Skip to main content

Percutaneous biopsy of abdominal masses using 25-gauge needles

Abstract

Purpose

To evaluate the efficacy and safety of using 25-gauge needles to biopsy abdominal masses.

Material and methods

A 6-month period of using 25-gauge needles (study group) as the only needle (n = 98) or the initial needle (n = 24) to biopsy abdominal masses was analyzed retrospectively. Diagnostic rate, sensitivity, negative predictive value, complication rate, and number of passes were compared with the same parameters obtained during the preceding 6 months during which 117 abdominal masses were biopsied and 25-gauge needles were not used (control group). There were no significant differences in patient age, gender distribution, or difficulty ratio of biopsies (path length divided by mass diameter) between the groups.

Results

Diagnostic rates, sensitivities, and negative predictive values of biopsies in the study group (90.9% (111/122), 91.8%, (89/97), and 63.6% (14/22), respectively), were not significantly different from those in the control group (91.5% (107/117), 97.8% (91/93), and 87.5% (14/16), respectively). There were no major complications in either group; the complication rate in the control group (5.9%, 6/122) was not significantly different from the study group (4.9%, 7/117). Number of passes was significantly higher in the study group compared to the control group (mean values of 4.91 and 4.44, respectively, P < 0.05).

Conclusions

Abdominal masses can be biopsied with 25-gauge needles, either alone or prior to larger needles, just as effectively and safely as with larger needles.

This is a preview of subscription content, access via your institution.

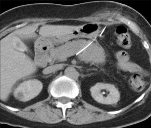
Fig. 1
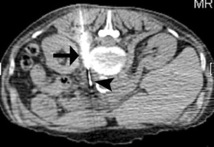
Fig. 2
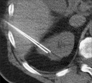
Fig. 3

References

  1. Silverman SG, Deuson TE, Kane N, et al. (1998) Percutaneous abdominal biopsy: cost-identification analysis. Radiology 206:429–435

    CAS  PubMed  Google Scholar 

  2. Bret PM, Fond A, Casola G, et al. (1986) Abdominal lesions: a prospective study of clinical efficacy of percutaneous fine-needle biopsy. Radiology 159:345–346

    CAS  PubMed  Google Scholar 

  3. Stockberger SM Jr, Ambrosius WT, Khamis MG, et al. (1999) Abdominal and pelvic needle aspiration biopsies: can we perform them well when using small needles? Abdom Imaging 24:321–328

    Article  PubMed  Google Scholar 

  4. Mostbeck GH, Wittich GR, Derfler K, et al. (1989) Optimal needle size for renal biopsy: in vitro and in vivo evaluation. Radiology 173:819–822

    CAS  PubMed  Google Scholar 

  5. Andriole JG, Haaga JR, Adams RB, Nunez C (1983) Biopsy needle characteristics assessed in the laboratory. Radiology 148:659–662

    CAS  PubMed  Google Scholar 

  6. Lieberman RP, Hafez GR, Crummy AB (1982) Histology from aspiration biopsy: Turner needle experience. AJR 138:561–564

    CAS  PubMed  Google Scholar 

  7. Pagani JJ (1983) Biopsy of focal hepatic lesions. Comparison of 18 and 22 gauge needles. Radiology 147:673–675

    CAS  PubMed  Google Scholar 

  8. Van Sonnenberg E, Goodacre BW, Wittich GR, et al. (2003) Image-guided 25-gauge needle biopsy for thoracic lesions diagnostic feasibility and safety. Radiology 227:414–418

    Article  Google Scholar 

  9. Schenk DA, Chambers SL, Derdak S, et al. (1993) Comparison of the Wang 19-gauge and 22-gauge needles in the mediastinal staging of lung cancer. Am Rev Respir Dis 147:1251–1258

    CAS  PubMed  Google Scholar 

  10. Kreula J (1990) Effect of sampling technique on specimen size in fine needle aspiration biopsy. Invest Radiol 25:1294–1299

    CAS  PubMed  Article  Google Scholar 

  11. Dahnert WF, Hoagland MH, Hamper UM, Erozan YS, Peirce JC (1992) Fine-needle aspiration biopsy of abdominal lesions: diagnostic yield for different needle tip configurations. Radiology 185:263–268

    CAS  PubMed  Google Scholar 

  12. Bernardino ME (1984) Percutaneous biopsy. AJR 142:41–45

    CAS  PubMed  Google Scholar 

  13. Tangpricha V, Chen BJ, Swan NC, et al. (2001) Twenty-one-gauge needles provide more cellular samples than twenty-five-gauge needles in fine-needle aspiration biopsy of the thyroid but may not provide increased diagnostic accuracy. Thyroid 11:973–976

    Article  CAS  PubMed  Google Scholar 

  14. Green I, Ali SZ, Allen EA, Zakowski MF (1997) A spectrum of cytomorphologic variations in medullary thyroid carcinoma. Fine-needle aspiration findings in 19 cases. Cancer 81:40–44

    Article  CAS  PubMed  Google Scholar 

  15. Pisano ED, Fajardo LL, Caudry DJ, et al. (2001) Fine-needle aspiration biopsy of nonpalpable breast lesions in a multicenter clinical trial: results from the radiologic diagnostic oncology group V. Radiology 219:785–792

    CAS  PubMed  Google Scholar 

Download references

Author information

Affiliations

Authors

Corresponding author

Correspondence to Sukru Mehmet Erturk.

Rights and permissions

Reprints and Permissions

About this article

Cite this article

Erturk, S.M., Silverman, S., Mortele, K. et al. Percutaneous biopsy of abdominal masses using 25-gauge needles. Abdom Imaging 35, 70–74 (2010). https://doi.org/10.1007/s00261-008-9492-5

Download citation

  • Received:

  • Accepted:

  • Published:

  • Issue Date:

  • DOI: https://doi.org/10.1007/s00261-008-9492-5

Keywords

  • Biopsy
  • 25 Gauge
  • Abdominal masses
  • 22 Gauge
  • Fine needle aspiration biopsy