Skip to main content

Usefulness of computed tomography performed immediately after excretory urography in patients with delayed opacification or dilated upper urinary tract of unknown cause

Abstract

Purpose

To evaluate the diagnostic value of computed tomography (CT) performed immediately after excretory urography (EU) in patients with delayed renal opacification or dilated upper urinary system with nonconclusive diagnosis after EU.

Materials and methods

CT was performed immediately after EU in 39 patients with delayed opacification or dilated upper urinary system of unknown cause, without additional intravenous contrast administration for the CT study. We classified EU + CT findings as benign or malignant causes and we compared our results with the final diagnosis.

Results

The combination of EU + CT correctly diagnosed 38 out of the 39 cases with a sensitivity of 97%. Correct diagnosis was established in all malignant cases (n = 17) but one benign case consistent with blood clots in the upper urinary tract was incorrectly diagnosed as a multicentric urothelial carcinoma. Sensitivity, specificity, and accuracy for the diagnosis of the underlying cause with EU + CT was 100%, 95%, and 97%, respectively. The final diagnoses were: urothelial carcinoma (n = 10), stone disease (n = 10), bladder tumor (n = 4), benign post-treatment ureteral stenosis (n = 4), ureteral invasion (n = 3), benign bladder disease (n = 2), urinary tract infections (n = 2), crossing vessels (n = 1), ureteropelvic junction obstruction (n = 1), retrocaval ureter (n = 1), and blood clots in the upper urinary tract due to bleeding renal metastasis from lung cancer (n = 1).

Conclusion

Combined EU and CT study allowed correct diagnosis of the underlying cause of delayed excretion or upper urinary tract dilatation in 97% of cases. The combination of EU and CT provides diagnosis reducing time and radiation.

This is a preview of subscription content, access via your institution.

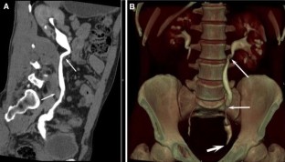
Fig. 1
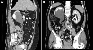
Fig. 2
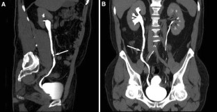
Fig. 3
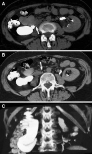
Fig. 4
Fig. 5
Fig. 6
Fig. 7
Fig. 8
Fig. 9
Fig. 10
Fig. 11
Fig. 12

Abbreviations

CTU:

Computed tomography urography

EU:

Excretory urography

References

  1. Pabon-Ramos W, Caoili E, Cohan R, et al. (2010) Excretory urography: trends in clinical use and diagnostic yield. Abdom Imaging 35:607–610

    PubMed  Article  Google Scholar 

  2. Noroozian M, et al. (2004) Multislice CT urography: state of the art. Br J Radiol 77:S74–S86

    PubMed  Article  Google Scholar 

  3. Van der Molen AJ, Cowan NC, Mueller-Lisse UG, et al. (2008) CT urography: definition, indications and techniques: a guideline for clinical practice. Eur Radiol 18:4–17

    Article  Google Scholar 

  4. Nolte-Ernsting C, Cowan N (2006) Understanging multislice CT urography techniques: many roads lead to Rome. Eur Radiol 16:2670–2686

    PubMed  Article  Google Scholar 

  5. Perlman ES, Rosenfield AT, Wexler JS, Glickman MG (1996) CT urography in the evaluation of urinary tract disease. J Comput Assist Tomogr 20:620–626

    PubMed  Article  CAS  Google Scholar 

  6. Hu H, Hu XY, Fang XM, Chen HW, Yao XJ (2010) Unenhanced helical CT following excretory urography in the diagnosis of upper urinary tract disease: a little more cost, a lot more value. Urol Res 38:127–133

    PubMed  Article  Google Scholar 

  7. Wang J, Wang H, Tang G, Hou Z, Wang G (2009) Transitional cell carcinoma of upper urinary tract vs benign lesions: distinctive MSCT features. Abdom Imaging 34:94–106

