed tomography (CT) to discriminate between benign and malignant cystic renal lesions utilizing the Bosniak classification.

Materials and Methods

We retrospectively searched our Radiological Information System using renal/kidney cysts as entries. The search retrieved 2929 patients and 525 complex renal cysts. After exclusions, 42 complex cysts, from 37 patients, with CT and MRI, up to six months apart, were included. Surgery and pathology report and follow-up of at least 24 months were used as a standard of reference.

Results

The mean age of patients was 51.4 years, ranging from 11 to 82 years old. Twenty-nine lesions were classified as Bosniak I, II or II-F by CT and/or MRI and 13 as Bosniak III or IV, by one of the methods. The interobserver agreement for Bosniak classification for CT was 0.87 and 0.93 for MRI. Fifteen lesions had higher Bosniak categories on MRI, included six with change in management. Only two lesions had a higher category on CT, one with change in management. The frequency of malignancy for Bosniak III was 50 % (2/4) for CT and 20% for MRI (1/5), as Bosniak upgrades by MRI resulted in surgery for benign lesions. Both methods had 100 % frequency of malignancy for category 4.

Conclusion

MRI led to category migration and management change of complex renal cysts in a significant proportion of cases, likely due to its superior soft tissue and contrast resolution. The impact of MRI on detection and outcomes of malignant complex renal cysts still requires further investigation.

This is a preview of subscription content, access via your institution.

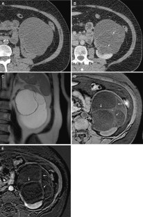
Fig. 1
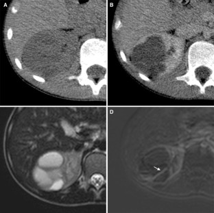
Fig. 2
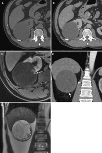
Fig. 3
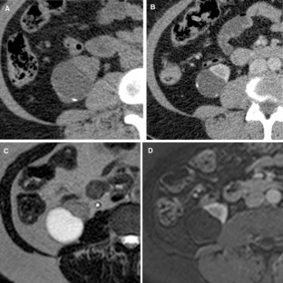
Fig. 4

References

  1. Bosniak MA (1986) The current radiological approach to renal cysts. Radiology 158:1–10

    CAS  Article  PubMed  Google Scholar 

  2. Bosniak MA (1993) Problems in the radiologic diagnosis of renal parenchymal tumors. Urol Clin N Am 20:217–230

    CAS  Google Scholar 

  3. Bosniak MA (1997) Diagnosis and management of patients with complicated cystic lesions of the kidney. AJR Am J Roentgenol 169:819–821

    CAS  Article  PubMed  Google Scholar 

  4. Bosniak MA (1997) The use of the Bosniak classification system for renal cysts and cystic tumors. J Urol 157:1852–1853

    CAS  Article  PubMed  Google Scholar 

  5. Israel GM, Bosniak MA (2005) An update of the Bosniak renal cyst classification system. Urology 66:484–488

    Article  PubMed  Google Scholar 

  6. Wilson TE, Doelle EA, Cohan RH, et al. (1996) Cystic renal masses: a reevaluation of the usefulness of the Bosniak classification system. Acad Radiol 3:564–570

    CAS  Article  PubMed  Google Scholar 

  7. Ascenti G, Mazziotti S, Zimbaro G, et al. (2007) Complex cystic renal masses: characterization with contrast-enhanced US. Radiology 243:158–165

    Article  PubMed  Google Scholar 

  8. Park BK, Kim B, Kim SH, et al. (2007) Assessment of cystic renal masses based on Bosniak classification: comparison of CT and contrast-enhanced US. Eur J Radiol 61:310–314

    Article  PubMed  Google Scholar 

  9. Israel GM, Hindman N, Bosniak MA (2004) Evaluation of cystic renal masses: comparison of CT and MR imaging by using the Bosniak classification system. Radiology 231:365–371

    Article  PubMed  Google Scholar 

  10. Kim WB, Lee SW, Doo SW, et al. (2012) Category migration of renal cystic masses with use of gadolinium-enhanced magnetic resonance imaging. Korean J Urol 53:573–576

    Article  PubMed  PubMed Central  Google Scholar 

  11. Yamazaki Y, Toma H, Nakazawa H, et al. (1992) Evaluation of complicated renal cyst: a comparison of CT and MR imaging. Hinyokika Kiyo 38:635–640

    CAS  PubMed  Google Scholar 

  12. Graumann O, Oster SS, Karstoft J, Horlick A, Oster PJS (2015) Bosniak classification system: a prospective comparison of CT, contrast-enhanced US, and MR for categorizing complex renal cystic masses. Acta Radiol . doi:10.1177/0284185115588124

