Abstract
Objective
Oncocytic adrenal neoplasms (OANs) are rare, but are an important subtype of adrenal tumors that is being diagnosed with increasing frequency. Unfortunately, the imaging characteristics of this tumor have not been well described. Our purpose was to identify CT features to differentiate OANs from adrenocortical carcinomas (ACC).
Materials and methods
From 1991 to 2012, 18 patients with OANs were identified from our institution’s pathology database. Twelve had CT examinations available for review. CT characteristics of five benign and seven malignant OANs were reviewed by two abdominal radiologists, and compared to ACC (n = 10). Morphologic characteristics and density measurements were recorded for each imaging phase. Absolute contrast washout was calculated and compared.
Results
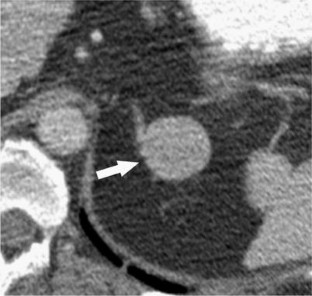
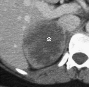
Benign OANs were smaller [mean size 3.7 cm (range 2.6–5.3)] and more homogeneous than malignant OANs and demonstrated greater washout [mean washout percentage 72.3% (range 61–88)]. Malignant OANs demonstrated features similar to ACCs, including size [mean 9.4 cm (range 5.2–9.8)] and internal necrosis (n = 6). Mean enhancement washout percentage for malignant OANs was 12% (range −8 to 32).
Conclusion
Benign OANs (oncocytomas) may be distinguished from lipid-rich adenomas on non-contrast CT but may be indistinguishable from lipid-poor adenomas. Malignant oncocytic neoplasms can demonstrate features similar to ACCs, including larger size, internal necrosis, and lower percentage enhancement washout.



References
Dunnick NR (1990) Adrenal imaging: current status. AJR 154:927–936
Dunnick NR, Korobkin M (2002) Imaging of adrenal incidentalomas: current status. AJR 179:559–568
Boland GW, Blake MA, Hahn PF, et al. (2008) Incidental adrenal lesions: principles, techniques, and algorithms for imaging characterization. Radiology 249:756–775
Baloch Z, LiVolsi VA (1999) Oncocytic lesions of the neuroendocrine system. Semin Diagn Pathol 16:190–199
Tirkes T, Gokaslan T, McCrea J, et al. (2011) Oncocytic neoplasms of the adrenal gland. AJR 196:592–596
Gandras EJ, Schwartz LH, Panicek DM, et al. (1996) Case report: adrenocortical oncocytoma—CT and MRI findings. J Comput Assist Tomogr 20:407–409
Poretti D, Mazzarol G, Bonomo G, et al. (2003) Adrenocortical oncocytoma: case report. Clin Imaging 27:426–430
Shah RK, Oto A, Ozkan OS, et al. (2004) Adrenal oncocytoma: US and CT findings. JBR-BTR 87:180–182
Wong DD, Spagnolo DV, Bisceglia M, et al. (2011) Oncocytic adrenocortical neoplasms—a clinicopathologic study of 13 new cases emphasizing the importance of their recognition. Hum Pathol 42:489–499
Bisceglia M, Ludovico O, Di Mattia A, et al. (2004) Adrenocortical oncocytic tumors: report of 10 cases and review of the literature. Int J Surg Pathol 12:231–243
Hoang MP, Ayala AG, Albores-Saavedra J (2002) Oncocytic adrenocortical carcinoma: a morphologic, immunohistochemical and ultrastructural study of four cases. Mod Pathol 15:973–978
Caoili EM, Korobkin M, Francis IR, et al. (2002) Adrenal masses: characterization with combined unenhanced and delayed enhanced CT. Radiology 222:629–633
Korobkin M, Brodeur FJ, Yutzy GG, et al. (1996) Differential of adrenal adenomas from nonadenomas using CT attenuation values. AJR 166:531–536
Blake MA, Kalra MK, Sweeney AT, et al. (2006) Distinguishing benign from malignant adrenal masses: multi-detector row CT protocol with 10-min delay. Radiology 238:578–585
Ng L, Libertino JM (2003) Adrenocortical carcinoma: diagnosis, evaluation and treatment. J Urol 169:5–11
Author information
Authors and Affiliations
Corresponding author
Rights and permissions
About this article
Cite this article
Khan, M., Caoili, E.M., Davenport, M.S. et al. CT imaging characteristics of oncocytic adrenal neoplasms (OANs): comparison with adrenocortical carcinomas. Abdom Imaging 39, 86–91 (2014). https://doi.org/10.1007/s00261-013-0047-z
Published:
Issue Date:
DOI: https://doi.org/10.1007/s00261-013-0047-z