    PubMed  Article  CAS  Google Scholar 

  8. Xu AD, Ng CS, Kamat A, et al. (2010) Significance of upper urinary tract urothelial thickening and filling defect seen on MDCT urography in patients with a history of urothelial neoplasms. AJR Am J Roentgenol 195:959–965

    PubMed  Article  Google Scholar 

  9. Sadow CA, Wheeler SC, Kim J, Ohno-Machado L, Silverman SG (2010) Positive predictive value of CT urography in the evaluation of upper tract urothelial cancer. AJR Am J Roentgenol 195(5):W337–W343

    Google Scholar 

  10. Figueiredo AA, Lucon AM, Arvellos An, et al. (2010) A better understanding of urogenital tuberculosis, pathophysiology based on radiologic findings. Eur J Radiol 76:246–257

    PubMed  Article  Google Scholar 

  11. Dyer RB, Chen MY, Zagoria RJ (2004) Classic signs in uroradiology. Radiographics 24:S247–S280

    PubMed  Article  Google Scholar 

  12. Lawler LP, Jarret TW, Corl FM, Fishman EK (2005) Adult ureteropelvic junction obstruction: Insights with three-dimensional multi-detector CT. Radiographics 25:121–134

    PubMed  Article  Google Scholar 

  13. Iqbal M, Ansary MN (2006) Retrocaval ureter with hydronephrosis. Park Med Assoc 56(1):38–39

    Google Scholar 

  14. Albani JM, Ciaschini MW, Streem SB, Herts BR, Angermeier KW (2007) The role of computerized tomographic urography in the initial evaluation of hematuria. J Urol 177:644–648

    PubMed  Article  Google Scholar 

  15. Chlapoutakis K, Theocharopoulus N, Yarmenitis S, Damilakis L (2010) Performance of CTU in diagnosis o f upper urinary tract urothelial carcinoma, in patients presenting with hematuria. Systematic review and meta-analysis. Eur J Radiol 73:334–338

    PubMed  Article  Google Scholar 

  16. Beer A, Saar B, Rummeny EJ (2003) Tumors of the urinary bladder: technique, current use, and perspectives of MR and CT cystography. Abdom Imaging 28:868–876

    PubMed  Article  CAS  Google Scholar 

  17. Dillman JR, Caoli EM, Cohan RH, et al. (2008) Detection of upper tract urothelial neoplasms: sensitivity of axial, coronal reformatted, and curved-planar reformatted images. Types utilizing 16-row multi-detector CT urography. Abdom Imaging 33:707–716

    PubMed  Article  Google Scholar 

  18. Jindal G, Ramachandani P (2007) Acute flain pain secondary to urolithiasis: radiologic evaluation and alternate diagnoses. Radiol Clin North Am 45:395–410

    PubMed  Article  Google Scholar 

  19. Dahlman P, jangland L, Segelsijo M, Magnusson A (2009) Optimization of computed tomography urography protocol, 1997 to 2008. Effects on radiation dose. Acta Radiol 4:446–454

    Article  Google Scholar 

  20. Vrtiska TJ, Hartman RP, Kofler JM, et al. (2009) Spatial resolution and radiation dose of a 64-MDCT scanner compared with published CT urography protocols. AJR Am J Roentgenol 192:941–948

    PubMed  Article  Google Scholar 

  21. Nawfel RD, Judy PF, Schleipman AR, Silverman SG (2004) Patient radiation dose at CT urography and conventional urography. Radiology 232:126–132

    PubMed  Article  Google Scholar 

Download references

Author information

Affiliations

Authors

Corresponding author

Correspondence to Carmen Sebastià.

Rights and permissions

Reprints and Permissions

About this article

Cite this article

Sebastià, C., Quiroga, S., Buñesch, L. et al. Usefulness of computed tomography performed immediately after excretory urography in patients with delayed opacification or dilated upper urinary tract of unknown cause. Abdom Imaging 37, 482–493 (2012). https://doi.org/10.1007/s00261-011-9771-4

Download citation

  • Published:

  • Issue Date:

  • DOI: https://doi.org/10.1007/s00261-011-9771-4

Key words

  • CT urography
  • CT kidneys
  • Upper urinary tract
  • Excretory urography