Skip to main content

MDCT with multiplanar reconstruction in the preoperative local staging of rectal tumor

Abstract

Objective

To evaluate the accuracy of MDCT with multiplanar reconstruction in the preoperative local staging of rectal tumor.

Materials and methods

Thirty-seven patients with rectal tumor underwent preoperative MDCT. Two radiologists evaluated the depth of tumor invasion (T staging), regional lymph node involvement (N staging) and mesorectal fascia involvement on axial, sagittal, and coronal multiplanar reconstruction images in consensus. MDCT findings were compared with pathologic results, which served as the reference standard. Sensitivity, specificity, positive predictive value, negative predictive value, and accuracy were assessed.

Results

Overall accuracy was 86% in T staging, 84% in N staging, 89% in International Union Against Cancer (UICC) Staging, and 94.5% in the prediction of mesorectal fascia involvement.

Conclusion

MDCT with multiplanar reconstruction is an accurate technique in the preoperative local staging of rectal tumor.

This is a preview of subscription content, access via your institution.

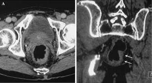
Fig. 1
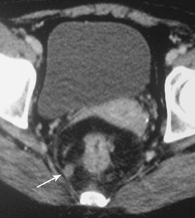
Fig. 2
Fig. 3
Fig. 4

References

  1. Beets-Tan RG, Beets GL (2004) Rectal cancer: review with emphasis on MR imaging. Radiology 232:335–346

    Article  PubMed  Google Scholar 

  2. Tang R, Wang JY, Chen JS, et al. (1995) Survival impact of lymph node metastasis in TNM stage III carcinoma of the colon and rectum. J Am Coll Surg 180:705–712

    CAS  PubMed  Google Scholar 

  3. Adam IJ, Mohamdee MO, Martin IG, et al. (1994) Role of circumferential margin involvement in the local recurrence of rectal cancer. Lancet 344:707–711

    CAS  Article  PubMed  Google Scholar 

  4. Cecil TD, Sexton R, Moran BJ, Heald RJ (2004) Total mesorectal excision results in low local recurrence rates in lymph node-positive rectal cancer. Dis Colon Rectum 47:1145–1149 (discussion 1149–1150)

    Article  PubMed  Google Scholar 

  5. Heald RJ, Ryall RD (1986) Recurrence and survival after total mesorectal excision for rectal cancer. Lancet 1:1479–1482

    CAS  Article  PubMed  Google Scholar 

  6. Reynolds JV, Joyce WP, Dolan J, Sheahan K, Hyland JM (1996) Pathological evidence in support of total mesorectal excision in the management of rectal cancer. Br J Surg 83:1112–1115

    CAS  Article  PubMed  Google Scholar 

  7. Påhlman L, Glimelius B (1995) The value of adjuvant radio(chemo)therapy for rectal cancer. Eur J Cancer 31A:1347–1350

    Article  PubMed  Google Scholar 

  8. Kapiteijn E, Marijnen CA, Nagtegaal ID, et al. (2001) Preoperative radiotherapy combined with total mesorectal excision for resectable rectal cancer. N Engl J Med 345:638–646

    CAS  Article  PubMed  Google Scholar 

  9. Bipat S, Glas AS, Slors FJ, et al. (2004) Rectal cancer: local staging and assessment of lymph node involvement with endoluminal US, CT, and MR imaging-a meta-analysis. Radiology 232:773–783

    Article  PubMed  Google Scholar 

  10. Hermanek P, Wiebelt H, Staimmer D, Riedl S (1995) Prognostic factors of rectum carcinoma-experience of the German Multicentre Study SGCRC. German Study Group Colo-Rectal Carcinoma. Tumori 81:60–64

    CAS  PubMed  Google Scholar 

  11. Arbman G, Nilsson E, Hallböök O, Sjödahl R (1996) Local recurrence following total mesorectal excision for rectal cancer. Br J Surg 83:375–379

    CAS  Article  PubMed  Google Scholar 

  12. Sauer R, Becker H, Hohenberger W, et al. (2004) Preoperative versus postoperative chemoradiotherapy for rectal cancer. N Engl J Med 351:1731–1740

    CAS  Article  PubMed  Google Scholar 

  13. Colorectal Cancer Collaborative Group (2001) Adjuvant radiotherapy for rectal cancer: a systematic overview of 8507 patients from 22 randomised trials. Lancet 358:1291–1304

    Article  Google Scholar 

  14. Bianchi PP, Ceriani C, Rottoli M, et al. (2005) Endoscopic ultrasonography and magnetic resonance in preoperative staging of rectal cancer: comparison with histologic findings. J Gastrointest Surg 9:1222–1227 (discussion 1227–1228)

