Abstract
Purpose
To determine whether radiation doses during computed tomography (CT) colonography (CTC) can be further reduced while maintaining image quality using model-based iterative reconstruction (MBIR).
Methods
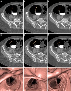
Twenty patients underwent CTC at a standard dose in supine and prone positions and at a reduced dose in the supine position. All other scan parameters (except noise index) were held constant. Acquisitions were reconstructed using 3 algorithms: filtered back projection (FBP), adaptive statistical iterative reconstruction (ASIR), and MBIR. Noise was assessed quantitatively by comparing the SD in Hounsfield units at 5 standard locations. Qualitative assessment was made by 2 experienced radiologists blinded to technique who subjectively scored image quality, noise, and sharpness (from 0 to 4).
Results
The standard-dose and reduced-dose CT dose index/dose-length product were 6.7/328 and 2.7 mGy/129 mGy-cm, respectively (60 % reduction). Measured mean noise level increased from the standard to the reduced dose (FBP, from 58.6 to 97.2; ASIR from 35.8 to 60.6; and MBIR from 16.6 to 21.9). MBIR had significantly less noise than ASIR on 2-dimensional images at both standard and reduced doses (P < .01).
Conclusions
Radiation dose in CTC using MBIR can be reduced by 60 % while maintaining image quality and reducing image noise.
This is a preview of subscription content, access via your institution.

Abbreviations
- ASIR:
-
Adaptive statistical iterative reconstruction
- BMI:
-
Body mass index (weight in kg divided by height in m2 [kg/m2])
- CT:
-
Computed tomography
- CTC:
-
Computed tomography colonography
- DLP:
-
Dose-length product
- FBP:
-
Filtered back projection
- HIPAA:
-
Health Insurance Portability and Accountability Act
- kVp:
-
Kilovolts peak
- mAs:
-
Milliamperes-second
- MBIR:
-
Model-based iterative reconstruction
- MDCT:
-
Multidetector computed tomography
- mSv:
-
Millisievert
References
Pickhardt PJ, Hassan C, Halligan S, Marmo R (2011) Colorectal cancer: CT colonography and colonoscopy for detection: systematic review and meta-analysis. Radiology 259(2):393–405
Regge D, Laudi C, Galatola G, et al. (2009) Diagnostic accuracy of computed tomographic colonography for the detection of advanced neoplasia in individuals at increased risk of colorectal cancer. JAMA 301(23):2453–2461
Levin B, Lieberman DA, McFarland B, et al. (2008) Screening and surveillance for the early detection of colorectal cancer and adenomatous polyps, 2008: a joint guideline from the American Cancer Society, the US Multi-Society Task Force on Colorectal Cancer, and the American College of Radiology. CA Cancer J Clin 58(3):130–160
Friedel DM, Iqbal S, Stavropoulos SN, et al. (2012) Evolving role of computed tomographic colonography in colon cancer screening and diagnosis. South Med J. 105(10):551–557
Perisinakis K, Seimenis I, Tzedakis A, et al. (2012) Screening computed tomography colonography with 256-slice scanning: should patient radiation burden and associated cancer risk constitute a major concern? Invest Radiol. 47(8):451–456
Brenner DJ, Georgsson MA (2005) Mass screening with CT colonography: should the radiation exposure be of concern? Gastroenterology 129(1):328–337
Berrington de Gonzalez A, Kim KP, Knudsen AB, et al. (2011) Radiation-related cancer risks from CT colonography screening: a risk-benefit analysis. AJR Am J Roentgenol 196(4):816–823
Verdun FR, Bochud F, Gundinchet F, et al. (2008) Quality initiatives radiation risk: what you should know to tell your patient. Radiographics 28(7):1807–1816
Hara AK, Johnson CD, Reed JE, et al. (1997) Reducing data size and radiation dose for CT colonography. AJR Am J Roentgenol 168(5):1181–1184
van Gelder RE, Venema HW, Serlie IW, et al. (2002) CT colonography at different radiation dose levels: feasibility of dose reduction. Radiology 224(1):25–33
Flicek KT, Hara AK, Silva AC, et al. (2010) Reducing the radiation dose for CT colonography using adaptive statistical iterative reconstruction: a pilot study. AJR Am J Roentgenol 195(1):126–131
Thibault JB, Sauer KD, Bouman CA, Hsieh J (2007) A three-dimensional statistical approach to improved image quality for multislice helical CT. Med Phys 34(11):4526–4544
Johnson CD, Chen MH, Toledano AY, et al. (2008) Accuracy of CT colonography for detection of large adenomas and cancers. N Engl J Med. 359(12):1207–1217 (Erratum in: N Engl J Med. 2008;359(26):2853)
Christner JA, Kofler JM, McCollough CH (2010) Estimating effective dose for CT using dose-length product compared with using organ doses: consequences of adopting International Commission on Radiological Protection publication 103 or dual-energy scanning. AJR Am J Roentgenol. 194(4):881–889 (Erratum in: AJR Am J Roentgenol. 2010;194(5):1404)
Pickhardt PJ, Lubner MG, Kim DH, et al. (2012) Abdominal CT with model-based iterative reconstruction (MBIR): initial results of a prospective trial comparing ultralow-dose with standard-dose imaging. AJR Am J Roentgenol. 199(6):1266–1274
Yoon MA, Kim SH, Lee JM, et al. (2012) Adaptive statistical iterative reconstruction and Veo: assessment of image quality and diagnostic performance in CT colonography at various radiation doses. J Comput Assist Tomogr. 36(5):596–601
Katsura M, Matsuda I, Akahane M, et al. (2013) Model-based iterative reconstruction technique for ultralow-dose chest CT: comparison of pulmonary nodule detectability with the adaptive statistical iterative reconstruction technique. Invest Radiol. 48(4):206–212
Chang KJ, Caovan DB, Grand DJ, Huda W, Mayo-Smith WW (2013) Reducing radiation dose at CT colonography: decreasing tube voltage to 100 kVp. Radiology. 266(3):791–800 (Epub 2012 Dec 21)
Ethical Statement
This study conformed to current US laws. Before the study was conducted, institutional review board approval was obtained and documented, and informed consent was obtained from patients per the guidelines of the Health Insurance Portability and Accountability Act.
Conflict of interest
None.
Author information
Authors and Affiliations
Corresponding author
Rights and permissions
About this article
Cite this article
Millerd, P.J., Paden, R.G., Lund, J.T. et al. Reducing the radiation dose for computed tomography colonography using model-based iterative reconstruction. Abdom Imaging 40, 1183–1189 (2015). https://doi.org/10.1007/s00261-014-0271-1
Published:
Issue Date:
DOI: https://doi.org/10.1007/s00261-014-0271-1
Keywords
- Adaptive statistical iterative reconstruction
- Computed tomography
- CT colonography
- Iterative reconstruction
- Model-based iterative reconstruction
- Reduced dose