Skip to main content

Spigelian hernia: CT findings and clinical relevance

Abstract

Objective

The purpose of our study was to evaluate the clinical relevance of preoperative CT in distinguishing between the two subtypes of spigelian hernia (SH).

Materials and methods

We reviewed retrospectively the CT images of 35 patients. The patients were divided into two groups on the basis of the SH subtype: interstitial SH group (n = 15) and subcutaneous SH group (n = 20). Clinical characteristics of patients and CT findings were analyzed. Bowel ischemia on surgery was also noted.

Results

Sixteen right hernias and 19 left hernias were observed. Fifteen interstitial SH (43%) and 20 subcutaneous SH (57%) were found. No type of content showed a statistically significant association with one or other subtype of SH. Nine of the 26 patients presenting with SH with SB content showed signs of SBO on CT. Closed-loop SBO on CT was present in 5 of the 26 patients with SB content. An interstitial SH was observed in all of these 5 patients (p = 0.039). Surgery was performed on 10 patients. Bowel ischemia was found on surgery in 4 patients and showed no statistically significant association with a particular subtype of SH (p = 0.6).

Conclusion

Our study shows the importance of performing CT in SH. CT provides the diagnosis of SH, shows SH content, and demonstrates the presence of SBO or closed-loop SBO. Moreover, the distinction between the two subtypes of SH on CT appears to be of clinical relevance since closed-loop SBO is statistically associated with interstitial SH and the optimal surgical approach may differ.

This is a preview of subscription content, access via your institution.

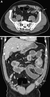
Fig. 1
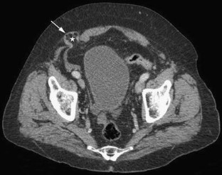
Fig. 2
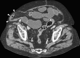
Fig. 3

References

  1. Subramanya MS, Chakraborty J, Memon B, Memon A (2010) Emergency intraperitoneal onlay mesh repair of incarcerated spigelian hernia. J Soc Laparoendosc Surg 14:275–278

    Article  CAS  Google Scholar 

  2. Hsieh HF, Chuang CH, Lin CH, Yu JC, Hsieh CB (2007) Spigelian hernia: mesh or not? Rev Esp Enferm Dig 99:502–504

    PubMed  Article  Google Scholar 

  3. Delabrousse E, Lubrano J, Jehl J, et al. (2009) Small-bowel obstruction from adhesive bands and matted adhesions: CT differentiation. AJR 192:693–697

    PubMed  Article  Google Scholar 

  4. Furakawa A, Yamasaki M, Furuichi K, et al. (2001) Helical CT in diagnosis of small bowel obstruction. Radiographics 21:341–355

    Google Scholar 

  5. Maglinte DT, Gage SN, Harmon BH, et al. (1993) Obstruction of the small intestine: accuracy and role of CT in diagnosis. Radiology 188:61–64

    PubMed  CAS  Google Scholar 

  6. Balthazar EJ, George W (1994) Holmes lecture: CT of small-bowel obstruction. AJR 162:255–261

    PubMed  Article  CAS  Google Scholar 

  7. Balthazar EJ, Birnbaum BA, Megibow AJ, et al. (1992) Closed-loop obstruction and strangulating intestinal obstruction: CT signs. Radiology 185:769–775

    PubMed  CAS  Google Scholar 

  8. Balthazar EJ, Liebeskind ME, Macari M (1997) Intestinal ischemia in patients in whom small bowel obstruction is suspected: evaluation of accuracy, limitations, and clinical implications of CT in diagnosis. Radiology 205:519–522

    PubMed  CAS  Google Scholar 

  9. Ruiz de la Hermosa A, Amunategui Prats I, Machado Liendo P, et al. (2010) Personal experience and review of the literature. Rev Esp Enferm Dig 102:583–586

    PubMed  Article  CAS  Google Scholar 

  10. Moles Morenilla L, Docobo Durantez F, Mena Robles J, de Quinta FR (2005) Spigelian Hernia in Spain. An analysis of 162 cases. Rev Esp Enferm Dig 97:338–347

    PubMed  Article  CAS  Google Scholar 

  11. Spiegel A Opera quae extant omnia. Amsterdam: John Bloew, 1645:103

  12. Klinkosch JT Divisionem herniarum novamgue hernia ventralis speciem proponit. Dissertationum medicorum. 1764; 184

  13. Torres K, Chroscicki A, Torres A, et al. (2009) Spigelian hernia—anatomy, diagnosing and imaging difficulties: a report of 2 cases. Folia Morphol 68:179–183

    CAS  Google Scholar 

  14. Moreno-Egea A, Carrasco L, Girela E, Aguayo JL, Canteras M (2002) Open vs laparoscopic repair of spigelian hernia. Arch Surg 137:1266–1268

    PubMed  Article  Google Scholar 

  15. Mittal T, Kumar V, Khullar R, et al. (2008) Diagnosis and management of spigelian hernia: a review of literature and our experience. J Min Access Surg 4:95–98

    Article  Google Scholar 

  16. Palanivelu C, Vijaykumar M, Jani KV, et al. (2006) Laparoscopic transabdominal preperitoneal repair of spigelian hernia. J Soc Laparoendosc Surg 10:193–198

    Google Scholar 

  17. Ngo P, Pélissier E, Levard H, et al. (2010) Ambulatory groin and ventral hernia repair. J Visc Surg 147:397–401

    Article  Google Scholar 

Download references

Author information

Affiliations

Authors

Corresponding author

Correspondence to Eric Delabrousse.

Rights and permissions

Reprints and Permissions

About this article

Cite this article

Martin, M., Paquette, B., Badet, N. et al. Spigelian hernia: CT findings and clinical relevance. Abdom Imaging 38, 260–264 (2013). https://doi.org/10.1007/s00261-012-9889-z

Download citation

  • Published:

  • Issue Date:

  • DOI: https://doi.org/10.1007/s00261-012-9889-z

Keywords

  • Abdominal wall hernia
  • Spigelian hernia
  • Computed tomography