Skip to main content

Hemodynamic characterization of hepatic angiomyolipoma with least amount of fat evaluated by contrast-enhanced magnetic resonance angiography

Abstract

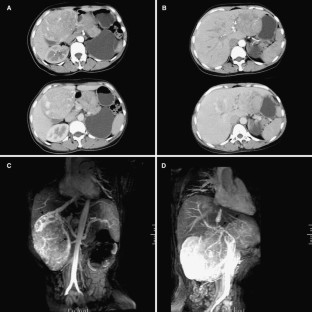
The purpose of our study was to describe contrast-enhanced magnetic resonance angiography (MRA) findings of hepatic angiomyolipoma (AML) with less lipocyte. We reviewed the MRA findings of five resected lesions of hepatic AML with less lipocyte specimens and found that the efferent vessels of hepatic AMLs were the hepatic veins. These findings corresponded well with those seen on conventional contrast-enhanced dynamic CT scans. This hemodynamic finding may be an important characterization of hepatic AML with less lipocyte, and could distinguish AML from other benign and malignant hepatic tumors.

This is a preview of subscription content, access via your institution.

Fig. 1
Fig. 2

References

  1. Dalle I, Sciot R, deVos R, Aerts R, vanDamme B, Desmet V, Roskams T. Malignant angiomyolipoma of the liver: a hitherto unreported variant. Histopathology 2000; 36: 443–450.

    Article  CAS  PubMed  Google Scholar 

  2. Tsui WM, Colombari R, Portmann BC, Bonetti F, Thung SN, Ferrell LD, Nakanuma Y, Snover DC, BioulacSage P, Dhillon AP. Hepatic angiomyolipoma: a clinicopathologic study of 30 cases and delineation of unusual morphologic variants. Am J Surg Pathol 1999; 23: 34–48.

    Article  CAS  PubMed  Google Scholar 

  3. Ahmadi T, Itai Y, Takahashi M, Onaya H, Kobayashi T, Tanaka YO, Matsuzaki Y, Tanaka N, Okada Y. Angiomyolipoma of the liver: significance of CT and MR dynamic study. Abdom Imaging 1998; 23: 520–526.

    Article  CAS  PubMed  Google Scholar 

  4. Hogemann D, Flemming P, Kreipe H, Galanski M. Correlation of MRI and CT findings with histopathology in hepatic angiomyolipoma. Eur Radiol 2001;11: 1389–1395.

    Article  CAS  PubMed  Google Scholar 

  5. Martin J, Falco J, Donoso L, Puig J, Zidan A, Sentis M. Hepatic angiomyolipoma: value of proton (fat/water) chemical shift fast low angle shot (FLASH) MR imaging technique in detecting fatty tissue content. Magn Reson Imaging 1995; 13:903– 906.

    Article  CAS  PubMed  Google Scholar 

  6. Balci NC, Akinci A, Akun E, Tunaci A. Hepatic angiomyolipoma: demonstration by out of phase MRI. Clin Imaging 2002; 26:418–420.

    Article  PubMed  Google Scholar 

  7. Kudo M. Morphological diagnosis of hepatocellular carcinoma:special emphasis on intranodular hemodynamic imaging. Hepato-gastroenterology 1998; 45:1226–1231.

    PubMed  Google Scholar 

  8. Ueda K, Matsui O, Kawamori Y, Nakanuma Y, Kadoya M, Yoshikawa J, Gabata T, Nonomura A, Takashima T. Hypervascular hepatocellular carcinoma: evaluation of hemodynamics with dynamic CT during hepatic arteriography. Radiology 1998;206:161–166.

    CAS  PubMed  Google Scholar 

  9. Barzilai IM, Braden GL, Ford LD, Goodman LH, Delima RJ, Germain MJ, Fitzgibbons JP. Renal angiomyolipoma with arteriovenous shunting. J Urol 1987; 137: 483–484.

    CAS  PubMed  Google Scholar 

  10. Danneels F, Meeus L, Casselman JW, Pattyn G, Vandvoorde P, Steyaert L, Devos V. Giant angiomyolipoma with atypical arteriovenous shunting:CT and angiographic studies. J Belge Radiol 1990;73: 135–137.

    CAS  PubMed  Google Scholar 

  11. Kehagias D, Mourikis D, Manolakos K, Vlahos L. Arteriovenous shunting in a giant renal angiomyolipoma. A rare condition. Int Urol Nephrol 1999; 31:291–293.

    Article  CAS  PubMed  Google Scholar 

  12. Zheng RQ, Kudo M. Hepatic angiomyolipoma: identification of an efferent vessel to be hepatic vein by contrast-enhanced harmonic ultrasound. Br J Radiol 2005; 78: 956–960.

    Article  CAS  PubMed  Google Scholar 

  13. Yoshimura H, Murakami T, Kim T, Nakamura H, Hirabuki N, Sakon M, Wakasa K, Inoue Y. Angiomyolipoma of the liver with least amount of fat component: imaging features of CT, MR, and angiography. Abdom Imaging 2002; 27: 184–187.

    Article  CAS  PubMed  Google Scholar 

  14. Matsui O, Kadoya M, Kameyama T, Yoshikawa T, Takashima T, Nakanuma Y, Unoura M, Kobayashi K, Izumi R, Ida M, Kitagawa K. Benign and malignant nodules in cirrhotic livers: distinction based on blood supply. Radiology 1991; 178:493–497.

    CAS  PubMed  Google Scholar 

  15. Okuda K, Musha H, Yamasaki T, Jinnouchi S, Nagasaki Y, Kubo Y, Shimokawa Y, Nakayama T, Kojiro M, Sakamoto K, Nakashima T. Angiographic demonstration of intrahepatic arterio-portal anastomoses in hepatocellular carcinoma. Radiology 1977; 122:53 -58.

    CAS  PubMed  Google Scholar 

  16. Valla D, Benhamou JP. Obstruction of the hepatic veins or suprahepatic inferior vena cava. Dig Dis 1996; 14:99 -118.

    Article  CAS  PubMed  Google Scholar 

Download references

Author information

Affiliations

Authors

Corresponding author

Correspondence to Minming Zhang.

Rights and permissions

Reprints and Permissions

About this article

Cite this article

Xiao, W., Zhou, M., Lou, H. et al. Hemodynamic characterization of hepatic angiomyolipoma with least amount of fat evaluated by contrast-enhanced magnetic resonance angiography. Abdom Imaging 35, 203–207 (2010). https://doi.org/10.1007/s00261-009-9508-9

Download citation

  • Received:

  • Accepted:

  • Published:

  • Issue Date:

  • DOI: https://doi.org/10.1007/s00261-009-9508-9

Key words

  • Hepatic tumor
  • Hemodynamic
  • Magnetic resonance angiography (MRA)
  • Angiomyolipoma
  • CT