    Google Scholar 

  13. Guggenmoos-Holzmann I (1996) The meaning of kappa (probabilistic concepts of reliability and validity revised). J Clin Epidemiol 49:775–782

    CAS  Article  PubMed  Google Scholar 

  14. Muglia V, Westphalen A (2014) Bosniak classification for complex renal cysts: history and critical analysis. Radiol Bras . doi:10.1590/0100-3984.2013.1797

    Google Scholar 

  15. Hilton S, Jones LP (2014) Recent advances in imaging cancer of the kidney and urinary tract. Surg Oncol Clin N Am 223:863–910

    Article  Google Scholar 

  16. Cem Balci N, Semelka RC, Patt RH, et al. (1999) Complex renal cysts: findings on MR imaging. Am J Roentgenol 172:1495–1500

    Article  Google Scholar 

  17. Sainani NI, Saokar A, Deshpande V, et al. (2009) Comparative performance of MDCT and MRI with MR cholangiopancreatography in characterizing small pancreatic cysts. AJR Am J Roentgenol . doi:10.2214/AJR.08.1253

    PubMed  Google Scholar 

  18. Harris RD, Javitt MC, Glanc P, et al. (2013) ACR appropriateness criteria(R) clinically suspected adnexal mass. Ultrasound Q 29:79–86

    Article  PubMed  Google Scholar 

  19. Graumann O, Osther SS, Oster PJ (2011) Characterization of complex renal cysts: a critical evaluation of the Bosniak classification. Scand J Urol Nephrol 45:84–90

    Article  PubMed  Google Scholar 

  20. Weibl P, Klatte T, Kollarik B, et al. (2011) Interpersonal variability and present diagnostic dilemmas in Bosniak classification system. Scand J Urol Nephrol 45:239–244

    Article  PubMed  Google Scholar 

  21. Siegel CL, McFarland EG, Brink JA, et al. (1997) CT of cystic renal masses: analysis of diagnostic performance and interobserver variation. AJR Am J Roentgenol 169:813–818

    CAS  Article  PubMed  Google Scholar 

  22. Smith AD, Allen BC, Sanyal R, et al. (2015) Outcomes and complications related to the management of Bosniak cystic renal lesions. Am J Roentgen . doi:10.2214/AJR.14.13149

    Google Scholar 

  23. Weibl P, Klatte T, Kollarik B, et al. (2011) Interpersonal variability and present diagnostic dilemmas in Bosniak classification system. Scand J Urol Nephrol . doi:10.3109/00365599.2011.562233

    PubMed  Google Scholar 

  24. Hindman NM, Hecht EM, Bosniak MA (2014) Follow-up for Bosniak category 2F cystic renal lesions. Radiology 272:757–766. doi:10.1148/radiol.14122908

    Article  PubMed  Google Scholar 

  25. El-Mokadem I, Budak M, Pillai S, et al. (2014) Progression, interobserver agreement, and malignancy rate in complex renal cysts (≥ Bosniak category IIF). Urol Oncol. doi:10.1016/j.urolonc.2012.08.018

    PubMed  Google Scholar 

  26. Graumann O, Osther SS, Karstoft J, Hørlyck A, Osther PJ (2015) Bosniak classification system: inter-observer and intra-observer agreement among experienced uroradiologists. Acta Radiol 56:374–383. doi:10.1177/0284185114529562

    Article  PubMed  Google Scholar 

Download references

Author information

Affiliations

Authors

Corresponding author

Correspondence to Valdair Francisco Muglia.

Ethics declarations

Conflict of interest

All authors declare no conflict of interest.

Ethical approval

All procedures performed in studies involving human participants were in accordance with the ethical standards of the institutional and/or national research committee and with the 1964 Helsinki Declaration and its later amendments or comparable ethical standards.

Informed consent

Informed consent was waived by Institutional IRB.

Rights and permissions

Reprints and Permissions

About this article

Verify currency and authenticity via CrossMark

Cite this article

Ferreira, A.M., Reis, R.B., Kajiwara, P.P. et al. MRI evaluation of complex renal cysts using the Bosniak classification: a comparison to CT. Abdom Radiol 41, 2011–2019 (2016). https://doi.org/10.1007/s00261-016-0797-5

Download citation

  • Published:

  • Issue Date:

  • DOI: https://doi.org/10.1007/s00261-016-0797-5

Keywords

  • Renal cysts
  • Kidney cysts
  • Bosniak classification
  • Computed tomography (CT)
  • Magnetic resonance imaging (MRI)