Skip to main content

A primer on the use of dual-energy CT in the evaluation of commonly encountered neoplasms

Abstract

Technical improvements in the acquisition and display of dual-energy computed tomography (DECT) have made this technique increasingly applicable to clinical practice, particularly in the setting of oncologic imaging. DECT allows for qualitative and quantitative analysis of tissue composition beyond the standard anatomical evaluation possible with single-energy computed tomography. For example, DECT can be used to interrogate iodine and calcium concentrations and to increase iodine signal, which makes many pathologic processes more conspicuous and provides improved understanding of internal structure within mass lesions. A working understanding of common postprocessing DECT displays will allow radiologists to maximize the additional diagnostic information available in DECT examinations. In this article, we describe common strategies for DECT interrogation by organ system, which may improve the conspicuity and understanding of suspected malignancies.

This is a preview of subscription content, access via your institution.

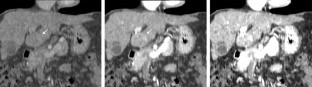
Fig. 1
Fig. 2
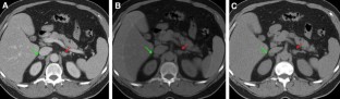
Fig. 3
Fig. 4
Fig. 5
Fig. 6
Fig. 7
Fig. 8
Fig. 9
Fig. 10
Fig. 11
Fig. 12

Abbreviations

CT:

Computed tomography

DECT:

Dual-energy computed tomography

HU:

Hounsfield units

PET:

Positron emission tomography

ROI:

Region of interest

VNC:

Virtual noncontrast

References

  1. Marin D, Boll DT, Mileto A, Nelson RC (2014) State of the art: dual-energy CT of the abdomen. Radiology 271(2):327–342

    Article  PubMed  Google Scholar 

  2. Johnson TR, Krauss B, Sedlmair M, et al. (2007) Material differentiation by dual energy CT: initial experience. Eur Radiol. 17(6):1510–1517

    Article  PubMed  Google Scholar 

  3. Coursey CA, Nelson RC, Boll DT, et al. (2010) Dual-energy multidetector CT: how does it work, what can it tell us, and when can we use it in abdominopelvic imaging? Radiographics. 30(4):1037–1055

    Article  PubMed  Google Scholar 

  4. Silva AC, Morse BG, Hara AK, et al. (2011) Dual-energy (spectral) CT: applications in abdominal imaging. Radiographics. 31(4):1031–1046

    Article  PubMed  Google Scholar 

  5. Leng S, Yu L, Wang J, et al. (2011) Noise reduction in spectral CT: reducing dose and breaking the trade-off between image noise and energy bin selection. Med Phys. 38(9):4946–4957

    Article  PubMed  Google Scholar 

  6. Kim KS, Lee JM, Kim SH, et al. (2010) Image fusion in dual energy computed tomography for detection of hypervascular liver hepatocellular carcinoma: phantom and preliminary studies. Invest Radiol. 45(3):149–157

    Article  PubMed  Google Scholar 

  7. Chae EJ, Song JW, Seo JB, et al. (2008) Clinical utility of dual-energy CT in the evaluation of solitary pulmonary nodules: initial experience. Radiology. 249(2):671–681

    Article  PubMed  Google Scholar 

  8. Schmid-Bindert G, Henzler T, Chu TQ, et al. (2012) Functional imaging of lung cancer using dual energy CT: how does iodine related attenuation correlate with standardized uptake value of 18FDG-PET-CT? Eur Radiol. 22(1):93–103

    CAS  Article  PubMed  Google Scholar 

  9. Lv P, Lin XZ, Chen K, Gao J (2012) Spectral CT in patients with small HCC: investigation of image quality and diagnostic accuracy. Eur Radiol. 22(10):2117–2124

    Article  PubMed  Google Scholar 

  10. Qian LJ, Zhu J, Zhuang ZG, et al. (2012) Differentiation of neoplastic from bland macroscopic portal vein thrombi using dual-energy spectral CT imaging: a pilot study. Eur Radiol. 22(10):2178–2185