    Article  PubMed  Google Scholar 

  15. Taylor A, Sheridan M, McGee S, Halligan S (2005) Preoperative staging of rectal cancer by MRI; results of a UK survey. Clin Radiol 60:579–586

    CAS  Article  PubMed  Google Scholar 

  16. Ganai S, Kanumuri P, Rao RS, Alexander AI (2006) Local recurrence after transanal endoscopic microsurgery for rectal polyps and early cancers. Ann Surg Oncol 13:547–556

    Article  PubMed  Google Scholar 

  17. Gualdi GF, Casciani E, Guadalaxara A, et al. (2000) Local staging of rectal cancer with transrectal ultrasound and endorectal magnetic resonance imaging: comparison with histologic findings. Dis Colon Rectum 43:338–345

    CAS  Article  PubMed  Google Scholar 

  18. Akasu T, Sugihara K, Moriya Y, Fujita S (1997) Limitations and pitfalls of transrectal ultrasonography for staging of rectal cancer. Dis Colon Rectum 40:10–15

    Article  Google Scholar 

  19. Merkel S, Mansmann U, Siassi M, et al. (2001) The prognostic inhomogeneity in pT3 rectal carcinomas. Int J Colorectal Dis 16:298–304

    CAS  Article  PubMed  Google Scholar 

  20. Sinha R, Verma R, Rajesh A, Richards CJ (2006) Diagnostic value of multidetector row CT in rectal cancer staging: comparison of multiplanar and axial images with histopathology. Clin Radiol 61:924–931

    CAS  Article  PubMed  Google Scholar 

  21. Kulinna C, Eibel R, Matzek W, et al. (2004) Staging of rectal cancer: diagnostic potential of multiplanar reconstructions with MDCT. AJR Am J Roentgenol 183:421–427

    CAS  PubMed  Google Scholar 

  22. Filippone A, Ambrosini R, Fuschi M, et al. (2004) Preoperative T and N staging of colorectal cancer: accuracy of contrast-enhanced multi-detector row CT colonography-initial experience. Radiology 231:83–90

    Article  PubMed  Google Scholar 

  23. Quirke P, Dixon MF (1988) The prediction of local recurrence in rectal adenocarcinoma by histopathological examination. Int J Colorectal Dis 3:127–131

    CAS  Article  PubMed  Google Scholar 

  24. Nagtegaal ID, Marijnen CA, Kranenbarg EK, van de Velde CJ, van Krieken JH (2002) Circumferential margin involvement is still an important predictor of local recurrence in rectal carcinoma: not one millimeter but two millimeters is the limit. Am J Surg Pathol 26:350–357

    Article  PubMed  Google Scholar 

  25. Vliegen R, Dresen R, Beets G, et al. (2008) The accuracy of Multi-detector row CT for the assessment of tumor invasion of the mesorectal fascia in primary rectal cancer. Abdom Imaging 33:604–610

    Article  PubMed  Google Scholar 

  26. Taylor A, Slater A, Mapstone N, Taylor S, Halligan S (2007) Staging rectal cancer: MRI compared to MDCT. Abdom Imaging 32:323–327

    Article  PubMed  Google Scholar 

  27. Slater A, Halligan S, Taylor SA, Marshall M (2006) Distance between the rectal wall and mesorectal fascia measured by MRI: Effect of rectal distension and implications for preoperative prediction of a tumour-free circumferential resection margin. Clin Radiol 61:65–70

    CAS  Article  PubMed  Google Scholar 

  28. Kulinna C, Scheidler J, Strauss T, et al. (2004) Local staging of rectal cancer: assessment with double-contrast multislice computed tomography and transrectal ultrasound. J Comput Assist Tomogr 28:123–130

    Article  PubMed  Google Scholar 

  29. Chung DJ, Huh KC, Choi WJ, Kim JK (2005) CT colonography using 16-MDCT in the evaluation of colorectal cancer. AJR Am J Roentgenol 184:98–103

    PubMed  Google Scholar 

Download references

Ethical standards.

The experiments comply with the current laws of our country.

Conflict of interest.

The authors declare that they have no conflict of interest.

Author information

Affiliations

Authors

Corresponding author

Correspondence to Ali Ahmetoğlu.

Rights and permissions

Reprints and Permissions

About this article

Cite this article

Ahmetoğlu, A., Cansu, A., Baki, D. et al. MDCT with multiplanar reconstruction in the preoperative local staging of rectal tumor. Abdom Imaging 36, 31–37 (2011). https://doi.org/10.1007/s00261-009-9591-y

Download citation

  • Published:

  • Issue Date:

  • DOI: https://doi.org/10.1007/s00261-009-9591-y

Keywords

  • Rectum tumor
  • MDCT
  • Multiplanar reconstruction
  • Mesorectal fascia
  • Local staging