    Article  PubMed  Google Scholar 

  11. Graser A, Becker CR, Staehler M, et al. (2010) Single-phase dual-energy CT allows for characterization of renal masses as benign or malignant. Invest Radiol. 45(7):399–405

    PubMed  Google Scholar 

  12. Scheffel H, Stolzmann P, Frauenfelder T, et al. (2007) Dual-energy contrast-enhanced computed tomography for the detection of urinary stone disease. Invest Radiol. 42(12):823–829

    Article  PubMed  Google Scholar 

  13. Song JH, Chaudhry FS, Mayo-Smith WW (2008) The incidental adrenal mass on CT: prevalence of adrenal disease in 1,049 consecutive adrenal masses in patients with no known malignancy. AJR Am J Roentgenol. 190(5):1163–1168

    Article  PubMed  Google Scholar 

  14. Gnannt R, Fischer M, Goetti R, et al. (2012) Dual-energy CT for characterization of the incidental adrenal mass: preliminary observations. AJR Am J Roentgenol. 198(1):138–144

    Article  PubMed  Google Scholar 

  15. Ho LM, Marin D, Neville AM, et al. (2012) Characterization of adrenal nodules with dual-energy CT: can virtual unenhanced attenuation values replace true unenhanced attenuation values? AJR Am J Roentgenol. 198(4):840–845

    Article  PubMed  Google Scholar 

  16. Gupta RT, Ho LM, Marin D, et al. (2010) Dual-energy CT for characterization of adrenal nodules: initial experience. AJR Am J Roentgenol. 194(6):1479–1483

    Article  PubMed  Google Scholar 

  17. Mileto A, Nelson RC, Marin D, Roy Choudhury K, Ho LM (2015) Dual-energy multidetector CT for the characterization of incidental adrenal nodules: diagnostic performance of contrast-enhanced material density analysis. Radiology. 274(2):445–454

    Article  PubMed  Google Scholar 

  18. Morgan DE, Weber AC, Lockhart ME, et al. (2013) Differentiation of high lipid content from low lipid content adrenal lesions using single-source rapid kilovolt (peak)-switching dual-energy multidetector CT. J Comput Assist Tomogr. 37(6):937–943

    Article  PubMed  Google Scholar 

  19. Glazer DI, Maturen KE, Kaza RK, et al. (2014) Adrenal incidentaloma triage with single-source (fast-kilovoltage switch) dual-energy CT. AJR Am J Roentgenol. 203(2):329–335

    Article  PubMed  PubMed Central  Google Scholar 

  20. Conlon KC, Klimstra DS, Brennan MF (1996) Long-term survival after curative resection for pancreatic ductal adenocarcinoma: clinicopathologic analysis of 5-year survivors. Ann Surg. 223(3):273–279

    CAS  Article  PubMed  PubMed Central  Google Scholar 

  21. Valle J, Wasan H, Palmer DH, et al. (2010) ABC-02 Trial Investigators. Cisplatin plus gemcitabine versus gemcitabine for biliary tract cancer. N Engl J Med. 362(14):1273–1281

    CAS  Article  PubMed  Google Scholar 

  22. Prokesch RW, Chow LC, Beaulieu CF, Bammer R, Jeffrey RB Jr (2002) Isoattenuating pancreatic adenocarcinoma at multi-detector row CT: secondary signs. Radiology. 224(3):764–768

    Article  PubMed  Google Scholar 

  23. Macari M, Spieler B, Kim D, et al. (2010) Dual-source dual-energy MDCT of pancreatic adenocarcinoma: initial observations with data generated at 80 kVp and at simulated weighted-average 120 kVp. AJR Am J Roentgenol. 194(1):W27–W32

    Article  PubMed  Google Scholar 

  24. Patel BN, Thomas JV, Lockhart ME, Berland LL, Morgan DE (2013) Single-source dual-energy spectral multidetector CT of pancreatic adenocarcinoma: optimization of energy level viewing significantly increases lesion contrast. Clin Radiol. 68(2):148–154

    CAS  Article  PubMed  Google Scholar 

  25. McNamara MM, Little MD, Alexander LF, et al. (2015) Multireader evaluation of lesion conspicuity in small pancreatic adenocarcinomas: complimentary value of iodine material density and low keV simulated monoenergetic images using multiphasic rapid kVp-switching dual energy CT. Abdom Imaging. 40(5):1230–1240

    Article  PubMed  Google Scholar 

  26. Lin XZ, Wu ZY, Tao R, et al. (2012) Dual energy spectral CT imaging of insulinoma: value in preoperative diagnosis compared with conventional multi-detector CT. Eur J Radiol. 81(10):2487–2494

    Article  PubMed  Google Scholar 

  27. Klauss M, Stiller W, Pahn G, et al. (2013) Dual-energy perfusion-CT of pancreatic adenocarcinoma. Eur J Radiol. 82(2):208–214

    CAS  Article  PubMed  Google Scholar 

  28. Chu AJ, Lee JM, Lee YJ, et al. (2012) Dual-source, dual-energy multidetector CT for the evaluation of pancreatic tumours. Br J Radiol. 85(1018):e891–e898

    CAS  Article  PubMed  PubMed Central  Google Scholar 

  29. Qu M, Ehman E, Fletcher JG, et al. (2012) Toward biphasic computed tomography (CT) enteric contrast: material classification of luminal bismuth and mural iodine in a small-bowel phantom using dual-energy CT. J Comput Assist Tomogr. 36(5):554–559

    Article  PubMed  Google Scholar 

  30. Linguraru MG, Panjwani N, Fletcher JG, Summers RM (2011) Automated image-based colon cleansing for laxative-free CT colonography computer-aided polyp detection. Med Phys. 38(12):6633–6642

    Article  PubMed  Google Scholar 

  31. Apfaltrer P, Meyer M, Meier C, et al. (2012) Contrast-enhanced dual-energy CT of gastrointestinal stromal tumors: is iodine-related attenuation a potential indicator of tumor response? Invest Radiol. 47(1):65–70

    CAS  Article  PubMed  Google Scholar 

  32. Choi H, Charnsangavej C, de Castro Faria S, et al. (2004) CT evaluation of the response of gastrointestinal stromal tumors after imatinib mesylate treatment: a quantitative analysis correlated with FDG PET findings. AJR Am J Roentgenol. 183(6):1619–1628

    Article  PubMed  Google Scholar 

  33. Weng Z, Ertle J, Zheng S, et al. (2013) Choi criteria are superior in evaluating tumor response in patients treated with transarterial radioembolization for hepatocellular carcinoma. Oncol Lett. 6(6):1707–1712

    PubMed  PubMed Central  Google Scholar 

  34. Meyer M, Hohenberger P, Apfaltrer P, et al. (2013) CT-based response assessment of advanced gastrointestinal stromal tumor: dual energy CT provides a more predictive imaging biomarker of clinical benefit than RECIST or Choi criteria. Eur J Radiol. 82(6):923–928

    CAS  Article  PubMed  Google Scholar 

Download references

Author information

Affiliations

Authors

Corresponding author

Correspondence to Alvin C. Silva.

Ethics declarations

Conflict of interest

Dr. Fletcher has received grant funding from Siemens Healthcare.

Ethical approval

This article does not contain any studies with human participants or animals performed by any of the authors.

Rights and permissions

Reprints and Permissions

About this article

Verify currency and authenticity via CrossMark

Cite this article

Cramer, T.W., Fletcher, J.G., Paden, R.G. et al. A primer on the use of dual-energy CT in the evaluation of commonly encountered neoplasms. Abdom Radiol 41, 1618–1631 (2016). https://doi.org/10.1007/s00261-016-0707-x

Download citation

  • Published:

  • Issue Date:

  • DOI: https://doi.org/10.1007/s00261-016-0707-x

Keywords

  • Computed tomography
  • Dual-energy computed tomography
  • Oncology
  • Review